Венерические заболевания у мужчин — симптомы и лечение, виды
О венерических заболеваниях человечеству было известно еще с древних времен. Впервые термин «венерические болезни» использовал французский ученый Ж. де Бенакур. Долго эти недуги считали одним заболеванием, пока не открыли их возбудителей: гонококк, бледную спирохету и другие.
В 90-х годах 20 века в официальной медицине стали использовать термин ИППП (инфекции, передающиеся половым путем). В эту группу вошли болезни, которые передаются не только половым путем, но и контактно-бытовым или через кровь. Венерические заболевания встречаются как у мужчин, так и у женщин. Однако есть некоторые отличия в симптомах и характере течения этих болезней у мужчин.
Пути заражения
Главный путь заражения венерическими заболеваниями — это половой. Инфекция передается при любом виде секса. Некоторые болезни передаются контактно-бытовым способом (сифилис, герпес, чесотка, лобковые вши). Часть инфекций имеет трансмиссионный путь передачи (через кровь). К таким относятся: ВИЧ, гепатит.
Существует две классификации венерических заболеваний у мужчин. Первая основана на разделении болезней по способу заражения:
- Классические ВЗ с системным воздействием на организм (гонорея, сифилис).
- «Новые ВЗ» – ИППП, которые поражают половые органы (трихомониаз, уреаплазмоз, хламидиоз).
- Заболевания, передающиеся также через кровь (СПИД, гепатит).
Другая классификация подразумевает разделение венерических заболеваний в зависимости от возбудителя. Инфекции бывают:
- Бактериальные. Это сифилис, гонорея, хламидиоз.
- Вирусные: герпес, ВИЧ, вирус папилломы человека, гепатит.
- Паразитарные: трихомониаз, чесотка, вши.
- Грибковые инфекции (кандидоз, микоплазма).
Симптомы
Симптомы венерических заболеваний у мужчин зависят от типа болезни и стадии течения. В основном у мужчин они имеют яркое проявление. Однако рад ИППП протекает скрыто. Также симптоматика зависит от времени заражения. В остром периоде симптомы наиболее яркие, когда заболевание перешло в хроническую стадию, клиническая картина смазана.
Первые признаки:
- Болевые ощущения, зуд, жжение в мочеиспускательном канале.
- Выделения из уретры желто-зеленого цвета с неприятным запахом.
- Частые позывы в туалет, затруднение оттока мочи.
- Сыпь, язвочки, волдыри, покраснения на половых органах.
- Примеси крови в моче и сперме.
- Проблемы с эрекцией.
- Неприятные ощущения в области заднего прохода.
- Высыпания, папулы на теле.
- Повышение температуры.
- Боли в мышцах и суставах.
- Болезненное увеличение паховых лимфоузлов.
Какие заболевания протекают бессимптомно?
Это такие заболевания, как уреаплазмоз, герпес, папилломавирус. Они долгое время медленно распространяются по организму, вызывая осложнения в виде импотенции, бесплодия, простатита. Мужчина не подозревает о своих недугах, они выявляются случайно при плановом осмотре. При этом мужчина является носителем инфекции, передает вирусы своей партнерше.
Виды
В медицине насчитывается множество венерических заболеваний. У мужчин чаще всего диагностируются следующие болезни:
1. Сифилис. Является самой древней венерической болезнью В Европе в 16 веке даже была эпидемия сифилиса, длящаяся более 50 лет. Возбудителем является бактерия бледная спирохета. Сифилис может передаваться бытовым путем. Болезнь протекает в два этапа.
Инкубационный период длится до 30 дней, затем на месте проникновения инфекции (чаще всего на половом члене) появляется твердый шанкр. Обычно мужчина не связывает это с ИППП, поэтому заболевание переходит во 2 стадию. В это период начинаются высыпания по телу, повышается температура, воспаляются лимфоузлы.
2. Гонорея. Одно из самых распространенных ЗППП. Возбудителем выступает бактерия гонококк. Проявляется очень ярко: выделения из уретры, боли при мочеиспускании, воспаление простаты. Часто болезнь переходит в хроническую или латентную стадию, этому способствует самолечение. Гонорея — одна из причин импотенции, аденомы простаты и мужского бесплодия.
3. ВИЧ. Смертельно опасное заболевание, которое передается также через кровь. Возбудителем является вирус иммунодефицита человека. Инкубационный период длится до 3 лет, никаких проявлений не наблюдается. Но болезнь подавляет иммунную систему.
Первые признаки ВИЧ похожи на симптомы гриппа:
- температура; ломота в костях;
- могут быть высыпания на теле;
- обострения стоматита.
Больной постоянно подхватывает простудные заболевания, которые протекают тяжело и не поддаются лечению. В конечном итоге пациент может умереть от простой царапины или банального ОРВИ.
4. Хламидиоз. Возбудитель болезни — бактерия хламидия. Симптомы хламидиоза у мужчин выражены неярко, маскируются под другие заболевания. Поэтому пациент начинает принимать лекарства, загоняя инфекцию вглубь.
При дальнейшем обострении у мужчины возникают следующие симптомы:
- выделения с неприятным запахом;
- зуд, боль при мочеиспускании;
- капли крови в моче;
- повышение температуры;
- утомляемость, слабость;
- боль при семяизвержении.
5. Трихомониаз. Занимает первое место среди ИППП. Возбудитель — влагалищная трихомонада. В отличие от женского, мужской трихомониаз проявляется слабо или вообще протекает бессимптомно.
Основные признаки болезни: слизистые выделения по утрам, резь при мочеиспускании, утренние позывы в туалет с малым выделением урины.
Трихомониаз при отсутствии лечения приводит к простатиту, импотенции, бесплодию.
6. Генитальный герпес. Скрытый период болезни длится до двух месяцев. Возбудитель — вирус простого герпеса. Характеризуется чередованием периодов обострения и ремиссии, вылечить болезнь невозможно, пациент на всю жизнь остается носителем вируса. Главные симптомы герпеса — это появление пузырьков на половых органах, повышение температуры, головные боли.
7. ВПЧ (вирус папилломы человека). Заболевание также является неизлечимым. Вирус долго дремлет в организме и обостряется при снижении иммунитета. Симптомами являются папилломы на половых органах. Существует три штамма ВПЧ: неонкогенный, слабоонкогенный и онкогенный. Последние два становятся причиной рака полового члена у мужчин.
8. Гепатит. Заражение гепатитом В и С происходит половым путем и через кровь. В группе риска находятся наркоманы, люди, ведущие беспорядочную половую жизнь. Также есть вероятность заражения при медицинских манипуляциях. Инкубационный период составляет 2-6 месяцев. При попадании в кровь гепатит дает быструю и яркую симптоматику.
При половом заражении болезнь имеет симптоматику, схожую с проявлениями ОРВИ:
- субфебрильная температура;
- слабость, утомляемость, упадок сил;
- головные боли;
- высыпания на теле.
На хронической стадии проявляются признаки поражения печени в виде горького привкуса во рту, рвоты, тошноты. На третьем этапе развивается желтуха. Гепатит воздействует на печень, вызывая цирроз, который приводит к летальному исходу.
9. Уреаплазмоз. Возбудитель — условно патогенная бактерия уреаплазма. Она присутствует в организме в небольшом количестве и не проявляет себя.
При снижении иммунитета размножается, вызывая следующие симптомы:
- небольшие выделения без запаха;
- боль и жжение в конце мочеиспускания;
- покраснение головки полового члена.
При длительном течении вызывает простатит и бесплодие.
10. Кандидоз (молочница). Является следствием активного размножения патогенных грибков кандида. У мужчин протекает бессимптомно. В некоторых случаях может быть белесый налет на головке полового члена, болезненность при половом акте.
Диагностика
Для диагностики венерических заболеваний у мужчин используют различные методы. Они отличаются по скорости и точность результатов.
Основные диагностические методы:
- Микроскопия мазка. Самый быстрый и дешевый метод. Взятые выделения наносят на стекло, окрашивают красителями и изучают под микроскопом. Лаборант может рассмотреть количество и тип бактерий.
- ПИФ (прямая флюоресценция), ИФА (иммуноферментный анализ). Эти методы основаны на том, что антитела реагируют на специальные антигены. Если антител в крови нет, то реакции не последует. Так можно выявить те болезни, которые протекают скрыто. Также можно установить, что пациент когда-то уже перенес инфекцию и в его крови присутствует небольшое количество антител.
- ПЦР (полимеразная цепная реакция). С помощью полимеразной реакции восстанавливают ДНК возбудителя. Если возбудитель отсутствует, то результат будет отрицательным.
Такие болезни, как сифилис, гепатит, СПИД диагностируют методом определения специфических антител. Если присутствует ответная иммунная реакция на возбудителя, то это говорит о том, что пациент болен.
Лечение
Лечение венерических заболеваний у мужчин предполагает применение антибактериальных препаратов. Для каждой инфекции подбирается свой антибиотик. Сифилис лечится пенициллинами, а на гонококки пенициллин не действует. Для лечения гонореи используют Цефтриаксон или Азитромицин. Для терапии таких инфекций, как хламидиоз, трихомониаз применяют Метронидазол, Трихопол.
При вирусах герпеса, ВИЧ, ВПЧ, гепатите назначают терапию специальными средствами, воздействующими на иммунную систему (Интерферон Альфа), антиретровирусные препараты (Зидовудин).
Выбор препаратов, длительность курса терапии определяются врачом. Нельзя заниматься самолечением, так как болезнь переходит в скрытую стадию, развивается лекарственная резистентность. Но заболевание все равно прогрессирует и приводит к серьезным осложнениям.
Самые опасные последствия для мужчин — это импотенция, бесплодие, летальный исход.
Прогноз и профилактика
Большинство заболеваний при правильном и своевременном лечении имеют благоприятный прогноз. Исключение составляют СПИД, папилломавирус, герпес, гепатит. С помощью препаратов удается достичь периода ремиссии, остановить прогрессирование заболевания.
Основные меры профилактики венерических заболеваний:
- Избегание незащищенных половых контактов.
- Использование барьерного метода контрацепции.
- Применение стерильных медицинских инструментов.
- Прохождение регулярных медосмотров.
У мужчин венерические заболевания диагностируют довольно часто. Многие инфекции становятся виновниками серьезных мужских проблем в виде импотенции и бесплодия. Ведение здорового образа жизни и избирательность в половых контактах помогают избежать этих проблем.
Источник: https://medcatalog24.ru/venerologiya/venericheskie-zabolevaniya-u-muzhchin/
Венерические заболевания — симптомы венерологических заболеваний у мужчин
Медицине известно около тридцати венерических болезней. Многие венерические заболевания излечимы.
Но при отсутствии лечении или несвоевременной терапии они могут переходить в хроническую форму и давать осложнения.
Также в венерологии есть неизлечимые патологии, которые после лечения входят в ремиссию, но потом дают рецидивы. Мы перечислим основные признаки венерологических заболеваний у мужчин, а также способы их лечения.
Какие болезни относятся к венерическим?
Болезни, передающиеся половым путем, называются «заболевания венерологические». Стоит отметить, что некоторые инфекции, провоцирующие такие болезни, передаются и другими путями, например, во время родов от матери ребенку, при использовании предметов обихода, нестерильных инструментов, игл и при некоторых медицинских манипуляциях.
Чаще всего заражение происходит при половом контакте (вагинальном, оральном или анальном сексе). Также инфицирование случается при тесном телесном контакте. Риск инфицирования при интимном контакте повышается, если мужчина не применяет презерватив.
Венерические заболевания у мужчин провоцируют вирусы (генитальный герпес, цитомегаловирус, папилломавирус человека), патогенные бактерии (сифилис, гонорея, трихомониаз и др.), грибковые инфекции (кандидоз), протозойные инфекции (микоплазмоз и уреаплазмоз), паразиты (лобковая вошь).
Внимание! Важно не только своевременное лечение венерологического заболевания, которое можно пройти анонимно у венеролога, но и профилактика болезни.
Инкубационный период и классификация
Симптомы ЗППП могут отличаться, также по-разному выглядят венерические заболевания на фото. Первые признаки патологии проявляются после того, как заканчивается инкубационный период. Это скрытое течение недуга, которое начинается после внедрения инфекционного агента в организм и заканчивается с появлением первых симптомов.
В течение инкубационного периода проявления болезни отсутствуют, а человек пока еще не может заразить половых партнеров. Венерические заболевания у мужчин имеет разное по протяженности скрытое течение. Например, гонорея дает первые признаки заболевания через несколько дней после инфицирования, а гепатиты С и В проявляются только через полгода.
Согласно ВОЗ существует такая классификация всех инфекций репродуктивного тракта:
- Эндогенные инфекции. Сюда относится бактериальный уретрит и вагиноз, а также кандидоз.
- К половым инфекциям ВОЗ причислила трихомониаз, гонорею, сифилис, хламидиоз, генитальный герпес, ВИЧ, генитальные бородавки.
- Ятрогенные инфекции – это воспалительные патологии органов малого таза, которые возникают по причине хирургических вмешательств и медицинских манипуляций.
Основные проявления классических венерических болезней
Венерические заболевания у мужчин на фото могут выглядеть по-разному. Однако взрослый человек может сам определить, что ему необходимо лечить мочеполовую патологию, если обратит внимание на общие характерные признаки ЗППП.
Так, можно перечислить следующие общие симптомы венерологических заболеваний у мужчин:
- мужчина ощущает зуд и жжение в районе полового органа;
- на члене и в области анального отверстия могут появляться всевозможные высыпания, эрозии, язвы, раздражения и покраснения;
- основной симптом многих венерических болезней – выделения из уретры (они могут быть слизистые или гнойные, с примесью крови или зловонные);
- болезненное мочеиспускание;
- часто патологии сопровождаются увеличением региональных лимфоузлов;
- мужчине докучают частые позывы к опустошению мочевика;
- во время полового акта человек ощущает боль и дискомфорт.
Сифилис
Скрытый период этой болезни длится 3-6 недель. После этого появляются первые симптомы в виде небольших язвочек, локализующихся в месте внедрения инфекции (обычно на половом органе). Второе название сифилиса – твердый шанкр. Язва безболезненная, не кровоточит и не увеличивается в размере. Через какое-то время начинают опухать паховые лимфоузлы.
Полностью вылечить болезнь можно только на начальной стадии. При отсутствии лечения через 2-3 месяца патология переходит во вторую стадию, для которой характерны следующие симптомы:
- высыпания по всему телу;
- высокая температура;
- головные боли;
- увеличиваются не только паховые, но и все остальные лимфоузлы;
- у некоторых мужчин начинают выпадать волосы;
- на члене и около анального отверстия возникают кондиломы.
Третья стадия заболевания характеризуется патологиями опорно-двигательного аппарата, сбоями в работе ЦНС и внутренних органов. Все это приводит к неизлечимым изменениям в организме больного, в результате которых четверть пациентов умирает.
Гонорея
Скрытое течение гонореи продолжается примерно неделю. У сильного пола инфекция длительное время не дает симптомов. Среди характерных признаков заболевания стоит назвать следующее:
- болезненность мочеиспускания;
- зуд и жжение в органе;
- учащаются позывы к опорожнению;
- из уретры появляются гнойные выделения желто-зеленой окраски.
Нелеченая гонорея вызывает поражение внутренних органов и приводит к хронической воспалительной патологии. Часто страдают яички и их придатки, а также семенные пузырьки.
Важно! Хроническое воспаление этих органов приводит к половой дисфункции и бесплодию.
Мягкий шанкр
В медицине это заболевание еще называют шанкроид. Как и при сифилисе, первый симптом патологии – формирование язв. Они локализуются на разных частях полового органа и формируются в месте проникновения инфекции.
В отличие от сифилиса, язвы быстро растут в глубину и ширину. Они очень болезненные и часто кровоточат, что позволяет отличить болезнь от сифилиса. Сама язва мягкая, ее края достаточно отечные, воспаленные и неровные.
На дне язв находится налет из гноя и крови. Когда гнойное отделяемое попадает на окружающие ткани, там формируются новые язвы. Именно поэтому единичные шанкры при этой болезни – большая редкость. Обычно по периметру основной эрозии располагаются новые язвы.
Они сливаются в одно большое образование.
Донованоз
Второе название болезни – паховая гранулема. Инфекция активно развивается во влажном климате и при высоких температурах. Инкубационный период в среднем равен месяцу, но иногда доходит до 12 недель.
Признаки болезни у мужчин следующие:
- вначале возникает красноватый небольшой узелок;
- потом на его месте образуется мясисто-красная безболезненная язва с бархатистой поверхностью (края образования чуть приподнятые и неровные);
- изъязвление постепенно увеличивается.
При отсутствии лечения донованоз может привести к стриктурам уретры, слоновости половых органов, стриктуре анального прохода.
Микоплазмоз
Заболевание имеет несколько стадий. На начальном этапе симптомы болезни следующие:
- болевые ощущения, жжение и рези при мочеиспускании;
- учащенные позывы;
- из уретры выделяется прозрачная слизь, но позже в ней появляются прожилки гноя (такие же гнойные вкрапления могут присутствовать в моче).
Если лечение не проводится, то болезнь входит во вторую стадию, и у мужчины появляются дополнительные симптомы:
- в паху возникают тянущие болевые ощущения;
- увеличиваются региональные лимфоузлы;
- опухают яички;
- возникает комплекс симптомов, свойственных общей интоксикации.
Уреаплазмоз
Первые признаки заболевания появляются через три дня или даже через месяц. Для мужчин характерны такие симптомы:
- зуд полового органа;
- дискомфорт в этой области;
- болезненность мочеиспускания;
- прозрачные слизистые выделения из уретры.
Важно! Вовремя нелеченый уреаплазмоз нарушает процесс сперматогенеза у сильного пола, что приводит к бесплодию.
Хламидиоз
Инкубационный период этой распространенной патологии длится от семи дней до месяца. Первые проявления заболевания следующие:
- болезненное мочеиспускание;
- гнойные выделения из мочевыводящего канала;
- болевые ощущения в мошонке и промежности.
Если болезнь не лечить, она приводит к распространению воспалительного процесса на придатки яичек, мочевик и предстательную железу. В дальнейшем патология может привести к нарушению эректильной и половой деятельности.
Венерический лимфогранулематоз
Второе название заболевания – венерическая лимфогранулема. Скрытое течение патологии продолжается от пяти дней до трех недель.
Первые признаки заболевания – небольшие бугорки или пузырьки, которые формируются в месте проникновения инфекционного агента. Как правило, образование появляется на половом члене.
Через несколько недель после этого увеличиваются лимфоузлы в паху. Они становятся довольно плотными и болезненными. Увеличенные узлы сливаются в одно большое образование. Кожа над ним синеет или краснее, а через время узел вскрывается, и из него выделяется гнойное содержимое.
ВИЧ инфекция
Наиболее опасное заболевание, передающееся половым путем, вызывает ВИЧ-инфекция. Симптомы этой смертельной патологии могут полностью отсутствовать, но у некоторых больных при инфицировании появляется лихорадка.
Однако этот симптом характерен для многих других инфекционных патологий. Заражение может произойти как при половом акте, так и при медицинских манипуляциях с использованием нестерильных инструментов, игл и непроверенной на ВИЧ крови.
Также заражение детей может произойти во время родов.
Из-за отсутствия симптомов и лечения через десять лет вирус приводит к угнетению иммунной системы человека – развивается СПИД.
Особенности лечения венерических болезней
Медикаментозное лечение ЗППП назначает врач венеролог либо дерматовенеролог. Многие патологии успешно лечатся на любой стадии. Проводится комплексная терапия:
- курс антибиотиков;
- физиотерапия;
- поливитаминные препараты;
- противовоспалительные средства;
- иммуностимуляторы.
По окончании лечения мужчина обязательно сдает мазок повторно, чтобы удостовериться, что инфекция полностью уничтожена. В некоторых случаях требуется дополнительная терапия. Для профилактики повторного заражения лечение должны пройти оба половых партнера.
Источник: https://ManExpert.ru/zppp/venericheskie-zabolevaniya.html
Какие бывают венерологические заболевания у мужчин: ключевые симптомы, фото проявлений
Венерологические заболевания, которые так распространены у мужчин, имеют свои особенности. Ряд из них имеет инкубационный период от нескольких недель и до нескольких месяцев. Часто носители даже не догадываются о своей болезни и узнают о ней только после обследования себя и женщин, с которыми имели контакт.
Как можно распознать разные половые болезни у мужчин, и как это выглядит? В статье присутствуют фото внешних проявлений в зависимости от вида заболевания.
Общие симптомы венерологических заболеваний
Достаточно часто венерологические болезни имеют свойство переходить из острой в хроническую стадию. Вирус начинает внезапно перестать причинять дискомфорт и больной полагает, что уже здоров. А риск заражения партнера увеличивается.
По каким симптомам можно распознать венерологические болезни:
- увеличение температуры тела;
- рези и боли во время мочеиспускания;
- неприятный запах от полового органа;
- частое мочеиспускание;
- прилегающие лимфатические узлы воспаляются.
На фото можно увидеть наиболее распространенные внешние проявления заболеваний, которые передаются половым путем. Далее мы рассмотрим особенности протекания и симптоматику ряда венерических заболеваний, которые встречаются у мужчин.
Симптомы СПИДа
Практически каждый взрослый человек знает, какую опасность представляет это заболевание, однако,количество зараженных людей все равно растет. Инкубационный период может длиться до нескольких лет, а человек иногда даже не догадывается о недуге и заражает других.
По каким же симптомам можно распознать СПИД:
- на начальной стадии ВИЧ-инфекция напоминает грипп – резко растет температура, наблюдаются боли в костях и мышцах;
- часто на коже появляются высыпания разных оттенков, появляются грибковые поражения на половых органах и ротовой полости;
- ослабляется иммунитет, могут развиваться раковые опухоли, человек подвержен частым простудам.
При наличии СПИДа мужчины и женщины постоянно жалуются на быструю утомляемость. А чтобы поставить точный диагноз, нужно сдать анализы. А если мужчина имеет несколько половых партнерш, то подобные анализы следует сдавать как минимум дважды в год. Это позволит как можно раньше выявить заболевание и увеличить риск подавления инфекции.
Характеристики хламидиоза
Нередкое венерологическое заболевание среди мужчин – это хламидиоз. Он имеет инкубационный период порядка месяца. Поначалу, когда организм ослабляется, он проявляется в виде таких симптомов, как:
- артрит;
- цистит;
- пневмония;
- конъюнктив.
Все это лечить самостоятельно без обследования нельзя, иначе инфекция лишь окрепнет.
Впоследствии хламидиоз у мужчин проявляется в таких симптомах:
- температура тела до 37, 5 градуса;
- слабость;
- сильная утомляемость после нагрузок физического плана;
- из уретры идут слизистые выделения вместе с гноем и имеют неприятный запах;
- при мочеиспускании и эякуляции выделяются кровяные сгустки;
- во время данных процессов присутствует боль и зуд;
- головка полового органа краснеет рядом с отверстием мочеиспускательного канала;
- болят тазобедренные суставы, поясница и колени.
Если у мужчины есть хотя бы один из перечисленных симптомов, то нужно обратиться к врачу. Не нужно стесняться и заниматься самолечением, так вы избавитесь от симптомов, то не от инфекции, которая потом проявится еще больше.
Особенности трихомониаза у мужчин
Такое венерологическое заболевание отличается тем, что первые симптомы выражаются слабо. Инкубационный период же длится около 3 недель и понять, что человек заболел, бывает очень трудно.
Организм ослабевает, вследствие чего снижается его сопротивляемость к разным возбудителям, которые могут активизироваться все вместе.
Клиническая картина очень неясная, соответственно, выявить наличие заболевания можно только после проведения исследований.
Симптомы заболевания такие:
- боли при мочеиспускании;
- жжение и резь в области полового органа;
- отсутствие мочи в утреннее время при наличии позывов;
- небольшие слизистые выделения.
При отсутствии лечения симптомы исчезают, но человек все равно остается носителем инфекции и может заразить партнера. В числе последствий заболевания – рак предстательной железы, который после перенесенного трихомониаза у мужчин встречается гораздо чаще, чем у тех, кто не болел им. Также трихомониаз может вызвать такие последствия:
- бесплодие;
- уретрит;
- простатит.
Лечение заключается в применении антибиотиков и противомикробных средств.
Симптомы и особенности гонореи у мужчин
Данное венерологическое заболевание может в течение недели никак не проявляться, а потом заявить о себе. Симптомы, на которые нужно обратить внимание непременно, такие:
- небольшой зуд во время мочеиспускания, особого дискомфорта не причиняет;
- жар внутри головки члена и на ее кончике;
- слипается устье уретры, может наблюдаться припухлость и небольшое покраснение;
- иногда, чаще – утром, могут встречаться серые выделения, неприятно пахнущие.
Данные симптомы иногда не сильно выражены, а в отдельных случаях и вообще отсутствуют, проявляясь через несколько недель после момента заражения, но уже в тяжелой форме. Если заниматься самолечением, то наблюдается видимое выздоровление, но на самом деле заболевание переходит в хроническую форму, которая трудно поддается лечению.
Симптомы сифилиса у мужчин и его последствия
Сифилис относят к наиболее старым венерологическим заболеваниям, которым часто подвержены люди при близких половых контактах. Данная инфекция имеет две стадии, при этом первая из них может протекать бессимптомно.
Поначалу на самом половом органе или его головке появляются небольшие язвочки. Другими локализациями высыпаний являются:
Инкубационный период заболевания может протекать около месяца. Часто мужчины считают, что язвочки на половом органе появляются не вследствие незащищенного полового акта, а как потертость. После поражения кожи нередко заболевают лимфоузлы.
Если первые симптомы заболевания прошли незамеченными, то оно переходит на вторую стадию. В таком случае симптомы выражены более ярко:
- появление сыпи по всему телу;
- температура от 38 градусов;
- выпадают волосы;
- на половых органах появляются обширные кондиломы;
- лимфоузлы увеличиваются до 3 раз, увеличивается их болезненность.
При данном заболевании могут наблюдаться следующие симптомы:
- приступы головной боли;
- общая слабость;
- быстрая утомляемость;
- невозможность справляться с обычной работой.
Венерические болезни мужчин
Заболевание особо опасно, когда при отсутствии должного лечения начинается третья стадия. В этом случае опорно-двигательный аппарат поражен, меняются все органы, наблюдаются проблемы с нервной системой.
Сифилис лечат иммуномодулирующими препаратами и антибиотиками. Лечение будет эффективным только на двух стадиях. Третья лечению не подлежит.
Проявления уреоплазмоза
Уреоплазмоз, как и другие венерологические заболевания, имеет свой инкубационный период. Когда организм больного ослаблен, то первые симптомы появляются уже на 4 день, если более крепкий – то через месяц.
Симптомы, на которые нужно обратить внимание, таковы:
- легкие боли в области уретры в начале и окончании процесса мочеиспускания;
- головка полового органа краснеет, особенно в районе отверстия уретры, может присоединяться жжение и зуд;
- из половых органов идут прозрачные выделения без запаха;
- если заражение произошло посредством орального секса, то характерным симптомом является ангина.
В запущенной форме уреоплазмоза развивается воспаление органов мочеполовой системы, что провоцирует бесплодие и простатит в будущем.
Можно ли лечить венерологические заболевания самостоятельно?
Достаточно часто мужчины до последнего откладывают свой визит к венерологу. Многие боятся огласки, немало людей прибегают к народной медицине и начинают заниматься самолечением.
Они принимают антибиотики, пьют отвары из трав, делают всевозможные примочки, но выздоровление в итоге все равно мнимое. На самом деле заболевания переходят в скрытую хроническую форму и какое-то время никак о себе не напоминают. Однако человек становится переносчиком инфекции и может заразить других, а также приобрести другие, более серьезные заболевания.
Как видите, по ряду симптомов можно определить у себя наличие того или иного венерологического заболевания и вовремя обратиться к врачу, чтобы избежать опасных осложнений и последствий.
Источник: https://urolog.guru/vidy-zabolevaniy/venericheskie-bolezni/venerologicheskie-zabolevaniya-u-muzhchin-simptomy-i-foto.html
Венерические заболевания: симптомы и диагностика
Венерическими заболеваниями, или инфекциями, передаваемыми половым путем (ИППП), люди заражаются во время сексуальных контактов. Микроорганизмы, вызывающие болезнь, могут передаваться через кровь, сперму, слюну и любые другие жидкости, выделяемые организмом.
Некоторые из этих инфекций могут передаваться не только половым путем, а, например, от матери к ребенку, во время беременности, родов или грудного вскармливания, или во время переливания крови (гемотрансфузии).
Венерические заболевания распространены в современном мире, поэтому крайне важно знать симптомы, чтобы верно провести диагностику.
Нельзя забывать и о мерах персональной защиты, о профилактике неприятных проблем со здоровьем.
Поскольку венерические заболевания некоторое время могут протекать бессимптомно, не всегда человек может знать о том, что он является источником инфекции. В таком случае распространение заболевания происходит «случайно».
Хламидиоз
Первые 1-3 недели после заражения хламидиоз протекает совершенно бессимптомно.
Хламидиоз – бактериальная инфекция, поражающая половые пути. Особенность болезни в том, что она практически не имеет симптомов на ранних стадиях. Первые проявления болезни возникают лишь через 1-3 недели после заражения, и даже тогда зачастую на них не обращают внимания.
Симптомы
- Болезненное мочеиспускание;
- Боль внизу живота;
- Выделения из влагалища у женщин;
- Выделения из полового члена у мужчин;
- Боль во время полового акта у женщин;
- Боль в яичках у мужчин.
Гонорея
Гонорея тоже известна как бактериальная инфекция. Первые симптомы появляются через 2-10 дней после контакта с больным человеком. Впрочем, у некоторых первые проявления могут возникнуть лишь через месяц, все зависит от реакции организма.
Симптомы
- Обильные, пенистые или кровянистые выделения из влагалища или полового члена;
- Боль и/или жжение во время мочеиспускания;
- Изменение характера кровотечения во время менструации и кровотечения в период между ними;
- Болезненные, припухшие яички;
- Боль в животе;
- Зуд вокруг анального отверстия.
Трихомониаз
Трихомониаз вызывается одноклеточным паразитом Trichomonas Vaginalis. Передается заболевания от носителя к половому партнеру. У мужчин трихомонады поражают уретру и при этом почти никогда не дают симптомов. А вот у женщин возбудитель вызывает вагинит. Выраженность симптомов трихомониаза варьируется от слабовыраженного раздражения до яркого воспаления.
Симптомы
- Прозрачные, белые, зеленоватые или желтоватые обильные выделения из влагалища;
- Выделения из полового члена;
- Стойкий неприятный запах из влагалища;
- Жжение и раздражение во влагалище;
- Жжение и раздражение внутри полового члена (по ходу уретры);
- Боль во время полового акта;
- Болезненное мочеиспускание.
ВИЧ
Вирус иммунодефицита человека снижает возможность организма должным образом ответить на любой другой инфекционный агент (бактерию, вирус, грибы), что постепенно ведет к формированию синдрома приобретенного иммунодефицита (СПИДа).
Сразу после инфицирования ВИЧ симптомов может не быть. В большинстве случаев, через 2-6 недель развивается гриппоподобное состояние, которое не имеет специфичных симптомов, поэтому ранние стадии заболевания часто пропускают.
Ранние симптомы
- Лихорадка;
- Головная боль;
- Боль в горле;
- Увеличение лимфатических узлов;
- Сыпь;
- Слабость.
Эти симптомы обычно проходят через 1-4 недели.
В этот период заболевший человек заразен, а значит, опасен для окружающих. Более серьезные и специфичные симптомы могут впервые появиться даже через 10 лет после инфицирования.
Поэтому очень важно посещать врача и регулярно проходить обследование на болезни, передаваемые половым путем.
Вторичные симптомы
По мере того, как вирус разрушает иммунную систему, появляются следующие симптомы:
- Увеличение лимфатических узлов;
- Диарея;
- Потеря веса;
- Лихорадка;
- Кашель и одышка.
Поздние симптомы ВИЧ
- Постоянная слабость и усталость;
- Проливные ночные поты;
- Ознобы и лихорадка в течение нескольких недель;
- Увеличение лимфатических узлов в течение 3 месяцев и более;
- Хроническая диарея;
- Постоянная головная боль;
- Оппортунистические инфекции (инфекционные заболевания, которые никогда не развиваются у людей с нормально функционирующим иммунитетом).
Генитальный герпес
Генитальный герпес – очень заразное заболевание, вызываемое вирусом простого герпеса (ВПГ). Вирус проникает в организм через микротравмы на коже и слизистых оболочках.
Подавляющее большинство людей даже не знают, что являются носителями вируса, поскольку не имеют никаких проявлений болезни. В тех случаях, когда симптомы есть, первое же обострение проходит достаточно тяжело.
У некоторых людей больше никогда не бывает обострений болезни, у других генитальный герпес рецидивирует постоянно.
Симптомы
- Маленькие красные язвочки и пузырьки в зоне половых органов;
- Болезненность и зуд в промежности, на ягодицах, на внутренней поверхности бедер.
Первый симптом генитального герпеса, болезненность и зуд, проявляется обычно через несколько недель после контакта с носителем вируса. Сначала появляется множество пузырьков, которые вскрываются и образуют язвочки.
В период, когда есть язвочки, может отмечаться болезненность и жжение во время мочеиспускания. Эти ощущения могут сохраняться даже тогда, когда все дефекты кожи и слизистой заживут.
Во время инкубационного периода человек может испытывать головную боль, боль в мышцах, может отмечаться лихорадка и увеличение лимфатических узлов, особенно в паховой области.
В некоторых случаях, человек остается заразным даже после того, как заживут все язвочки и пройдут неприятные ощущения.
Генитальные бородавки
Генитальные бородавки, вызванные вирусом папилломы человека, являются одной из самых распространенных инфекций, передаваемых половым путем.
Симптомы
- Маленькие бугорки телесного или сероватого цвета в зоне половых органов;
- Некоторые бородавки сливаются друг с другом, напоминая цветную капусту;
- Зуд и/или дискомфорт в промежности;
- Контактное кровотечение.
Впрочем, чаще всего генитальные бородавки никак себя не проявляют. Они могут быть очень маленькими, до 1 мм, а могут образовывать большие конгломераты.
У женщин генитальные бородавки могут возникать на половых губах, входе и стенках влагалища, шейке матки, промежности, вокруг ануса. У мужчин – на половом члене, мошонке и вокруг анального отверстия.
Гепатит
Гепатиты А, В и С – заразные вирусные инфекции, которые поражают печень. Выраженность и время появления симптомов зависит от типа гепатита и реактивности иммунной системы человека.
Симптомы
- Усталость;
- Тошнота и рвота;
- Боль или дискомфорт в животе, особенно в правом подреберье;
- Потеря аппетита;
- Лихорадка;
- Потемнение мочи;
- Боль в мышцах и суставах;
- Кожный зуд;
- Желтуха (желтоватая окраска кожи, слизистых и склер).
Сифилис
Возбудителем сифилиса является микроорганизм — бледная трепонема. Изначально она поражает только половые пути, но постепенно распространяется по всему организму.
Сифилис – бактериальная инфекция, которая поражает половые пути, но со временем может распространиться по всем органам и системам, вызывая разнообразные проявления.
Сифилис проходит четыре стадии, для каждой из которых характерны свои особенности. Существует также врожденный сифилис, когда плод заражается еще во время беременности.
Врожденный сифилис – очень опасное состояние, поэтому всем беременным нужно не пропускать анализы, назначаемые гинекологом, и в случае выявления сифилиса немедленно его лечить.
Первичный сифилис
Симптомы появляются через 10-90 дней после заражения:
- Маленькая безболезненная язва (шанкр) в месте проникновения возбудителя (половые органы, прямая кишка). Обычно шанкр один, но в редких случаях их может быть несколько;
- Увеличенные лимфоузлы.
Хотя симптомы первичного сифилиса могут исчезнуть без лечения, это не значит, что человек выздоровел. Болезнь просто переходит в следующую стадию.
Вторичный сифилис
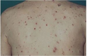
Симптомы появляются через 2-10 недель после заражения:
- Красная сыпь размером с мелкую монету (50 копеек) по всему телу, включая ладони и подошвы;
- Лихорадка;
- Слабость, вялость, утомляемость.
Эти проявления могут возникнуть и исчезнуть за несколько дней, а могут сохраняться в течение года и более.
Латентный сифилис
Период, когда нет никаких симптомов. Может произойти полное самоизлечение, но чаще болезнь переходит в третичный сифилис.
Третичный сифилис
Если человек не лечится, то бледная трепонема (возбудитель сифилиса) может распространиться по всему организму, вызвать изменения в любых органах и даже привести к смерти.
Сердечно-сосудистые симптомы
- Формирование аневризм;
- Аортит и артерииты;
- Приобретенные пороки сердца.
Диагностика венерических заболеваний
Во многих случаях диагностировать венерическую болезнь поможет анализ крови.
Если вы подозреваете у себя заболевание, передаваемое половым путем, или у вас был секс с партнером, у которого позже появились какие-то странные симптомы, немедленно обратитесь к врачу.
Гинеколог или инфекционист назначат вам необходимые анализы, проведут осмотр и выставят диагноз, если заражение все-таки произошло. Для выявления инфекций передаваемых половым путем используются следующие тесты:
- Анализ крови (признаки воспаления, реакция Вассермана);
- Анализ мочи (при уретритах);
- Мазки из уретры, влагалища и шейки матки (для микроскопии и выявления возбудителя);
- Мазки-отпечатки с дефектов кожи и слизистых;
- Иммуноферментный анализ (для определения антигенов);
- Полимеразная цепная реакция (для выявления генетического материала возбудителя);
- Специфические исследования на конкретных возбудителей (например, ряд анализов на гепатиты).
Скрининг
Скрининг – это комплекс анализов и исследований, который проходит человек, не имеющий симптомов заболевания. Скрининг проводится не только для выявления возможных венерических заболеваний, но и для ранней диагностики других болезней (например, скрининг в онкологии).
Кто и почему должен проходить скрининг?
- Все люди, независимо от пола и возраста, должны регулярно сдавать кровь на ВИЧ.
Даже если это маленький ребенок или пожилой человек, которые не имеют сексуальных контактов, это не дает 100% защиты, так как вирус иммунодефицита человека передается еще и через кровь, а значит, есть риск заразиться при инвазивных медицинских манипуляциях (например, операции).
- Беременные женщины.
В первый же визит гинеколог выписывает беременной направление на анализы на ВИЧ, гепатиты, хламидии, герпес, сифилис. Очень важно пройти этот скрининг, поскольку эти инфекции могут нанести непоправимый вред здоровью ребенка или даже привести к прерыванию беременности.
- Девушки и женщины.
Всем женщинам нужно регулярно посещать гинеколога и сдавать тест на вирус папилломы человека. Опасность этой инфекции для женщин в том, что она может спровоцировать развитие рака шейки матки.
Всем сексуально активным представительницам прекрасного пола следует внимательно следить за своим здоровьем и записываться к гинекологу сразу же, как только появятся хоть какие-то признаки нездоровья (зуд, болезненность, необычные выделения из влагалища).
- Больные ВИЧ. В связи с особенностями основного заболевания, такие больные легко могут заразиться какой-то еще инфекцией, поэтому им следует регулярно проходить исследования и анализы, назначаемые инфекционистом.
К какому врачу обратиться
При подозрении на венерическое заболевание нужно обращаться к венерологу. Этот специалист поставит диагноз быстрее, чем врачи других специальностей.
Однако диагностировать инфекции, передаваемые половым путем, смогут гинеколог, андролог, уролог. При хронических инфекциях нередко требуется консультация иммунолога и инфекциониста.
При поражении не только половых, но и других органов нужно посоветоваться с офтальмологом, неврологом, кардиологом и другими специалистами.
: ( — 2, 5,00 из 5) Загрузка…
Источник: https://myfamilydoctor.ru/venericheskie-zabolevaniya-simptomy-i-diagnostika/
Поделиться:



