Сухая лунка после удаления зуба — что делать, как лечат и как она выглядит
Самое частое осложнение после удаления зубов — сухая лунка. Следует знать, почему происходит такое нарушение, и что делать при появлении симптомов.
Что такое сухая лунка после удаления зуба?
Синдром сухой лунки (альвеолит) — это определение нарушения, когда после удаления зуба не образуется кровяного сгустка.
Опасно это тем, что сопровождается кровотечением и риском инфицирования. Осложнение возможно по двум причинам, когда сгусток вовсе не образуется, и когда через некоторое время выпадает.
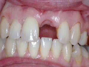
Как выглядит?
Лунка может быть частично или полностью заполнена частичками еды и некротизированными тканями от распада кровяного сгустка
При визуальном осмотре альвеолит выглядит, как пустая лунка.
Она может быть частично или полностью заполнена частичками еды и некротизированными тканями от распада кровяного сгустка.
При касании ощущается боль, особенно если обнажена альвеолярная кость.
Часто края лунки сходятся так, что нельзя увидеть ее содержимое. При промывании из нее выходит мутная жидкость с пищевыми остатками.
Что это значит?
Альвеолит возникает в 4-5% случаев, а после удаления зубов мудрости в 25-30%. Такое нарушение указывает либо на ошибку врача, либо на системные заболевания, либо на несоблюдение правил ухода за лункой после экстракции.
К разрушению сгустка (фибринолизу) приводят большая концентрация эстрогена и токсины, выделяемые бактериями при наличии кариозных полостей.
Какая должна быть в норме?
После удаления зуба через 2-3 часа формируется кровяной сгусток. Он препятствует кровотечению и защищает ткани от попадания инфекции.
Постепенно происходит его рассасывание. На 3 день начинается грануляция, за чем следует рост нового эпителия. Через неделю уже начинает формироваться костная ткань. Спустя несколько месяцев она кальцинируется, тогда и происходит полное восстановление.
Симптомы
Проявления сухой лунки после удаления зуба:
- При альвеолите десна воспаленная, лунка красная, на дне видно обнаженную кость через 2 дня после экстракции происходит воспаление десны, нарастает боль;
- появляется неприятный запах и привкус;
- боль распространяется на область шеи;
- может происходить обратимое снижение слуха.
При альвеолите десна воспаленная, лунка красная, на дне видно обнаженную кость. Может происходить выделение гноя при надавливании.
Причины возникновения
Причинами сухой лунки могут быть:
- нарушение свертываемости крови;
- неправильно подобранная анестезия;
- сильное травмирование тканей во время экстракции;
- активное полоскание рта в первые дни;
- курение сразу после процедуры;
- оставшийся в лунке осколок зуба;
- плохое промывание тканей, что ведет к инфицированию.
Важно! Если на момент удаления зуба в полости рта есть очаги инфекции, это станет фактором альвеолита. Перед экстракцией обязательно проводится профессиональная гигиена и устраняются воспалительные процессы.
Возможные формы
В таблице представлены формы альвеолита:
| Форма | Особенности течения |
| Острый воспалительный процесс | Боль, отечность десны, выделения отсутствуют, температура тела в норме |
| Хронический воспалительный процесс | Присутствуют грануляции, боль слабая, могут выделяться капельки гноя, общее состояние неудовлетворительное, есть слабость, недомогание |
| Гнойно-некротический воспалительный процесс | Резкая боль, отдающая в ухо, сильное повышение температуры тела, отек десны, на дне лунки выявляется темный налет, при надавливании выделяется гной, есть стойкий неприятный запах изо рта. Самая сложная форма, часто требует хирургического вмешательства |
Сопутствующие симптомы
Сухая лунка может сопровождаться такими проявлениями, как:
- Высокая температура — сопровождает острое и гнойное воспаление, опасный симптом, при котором требуется немедленная помощь стоматолога.
- Припухлость щеки — говорит о скоплении гноя, развитии опасной гнойной формы заболевания.
- Выраженная боль — обязательный спутник альвеолита, нарастает при обнажении кости и гнойном воспалении.
Диагностика
Стоматолог проводит осмотр полости рта, обнаруживает пустую лунку. По сопутствующим признакам и жалобам определяет форму заболевания. При подозрении на застрявшие осколки зуба или поражение кости назначается рентгенограмма.
Лечение
Методики лечения будут зависеть от степени тяжести альвеолита:
- Легкая — полоскания антисептиками и противовоспалительными средствами.
- Средняя — прием антибактериальных средств, заполнение лунки лекарством.
- Тяжелая — госпитализация, терапия, зависимо от осложнений, восстановление включает проведение физиотерапии, ультрафиолетового облучения.
Важно! Антисептические полоскания и прием антибиотиков только на время устраняют симптомы воспаления, потому кюретаж (чистка лунки) будет единственным эффективным способом лечения.
Лечение в домашних условиях
Лечение в домашних условиях проводится при легкой форме воспаления
Лечение в домашних условиях проводится при легкой форме воспаления.
Для этого используются препараты Хлоргексидин, Мирамистин, раствор марганцовки.
Средствами выполняется промывание рта после каждого приема пищи.
Дополнительно можно использовать отвары ромашки, шалфея, календулы, коры дуба.
Врач может назначить дентальную пасту Солкосерил. Она оказывает обезболивающее действие и способствует заживлению поврежденных тканей.
Она вносится в предварительно промытую антисептиком лунку. Паста постепенно рассасывается, потому убирать ее не нужно. Периодически ее нужно докладывать в лунку.
Стоматологическая помощь
Этапы лечения сухой лунки у стоматолога:
- Обезболивание.
- Удаление из лунки частичек пищи и некроза.
- Промывание антисептиком.
- Высушивание и заполнение лунки йодоформной турундой.
Важно! Без удаления некроза любые другие лечебные мероприятия будут бесполезными.
После кюретажа стоматолог назначает лекарства и дает рекомендации по поводу ухода за лункой. Лекарство в лунке нужно менять каждые 3-5 дней. Посетить стоматолога придется не менее 3 раз.
Лечение методом создания вторичного сгустка
Когда полость заполняется кровью, стоматолог кладет противовоспалительное средство и накладывает несколько швов
Лечение созданием вторичного сгустка предполагает выскабливание лунки, чтобы спровоцировать кровотечение.
Когда полость заполняется кровью, стоматолог кладет противовоспалительное средство и накладывает несколько швов. После процедуры нужно принимать антибактериальные препараты.
Такой способ лечения возможен только 2 случаях: когда пациент обращается за помощью сразу после выпадения сгустка, и при вялотекущем альвеолите без выраженных симптомов при условии заполнения лунки грануляцией.
Медикаментозная помощь
После чистки лунки назначаются следующие лекарства:
- обезболивающие препараты на основе НПВС — Ибупрофен, Найз, Диклофенак;
- антибиотики — Амоксиклав, Линкомицин, Юнидокс-солютаб;
- раствор Хлоргексидина 0,05% для полосканий.
Лечение сухой лунки при тяжелой форме
Применяются симптоматические средства для понижения температуры, обезболивания, снятия отека
При тяжелой форме заболевания нужна госпитализация. Пациенту назначается ряд мероприятий, зависимо от проявлений.
Лечение будет направлено на ликвидацию осложнений — абсцесса, флегмоны, кисты.
Назначается физиотерапия — электрофорез, УВЧ, УФО. Больным соблюдается постельный режим.
Применяются симптоматические средства для понижения температуры, обезболивания, снятия отека.
При токсическом и аллергическом воспалении также показаны глюкокортикоиды. Для ускорения восстановления врач рекомендует специальную дыхательную гимнастику, физические упражнения, прием витаминных комплексов.
Возможные осложнения
Осложнения альвеолита касаются органов дыхания и сердца. Риск последствий высок при отсутствии лечения. В легочную ткань может попадать кровь, отчего нарушается газообмен. Без своевременной помощи возможен летальный исход.
Профилактические меры
Чтобы предупредить альвеолит, соблюдайте следующие рекомендации после удаления зуба:
- первые 3 дня не полощите рот, а легко промывайте лунку отварами и назначенными антисептиками, набирая их в рот на 10-20 секунд;
- после каждого приема пищи осматривайте лунку, чтобы в ней не застревала еда, при необходимости промойте ее, но крайне осторожно;
- не прикладывайте к щеке и десне горячее, греть лунку категорически запрещено;
- откажитесь от курения и алкоголя до полного заживления;
- не занимайтесь самолечением, и принимайте только те средства, которые назначил врач, а рецепты народной медицины обязательно с ним согласовывайте;
- если боль и другие симптомы не проходят в течение 3-5 дней, обратитесь к стоматологу.
Популярные вопросы
Сколько заживает сухая лунка?
В норме лунка заживает в течение 7 дней. Грануляция и заполнение костной тканью продолжается еще несколько месяцев. При отсутствии кровяного сгустка период восстановления увеличивается до 2 недель и более, зависимо от тактики лечения.
Почему возникает после удаления зуба мудрости?
Удаление зубов мудрости практически в каждом случае сложное и заканчивается осложнениями. Связано это с трудным доступом к восьмерке, отчего во время экстракции ткани сильно травмируются. У половины пациентов кровяной сгусток после удаления последнего моляра выпадает или рассасывается.
Что делать, если сгусток не образовался или выпал?
Когда при осмотре лунке в ней не обнаруживается сгустка, сразу же запишитесь на прием к стоматологу. До посещения врача следите, чтобы в нее не попадала пища.
При появлении боли примите обезболивающую таблетку, но только однократно. Лечение у стоматолога может потребовать проведения анестезии, и если ранее принимались анальгетики, она может не подействовать.
Не занимайтесь самолечением, ведь инфекция из лунки будет распространяться на соседние ткани. Чем дольше игнорировать проблему, тем сложнее лечение и выше риск осложнений.
Источник: https://dentoland.com/lechenie/udalenie/suxaya-lunka.html
Лечение сухой лунки после удаления зуба
После удаления зуба на его месте появляется лунка, в которой в течение нескольких часов образуется кровяной сгусток.
Запекшаяся кровь является чем-то вроде защитной пленки и оберегает кость и мягкие ткани от болезнетворных бактерий. Однако иногда у пациентов наблюдается синдром сухой лунки после удаления зуба.
Это может привести к весьма неприятным последствиям, в том числе к развитию обширных воспалительных процессов.
Это последствие встречается чаще всего. Лунка остается сухой, когда сгусток крови по какой-то причине не образовался. Иногда уже образовавшийся сгусток, мог быть случайно удален или смыт пациентом.
В этом случае нужно обратиться к врачу за помощью. Доктор с помощью смоченных в специальном растворе компрессов сам проведет консервативное лечение. Они накладываются на сухую лунку.
Если этого не сделать, может возникнуть альвеолит (воспаление десны).
Сухая лунка зуба: особенности заболевания
Сухая лунка после удаления зуба появляется в двух случаях. В первом кровяной сгусток может выпасть или рассосаться, а во втором — не образоваться изначально (как правило, из-за сильного кровотечения).
В среднем подобный диагноз ставится двум-пяти процентам людей, прошедших через процедуру удаления зубов, однако сухая лунка после удаления зуба мудрости встречается гораздо чаще.
При отсутствии своевременного лечения заболевание может перейти в стадию альвеолита, что в свою очередь грозит появлением флегмоны или абсцесса.
Спустя 2 — 3 дня десна начинает воспаляться, появляются болевые ощущения.
В процессе развития воспалительного процесса боль нарастает и проявляется не только в ротовой полости, но и в шейном отделе, а также в ушной области.
Появление неприятного запаха и специфического привкуса во рту — еще один характерный симптом.
Может наблюдаться частичная потеря слуха.
Признаки сухой лунки
Явными признаками сухой лунки являются:
- отсутствие в ней видимого кровяного сгустка, вместо которого просматривается кость;
- сильная боль;
- воспаление.
Причиной этого явления могут стать действия самого пациента:
- неоправданно частое полоскание после операции;
- питье «с усилием», например, через соломинку;
- периодическое сплевывание.
Для лечения обязательно нужно обратиться к стоматологу, который посоветует противовоспалительные препараты, а в сложных случаях проведет дополнительное очищение лунки, ее закрытие специальным гелем или же назначит антибиотики.
Меры профилактики сухой лунки
Для сохранения кровяного сгустка пациент должен строго соблюдать все предписания врача:
- В течение 3-4 часов после операции не принимать пищу, и не трогать лунку языком.
- В день операции нельзя употреблять горячую, твердую еду, пить горячие напитки и полоскать рот, чтобы не «сместить» сгусток.
- Не рекомендуется принимать ванну, заниматься тяжёлой физической работой и спортом, так это может повысить артериальное давление, отчего в свою очередь может возобновиться кровотечение.
- Соблюдение гигиены полости рта и послеоперационного режима.
- Признан эффективным для предотвращения появления сухой лунки хлоргекседин в виде раствора и геля. Причем гель считается более действенным, так как обладает пролонгированным свойством.
- Начиная со второго дня полоскать рот слабым раствором марганцовки или комбинированным раствором с солью и содой после каждого приёма пищи. Полоскания проводить не интенсивными движениями, а таким методом, как «ротовые ванночки», т.е подержать средство во рту на стороне удалённого зуба несколько секунд и выплюнуть.
- Осторожно чистить зубы, не касаясь поврежденной поверхности. Процедуру можно проводить только со следующего дня после удаления.
- Отказаться от алкоголя, кофе. Минимум неделю не пить напитки через соломку, втягивающие движения могут нарушить положение сгустка.
Стоматологи считают, что кроме правильного поведения и действий пациента после операции, уменьшает риск проявления такого осложнения, как сухая лунка, аккуратная техника удаления и сведение к минимуму травмирования при проведении операции.
Сухая лунка обычно образуется в первые пять дней после удаления зуба, поэтому первая мера профилактики данного осложнения заключается в исключении грубых действий, которые могут привести к повреждению раны.
К таким грубым действиям могут относиться даже такие простые привычки, как питье через трубочку и сильное выплевывание слюны, поскольку оба таких действия способны вызвать смещение и удаление кровяного сгустка.
Так как курение и употребление табака повышают вероятность образования сухой лунки после удаления зуба, откажитесь от такой привычки по меньшей мере за 24 часа перед процедурой и на 24 часа после нее.
Узнайте у стоматолога, могут ли какие-либо из принимаемых вами лекарственных средств сдерживать образование кровяного сгустка, и обсудите меры, которые вы можете принять, чтобы минимизировать или устранить такую опасность.
Стоматолог или хирург-стоматолог, вероятно, порекомендуют вам курс домашнего ухода и дадут указания, подлежащие соблюдению после удаления зуба.
Помимо прочего, стоматолог может посоветовать, чтобы вы употребляли большое количество воды, не чистили зубы в течение первых 24 часов после процедуры, избегали потребления определенной пищи и использовали антибактериальные ополаскиватели для полости рта.
Тщательное соблюдение полученных указаний может существенно помочь вам в предотвращении образования сухой лунки, благодаря этому заживление раны после удаления зуба у вас пройдет без осложнений.
Лечение
Помимо того, что сухая лунка после удаления зуба сама вызывает болезненные ощущения и дискомфорт, она представляет угрозу как место скопления бактерий.
Это прямая дорога для инфекций, которые могут вызвать альвеолит – воспаление альвеолы. Это серьезное заболевание с тяжелыми последствиями, которые без лечения могут распространяться на костную ткань челюсти.
Лечение альвеолярного остеита проводится только стоматологом, в домашних условиях добиться очищения альвеолы крайне сложно.
Если кровотечение происходит непосредственно из ячейки, а не от поврежденных соседних с ней тканей, то врач проводит её повторную обработку. С помощью шприца он вымывает из нее остатки сгустка, пищи, слюны.
Для этих целей применяются теплые растворы антисептиков. Затем ячейка полностью заполняется марлевым тампоном, пропитанным йодоформной жидкостью, и сверху накладывается валик.
Через неделю лунка покрывается соединительной тканью, после чего марлю удаляют. Таких действий, как правило, достаточно для прекращения кровотечения.
Но у больных гемофилией, тромбопенией и другими патологическими заболеваниями крови, кровотечение может возобновляться даже через 2-3 недели.
Ещё один способ лечения альвеолярного остеита – заполнение альвеолы кровяным сгустком, который образуется при травмировании окружающей слизистой.
Практикуется в современной стоматологии и создание искусственного сгустка.
Для его получения забирают кровь из вены, пропускают через специальную центрифугу и добавляют стоматологические материалы: метрогил и гидроксиапол. Готовый сгусток вводят в лунку и закрывают мембраной.
Помимо этого врач может назначить антибиотики и антисептические средства.
Источник: https://ZubyBest.ru/posledstviya-udaleniya-zuba/oslozhneniya/lechenie-suxoj-lunki-posle-udaleniya-zuba.html
Причины, симптомы и лечение сухой лунки
Альвеолит – самое распространенное осложнение после удаления зуба. Он появляется на фоне сухой лунки – когда кровяной сгусток не образуется или вымывается из альвеолы. Болезнь сопровождается воспалением, острыми болями, гиперемией и отеком тканей.
- 1 Симптомы
- 2 Причины
- 3 Формы альвеолита
- 4 Лечение
Симптомы
Спустя 20 – 30 минут после экстракции (удаления) кровотечение останавливается, а зубная лунка заполняется сгустком крови. Это – природный защитный механизм. Он предотвращает попадание патогенных микроорганизмов в мягкие ткани и кости.
Но если тромб не формируется, через 2 – 3 начинает развиваться альвеолит. Другие названия заболевания – луночковый постэкстракционный альвеолит или альвеолярный остеит.
Синдром сухой лунки характеризуется:
- острая боль, она может отдавать в ухо или висок;
- гнилостный запах изо рта;
- повышение температуры – от 37,5°С;
- образование налета грязно-серого цвета;
- выделение гноя;
- неприятный привкус;
- отечность и покраснение десны;
- общая слабость.Если тромб не формируется, через 2 – 3 начинает развиваться альвеолит.
Важно! Пациенты могут спутать гнойные выделения с фиброзной пленкой. На второй день сгусток покрывается желтовато-белым налетом. Это нормальный процесс, который происходит из-за выработки фибрина.
Но главный признак развивающегося альвеолита – отсутствие сгустка в ране. Если он не образовался или выпал, следует обратиться к врачу. Чем раньше начать лечение, тем легче будет выздоровление.
Причины
Альвеолит появляется из-за:
- вымывания сгустка во время интенсивных полосканий – их можно проводить не раньше, чем через 3 дня после операции;
- сильной травмы тканей во время сложной экстракции;
- несоблюдение правил асептики и антисептики при манипуляции;
- оставшихся в альвеоле осколков, корней, гранулем, кист;
- несоблюдение гигиены;
- пренебрежение рекомендациями врача: тяжелые физические нагрузки, посещение сауны, употребление твердых и горячих продуктов, алкоголя;
- курение – от него воздерживаются минимум 3 часа, лучше 2 – 3 дня.
Сухая лунка после удаления зуба диагностируется на основе визуального осмотра и рентгенографии.
Важно! Косвенно развитию заболевания способствует прием оральных контрацептивов, аспирина, менструация, системные заболевания, нарушающие свертываемость крови. Эти факторы провоцируют длительное кровотечение, из-за которого тромб не может образоваться.
Иногда сгусток вымывается при повторном кровотечении. Оно открывается спустя 1,5 – 4 часа. Его причина – введение анестезирующих препаратов с высоким содержанием адреналина. Он приводит к временному спазму сосудов.
При обычной экстракции альвеолярный остеит развивается у 3 – 5% пациентов. После удаления зуба мудрости вероятность вырастает до 25 – 30%.
Формы альвеолита
Заболевание протекает в нескольких формах:
- Серозной. Воспаление сопровождается болью, гиперемией десны, но температура и выделение экссудата отсутствуют.
- Гнойной. В лунке заметны грануляции с капельками гноя. Отмечается синюшность и отек тканей.
- Гнойно-некротической. Самая сложная форма, нередко требует хирургического вмешательства. Пациент чувствует резкую острую боль, иррадиирующую в ухо, челюсть, висок, ему сложно открыть рот, поднимается температура, появляется сильный отек и гнилостный запах, на дне лунки обнаруживается грязно-серый налет с остатками омертвевших тканей.
При обычной экстракции альвеолярный остеит развивается у 3 – 5% пациентов.
Лечение
Сухая лунка после удаления зуба диагностируется на основе визуального осмотра и рентгенографии. Снимки выявляют оставшиеся частички.
Обычно лечение проводит врач, удаливший зуб. Оно состоит из нескольких этапов:
- Обезболивание местной анестезией.
- Обработка антисептическими растворами. Медикаменты вводятся шприцом с затупленной широкой иглой. Используются хлоргексидин, перманганат калия, «Мирамистин».
- Вычищение лунки от остатков пищи, гноя, грануляций.
- Кюретаж. Стоматолог выскабливает хирургической ложкой внутренние поверхности.
- Повторное промывание антисептиками.
- Наложение повязки с анальгетиками и дезинфицирующими препаратами.
Источник: https://skzub.ru/udalenie/prichiny-simptomy-i-lechenie-suhoj-lunki.html
Сухая лунка после удаления зуба: симптомы и лечение
Большинство людей считают, что избавившись от больного зуба, они сняли все проблемы. Но не тут-то было. В определенных случаях трудности только начинаются. И одна из них – сухая лунка после удаления зуба.
Что же это такое
Полость, которая остается вследствие вытягивания костного образования, называется лункой. В ней после вмешательства хирурга-стоматолога появляется сгусток крови, защищающий кость и нервные окончания.
Сформированное плотное образование является промежуточным звеном заживляющего процесса. Благодаря ему рана быстрее затягивается.
Синдром сухой лунки после удаления зуба образуется, если сгусток не сформировался, растворился через несколько дней или выпал.
Чаще всего данная проблема возникает:
- после удаления восьмерки (зуба мудрости);
- у курильщиков;
- у людей, не соблюдающих гигиену полости рта.
Если своевременно не обратиться к стоматологу, то этот недуг может привести к более серьезному – альвеолиту (появление гнойного налета). В этом случае одними компрессами уже не обойтись, придется воспользоваться специальными дезинфицирующими растворами.
Нормальное заживление полости всегда происходит без боли.
Формы патологии полости
Сухая лунка после удаления зуба может быть в разных формах.
- Воспалительный процесс острой формы, носящий серозный характер. В этом случае полость открыта. В ней видны сгустки крови и остатки пищи. Человека будет сопровождать постоянная боль. Лечение этого вида недуга консервативное.
- Хронический воспалительный процесс с гнойными выделениями. По всей лунке образуются гранулы. Десна опухает, появляется немного гноя.
- Гнойно-некротическое форма воспаления. Сейчас узнаем, как выглядит сухая лунка после удаления зуба в этом случае. Данная форма считается самой опасной. Десна отечная и воспаленная, отверстие покрыто налетом грязно-серого цвета, в нем можно обнаружить омертвевшие ткани. Боль распространяется на височную область и отдает в ухо. Изо рта идет неприятный запах. Повышается температура, человек ощущает слабость и недомогание. Без оперативного лечения не обойтись.
Причины возникновения недуга
По всем правилам после вмешательства хирурга-стоматолога в выемке должен появиться кровяной сгусток. Но не всегда так получается. Почему же появляется сухая лунка после удаления зуба? Существует несколько причин.
- Была допущена ошибка врача. В ране остались кусочки корня.
- Во время операции десна была сильно травмирована, а это увеличивает риск появления осложнений.
- Неправильная гигиена полости рта до и после вмешательства хирурга-стоматолога.
- Сразу же после удаления, пока еще полностью не образовался кровяной сгусток, пациент употреблял горячую, жесткую, грубую пищу.
- Вымывание сгустка. После хирургического вмешательства пациент полоскал ротовую полость.
- У человека низкий иммунитет.
- Никотиновая зависимость и любовь к алкоголю.
- Употребление противозачаточных таблеток. Данные препараты влияют на свертываемость крови.
- Сложности во время проведения операции. Чаще всего появляется сухая лунка после удаления зуба мудрости.
При визуальном осмотре на месте извлечения кости можно увидеть лунку с желтоватым или зеленоватым налетом. Иногда внутри находится гниющий кровяной сгусток. В отдельном случае врач может увидеть оголенную костную ткань.
Изо рта больного идет неприятный запах, обусловленный воспалительным процессом, протекающим в лунке.
Гноение или воспаление всегда ведет к интоксикации всего организма. Вот поэтому к симптомам болезни следует отнести:
- общую утомляемость и слабость;
- плохое самочувствие;
- повышенную температуру;
- появление гнойных выделений из десны;
- увеличение лимфатических узлов на шее и под челюстью.
Кроме этого, сухая лунка после удаления зуба сопровождается поражением десны, припухлостью щеки. Через двое суток появляется боль, отдающая в область уха и по всему лицу.
При удалении коренных зубов нижней челюсти и появлении патологии могут возникнуть трудности с открыванием рта и употреблением пищи.
Принципы лечения
Прежде чем приступать к лечению, обязательно делают рентгенографию. Благодаря ей можно увидеть все осколки, которые остались в выемке.
После манипуляции с восьмерками часто появляется воспалительный процесс и образуется сухая лунка. После удаления зуба мудрости лечение обычно начинают с обезболивания. Используется гомеопатический препарат «Траумель».
Если данный препарат не помог, делают блокаду, используют препараты с линкомицином.
В дальнейшем лечение делится на несколько этапов.
- Проводится очищение лунки от осколков и остатков пищи. Ранка промывается антисептическим раствором. Используются раствор перманганата калия, перекись водорода, «Фурацилин».
- Проводится процедура кюретажа (выскабливание внутренних стенок выемки).
- После тщательного осмотра проводится повторная обработка лунки с использованием антисептических растворов.
- Следующий шаг – ямку высушивают и засыпают в нее анестезин.
- При воспалении серозного характера на рану накладывается йодоформовая повязка. Если появляется гной в сухой лунке после удаления зуба, лечение заключается в применении повязок, пропитанных раствором камфорофенола, прополиса. Проводится болевая блокада. Используется «Лидокаин», «Новокаин», «Тримекаин».
Еще несколько рекомендаций
В случае гнойного воспаления повязки должны меняться каждый день до улучшения состояния пациента.
При серозной форме перевязка делается первый раз через день после хирургического вмешательства. В дальнейшем один раз в три дня до тех пор, пока не исчезнут болевые ощущения.
Во время процедуры рана обязательно обрабатывается раствором антисептика.
Для того чтобы поврежденные ткани быстрее заживали, назначаются физиопроцедуры, анальгетические средства и витаминно-минеральный комплекс.
При гнойном воспалении прописываются антибиотики.
Когда избавление от болезни будет начато не вовремя, медикаментозное лечение уже ситуацию не спасет. Все ведет к тому, что альвелит может перейти в ограниченный остеомиелит. В этом случае поможет только хирургическое вмешательство.
Если все назначения врача будут выполнены правильно, состояние пациента улучшится уже через несколько дней. Отличный результат можно получить, используя ультракоротковолновую или ультравысокочастотную терапию.
Лечение при тяжелой форме и восстановление лунки
Как уже было сказано выше, если вовремя не обратиться к врачу, могут возникнуть осложнения. В этом случае лечение состоит из следующих этапов:
- Ямка обрабатывается, в нее вводится тампон, смоченный антибиотиками. Еще можно добавить к этому средству препараты, снимающие воспалительный процесс.
- Проводится антистатическая блокада.
- Для очистки верхней части раны от омертвевшей ткани используются протеолитические препараты.
- При помощи «Лидокаина» блокируется нерв.
- Проводится теплое полоскание с перманганатом калия.
Плюс ко всему перечисленному добавляются мероприятия, используемые при обычной форме болезни.
Процесс заживления занимает около недели, если вести речь о зубе мудрости, то этот срок может немного увеличиться. Полностью воспалительный процесс проходит через две недели.
Болезненные ощущения становятся меньше, спадает отек, десна приобретает розовый цвет и возвращается в изначальное состояние. Ранка заполняется грануляционной тканью. Начинает появляться первый слой эпителия.
Профилактика
В день после операции желательно отказаться от любых физических занятий.
Ни в коем случае не трогайте свежую рану, даже языком. Постарайтесь выдержать хотя бы шесть часов.
Сутки не употребляйте твердую пищу, отдайте предпочтение только жидким блюдам. Запрещается кушать горячее, острое, соленое.
Если боль нельзя терпеть, можно принять обезболивающие лекарства.
Двое суток нельзя курить и употреблять алкоголь.
Первые сутки зубы желательно не чистить. На второй день эта процедура допустима, но только с использованием мягкой щетки.
Баня, сауна в день операции тоже под запретом.
Если через день начинает лунка сильно тревожить, обязательно обращайтесь к врачу, дабы не допустить осложнений.
Не рекомендуется пару дней делать полоскания ротовой полости, особенно агрессивными растворами.
Для того чтобы обычное удаление зуба не повлекло осложнений, следуйте этим рекомендациям.
Заключение
Как видите, существует такая проблема, как сухая лунка после удаления зуба. Что делать после появления этого недуга, вы уже знаете. Постарайтесь не заниматься самолечением. Но если болевые ощущения появились дома, то попробуйте прополоскать ротовую полость раствором с использованием противовоспалительных препаратов.
Запомните, больное место нельзя греть и полоскать горячими жидкостями. Можно использовать болеутоляющие лекарства. Немного успокоив боль, сразу же отправляйтесь к стоматологу. Только врач правильно поставит диагноз и назначит лечение.
Еще раз хотим заострить ваше внимание: никакого самолечения! Строго выполняйте назначения врача.
Источник: http://fb.ru/article/317742/suhaya-lunka-posle-udaleniya-zuba-simptomyi-i-lechenie
Обзор методов лечения, причин возникновения и симптомов альвеолита после экстракции
Альвеолит или сухая лунка после удаления зуба развивается, если кровяной сгусток выпал или не образовался. Это заболевание сопровождается нагноением, сильными болями, общей интоксикацией.
Существует 6 основных способов помощи при сухой лунке в клинике и на дому. Большинство из них проводится или назначается стоматологом. Самостоятельно пациент может лишь незначительно снять острую симптоматику или выполнять предписания врача после основного лечения.
Почему возникает синдром сухой лунки?
Альвеолит (альвеолярный остеит или луночковый постэкстракционный альвеолит) возникает, когда лунка инфицируется, кровяной сгусток выпадает, разрушается или не образуется изначально.
Сгусток крови в лунке образуется в первые минуты после удаления зуба. Это тромб, который закрывает поверхность раны. Он предотвращает попадание в лунку остатков пищи, патогенных микроорганизмов, снижает воздействие температурных, химических и механических раздражителей.
Без кровяного сгустка невозможно заживление. В среднем уже на 3-й день на нем появляются новые эпителиальные клетки.
- Врачебные ошибки. Это может быть:
- сильное травмирование прилегающих к единице тканей;
- неликвидированные полностью гнойники – гранулемы, кисты;
- оставленные фрагменты зуба;
- применение анестетика с высокой дозой адреналина – в результате происходит спазм сосудов, из-за которого кровотечение открывается не сразу, а спустя несколько часов после операции.
- Несоблюдение пациентом советов по реабилитации. В восстановительный период запрещено:
- употреблять горячие или холодные продукты и напитки;
- есть жесткую пищу;
- заниматься спортом и другими тяжелыми физическими нагрузками;
- принимать ванну, ходить в баню, солярий;
- как-либо травмировать рану – языком, зубочисткой;
- игнорировать гигиенические процедуры – зубы нужно тщательно очищать от микробного налета после каждого приема пищи;
- полоскать рот первые 2 – 3 дня, разрешены только ванночки;
- курить и пить алкоголь.
- Общие факторы. Ими являются заболевания и состояния организма, при которых ухудшается свертываемость крови:
- сахарный диабет;
- железодефицитная анемия;
- прием аспирина и коагулянтов;
- менструация;
- прием оральных контрацептивов.
Дополнительная информация! Альвеолит при обычном удалении зуба развивается только у трех – пяти процентов пациентов. При сложной экстракции или вырывании зубов мудрости риск увеличивается до 25 – 30%.
Признаки
Для альвеолита характерны специфические симптомы, и лечение назначается на основании одного визуального осмотра и сбора анамнеза. Дополнительные исследования не нужны. Изредка делают рентгеновские фото, чтобы выявить гнойники или фрагменты зуба.
Определить сухую лунку можно по следующим признакам:
- сильным луночковым болям – они могут отдавать в угол челюсти, висок, подбородок;
- повышенной температуре – от 37,5°С;
- общей слабости, потере аппетита, нарушению сна;
- отеку и гиперемии десны;
- гнилостному запаху и неприятному привкусу;
- выделению гноя.
Обратите внимание! Внешне альвеолит выявляется также легко. Если сгусток начал разрушаться и загнивать, на поверхности раны будет грязновато-серая пленка с зеленым оттенком. Если же тромб выпал или не сформировался, станет заметна костная ткань.
Методы лечения в клинике
Как только появились подозрения на воспалительный процесс, необходимо обратиться в клинику. Бездумно использовать препараты опасно. Необходимо полностью выскоблить рану от гноя, остатков пищи, грануляций, осколков коронки и оставшихся гранулем или кист, если они присутствуют.
И тем более нельзя применять народные способы лечения. Все действия пациента на дому должны согласованы с врачом и проводиться под его контролем.
После установления диагноза альвеолярный остеит, стоматолог-хирург применяет один из трех возможных методов лечения.
Кюретаж
Проводят следующим образом:
- делают анестезию;
- выскабливают хирургической ложкой частички еды, гной, грануляции, остатки сгустка, осколки зубов;
- промывают полость антисептиками;
- закладывают йодоморфную турунду;
- меняют повязку каждые 1 – 3 дня.
Лечение таким способом занимает от нескольких дней до пары недель. Также стоматолог дополнительно прописывает медикаментозную терапию.
Физиолечение
После оперативного вмешательства врач может назначить один из следующих методов физиотерапии:
- лазерное лечение;
- ультрафиолетовое облучение;
- УВЧ;
- электрофорез;
- диадинамотерапию;
- магнитотерапию.
Создание вторичного сгустка
Способ заключается в нарочном повреждении лунки. Ее выскабливают кюретажной ложкой. После заполнения кровью раны, в нее кладут противовоспалительную мазь, ушивают края, а сверху накладывают тампон, который нужно плотно прикусить.
Важно! Метод можно применять только в 2-х случаях: когда тромб только выпал и лунка еще не инфицирована, а также если у пациента вялотекущий затяжной альвеолит.
7 домашних способов остановки крови на дому после удаления зуба
Способы самостоятельно терапии
Ряд терапевтических методов лечения альвеолита пациент может провести в домашних условиях. Но, все, что он делает, должно быть согласовано с врачом и выполняться под его контролем.
Промывание из шприца
Полноценно очистить лунку от пищи и инфекции может только стоматолог в клинике. Но если нет возможности незамедлительно посетить медицинский центр, а внутрь раны попала еда, можно прибегнуть к самостоятельному промыванию.
Для этого:
- вскрывают стерильный шприц на 5 мл;
- обламывают кончик иглы, чтобы затупить ее;
- набирают в поршень антисептический раствор – лучше всего использовать хлоргексидин;
- плотно надевают иглу на шприц;
- вводят основание иглы в верхнюю часть раны, но не слишком глубоко, чтобы не травмировать ткани;
- промывают лунку под напором.
Дополнительная информация! Процедуру можно повторять после каждого приема пищи.
Местная обработка
После того, как острая симптоматика утихает, йодоморфные турунды нет смысла закладывать, так как они мешают эпителизации.
Но обрабатывать рану все же нужно. Для этого применяют репаративные мази, чаще всего «Солкосерил» или «Метрогил Дента». Схема действий следующая:
- лунку промывают антисептическим раствором;
- подсушивают рану тампоном;
- распределяют мазь по всей лунке;
- не смывают и не достают лекарство – оно постепенно рассосется само, по мере исчезновения препарата подкладывают новую дозу.
Помимо этого, прописывают полоскания антисептиками и местные аппликации с анестетиками и анальгетиками.
Что делать после удаления зуба, какие рекомендации врача?
Медикаментозная терапия
После хирургического вмешательства назначают прием следующих медикаментов:
- антибиотиков для устранения инфекции – «Амоксиклав», «Линкомицин», «Юнидокс-Солютаб»;
- нестероидных противовоспалительных средств для снятия болей – «Нимесил», «Найз», «Нурофен».
Обратите внимание! Пероральный прием обезболивающих малоэффективен. Чтобы снять луночковые боли, их нужно пить в больших количествах, что может привести к гастриту. Лучше заменить таблетки и порошки аппликациями с анестетиками.
Сухая лунка после удаления зуба – серьезное инфекционно-гнойное заболевание, которое может привести к тяжелым осложнениям: флегмоне, абсцессу, остеомиелиту и даже сепсису крови.
Лечение альвеолита занимает несколько дней. Боли и незначительное воспаление сохраняется еще пару недель. На полное заживление уходит от 1 до 2 месяцев, а на формирование новой костной ткани – до полугода. После можно проводить протезирование или имплантацию.
Администратор и модератор сайта Окончил НМУ им. А. А. Богомольца по специальности «лечебное дело» Практикующий врач. Участник международных конференций и конгрессов молодых ученых. Автор научных докладов по сочетанной патологии кранио-фациального участка.
Источник: https://detstoma.ru/udalenie-zubov/suhaya-lunka-posle-udaleniya-zuba.html
Поделиться:




