Застойная пневмония у пожилых больных является важной медико-социальной проблемой в гериатрической практике. Заболевание отличается своими характерными особенностями. Пенсионеры тяжело переносят пневмонию и болеют ею чаще всех.
Это происходит потому, что процесс старения снижает нормальные функциональные возможности организма. А застойное воспаление зависит не только от источника заражения, но и от иммунной регуляции выработки антител, помогающих бороться с инфекциями.
Что такое застойная пневмония
Застойная пневмония у пожилых людей является воспалением одного или обоих легких. Заболевание начинает развиваться быстро в тех частях, где плохо циркулирует кровь и скапливается тканевая жидкость. Затем процесс распространяется на другие отделы легочной системы.
Тяжелое заболевание является особенно опасным для лежачих пенсионеров. Когда человек долго лежит в кровати, не меняя своего положения, кровь с трудом доходит до сердца. При этом происходит нарушение вентиляционной и дренажной функции, ухудшается работа местных капилляров. Переполненные кровью сосуды становятся тяжелыми и сдавливают дыхательные органы. Что и является толчком для развития застойного воспаления.
Легочные болезни возникают в подавляющем большинстве по причине аспирации микробов. Этим и возбудителями чаще всего могут быть бактерии:
- Streptococcus pneumoniae;
- из семейства Streptococcaceae;
- грамположительные из рода стафилококков;
- палочка Пфайффера.
В зависимости от возбудителей различают несколько форм застойной пневмонии:
- вирусная;
- грибковая;
- бактериальная.
К тому же врачи отмечают разную тяжесть стадии протекания заболевания.
Как проявляется заболевание у пожилых людей
Застойная пневмония у пожилых людей зависит от степени тяжести нарушения гемодинамики и альвеолярной вентиляции. Угроза болезни состоит в том, что симптоматика носит смазанный характер. Поэтому можно не сразу заметить наличие признаков застойной пневмонии.
У пожилых людей застойная болезнь имеет легочные и вне легочные проявления.
Характерным лидером легочных симптомов является кашель. Постепенно сухой кашель переходит во важную форму, при этом мокрота почти не отходит или отходит с трудом. При локализации воспаления на плевре у больного начинается одышка, хрипы, боли и тяжесть в грудной области. Также заметно меняется характер, цвет, запах мокроты.
Для установления причин легочной симптоматики врачи проводят комплексное обследование.
На фоне патологии развиваются также вне легочные симптомы заболевания:
- отсутствие аппетита;
- сонливость;
- слабость;
- тошнота;
- сильное слюноотделение;
- недержание мочи;
- сердечная недостаточность.
Развивается в основном застойная пневмония у пожилых людей из-за неподвижности. Но даже когда пациент не только лежит, дыхание у него становится неровным, образуя подходящую обстановку для убежища бактерий в недостаточно вентилируемых участках.
Чем опасна застойная пневмония
Болезнь имеет четвертое место по причине смерти, после инфаркта, рака и инсульта. Опасность ее в том, что воспаленные зоны легких прекращают участвовать в процессе дыхания. Особенностями застойной пневмонии, особенно у неподвижных стариков, является затрудненная возможность откашлять мокроту. По причине чего эта мокрота переполняет бронхи, мешая дышать. Инфекция, попавшая в альвеолы, отравляет весь организм.
Если не оказать вовремя врачебную помощь застойная пневмония прогрессирует и вызывает ряд осложнений:
- переполнение кровью легочных вен;
- замена легочной на соединительную ткань;
- нарушение оттока крови;
- воспаление плевральных листков, перикарды;
- усугубление дыхательной недостаточности;
- ухудшение сердечных функций.
Отсутствие аппетита вызывает недополучения организмом необходимого набора белков, углеводов и витамин для борьбы с бактериями. Воспалительный процесс может затронуть как одно легкое, так и обои.
Прогноз застойной пневмонии у престарелых и пожилых лежачих больных зависит от состояния больного, своевременно проведенной диагностики и грамотной терапии.
Причины возникновения у пожилых людей
У неподвижно лежачего больного легко возникают в легочных альвеолах застойные явления. Среди предрасполагающих факторов к развитию болезни выделяют:
- хронические болезни бронхо-легочной системы;
- вредные привычки;
- малая двигательная активность;
- онкология;
- снижение иммунной системы;
- аллергическая астма;
- переохлаждение;
- нарушение кровообращения в сердечно-сосудистой системе;
- бактерии, вирусы и грибковые инфекции.
В группу риска заболевания гипостатической пневмонией входят люди старшего возраста. Причиной, по которой именно для пожилых такая патология опасна, являются возрастные изменения и естественное нарушение вентиляции легких.
Подвергаются легочной болезни также те, которые перенесли заболевания других органов и систем:
- бронхит, гайморит,грипп;
- сахарный диабет;
- патологию сердечной мышц;
- митральный стеноз;
- воспаление почек.
Часто застойную пневмонию захватывают пожилые люди, которые перенесли хирургическую операцию. Это объясняется послеоперационной болью, при которой пациент неглубоко и поверхностно дышит. Это увеличивает скопление жидкости в легочном органе и может вызвать осложнения.
Обязательные диагностические мероприятия
Диагностику застойной пневмонии у пожилых людей установить трудно, так как заболевание не отличается специфическими признаками. Врач должен определить возбудителя заболевания, проведя комплексное обследование. Для этого проводится диагностика в два этапа.
На начальной стадии проводится физикальный осмотр с целью выявления симптомов заболевания и первичной оценки состояния больного. Полученная клиническая картина определяет дальнейшие диагностические мероприятия.
Читайте также:
Как лечить у черепах пневмонию
Следующие лабораторно-инструментальные исследования включают в себя:
- общий и биохимический анализ мочи;
- рентген грудного отдела;
- эхокардиографию;
- исследование мокроты;
- бронхоскопию;
- ультразвуковое исследование плевральной полости;
- электрокардиографию.
На основании клинических, бронхоскопических и бронхографических анализов определяется изменение бронхов.
Для установления точного диагноза следует посетить нескольких разнопрофильных врачей, таких как невролога, пульмонолога, кардиолога.
На основании проведенных исследований доктор назначает эффективное лечение.
Особенности лечения пневмонии в старческом возрасте
Основой лечения застойной пневмонии у пожилых является грамотная и своевременная антибактериальная терапия. Больных в тяжелом состоянии госпитализируют в отделение реанимации интенсивной терапии. Болезнь определяется комплексной терапией, так как при развитии патологии страдают многие внутренние органы.
Медикаментозное лечение
Лечение застойной пневмонии у пожилых больных проходит стационарно и под постоянным контролем специалистов. Для успешной терапии врач назначает:
- диуретики: Фуросемид, Трометамол, Лазикс;
- отхаркивающие средства: Амброксол, Коделак бронхо, АЦЦ, Флуимуцил;
- антиоксиданты, витамины;
- сердечные гликозиды: Добутамин, Левосимендан, Строфантин;
- иммуномодуляторы: Эсберитокс, Флемоксин, Тактивин.
Для лечения инфекционной болезни назначают антибиотики широкого спектра действия:
- Амоксиклав;
- Цефуроксим;
- Цефтриаксон.
Препараты хорошо всасываются в кровь, равномерно распределяются в основных тканях, обеспечивают универсальный лечебный эффект. Обладают бактерицидными свойствами к большинству грамположительных и грамотрицательных микроорганизмов.
Терапия заболевания длится долго,поэтому важно соблюдать все предписания врача, соблюдать постельный режим и принимать все препараты, которые назначаются.
Лечение пневмонии народными средствами
Народные средства при лечении застойной пневмонии у пожилых могут являться только вспомогательными и применяться по рекомендации врачей.
Хорошим средством к дополнительному лечению болезни является мед с березовыми почками. Для приготовления лечебного сбора нужно взять пол литра меда и 70 г почек, которые можно купить в аптеке. Прокипятить все вместе 10 минут. Затем, убрав почки, принимать полученную смесь ежедневно по столовой ложке.
Можно
применять настои из трав:
- листьев мать-и-мачехи с душицей;
- листьев подорожника;
- зверобоя;
- корня сабельника болотного;
- листьев медуницы лекарственной;
- плодов калины.
Для получения эффективного результата важно проводить регулярную терапию.
Хирургическое лечение
В случаях, когда пожилой человек постоянно лежит, лечить его трудно. Так как состояние такого больного тяжелое, единственный способ вылечить – это провести хирургическую терапию.
При тяжелой форме заболевания назначают прокол грудной клетки. Операцию проводят для того, чтобы убрать жидкость, которая собралась в легких. При этом лечение проходит под наркозом.
При несвоевременном оперативном вмешательстве начинают развиваться серьезные осложнения, приводящие к летальному исходу. Поэтому при первых симптомах застойной пневмонии необходимо срочно обратиться к врачебной помощи.
Профилактические действия
Уход за неподвижными людьми в преклонном возрасте обязательно должен включать предотвращение застоя в легких, который приводит к гипостатической пневмонии. В качестве профилактических мер данной болезни важно соблюдать определенные рекомендации:
- часто менять положение лежачего больного;
- стараться выполнять специальные физические упражнения;
- проводить дыхательные упражнения.
При постановке диагноза застойной пневмонии в большинстве случаев именно профилактические мероприятия могут помочь предупредить пагубные последствия. В помещении, где находится больной,должна быть оптимальная температура, а выходя на улицу нужно одеваться по погоде. К тому же стоит следить за сбалансированным питанием больного.
Стрессы также провоцируют развитию осложнений, поэтому старых людей лучше ограждать от лишних волнений.
Застойная пневмония у пожилых людей протекает стремительно. И если не распознать ее на начальной стадии,прогноз для пациента весьма неблагоприятный. Нужно провести комплексную диагностику, чтобы вовремя распознать болезнь. Профилактические меры и рекомендации врача по лечению помогут предупредить патологию и способствовать скорому выздоровлению.
Я пишу статьи по различным направлениям, которые в той или иной степени затрагивают такое заболевание как отек.
Из этой статьи вы узнаете:
-
Что такое застойная пневмония и чем она опасна для пожилых людей
-
Каковы симптомы застойной пневмонии
-
Как диагностируется застойная пневмония
-
Как лечится застойная пневмония у пожилых
В учебниках по медицине застойная пневмония называется гипостатической. Это «вторичное» заболевание, осложняющее течение других болезней. Возникает в результате нарушенного кровообращения по малому (легочному) кругу и затрудненного вентилирования легких. Обычно появляется у лежачих больных или престарелых людей. Наша статья о том, как диагностируется, протекает и чем лечится застойная пневмония у пожилых.
Причины возникновения застойной пневмонии у пожилых людей
-
Из-за некоторых болезней (например, инсульт, инфаркт, заболевания легких и т. д.), приводящих в послеоперационном периоде к ограничению двигательной активности больного, может развиваться застойная пневмония у пожилых.
-
С возрастом в дыхательной системе человека происходят функциональные изменения. Диафрагма слабеет, дыхание пожилых людей (старше 65 лет) становится неглубоким, эластичность легочных тканей снижается.
-
В преклонном возрасте кровоток в малом круге кровообращения сильно затруднен. Ухудшение вентилирования бронхов приводит к развитию микробной флоры в бронхотрахеальном дереве и ротоглотке, активно размножаются болезнетворные микробы (анаэробы, пневмококки и энтеробактерии), в результате их «бурной деятельности» может образоваться застойная пневмония.
Читайте также:
Все признаки пневмонии у ребенка
Как проявляется застойная пневмония у пожилых людей
При обычной пневмонии поражаются небольшие участки легких, поэтому лечится она медикаментами довольно легко и быстро.
Во много раз опаснее застойная пневмония, при которой происходит застой жидкости в легочных тканях и бронхах.
Диагностируется гипостатическая пневмония по наличию следующих признаков:
-
озноб;
-
общая слабость и сонливость;
-
непрекращающийся кашель;
-
усиленное потоотделение из-за нарушения терморегуляции организма;
-
одышка;
-
температура тела нормальная или слегка повышена;
-
незначительное выделение мокроты при кашле;
-
прослушиваются хрипы.
Будьте внимательны! У пожилого человека может быть только общая слабость или отсутствовать аппетит, он может даже не подозревать, что болен, потому что другие симптомы часто «смазаны».
Именно поэтому очень важна своевременная диагностика этого коварного заболевания.
Диагностика застойной пневмонии у пожилых
Застойная пневмония у пожилых людей не имеет особых примет, каких-либо только ей присущих симптомов. Поэтому главной задачей родственников и лечащих врачей является своевременное проведение комплексного обследования заболевшего, точное диагностирование болезни.
Записи в истории болезни пожилого человека о наличии определенных хронических или перенесенных заболеваний могут служить подсказкой для врача. К таким болезням-«подсказчикам» относятся:
-
инфаркт, инсульт;
-
атеросклероз и кардиосклероз, пороки сердца;
-
аритмия, стенокардия, гипертония;
-
эмфизема легких, астма;
-
воспаления почек;
-
сахарный диабет.
Для подтверждения поставленного диагноза необходимо:
-
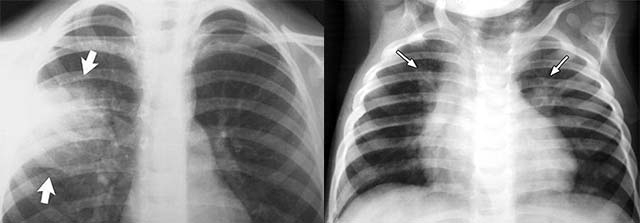
Сделать рентген – на снимке жидкость, скопившаяся в легких, проявится характерным помутнением. К сожалению, этот фотокадр только показывает застойный сгусток, но он практически ничем не отличается от изображений других легочных заболеваний (например, бронхопневмонии), и к тому же не все больницы имеют аппаратуру для обследования лежачих больных.
-
Провести УЗИ плевральной полости для обнаружения застоявшейся жидкости и определения точного места ее расположения в легких.
-
Обязательно прослушать легкие с помощью стето- или фонендоскопа – застойную пневмонию подтверждают сиплое дыхание и «влажные» хрипы.
Вторичная пневмония, вызванная другой болезнью, чаще всего локализуется в нижней доле правого легкого, то есть в самой удаленной от сердца области. Именно здесь и следует ее искать в первую очередь.
Застойная пневмония не прощает ошибок. Пожилой человек может потерять сознание или даже впасть в кому, и врачи ставят неправильный диагноз.
Иногда наблюдается довольно «неприятный» симптом – недержание мочи. Пожилой человек может впадать в депрессию, у него часто меняется настроение, при этом врачи часто диагностируют синильную деменцию.
Как развивается застойная пневмония у пожилых людей? Основной ее симптом (одышку) часто путают с сердечной недостаточностью. Поэтому врачам нужно быть предельно внимательными при осмотре пациента, чтобы исключить ошибочный диагноз и не пропустить начала развития коварной болезни.
В случаях промедления, когда пожилой человек долго не обращается за врачебной помощью, или при ошибочном диагностировании и неверном лечении пневмония прогрессирует и проходит следующие стадии развития:
-
Нарушается отток крови и происходит переполнение легочных вен.
-
Сквозь стенки сосудов происходит пропотевание (просачивание) плазмы крови, и жидкость накапливается в легочных альвеолах (пузырьках, из которых состоят наши легкие). Зачастую на этой стадии происходит инфицирование бактериями.
-
Происходит замена легочной ткани на соединительную.
Как лечится застойная пневмония у пожилых людей
Застойная пневмония у пожилых людей лечится в стационарном медицинском учреждении под постоянным контролем врачей. В связи с тем, что это заболевание вызывается патогенными бактериями, больному назначаются антибиотики широкого спектра действия или направленные на определенный штамм микробов (если удалось «вычислить» возбудителя).
Наряду с лечением бактериального очага проводится восстановление нормального вентилирования легких. С этой целью назначаются следующие лекарственные препараты:
- диуретики;
- антиоксиданты и иммуномодулирующие препараты;
- отхаркивающие средства.
Для облегчения работы сердца принимают гликозиды и средства, улучшающие метаболизм. Удалению мокроты из бронхов и трахеи способствует бронхоскопия. При обнаружении жидкости в плевральной полости назначаются диуретики или делаются пункции. Выполнение всех этих лечебных мероприятий приводит к быстрому улучшению состояния больного, одновременно проводится лечение заболевания, приведшего к застойной пневмонии у пожилых людей.
Применяются методы физиотерапевтии (ингаляции, массаж, кислородные маски). Очень хорошо помогает дыхательная гимнастика (в частности комплексы Бутейко и Стрельниковой).
Обязательным является выполнение комплекса упражнений, тренирующих диафрагмальное дыхание, потому что у пожилых людей оно становится неглубоким:
-
Лежа: положив руки на живот, медленно вдохнуть; выдохнуть через рот, при этом напрягая мышцы пресса и надавливая руками (для усиления выдоха).
-
Стоя: руки развести в стороны, ноги расставить широко, вдохнуть; выдыхать медленно, при этом переводить руки вперед, и наклоняться вниз, при этом втягивая живот.
Читайте также:
Если нет температуры но сильный кашель это пневмония
Чтобы облегчить отторжение мокроты проводится позиционный «дренаж» – принятие телом таких поз, которые ускоряют стекание жидкости к рефлексогенным зонам, вызывающим кашель: пожилой человек делает несколько глубоких вдохов через нос, выдыхает через рот, крепко стиснув зубы, затем «старательно» кашляет.
За полчаса до выполнения упражнений пожилой человек может выпить теплый или горячий липовый чай, настой термопсиса (трава бывает в таблетках), мать-и-мачехи или подорожника либо чай с молоком и медом.
При улучшении состояния здоровья пожилой человек выписывается домой, где продолжает лечиться народными средствами, например, обильное питье (чай с малиной, калиной, лимоном, отвары и настои чабреца и плодов шиповника).
Лечение застойной пневмонии у пожилых людей народными средствами
-
Отлично помогает в лечении застойной пневмонии у пожилых богородская трава (чабрец, богородичная, тимьян ползучий). Заваривают 2 ст.л. на пол-литра кипятка, процеживают и пожилой человек пьет настой 4 раза в день до еды по полстакана.
-
Хорошим мочегонным действием обладает толокнянка (медвежье ушко). Заваривают 1 ст. л. травы на стакан кипятку. Пожилой человек выпивает за день в три приема через полчаса после еды.
-
Отлично разжижает и выводит мокроту настой ягод калины. Заваривают в термосе – 1-2 ст. л. сухих измельченных ягод на стакан кипятка – и настаивают ночь. Пожилой человек пьет с медом 4-5 раз в день после еды по 2 ст. л.
-
Летом собирают, высушивают и готовят лечебную смесь: берут по 3 ст. л. цветков ромашки и календулы, зверобоя, эвкалипта, малины, крапивы, алтея, шалфея, аира, девясила и подорожника. В термос засыпают 2 ст. л. полученного сбора и заливают 0,5 литра кипятка. Оставляют на ночь. Поутру процеживают, и пожилой человек пьет по половине стакана 2–3 месяца.
-
Целители Дагестана сохранили древний рецепт лекарства от воспаления легких, который называется урбеч. Чтобы его приготовить, перемалывают в кофемолке (в жерновах) по 3 кг абрикосовых ядер и льняного семени. Полученный продукт хранится в холодильнике.
Непосредственно перед употреблением берут ½ пачки сливочного масла, смешивают с одной столовой ложкой «заготовки», разогревают, доводя до кипения. Снимают с огня, добавляют столовую ложку меда. Дают остыть и убирают в холодильник до застывания. Дагестанские лекари рекомендуют намазывать урбеч на хлеб или добавлять в каши и давать больным бронхолегочными заболеваниями.
Хирургическое лечение застойной пневмонии
В тяжелых случаях, когда пожилой больной лежит почти без движения и ему трудно дышать, застойная пневмония лечится с трудом. Для облегчения страданий пациента врачи могут назначить прокол грудной клетки, чтобы откачать скопившуюся в легких жидкость. Естественно, что такую мини-операцию проводят под общим наркозом в стационаре.
Любую болезнь легче предупредить, чем лечить. Можно ли уберечься от пневмонии? Оказывается, существует много простых способов профилактики этой болезни.
Профилактика развития застойной пневмонии у пожилых людей
Застойная пневмония у пожилых людей возникает в результате других патологий, поэтому пожилой человек должен соблюдать следующие рекомендации по профилактике этого коварного заболевания:
-
Держать ноги всегда в тепле, надевать обувь по погоде и только качественную. Если на прогулке ноги промокли или замерзли, дома обязательно сделать горячую ножную ванночку с горчицей.
-
Как можно чаще и в любую погоду гулять пешком, одеваясь в соответствии с погодой за окном. Пешие прогулки помогают насыщать организм кислородом, держать его в отличной форме.
-
Часто и полноценно отдыхать, избегать стрессовых ситуаций.
-
Бросить вредные привычки.
-
Питаться правильно, часто употреблять в пищу продукты, богатые витаминами и минералами (особенно цинком – он содержится в красной рыбе и мясе, а также в бобовых).
-
Пожилым людям с аллергией стараться избегать провоцирующих факторов.
-
В периоды эпидемий гриппа пожилой человек может пройти вакцинацию.
-
Для профилактики застойной пневмонии у пожилых лежачих пациентов полезно проводить такие процедуры и мероприятия:
-
изменять положение тела больного по несколько раз в день;
-
проводить «постукивающий» массаж грудной клетки (за исключением области сердца) и спины;
-
ставить горчичники и банки;
-
следить за регулярным выполнением физических упражнений и дыхательной гимнастики (самое меньшее – это повороты, движения руками и ногами, надувание воздушных шаров);
-
чаще проводить уборку и проветривать помещение, где находится пожилой больной;
-
всеми допустимыми способами увлажнять воздух в комнате.
-
Застойная пневмония у пожилых людей в большинстве случаев успешно излечивается, и пациенты полностью восстанавливают свое здоровье, но картина лечения во многом зависит от своевременности обращения больного за врачебной помощью.














