Саркоидоз легких

Саркоидоз легких (синонимы саркоидоз Бека, болезнь Бенье — Бека — Шауманна) — полисистемное заболевание, характеризующееся образованием эпителиоидных гранулем в легких и других пораженных органах. Саркоидоз является заболеванием преимущественно лиц молодого и среднего возраста (20-40 лет), чаще женского пола.
Этническая распространенность саркоидоза выше среди афроамериканцев, азиатов, немцев, ирландцев, скандинавов и пуэрто-риканцев. В 90% случаев выявляется саркоидоз дыхательной системы с поражением легких, бронхопульмональных, трахеобронхиальных, внутригрудных лимфоузлов.
Также достаточно часто встречается саркоидное поражение кожи (48% — подкожные узелки, узловатая эритема), глаз (27% — кератоконъюнктивит, иридоциклит), печени (12%) и селезенки (10%), нервной системы (4—9%), околоушных слюнных желез (4—6%), суставов и костей (3% — артрит, множественные кисты пальцевых фаланг стоп и кистей), сердца (3%), почек (1% — нефролитиаз, нефрокальциноз) и других органов.
Причины саркоидоза легких
Саркоидоз Бека является заболеванием с неясной этиологией. Ни одна из выдвинутых теорий не дает достоверного знания о природе происхождения саркоидоза. Последователи инфекционной теории предполагают, что возбудителями саркоидоза могут служить микобактерии, грибы, спирохеты, гистоплазма, простейшие и другие микроорганизмы.
Существуют данные исследований, основанные на наблюдениях семейных случаев заболевания и свидетельствующие в пользу генетической природы саркоидоза.
Некоторые современные исследователи развитие саркоидоза связывают с нарушением иммунного ответа организма на воздействие экзогенных (бактерий, вирусов, пыли, химических веществ) или эндогенных факторов (аутоиммунные реакции).
Прослеживается определенная тенденция заболеваемости саркоидозом у представителей некоторых профессий: работников сельского хозяйства, химических производств, здравоохранения, моряков, почтовых служащих, мельников, механиков, пожарных в связи с повышенными токсическими или инфекционными воздействиями, а также у курящих лиц.
Как правило, саркоидоз характеризуется полиорганным течением. Легочный саркоидоз начинается с поражения альвеолярной ткани и сопровождается развитием интерстициального пневмонита или альвеолита с последующим образованием саркоидных гранулем в субплевральной и перибронхиальной тканях, а также в междолевых бороздах.
В дальнейшем гранулема либо рассасывается, либо претерпевает фиброзные изменения, превращаясь в бесклеточную гиалиновую (стекловидную) массу. При прогрессировании саркоидоза легких развиваются выраженные нарушения вентиляционной функции, как правило, по рестриктивному типу.
При сдавлении лимфатическими узлами стенок бронхов возможны обструктивные нарушения, а иногда и развитие зон гиповентиляции и ателектазов.
Морфологическим субстратом саркоидоза служит образование множественных гранулем из эпитолиоидных и гигантских клеток. При внешнем сходстве с туберкулезными гранулемами, для саркоидных узелков нехарактерно развитие казеозного некроза и наличие в них микобактерий туберкулеза.
По мере роста саркоидные гранулемы сливаются во множественные большие и малые очаги. Очаги гранулематозных скоплений в каком-либо органе нарушают его функцию и приводят к появлению симптоматики саркоидоза.
Исходом саркоидоза служит рассасывание гранулем или фиброзные изменения пораженного органа.
Классификация
На основании полученных рентгенологических данных в течении саркоидоза легких выделяют три стадии и соответствующие им формы.
Стадия I (соответствует начальной внутригрудной лимфожелезистой форме саркоидоза) – двустороннее, чаще асимметричное увеличение бронхопульмональных, реже трахеобронхиальных, бифуркационных и паратрахеальных лимфоузлов.
Стадия II (соответствует медиастинально-легочной форме саркоидоза) — двусторонняя диссеминация (милиарная, очаговая), инфильтрация легочной ткани и поражение внутригрудных лимфоузлов.
Стадия III (соответствует легочной форме саркоидоза) – выраженный пневмосклероз (фиброз) легочной ткани, увеличение внутригрудных лимфоузлов отсутствует. По мере прогрессирования процесса происходит образование сливных конгломератов на фоне нарастающих пневмосклероза и эмфиземы.
По встречающимся клинико-рентгенологическим формам и локализации различают саркоидоз:
- Внутригрудных лимфоузлов (ВГЛУ)
- Легких и ВГЛУ
- Лимфатических узлов
- Легких
- Дыхательной системы, сочетающийся с поражением других органов
- Генерализованный с множественными поражениями органов
В течении саркоидоза легких выделяют активную фазу (или фазу обострения), фазу стабилизации и фазу обратного развития (регрессии, затихания процесса). Обратное развитие может характеризоваться рассасыванием, уплотнением и реже – кальцинацией саркоидных гранулем в легочной ткани и лимфоузлах.
По скорости нарастания изменений может наблюдаться абортивный, замедленный, прогрессирующий или хронический характер развития саркоидоза.
Последствия исхода саркоидоза легких после стабилизации процесса или излечения могут включать: пневмосклероз, диффузную или буллезную эмфизему, адгезивный плеврит, прикорневой фиброз с обызвествлением или отсутствием обызвествления внутригрудных лимфоузлов.
При внутригрудной лимфожелезистой форме у половины пациентов течение саркоидоза легких бессимптомное, у другой половины наблюдаются клинические проявления в виде слабости, болей в грудной клетке и суставах, кашля, повышения температуры тела, узловатой эритемы.
При перкуссии определяется двустороннее увеличение корней легких.
Течение медиастинально-легочной формы саркоидоза сопровождается кашлем, одышкой, болями в грудной клетке. При аускультации выслушиваются крепитация, рассеянные влажные и сухие хрипы.
Присоединяются внелегочные проявления саркоидоза: поражения кожи, глаз, периферических лимфоузлов, околоушных слюнных желез (синдром Херфорда), костей (симптом Морозова-Юнглинга). Для легочной формы саркоидоза характерно наличие одышки, кашля с мокротой, болей в грудной клетке, артралгий.
Течение III стадии саркоидоза отягощают клинические проявления сердечно-легочной недостаточности, пневмосклероза и эмфиземы.
Осложнения
Наиболее частыми осложнениями саркоидоза легких служат эмфизема, бронхообтурационный синдром, дыхательная недостаточность, легочное сердце. На фоне саркоидоза легких иногда отмечается присоединение туберкулеза, аспергиллеза и неспецифических инфекций.
Фиброзирование саркоидных гранулем у 5-10% пациентов приводит к диффузному интерстициальному пневмосклерозу, вплоть до формирования «сотового легкого». Серьезными последствиями грозит появление саркоидных гранулем паращитовидных желез, вызывающих нарушение кальциевого обмена и типичную клинику гиперпаратиреоза вплоть до летального исхода.
Саркоидное поражение глаз при поздней диагностике может привести к полной слепоте.
Диагностика
Острое течение саркоидоза сопровождается изменениями лабораторных показателей крови, свидетельствующими о воспалительном процессе: умеренным или значительным увеличением СОЭ, лейкоцитозом, эозинофилией, лимфо- и моноцитозом.
Первоначальное повышение титров α- и β-глобулинов по мере развития саркоидоза сменяется увеличением содержания γ-глобулинов.
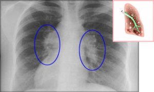
Характерные изменения при саркоидозе выявляются при рентгенографии легких, в ходе КТ или МРТ легких — определяется опухолевидное увеличение лимфоузлов, преимущественно в корне, симптом «кулис» (наложение теней лимфоузлов друг на друга); очаговая диссеминация; фиброз, эмфизема, цирроз легочной ткани. У более половины пациентов с саркаидозом определяется положительная реакция Квейма – появление багрово-красного узелка после внутрикожного введения 0,1—0,2 мл специфического саркоидного антигена (субстрата саркоидной ткани больного).
Наиболее информативным методом диагностики саркоидоза служит гистологическое исследование биоптата, полученного при бронхоскопии, медиастиноскопии, прескаленной биопсии, трансторакальной пункции, открытой биопсии легких.
Морфологически в биоптате определяются элементы эпителиоидной гранулемы без некроза и признаков перифокального воспаления.
Лечение саркоидоза легких
Учитывая то факт, что значительная часть случаев вновь выявленного саркоидоза сопровождается спонтанной ремиссией, за пациентами устанавливается динамическое наблюдение в течение 6-8 месяцев для определения прогноза и необходимости назначения специфического лечения. Показаниями к лечебному вмешательству служит тяжелое, активное, прогрессирующее течение саркоидоза, комбинированные и генерализованные формы, поражение внутригрудных лимфоузлов, выраженная диссеминация в легочной ткани.
Лечение саркоидоза проводится назначением длительных курсов (до 6-8 месяцев) стероидных (преднизолон), противовоспалительных (индометацин, ацетилсалициловая к-та) препаратов, иммунодепрессантов ( хлорохин, азатиоприн и др.), антиоксидантов (ретинол, токоферола ацетат и др.).
Терапию преднизолоном начинают с ударной дозы, затем постепенно снижают дозировку. При плохой переносимости преднизолона, наличии нежелательных побочных эффектов, обострении сопутствующей патологии терапию саркоидоза проводят по прерывистой схеме приема глюкокортикоидов через 1—2 дня.
Во время гормонального лечения рекомендуется белковая диета с ограничением поваренной соли, прием препаратов калия и анаболических стероидов.
При назначении комбинированной схемы терапии саркоидоза 4-6-месячный курс преднизолона, триамцинолона или дексаметазона чередуют с нестероидной противовоспалительной терапией индометацином или диклофенаком. Лечение и диспансерное наблюдение за пациентами с саркоидозом осуществляется фтизиатрами. Больные с саркоидозом разделяются на 2 диспансерные группы:
- I – пациенты с активным саркоидозом:
- IА – диагноз установлен впервые;
- IБ – пациенты с рецидивами и обострениями после курса основного лечения.
- II – пациенты с неактивным саркоидозом (остаточные изменения после клинико-рентгенологического излечения или стабилизации саркоидного процесса).
Диспансерный учет при благоприятном развитии саркоидоза составляет 2 года, в более тяжелых случаях – от 3 до 5 лет. После излечения пациенты снимаются с диспансерного учета.
Прогноз и профилактика
Саркоидоз легких характеризуется относительно доброкачественным течением. У значительного числа лиц саркоидоз может не давать клинических проявлений; у 30% — переходить в спонтанную ремиссию. Хроническая форма саркоидоза с исходом в фиброз встречается у 10-30% пациентов, иногда вызывая выраженную дыхательную недостаточность.
Саркоидное поражение глаз может привести к слепоте. В редких случаях генерализованного нелеченного саркоидоза возможен летальный исход. Специфические меры профилактики саркоидоза не выработаны ввиду неясных причин заболевания.
Неспецифическая профилактика состоит в сокращении воздействия на организм профессиональных вредностей у лиц групп риска, повышении иммунной реактивности организма.
Источник: https://www.krasotaimedicina.ru/diseases/zabolevanija_pulmonology/sarcoidosis
Саркоидоз легких

Саркоидоз легких — системное и доброкачественное скопление клеток воспаления (лимфоцитов и фагоцитов), с образованием гранулём (узелков), с неизвестной причиной возникновения.
В основном болеет возрастная группа 20 – 45 лет, большинство – женщины. Частота и масштабность данного расстройства укладывается в рамки – 40 диагностированных случаев на 100 000 (согласно данным в ЕС). Наименьшей распространенностью отличается Восточная Азия, за исключением Индии, где показатель пациентов этого расстройства 65 на 100 000. Реже встречается в детском возрасте и у пожилых.
Наиболее распространены патогенные гранулемы в легких отдельных этнических групп, например, афроамериканцев, ирландцев, немцев, азиатов и пуэрториканцев. В России частота распространения 3 на 100 000 человек.
Что это такое?
Саркоидоз — воспалительное заболевание, при котором могут поражаться многие органы и системы (в частности лёгкие), характеризующееся образованием в поражённых тканях гранулём (это один из диагностических признаков заболевания, который выявляется при микроскопическом исследовании; ограниченные очаги воспаления, имеющие форму плотного узелка различных размеров). Наиболее часто поражаются лимфатические узлы, лёгкие, печень, селезёнка, реже — кожа, кости, орган зрения и др.
Причины развития
Как ни странно, но истинные причины саркоидоза легких до сих пор неизвестны. Некоторые ученые считают заболевание генетическим, другие, что саркоидоз легких возникает из-за нарушенной работы иммунной системы человека.
Также есть предположения о том, что причиной развития саркоидоза легких является биохимическое нарушение в организме.
Но на данный момент большая часть ученых придерживается мнения о том, что совокупность вышеперечисленных факторов является причиной развития саркоидоза легких, хотя ни одна выдвинутая теория не подтверждает природу происхождения заболевания.
А также эндогенные и экзогенные факторы могут быть причиной развития заболевания.
Таким образом, сегодня принято считать, что саркоидоз легких полиэтиологического генеза связан с биохимическим, морфологическим, иммунным нарушением и генетическим аспектом.
Наблюдается заболеваемость у лиц определенных специальностей: пожарных (из-за повышенного токсического или инфекционного воздействия), механиков, моряков, мельников, работников сельского хозяйства, почтовых служащих, работников химических производств и здравоохранения. Также саркоидоз легких наблюдается у лиц с табакозависимостью. Наличие аллергической реакции на некоторые вещества, воспринимающиеся организмом как чужеродные из-за нарушения иммунореактивности, не исключает развитие саркоидоза легких.
Каскад цитокинов является причиной образования саркоидной гранулемы. Они могут образоваться в различных органах, а также состоят из большого количества Т-лимфоцитов.
Несколько десятилетий назад существовало предположение о том, что саркоидоз легких является одной из форм туберкулеза, которая вызывается ослабленными микобактериями. Однако по последним данным установлено, что это разные заболевания.
Классификация
На основании полученных рентгенологических данных в течении саркоидоза легких выделяют три стадии и соответствующие им формы.
- Стадия I (соответствует начальной внутригрудной лимфожелезистой форме саркоидоза) – двустороннее, чаще асимметричное увеличение бронхопульмональных, реже трахеобронхиальных, бифуркационных и паратрахеальных лимфоузлов.
- Стадия II (соответствует медиастинально-легочной форме саркоидоза) — двусторонняя диссеминация (милиарная, очаговая), инфильтрация легочной ткани и поражение внутригрудных лимфоузлов.
- Стадия III (соответствует легочной форме саркоидоза) – выраженный пневмосклероз (фиброз) легочной ткани, увеличение внутригрудных лимфоузлов отсутствует. По мере прогрессирования процесса происходит образование сливных конгломератов на фоне нарастающих пневмосклероза и эмфиземы.
По встречающимся клинико-рентгенологическим формам и локализации различают саркоидоз:
- Внутригрудных лимфоузлов (ВГЛУ)
- Легких и ВГЛУ
- Лимфатических узлов
- Легких
- Дыхательной системы, сочетающийся с поражением других органов
- Генерализованный с множественными поражениями органов
В течении саркоидоза легких выделяют активную фазу (или фазу обострения), фазу стабилизации и фазу обратного развития (регрессии, затихания процесса). Обратное развитие может характеризоваться рассасыванием, уплотнением и реже – кальцинацией саркоидных гранулем в легочной ткани и лимфоузлах.
По скорости нарастания изменений может наблюдаться абортивный, замедленный, прогрессирующий или хронический характер развития саркоидоза.
Последствия исхода саркоидоза легких после стабилизации процесса или излечения могут включать: пневмосклероз, диффузную или буллезную эмфизему, адгезивный плеврит, прикорневой фиброз с обызвествлением или отсутствием обызвествления внутригрудных лимфоузлов.
Симптомы и первые признаки
Для развития саркоидоза легких характерно появление симптомов неспецифического типа. К ним в частности относятся:
- Недомогание;
- Беспокойство;
- Утомляемость;
- Общая слабость;
- Потеря веса;
- Потеря аппетита;
- Лихорадка;
- Нарушения сна;
- Ночная потливость.
Внутригрудная (лимфожелезистая) форма заболевания характеризуется для половины больных отсутствием каких-либо симптомов. Между тем, другая половина склонна выделять симптомы следующего типа:
- Слабость;
- Болезненные ощущения в области грудной клетки;
- Боли в суставах;
- Одышка;
- Хрипы;
- Кашель;
- Повышение температуры;
- Возникновение узловатой эритемы (воспаление подкожно-жировой клетчатки и сосудов кожи);
- Перкуссия (исследование легких в виде выстукивания) определяет увеличение корней легких в двустороннем порядке.
Что касается течения такой формы саркоидоза, как медиастрально-легочная форма, то для нее характерны следующие симптомы:
- Кашель;
- Одышка;
- Боли в области грудной клетки;
- Аускультация (выслушивание характерных звуковых явлений в пораженной области) определяет наличие крепитации (характерного «хрустящего» звука), рассеянных сухих и влажных хрипов.
- Наличие внелегочных проявлений заболевания в виде поражения глаз, кожи, лимфоузлов, костей (в форме симптома Морозова-Юнлинга), поражения слюнных околоушных желез (в форме симптома Херфорда).
Осложнения
К наиболее частым последствиям данного заболевания можно отнести развитие дыхательной недостаточности, легочного сердца, эмфиземы легких (повышенной воздушности легочной ткани), бронхообструктивный синдром.
Ввиду образования гранулем при саркоидозе наблюдается патология со стороны органов, на которых они появляются (если гранулема поражает паращитовидные железы, в организме нарушается обмен кальция, формируется гиперпаратиреоз, от которого пациенты умирают). На фоне ослабленного иммунитета могут присоединяться другие инфекционные заболевания (туберкулез).
Диагностика
Без проведения точного анализа невозможно четко классифицировать болезнь как саркоидоз.
Немало признаков делает данное заболевание схожим с туберкулезом, поэтому тщательная диагностика для установления диагноза необходима.
- Опрос — снижение трудоспособности, вялость, слабость, сухой кашель, дискомфорт в груди, боль в суставах, ухудшение зрения, одышка;
- Аускультация — жесткое дыхание, сухие хрипы. Аритмия;
- Анализ крови — повышение СОЭ, лейкопения, лимфопения, гиперкальциемия;
- Рентгенография и КТ — определяется симптом «матового стекла», синдром легочной диссеминации, фиброз, уплотнение легочной ткани;
Используются также другие приспособления. Эффективным считается бронхоскоп, который выглядит как тонкая, гибкая трубка и вводится в легкие для обследования и взятия образцов ткани.
В силу определенных обстоятельств может быть задействована биопсия для анализа тканей на клеточном уровне. Процедура проводится под действием анестетика, поэтому для пациента практически незаметна.
Тонкая иголка отщипывает кусочек воспаленной ткани для последующей диагностики.
Как лечить саркоидоз легких
В основе лечения саркоидоза легких лежит использование гормональных препаратов кортикостероидов. Их действие при данном заболевании следующее:
- ослабление извращенной реакции со стороны иммунной системы;
- препятствие развитию новых гранулем;
- противошоковое действие.
Касательно применения кортикостероидов при саркоидозе легких до сих пор нет единого мнения:
- когда начинать лечение;
- как долго проводить терапию;
- какими должны быть начальные и поддерживающие дозы.
Более-менее устоявшееся врачебное мнение касательно назначения кортикостероидов при саркоидозе легких– то, что гормональные препараты можно назначать, если рентгенологические признаки саркоидоза не исчезают на протяжении 3-6 месяцев (независимо от клинических проявлений).
Такие сроки ожидания выдерживают потому, что в ряде случаев может наступить регресс болезни (обратное развитие) без каких-либо врачебных назначений.
Поэтому, исходя из состояния конкретного больного, можно ограничиться диспансеризацией (определением больного на учет) и наблюдением за состоянием легких.
Зафиксированы случаи, когда ингаляционные кортикостероиды были эффективными при 1-3 стадиях даже без введения кортикостероидов внутривенно – исчезали как клинические проявления заболевания, так и патологические изменения на рентген-снимках.
Так как саркоидоз помимо легких поражает и другие органы, на этот факт нужно тоже ориентироваться при врачебных назначениях.
Помимо гормональных препаратов, назначают и другое лечение – это:
- антибиотики широкого спектра действия – для профилактики и при непосредственной угрозе развития вторичной пневмонии из-за присоединения инфекции;
- при подтверждении вирусной природы вторичного поражения легких при саркоидозе – противовирусные препараты;
- при развитии застойных явлений в кровеносной системе легких – препараты, уменьшающие легочную гипертензию (мочегонные и так далее);
- общеукрепляющие средства – в первую очередь, комплексы витаминов, которые улучшают метаболизм легочной ткани, способствуют нормализации иммунологических реакций, характерных для саркоидоза;
- кислородотерапия при развитии дыхательной недостаточности.
Рекомендуется не употреблять продукты, богатые на кальций (молоко, творог) и не загорать. Эти рекомендации связаны с тем, что при саркоидозе может возрасти количество кальция в крови. При его определенном уровне есть риск образования конкрементов (камней) в почках, мочевом пузыре и желчном пузыре.
Так как саркоидоз легких зачастую сочетается с таким же поражением других внутренних органов, необходимы консультация и назначения смежных специалистов.
Профилактика осложнений болезни
Профилактика осложнений болезни подразумевает ограничения контакта с факторами, которые могли вызвать саркоидоз. В первую очередь, речь идет о факторах внешней среды, которые могут попасть в организм с вдыхаемым воздухом.
Больным рекомендуется регулярно проветривать квартиру и делать влажную уборку, чтобы избежать запыления воздуха и образования плесени.
Кроме того, рекомендуется избегать длительного загара и стресса, так как они ведут к нарушению обменных процессов в организме и интенсификации роста гранулем.
К профилактическим мерам также относится избегание переохлаждения, поскольку это может поспособствовать присоединению бактериальной инфекции.
Это объясняется ухудшением вентиляции легких и ослаблением иммунитета в целом.
Если же в организме уже присутствует хроническая инфекция, то после подтверждения саркоидоза необходимо обязательно посетить врача, чтобы узнать, как можно сдерживать инфекцию наиболее эффективно.
Народные рецепты
Отзывы пациентов свидетельствуют об их пользе лишь в самом начале заболевания. Популярны простые рецепты из прополиса, масла, женьшеня/родиолы. Как лечить саркоидоз народными средствами:
- Взять 20 г прополиса на полстакана водки, настаивать в склянке из темного стекла 2 недели. Пить по 15-20 капель настойки на полстакана теплой водой трижды в день за 1 час до еды.
- Принимать перед едой трижды в день 1 ст. ложку подсолнечного масла (нерафинированного), смешанного с 1 ст. ложкой водки. Провести три 10-дневных курса, делая перерывы по 5 дней, затем повторить.
- Ежедневно утром и днем пить по 20-25 капель настойки женьшеня или родиолы розовой 15-20 дней.
Питание
Следует исключить жирную рыбу, молочные продукты, сыры, которые усиливают воспалительный процесс и провоцируют формирование в почках камней.
Необходимо забыть алкоголь, ограничить употребление мучных изделий, сахара, соли. Диета требуется с преобладанием белковых блюд в отварном и тушеном виде.
Питание при саркоидозе легких должно быть частыми малыми порциями. В меню желательно включать:
- бобовые;
- морскую капусту;
- орехи;
- мед;
- черную смородину;
- облепиху;
- гранаты.
Прогноз
В целом прогноз при саркоидозе условно благоприятный. Смерть от осложнений или необратимых изменений в органах регистрируется только у 3 – 5% пациентов (при нейросаркоидозе приблизительно у 10 – 12%). В большинстве же случаев (60 – 70%) удается достигнуть стабильной ремиссии заболевания на фоне лечения или спонтанно.
Показателями неблагоприятного прогноза с тяжелыми последствиями считаются следующие условия:
- афроамериканское происхождение пациента;
- неблагоприятная экологическая обстановка;
- длительный период повышения температуры (более месяца) в начале заболевания;
- поражение нескольких органов и систем одновременно (генерализованная форма);
- рецидив (возвращение острых симптомов) после окончания курса лечения ГКС.
Независимо от наличия или отсутствия этих признаков, людям, которым хоть раз в жизни был поставлен диагноз «саркоидоз», следует посещать врача не реже, чем раз в год.
Источник: https://doctor-365.net/sarkoidoz-legkih/
Симптомы и лечение саркоидоза легких
Саркоидоз легких – воспалительное заболевание, относящееся к категории доброкачественных системных гранулематозов. Патологический процесс сопровождается формированием огромного количества гранулем – воспаленных новообразований с плотной консистенцией, которые могут иметь различные размеры. Гранулемы поражают практически любую часть организма, но чаще всего именно органы дыхания.
Что такое саркоидоз легких?
Заболеванием легких саркоидозом называется распространенная патология, которая чаще всего обнаруживается у представительниц слабого пола молодой или средней возрастной категории. В 92% случаев патологический процесс поражает органы дыхательной системы – легкие, трахеобронхиальные внутригрудные лимфатические узлы.
Считается, что болезнь легких саркоидоз отличается большой схожестью с туберкулезом благодаря формированию саркоидных гранулем, которые постепенно соединяются между собой, создавая очаги разных объемов. Воспаленные образования способствуют нарушению нормального функционирования органов и всей дыхательного аппарата.
В том случае, если у пациента диагностирован саркоидоз легких, прогноз может быть следующим – самостоятельное рассасывание гранулем или формирование фиброзных изменений в воспаленном дыхательном органе.
Причины патологии
На сегодняшний момент окончательная причина возникновения такого распространенного заболевания, как саркоидоз легких и внутригрудных лимфатических узлов, не установлена не смотря на то, что данная патология уже несколько десятков лет тщательно изучается ведущими учеными мира.
Основные факторы, которые могут спровоцировать развитие патологических изменений:
- генетическая предрасположенность;
- негативное воздействие окружающей среды;
- влияние некоторых вирусных агентов на иммунную систему человека – герпеса, палочка Коха, микоплазмы, грибки;
- ответная реакция на воздействие определенных химических веществ – кремния, бериллия, циркония.
Большинство исследователей склоняются к мнению, что саркоидоз легких и внутригрудных лимфатических узлов формируется в результате иммунного ответа человеческого организма на воздействие внутренних или внешних факторов, то есть эндогенного или экзогенного типа.
Причиной патологических изменений может стать загрязнение воздуха и неблагоприятная экологическая обстановка. Именно по этой причине чаще всего заболевание дыхательной системы диагностируется у людей, чья профессиональная деятельность тесно связана с пылью – это пожарные, шахтеры, работники металлургических заводов и сельскохозяйственных предприятий, архивов и библиотек.
Стадии саркоидоза легких
Степени саркоидоза легких имеют различную клиническую картину. Выделяются следующие стадии заболевания дыхательного аппарата:
- Первая – редко имеет ярко выраженные симптомы, сопровождается увеличением размеров внутригрудных лимфатических узлов.
- Вторая – начинается процесс формирования новообразований в легких, который может выражаться в виде усиленной одышки, болезненных спазмов и дискомфорта в области грудной клетки.
- Третья – чаще всего заболевание обнаруживается именно на данном этапе, так как он характеризуется выраженной клинической картиной и проявляется приступами кашля сухого типа, болезненными спазмами в груди, слабостью, хронической усталостью, вялостью, ухудшением аппетита, повышением температуры тела.
- Четвертая – характеризуется стремительным началом, существенным повышением температуры тела, резким ухудшением общего самочувствия.
В большинстве случаев начальные степени саркоидоза легких протекают чрезвычайно быстро и практически полностью бессимптомно. Ярко выраженные клинические признаки заболевания развиваются уже на третьем этапе, хотя иногда даже на четвертой стадии воспалительного процесса у человека может сохраняться хорошее самочувствие.
Чаще всего на завершающих стадиях саркоидоза развивается дыхательная недостаточность, которая сопровождается следующими признаками:
- ощущение нехватки воздуха;
- постоянная одышка, которая значительно усиливается во время физической нагрузки;
- кожные покровы и слизистые поверхности приобретают бледный или синюшный оттенок;
- гипоксия головного мозга, которая сопровождается слабостью, усталостью, апатией.
Чаще всего на завершающих стадиях саркоидоза развивается дыхательная недостаточность, которая сопровождается нехваткой воздуха
Как показывает врачебная практика, примерно в 20% случаев саркоидоз органов дыхания на разных стадиях протекает без каких-либо характерных проявлений и обнаруживается совершенно случайно, во время профилактического медицинского осмотра.
Клинические проявления
Саркоидоз лимфатических узлов может сопровождаться неспецифическими клиническими проявлениями, среди которых можно выделить следующие:
- Повышенная утомляемость.
- Слабость, апатия, вялость.
- Беспокойство, резкие перепады настроения.
- Ухудшение аппетита, снижение массы тела.
- Сильная потливость во время сна.
- Лихорадка, жар, озноб.
Слабость, апатия, вялость могут являться симптомами саркоидоза легких
Патологический процесс часто сопровождается болезненными ощущениями в области груди. Характерными проявлениями легочной формы заболевания считаются приступы кашля с отделяемой мокротой, болезненные спазмы в мышцах и суставах, поражения эпидермиса, периферических лимфоузлов, глазных яблок, а также иные симптомы сердечно-легочной недостаточности.
Кашель – один из основных признаков такого заболевания, как саркоидоз лимфатических узлов легких. На начальных стадиях развития патологического процесса кашель сухой, через некоторое время он приобретает влажный характер, с обильным выделением вязкой мокроты или вкраплениями крови.
Диагностика
В случае, если у больного диагностирован саркоидоз легких, лечение должно начинаться с проведения различных диагностических мероприятий. Основные клинические проявления легочного саркоидоза считаются неспецифическими, то есть являются характерными для многих заболеваний дыхательной системы. А поэтому правильной диагностике патологии отводится чрезвычайно важная роль.
Основные наиболее точные и информативные способы диагностики саркоидоза легких:
- рентгеноскопия и рентгенография органов грудной клетки – позволяют обнаружить мельчайшие изменения в дыхательной системе уже на начальных этапах заболевания;
- компьютерная томография – помогают специалисту определить наличие гранулем на разных участках легочной ткани;
- спирография – диагностический метод, который дает возможность выявить проявления сердечно-легочной недостаточности.
Функциональные нарушения в легких можно оценить в результате проведения рентгенографии
В случае, если у человека обнаружен саркоидоз легких, прогноз для жизни зависит от степени тяжести заболевания и обширности изменений в дыхательной системе. Функциональные нарушения в легких можно оценить в результате проведения рентгенографии.
Первая стадия – сопровождается увеличением размеров внутригрудных лимфатических узлов, изменения в анатомическом строении легкого не наблюдаются.
Вторая стадия – продолжается процесс роста лимфатических узлов, на поверхности легких можно рассмотреть темные пятна и узелки различных размеров, происходят изменения нормального строения в средних и нижних отделах легкого.
Третья стадия – легкое прорастает соединительной тканью, гранулемы начинают увеличиваться в размерах и сливаться между собой, плевра заметно утолщается.
Четвертая стадия – сопровождается глобальным разрастанием соединительной ткани, нарушениями нормального функционирования легких и других органов дыхательной системы.
Для подтверждения саркоидоза легких могут назначаться дополнительные диагностические мероприятия – трансбронхиальная биопсия, общеклинический анализ крови, лабораторное исследование лаважных вод – то есть жидкости, полученной в процессе промывания бронхов.
Как лечить саркоидоз легких?
Проводить лечение саркоидоза легких нужно комплексно с обязательным приемом необходимых для больного медикаментозных лекарственных средств. В большинстве случаев (острая и средняя ст.) лечение саркоидоза проводится в домашних условиях с ежедневным приемом противовоспалительных и кортикостероидных препаратов, которые способствуют значительному уменьшению зоны воспалительного процесса.
Медикаментозное лечение
В том случае, если у пациента был диагностирован саркоидоз легких, лечение проводится при помощи лекарственных препаратов из группы кортикостероидов. Применение таких фармакологических средств оказывает следующий эффект:
- нормализуют работу иммунной системы;
- обладают выраженным противошоковым эффектом;
- останавливают процесс формирования новых гранулем.
Чаще всего для того, чтобы вылечить легочную форму саркоидоза применяется Преднизолон, а также другие гормональные препараты, предназначенные для перорального, внутривенного или ингаляционного использования. Лечение патологического процесса является достаточно тяжелым и длительным, в некоторых случаях гормональная терапия может длиться на протяжении 12-15 месяцев.
Кроме гормональных медикаментозных средств лечение легочного саркоидоза проводится при помощи:
- Антибактериальные препараты – используются в случае дополнительного присоединения инфекции, а также с целью предотвращения развития такого осложнения, как вторичная пневмония.
- Метотрексат – цитостатик, способствующий уменьшению образования легочных узелков.
- Противовирусные лекарства – при вторичном поражении органов дыхания вирусного происхождения.
- Мочегонные препараты – устранение застойных явлений в кровеносном строении дыхательной системы.
- Пентоксифиллин – улучшает микроциркуляцию в легких.
- Поливитаминные комплексы и иммунномодуляторы – нормализуют функционирование иммунной системы организма.
- Альфа-токоферол – лекарственный препарат из группы антиоксидантов, применяется в качестве вспомогательного средства.
Метотрексат – цитостатик, способствующий уменьшению образования легочных узелков
При данном заболевании существенно возрастает повышение уровня кальция в организме что может спровоцировать развитие камней в желчном и мочевом пузыре, а также почках. Именно поэтому всем пациентам, которым был поставлен такой диагноз, категорически не рекомендуется загорать под прямыми солнечными лучами и употреблять большое количество продуктов, богатых кальцием.
Народные способы лечения
Лечение саркоидоза народными средствами может стать отличным дополнением к консервативной терапии. Народная медицина рекомендует применять отвары и настои из таких целебных растений, как календула, подорожник, шиповник, ромашка, шалфей, медуница. Они помогают повысить уровень иммунитета и нормализовать функционирование иммунной системы.
В случае, если у пациента обнаружен саркоидоз легких, лечение народными средствами проводится при помощи следующих рецептов.
- Для приготовления лечебного настоя потребуются зверобой и крапива (9 частей), череда, чистотел, ромашка, мята, птичий горец, гусиная лапчатка, подорожник, календула (1 часть) – столовую ложку травяной смеси нужно залить 500 мл крутого кипятка и оставить для настаивания на час, готовое лекарство принимать по трети стакана 3 раза в сутки.
- 30 г водки следует соединить с таким же количеством нерафинированного подсолнечного масла, употреблять перед каждым приемом пищи по столовой ложке.
- Подорожник, корень алтея, шалфей, цвет календулы, птичий горец и душицу необходимо соединить в равных пропорциях, залить 200 мл кипятка и оставить в термосе для настаивания на 35-40 минут. Готовое средство рекомендуется принимать трижды на протяжении дня по 1/3 чашки.
- В посудину со 100 мл водки нужно всыпать столовую ложку предварительно измельченного прополиса, поместить в темное и сухое место на 14 дней. Приготовленную настойку следует принимать по 15-20 капель, разбавленных в небольшом количестве теплой воды. Частота приема – три раза в день, примерно за 50-60 минут до приема пищи.
Перед применением любых рецептов народной медицины обязательно нужно проконсультироваться с врачом, так как такие средства могут стать причиной аллергической реакции или ухудшения самочувствия.
Возможные осложнения
Возможные осложнения легочного заболевания зависят от стадии его развития. Как правило, запущенные формы саркоидоза сопровождаются сильной одышкой, которая беспокоит человека не только во время физической активности, но и в состоянии покоя.
Одним из опасных осложнений третей и четвертой стадии патологии является развитие дыхательной и сердечной недостаточности, которая может привести к смерти человека. Именно поэтому очень важно при появлении первых клинических признаков обратиться к врачу, своевременно пройти обследование и начать лечение.
Профилактические меры
На сегодняшний день окончательные причины развития легочного заболевания не выявлены, поэтому его профилактика включает в себя полное изменение привычного образа жизни. Очень важно соблюдать следующие правила:
- регулярно заниматься спортом, совершать длительные пешие прогулки;
- отказаться от курения;
- вести здоровый образ жизни;
- не употреблять продукты питания или напитки, вызывающие аллергический ответ иммунной системы;
- отказаться от работы, связанной с вредными производственными условиями.
Для профилактики саркоидоза легких необходимо отказаться от курения и вести здоровый образ жизни
Строгое соблюдение этих простых правил поможет сохранить здоровье дыхательной системы и предотвратить возможные заболевания легких.
Прогноз при саркоидозе легких
Прогноз для жизни при саркоидозе легких зависит от того, на какой стадии было диагностировано заболевание и насколько правильно проводилось его лечение. Известны случаи, когда развитие саркоидоза останавливалось самостоятельно, воспаленные узелки на легких рассасывались без каких-либо лекарственных препаратов.
В некоторых случаях при отсутствии грамотного лечения третья и четвертая стадии патологического процесса сопровождаются необратимыми изменениями в анатомическом строении легких, что приводит к невозможности их нормального функционирования. Как результат – развитие дыхательной недостаточности, которая может привести к самым печальным последствиям вплоть до летального исхода.
Источник: https://zdorovie-legkie.ru/sarkoidoz-legkih-01/
Поделиться:

