Кариес в стоматологии: причины, симптомы и стадии развития с фото, лечение зубов
Разрушение зубов кариесом – патологическое заболевание, развивающееся в твердых тканях. Врачи утверждают, что заболевание (на разных стадиях) занимает лидирующую позицию среди патологий в стоматологии.
Развитие зубного кариеса происходит постепенно, начинается без боли с небольшими пятнышками, заканчивается потерей зуба. Обнаружить болезнь несложно, симптомы кариеса зубов достаточно очевидны.
Почему возникает болезнь? Сколько существует методов борьбы с недугом, что делать с пораженными участками и больно ли лечиться? Рассмотрим далее.
Кариес — что это?
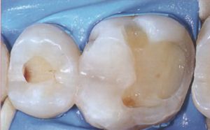
Самая распространенная болезнь полости рта – кариес. Им страдает более половины населения Земли. Возникновение и развитие патологического процесса приводит к повреждению эмали. Несвоевременное лечение кариеса разрушает твердые ткани окончательно. Для большей наглядности обратите внимание на фото пораженных зубов в сравнении со здоровыми.
Признаки кариеса следующие:
- появление темных пятен на эмали;
- дискомфорт в разрушаемых очагах;
- формирование «дырок».
Этиология заболевания достаточно сложна. Существует ряд других признаков, среди которых: болевые ощущения десны и щеки, дискомфорт при жевании, употреблении горячей или холодной пищи. Если пренебрегать симптомами и запустить процесс проявления пятен, произойдет следующее:
- увеличится диаметр появившегося потемнения;
- поверхностное поражение проникнет глубоко в дентин;
- дальнейшее развитие патологического процесса спровоцирует появление «дырки».
Кариес на передних зубах доставляет особенный дискомфорт (резец болит, остро «реагируя» на температурные изменения), а также создает значительные эстетические неудобства (см. фото кариеса выше). Благодаря современным методам лечения остановить заболевание и кариозные изменения, вернув здоровую улыбку, можно за один прием.
Признаки с фото и симптомы заболевания
То, как быстро развивается кариес, связано в первую очередь с причинами, которые его вызвали — о наиболее типичных из них мы поговорим ниже. Сейчас же разберемся с характерными признаками заболевания.
Кариозные полости проявляются по-разному, что напрямую зависит от степени поражения. Первая стадия потемнения эмали имеет замедленную скрытую реакцию.
Чувствительность зубов может повыситься при употреблении в пищу следующих продуктов:
- очень горячая еда;
- холодные закуски, напитки и пр.;
- соленые продукты.
Повышенная чувствительность наблюдается периодически, особенно обостряется после того, как белое пятнышко на эмали постепенно становится коричневым. Начальная стадия поражения характеризуется следующими симптомами:
- химические раздражители приводят к болевым ощущениям, но сразу после того, как был устранен возбудитель, этот фактор проходит;
- когда поражена зубная шейка, возникают ощущения боли в месте надавливания при употреблении твердой пищи.
Средней стадии заболевания кариесом присущи следующие дополнительные симптомы:
- заметно потемнение на зубной поверхности;
- пациент ощущает языком и видит в зеркале кариозную полость.
Глубокий кариес характеризуется усугублением ранее диагностированных признаков:
- любой раздражающий фактор провоцирует возникновение боли;
- кариозные полости большие и темные.
При появлении первых симптомов, необходимо обратиться к врачу, чтобы не навредить и не запустить заболевание. Развитие кариеса важно вовремя распознать и начать лечить уже на стадии «белого пятна», когда в основе терапии еще можно применять медикаментозные реминерализирующие средства. Если процесс запустить, лечение кариеса уже будет инвазивным.
Виды кариозного поражения
Патогенез в стоматологии рассматривается как механизм зарождения и протекания болезни. Типичными причинами возникновения кариеса в ротовой полости являются:
- кариесогенная микрофлора (в т.ч. углеводы);
- нарушение правил гигиены;
- сниженный иммунитет.
Виды кариеса классифицируются в зависимости от степени поражения зуба, глубины кариозных полостей, их локализации. Этапы развития болезни с фото-иллюстрацией:
- Начальный этап — поверхностное бесцветное поражение эмали, самим пациентом не диагностируется. Боковая часть зубной поверхности поражается фиссурным кариесом. Стадию проявления пятен можно купировать, если лечить пятно лекарствами местного действия и реминирализирующими средствами.
- Патогенезу кариеса среднего уровня свойственно распространение на верхний слой дентина. Опасен такой кариес быстрым разрушением зуба. Врач удаляет пораженный участок и пломбирует полость.
- Глубокий кариес зубов в процессе своего развития вызывает деструкцию полости до уровня дентина, который покрывает пульпу. Происходит дальнейшее инфицирование и размягчение тканей — необходимо срочное лечение, поскольку последствием невылеченого кариеса может стать удаление пульпы и даже самого зуба.
- Атипичная форма. Разрушается режущий край, бугорок. Лечится инвазивным методом с установкой пломбы. Осложнения от этого кариеса – разрушение зуба сверху вниз до стадии глубокого.
Стоматологи также выделяют такие типы кариеса, как:
- множественный или системный;
- корневой;
- пришеечный (поражает чаще передние зубы у десен) (рекомендуем прочитать: фото передних зубов до лечения кариеса и после);
- рецидивирующий — происходит под пломбой ввиду серьезных кариесогенных факторов.
Причины образования кариеса у взрослых
Что вызывает кариес? Стрептококки – один из видов зубных микробов, присутствующий в органических кислотах, разрушающих дентин и эмаль.
Появление и размножение бактерий начинается в ходе развития патологических биохимических процессов — при нормальной флоре во рту патогенных микробов нет. Образованию кариозной полости способствуют:
- нарушение питания и гигиены (углеводы и кислоты образуется ввиду остатков гниющей пищи);
- соматические заболевания, связанные с желудочно-кишечным трактом;
- сниженный уровень кальция, фтора и витаминов в организме (беременность, хронические заболевания, недостаток полноценного питания, лучевая терапия и др.);
- зубной камень (твердый налет);
- генетическая предрасположенность.
Лечение — консервативное и с удалением кариозных полостей
Стоматологи выделяют два главных способа устранения проблемы:
- Неинвазивный – лечение поверхностного кариеса зубов происходят консервативно, т.е. без сверления. Этот вариант относят к современному типу лечения.
- Инвазивный – лечение путем вычищения очагов поражения. Перед сверлением проводят детальный осмотр, медикаментозную обработку кариозной полости, удаление пораженных участков, пломбирование.
Излечить заболевание средней и глубокой степени возможно при помощи медикаментозной обработки кариозной полости, с последующим ее пломбированием. Стандартные этапы лечения кариеса следующие:
ЧИТАЕМ ТАКЖЕ: пришеечный кариес: причины возникновения, симптомы и лечение
- удаление пораженной части зуба;
- восстановление полости путем пломбирования (глубокая стадия поражения лечится путем установки двух пломб — временной и постоянной).
Методы терапии в стоматологии
Лечение кариеса практически безболезненно. На начальном этапе — стадии появления пятна — лечение кариеса у взрослых и детей проводят без касания дентина и пульпы. Снимают только верхний слой эмали, поэтому процедура проходит без неприятных ощущений.
Болезнь на более серьезной стадии, особенно запущенное кариозное поражение дентина и его расширение внутри зуба, требует обработки полости рта, удаления размягченных участков с помощью бормашины и последующей установки пломбы.
Больно ли лечить?
Вопрос о том, больно ли лечить кариес, интересует большинство пациентов. Лечение в стоматологии проводится на всех стадиях кариеса быстро и безболезненно.
На первой стадии после санации полости рта выполняют медикаментозную обработку. Инвазивное устранение внутреннего кариеса проводится под анестезией и не вызывает дискомфорта.
Рекомендуется бороться с проблемой уже на начальном этапе, тогда выздоровление будет быстрым и без боли.
Последствия и осложнения при несвоевременном лечении кариеса
Глубокий кариес – запущенная стадия поражения зубов, которая является последней и требует срочного и качественного лечения. В случае ненадлежащего ухода кариозная полость переходит в пульпит, характеризующийся сильными болевыми ощущениями. Избежать последствий можно при своевременном обращении в клинику с целью удаления пульпы
Рецидивное образование может возникнуть, если кариозные полости образуются между пломбой и здоровыми зубами. Фото этого типа кариеса можно увидеть ниже.
Демонтаж пломбы, медикаментозная обработка и ее замена — новый терапевтический метод лечения и борьбы с последствиями осложнений.
Профилактические меры — как остановить кариозный процесс?
После лечения пациенты задаются вопросом — как не допустить появления кариеса в будущем. Избежать проблемы можно, придерживаясь простых правил:
- ухаживать и следить за чистотой полости рта (основная причина патологии – образование налета из-за остатков пищи);
- соблюдать здоровый рацион питания (включить в меню продукты с высоким содержанием микроэлементов и витаминов);
- раз в полгода посещать зубного врача – это шанс, который позволит диагностировать патологию на раннем этапе и избежать глубокой стадии, сложно поддающейся лечению.
Прививка от образования кариеса
Иммунитет человека уже «натренирован» антителами, которые уничтожают вирусы и бактерии. Так, например, иммуноглобулин, находящийся в слюне, не позволяет патогенным микроорганизмам добраться до «нужной цели». Поэтому, повторимся, сегодня прививка от кариозного поражения – не более чем выдумки фантастов.
Средства для защиты на каждый день
Чтобы эффективно защитить ротовую полость от кариеса, рекомендуется использовать пасты с кальцием и фтором.
Подобные составы исключаются, когда есть противопоказания (например, высокое содержание фтора в воде или диагностированный у пациента флюороз). Приобретение дорогостоящих паст не обязательно.
Главное, чтобы активные ферменты и базовый наполнитель способствовали уничтожению налета, остатков пищи.
Дополнительными средствами ухода за полость рта являются ополаскиватели и флоссы, вычищающие межзубные промежутки. Для обработки языка пригодятся специальные скребки и щетки. Однако, перечисленные средства не в силах остановить уже имеющийся разрушительный процесс.
Иногда бактерии передаются через поцелуй, в этом случае рекомендовано употребление жевательной резинки без сахара. Главное, не переусердствовать — укрепление эмали жвачкой вы не добьетесь, но при чрезмерном ее употреблении можете поспособствовать износу и истиранию эмали зубов.
Источник: https://www.pro-zuby.ru/stomatologiya/bolezni-zubov/karies-foto.html
Кариес: виды, симптомы, способы лечения кариеса, пломбирование зубов при кариесе, профилактика кариеса
Кариес – это относительно медленно развивающаяся патология твердых тканей зуба, которая характеризуется образованием дефекта эмали, а позже – дентина и цемента. Кариес является наиболее широко распространенным заболеванием человека. По данным Всемирной организации здравоохранения уровень заболеваемости составляет 93%. У 80-90% детей отмечается кариес зубов временного прикуса.
Причины развития кариеса Осложнения кариеса Классификация заболевания и симптомы различных видов кариеса Диагностика кариеса Как лечить кариес? Профилактика кариеса зубов
Причины развития кариеса
Кариес рассматривается как полиэтиологическое заболевание, т. е. на его развитие влияет сразу ряд причин. Имеет место наследственная (генетически обусловленная) предрасположенность к данному заболеванию. Часто можно наблюдать, что у членов целой семьи крепкие здоровые зубы сохраняются до старости.
Но чаще ситуация обратная: если мать неоднократно страдала от кариеса, то у ребенка отмечаются поражения еще молочных зубов. Основной причиной образования дефектов твердых тканей является деминерализация зуба в сочетании с поражением органического матрикса.
Важно: во рту можно найти самые разнообразные штаммы организмов, но в образовании зубной бляшки, где начинается деминерализация эмали, ведущее значение имеют стрептококки и лактобактерии. В результате жизнедеятельности микроорганизмов в большом количестве синтезируются кислоты.
Местный сдвиг рН в кислую сторону обусловлен процессом аэробного и анаэробного брожения углеводов. Воздействие продуктов жизнедеятельности микробов способствует вымыванию основных неорганических соединений. Размягчение и повреждение эмали благоприятствует проникновению бактерий вглубь тканей, что все больше усугубляет процесс.
Чем слабее защитные силы организма, тем более благоприятные условия создаются для потери неорганических веществ эмалью. Одной из причин являются погрешности в питании, т. е. – избыток углеводов, но малое количества белков, витаминов и минеральных солей в рационе.
Важно: из потребляемых человеком углеводов, наиболее активному сбраживанию подвергается сахароза. Меньшую опасность для зубов несёт фруктоза и глюкоза. Ксилит и сорбит угрозы практически не представляют. Некоторые специалисты указывают на связь между психическими и физическими стрессами и прогрессированием кариеса.
Большую роль играет уровень содержания фтора в питьевой воде, от которого зависит естественная минерализация зубных тканей. Кариес очень часто поражает женщин в период беременности. Полости появляются даже у тех пациенток, которые до момента зачатия не имели проблем с зубами. Это вполне объяснимо: на формирование скелета плода требуется огромное количество неорганических соединений, которые «отбираются» у будущей матери. Вынашивая ребенка, нужно особенно внимательно следить за сбалансированностью рациона.
Осложнения кариеса
По мере изменения структуры дентина и его инфицирования, развивается воспаление пульпы (пульпит), которое проявляется острыми болями.
Боли возможны не только при пульпите, но и при глубоком кариесе, поскольку пульповая камера в этой фазе прикрывается только тонким слоем пораженной ткани, через которую на сосудисто-нервный пучок оказывается механическое давление при приеме пищи.
Болевые ощущения возможны и при среднем кариесе, поскольку нервные окончания имеются в зоне эмалево-дентинной границы. Глубокое проникновение инфекции нередко становится причиной осложнений со стороны периодонта, грозящих потерей зубной единицы.
Не исключено также развитие абсцессов и флегмон, что представляет серьезную угрозу для здоровья и даже жизни пациента. Обратите внимание: специалисты отмечают, что заболеваемость кариесом несколько ниже среди лиц, проживающих в экваториальных зонах азиатского и африканского континентов.
Скорость развития патологического процесса зависит от целого ряда эндогенных и экзогенных факторов, ведущим из которых является поступление в организм соединений кальция и фтора. Как правило, в постоянных зубах полость формируется в течение 3-4 лет. При низком уровне гигиены, высоком присутствии углеводов в продуктах и небольшом уровне фтора в питьевой воде кариес развивается стремительно – буквально в течение нескольких месяцев.
Классификация заболевания и симптомы различных видов кариеса
Сейчас стоматологи используют несколько классификаций болезни. Среди специалистов принято различать две стадии кариеса – раннюю (начальный кариес в стадии белого или пигментированного пятна) и позднюю – с образованием дефекта (поверхностный, средний и глубокий кариес). Общая классификация по ВОЗ:
- кариес эмали;
- поражение дентина;
- поражение цемента;
- одонтоклазия (рассасывание корней зубов временного прикуса);
- приостановившийся кариес;
- неуточненный.
По локализации (классы по Блеку)
- I – фиссурный кариес (полости в районе борозд между жевательными буграми);
- II– полости имеются на контактных сторонах премоляров и моляров;
- III – дефекты локализованы на контактных областях резцов и клыков (режущий край не затронут);
- IV – в процесс вовлечены контактные поверхности передней группы зубов с дефектом режущего края; резцов и клыков с дефектом режущего края и углов;
- V – пришеечный кариес
Согласно уточненной классификации, выделяют также VI класс. Для этого типа заболевания характерно атипичное расположение полостей. В частности – на жевательных буграх моляров и премоляров.
По глубине процесса выделяют неосложнённую и осложненную форму
Неосложнённый кариес
- Начальной стадией является кариес в стадии пятна. Поверхность эмали сохраняется гладкой, а процесс деминерализации только начинается. На данной стадии есть возможность устранить пятно, не прибегая к препарированию твердых тканей. Непременным условием успешного лечения является реминерализационная терапия, предполагающая местное нанесение растворов солей кальция и фтора, а также покрытие всех поверхностей зубов фтористым лаком.
- На стадии поверхностного кариеса пятно приобретает шершавость, а зуб реагирует на температурные раздражители, а также на сладкую и кислую пищу. Лечение предполагает щадящую сошлифовку поврежденного фрагмента эмали и реминерализационную терапию. Если поражение локализовано в области борозд, то требуется полноценное препарирование с постановкой пломбы.
- При среднем кариесе процесс затрагивает эмалево-дентинную границу. Большинство пациентов предъявляют жалобы на болевые ощущения различной интенсивности. Терапия требует тщательного удаления пораженной эмали и дентина, медикаментозной обработки полости и постановки пломбы.
- Глубокий кариес проникает в зону дентина, непосредственно прикрывающего пульповую камеру. Лечение глубокого кариеса требует полного удаления размягченных и инфицированных тканей, медобработку зуба и восстановление тканей пломбировочным материалом. В некоторых ситуациях может потребоваться депульпирование, т. е. удаление сосудисто-нервного пучка зуба. Нелеченный глубокий кариес приводит к осложнениям в виде воспаления пульпы и периодонтальных связок.
Осложнённый кариес Под осложненным кариесом понимают пульпиты, периодонтиты и прочие осложнения со стороны околозубных тканей. Различают также:
- первичный кариес (развивается на интактном зубе);
- вторичный (процесс появляется на ранее пломбированных зубах).
Классификация по остроте процесса
По остроте развития различают такие формы:
- компенсированная, для которой характерно медленное формирование патологической полости.
- субкомпенсированная – процесс развивается со скоростью, соответствующей средним показателям;
- декомпенсированная (острая) – характерна чрезвычайно высокая интенсивность процесса. В отдельных случаях при остром кариесе развивается пришеечный кариес большей части зубных единиц.
Диагностика кариеса
Диагноз ставится стоматологом на основании жалоб пациента, данных внешнего осмотра, а также инструментального исследования. Для обследования полостей применяется зондирование.
При значительных полостях весьма информативным методом инструментального исследования считается рентгенография. Выявить кариес в стадии мелового пятна возможно посредством нанесения на эмаль раствора фуксина или метиленового синего.
Деминерализованные участки при этом интенсивно окрашиваются. Поверхностный кариес следует отличать от следующих некариозных поражений эмали:
- флюороз (обусловлен избытком фтора);
- врожденная гипоплазия;
- клиновидный дефект;
- эрозивные поражения (возникают на фоне контакта с агрессивными веществами).
Как лечить кариес?
Лечение кариеса предполагает устранение пораженных тканей, создание полости для оптимальной фиксации заместительного (пломбировочного) состава, постановку пломбы и ее обработку. Перед началом манипуляций определяются точки окклюзии (смыкания зубов).
Затем осуществляется местное (или общее) обезболивание. На десны накладываются изолирующие приспособления – коффердамы. Затем бором снимают нависающие края эмали и проводят полное удаление пораженных тканей.
Затем ставится пломба из цемента, композита или фотополимера. Готовую пломбу пришлифовывают и полируют.
Рекомендуем прочитать: Виды зубных пломб – какую выбрать?
Важно: альтернативой препарированию зуба с помощью бормашинки является введение в кариозную полость меланоцитстимулирующих гормонов. Есть данные, что таким образом можно стимулировать рост клеток зубных тканей.
Для удаления размягченных тканей также могут применяться ферменты, но риск рецидива при данном методе лечения достаточно высок. Принципы лечения кариеса молочных зубов у детей в целом не отличаются от терапии поражения постоянных зубов. Разница заключается в том, что когда уже началась резорбция корней (т. е.
идет подготовка к смене зубов), сохранять временный зуб нецелесообразно. В связи с этим нередко прибегают к экстракции (удалению). Так называемый «бутылочный кариес» чаще всего поражает резцы и клыки в пришеечной области. Заболевание характерно для детей до 3 лет. В литературе можно встретить и другое название – «молочный кариес».
Причина развития данной патологии – неправильный режим питания в сочетании с недостаточно высоким уровнем гигиены полости рта. К этой разновидности кариеса часто приводит сосание сладких (в т. ч. молочных) напитков из бутылочки в ночное время.
Ночью слюнные железы малыша вырабатывают сравнительно мало секрета, вследствие чего создаются максимально благоприятные условия для размножения стрептококков и лактобактерий. Бутылочный кариес опасен тем, что становится причиной ранней утраты зубов, в результате чего нарушается формирование постоянного прикуса.
Профилактика кариеса зубов
Предупреждение поражения твердых тканей зубов предполагает ликвидацию кариесогенной ситуации в полости рта и повышение резистентности эмали к воздействию кариесогенных факторов. Важнейшими направлениями в профилактике кариеса являются:
- высокий уровень гигиены полости рта (что включает правильный подбор зубной щетки);
- применение зубных паст с добавлением фтористых соединений;
- применение флоссов;
- использование ополаскивателей с антисептическими компонентами;
- снижение потребления «быстрых углеводов»;
- прохождение профилактического осмотра у стоматолога не реже 1 раза в полгода.
Немаловажное значение имеет также общее оздоровление организма, в частности – укрепление общего иммунитета. Плисов Владимир, стоматолог
15,127 8
(186 голос., 4,49 из 5) Загрузка…
Источник: https://okeydoc.ru/karies-vidy-lechenie-profilaktika/
Кариес: причины, признаки, типы
Что такое кариес? Это разрушение твёрдых тканей зуба вследствие деятельности кариозных бактерий.
Разрушение зубной поверхности происходит в результате гниения и имеет вид полостей, углубляющихся в твёрдые ткани. Распространённость кариеса среди населения планеты составляет 95%.
В чём причины широкого распространения стоматологического заболевания? И какие меры помогают предупредить кариес зубов?
Признаки кариеса и стадии его формирования
Как распознать кариес? Диагностика стоматологического заболевания на любой стадии выполняется визуально. При наличии болевых ощущений необходимо осмотреть зубы с целью обнаружения на них пятен или углублений.
Кариес проходит несколько стадий формирования. Вначале образуется дефект в зубной эмали — пятно. Место дефекта выглядит более тёмным, его называют очаговой деминерализацией. Появляются симптомы начальной стадии — болезненность при попадании горячего, сладкого.
Небольшая полость в эмали постепенно углубляется. Эмаль становится мягкой и при осмотре стоматолога легко удаляется врачебным экскаватором. Эта стадия называется начальным или поверхностным разрушением. Боли почти нет, углубления обнаруживаются при визуальном осмотре.
Когда углубление достигает следующего слоя – дентина, формируется средний кариес зубов. Симптомы этой стадии: боль при попадании остатков еды или сладкого.
Глубокое разрушение слоёв дентина называют глубоким кариесом. При дальнейшем развитии гниение зубных тканей достигает пульповой камеры, где расположены нервные окончания и сосуды. Болезнь перерастает в пульпит (воспаление пульпы).
Приведенные картинки демонстрируют стадии формирования кариеса – от пятна до пульпита.
Признаки кариеса включают в себя не только наличие открытых полостей (дырок) в зубах, но и потемнение зубной поверхности.
Фото демонстрирует, как выглядит кариес в различной стадии формирования. В зависимости от глубины полости гниения, различают поверхностное, среднее или глубокое кариозное поражение.
Фото — Стадия пятна Средний Глубокий кариес
Дифференциальная диагностика кариеса – что это такое?
Дифференциальная диагностика – это точное определение заболевания. Данный медицинский термин важен для тех ситуаций, когда болезненные симптомы могут быть вызваны несколькими причинами.
Поскольку различные болезни зубов требуют разного подхода в лечении, то важна точная постановка диагноза. Наибольшим количеством вариантов толкований симптомов характеризуется поверхностный кариес в стадии пятна.
Какие стоматологические заболевания вызывают образование пятен на эмали, и как отличить кариозное пятно?
Гипоплазия – недоразвитость зуба, отсутствие его частей или эмали. Пятна при гипоплазии имеют белую или желтоватую блестящую поверхность. Пятна при гипоплазии безболезненны и не окрашиваются. В то время как кариозные пятна отличаются матовой поверхностью и меняют цвет при окрашивании.
Флюороз – появление пятен вследствие повышенной концентрации фтора в питьевой воде. Пятна флюороза (белые, коричневые и чёрные) имеют блестящую гладкую поверхность, без болезненной реакции.
Эрозия эмали – располагается на самой выступающей части верхушки зуба. Дно эрозии также гладкое, блестящее и безболезненное.
Химический некроз (омертвление) эмали отличается локализацией на передних резцах (они непосредственно контактируют с загрязнённым воздухом при работе на некоторых химических производствах).
Дифференциальную диагностику кариозного пятна выполняют витальным окрашиванием. Для этого необходим диагностический раствор, содержащий краситель. Эмаль, повреждённая кариозным разрушением, окрашивается, но не даёт информации о глубине развития дефекта. Раствор для витального окрашивания называют детектором кариеса.
Фото — Зубы после витального окрашивания. Кариозные участки приобрели ярко красный цвет.
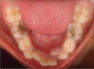
Множественный и рецидивирующий кариес
Кариозные полости является источником инфекции. Поэтому часто в поздней стадии появляется множественный кариес зубов. В ротовой полости формируется несколько дырок в одной или нескольких коронках. Так проявляются последствия кариеса от одного невылеченного зуба.
Фото – множественный кариес: впечатляющие картинки
Существует ещё одна стадия заболевания – рецидивирующий кариес зубов. Он является следствием неправильного лечения. При пломбировании полости необходимо тщательно удалить слой измененной ткани (чёрного цвета). Почерневший слой является очагом болезнетворных бактерий. Если очистка была проведена некачественно, гниение зуба под пломбой продолжается, возникает рецидив.
Симптомы рецидива проявляются, как правило, слишком поздно. Поскольку в кариозную полость под пломбой еда не попадает, болевые симптомы отсутствуют. Боль появляется тогда, когда разрушение достигает пульповой камеры.
В таком случае появляются симптомы пульпита: ноющая боль в десне и зубе. Через некоторое время – боль усиливается, становится резкой и требует безотлагательного посещения врача.
В пульпитной стадии необходимо удалять нерв и пломбировать корневые каналы.
Последствия кариеса плачевны: разрушение зубов, пульпит, парадонтит (воспаление дёсен), киста и гранулёма на корнях, гнойные образования, боль.
Перечисленные заболевания появляются при запущенном кариесе. Предупредить их необходимо своевременным лечением. Диагностика кариеса позволяет удалить инфицированный слой, поставить пломбу и сохранить зуб.
Где располагаются кариозные полости?
По месту расположения кариозные полости делят на:
- фиссурные – это разрушение зубов в фиссурах (фиссуры – естественные углубления, впадины между выступами на рабочей горизонтальной поверхности жевательных зубов (смотри фото);
- межзубный – локализуется в боковой поверхности двух соседних зубов;
- пришеечный – располагается в зоне рядом с десной;
- атипичный – располагается на режущей кромке зуба или выступающей его части; такой кариес считается нетрадиционным, не имеют налёта и меньше подвергаются воздействию бактерий.
Фото — Фиссурный кариес
Фото — Боковое межзубное разрушение, тёмные пятна на фото являются внутренними кариозными полостями
Фото — Пришеечное расположение кариозных полостей рядом с десной
Причины возникновения кариеса
Разрушение зубов происходит в результате деятельности кариозных бактерий. Чаще всего такими бактериями являются стрептококковые микроорганизмы. Однако для развития кариеса недостаточно простого присутствия стрептококков. Необходимы условия для их жизнедеятельности.
Нормальная микрофлора ротовой полости не даёт возможности стрептококкам размножаться и разрушать зубы. Развитие болезни начинается тогда, когда нарушаются биохимические процессы внутри полости рта. Например, если в организме имеются заболеваниях ЖКТ, состав слюны меняется, формируется зубной налёт и камень, начинается деминерализация и появляется кариес зубов.
Отметим факторы, которые приводят к нарушению микрофлоры ротовой полости (они создают условия для образования дырок в зубах):
- наличие микроорганизмов, вызывающих гниение твёрдых тканей зуба (к кариозным бактериям относят несколько видов стрептококков);
- наличие кислоты, разрушающей зубы (кислота появляется при разложении в ротовой полости остатков углеводистой пищи);
- наличие благоприятное среды для брожения и гниения (остатки мясной пищи между зубами) вследствие недостаточной гигиены полости рта;
- нездоровый состав слюны, этот фактор определяется наличием внутренних заболеваний ЖКТ (язвенная болезнь, гастрит, холецистит, панкреатит);
- недостаточное питание и снабжение твёрдых тканей микроэлементами, особенно кальцием и фтором, обеспечивающим прочность и твёрдость зубной поверхности (этот фактор часто формируется у людей, проживающих в промышленных регионах, вследствие хронического отравления организма промышленными выбросами);
- потеря кальция вследствие его недостаточной усваиваемости при заболеваниях ЖКТ;
- потеря кальция при беременности и кормлении грудью;
- потеря кальция при радиационном облучении (фактор проявляется в регионах с близко расположенными атомными станциями).
Как противодействовать кариесу?
Исходя из причин возникновения кариеса зубов и понимая, что такое кариес и каковы его последствия, можно предпринять ряд профилактических мер для предупреждения заболевания:
- Тщательно и регулярно очищать ротовую полость (чистить зубы утром, вечером, своевременно удалять зубной налёт и зубной камень с поверхности эмали);
- Полоскать рот после еды для удаления остатков углеводистой пищи и нормализации кислотности;
- Чистить межзубное пространство после приёмов мясной пищи;
- Восполнять потери кальция и фтора витаминными добавками.
Что касается факторов экологического загрязнения и внутренних заболеваний ЖКТ, то им противодействовать сложнее. Зная о наличии болезней пищеварения, надо чаще посещать зубной кабинет, чтобы обнаруживать имеющиеся кариозные разрушения как можно раньше, и лечить их очисткой и пломбированием.
Кариес – заболевание века. Широкая распространённость кариеса объясняется современным образом жизни и питания большинства людей: преобладание в меню углеводистых продуктов, преимущество термически обработанной пищи, недостаточное количество твёрдых овощей, экологическое загрязнение.
Своевременная диагностика кариеса помогает предупредить его осложнения, но не способна оградить появления самого заболевания.
Для того чтобы в зубах не образовывались дырки и полости, необходимо устранить причины возникновения кариеса: нездоровое питание, заболевания органов ЖКТ и экологическое загрязнение.
Источник: https://vashyzuby.ru/bolezni-zubov/karies/karies-prichiny-priznaki-tipy.html
Что такое зубной кариес: причины заболевания, симптомы и методы лечения кариеса, фото кариозных зубов
Кариесом принято считать стоматологическое заболевание, при котором поражаются твёрдые зубные ткани, происходит разрушение эмали и дентина. Прогрессирование кариозного процесса приводит к проникновению болезнетворных бактерий в пульпу, что в дальнейшем чревато пульпитом, периодонтитом или свищом на десне.
Сегодня кариес занимает лидирующее положение среди всех известных зубных заболеваний. По имеющимся данным, кариозная болезнь охватывает около 90% взрослого населения.
Причём заболеваемость кариесом выше в экономически развитых государствах, что объясняется тотальным потреблением сахаросодержащей продукции. С начала двадцатого века прослеживается удручающая тенденция роста заболеваемости в детском возрасте. Уже с пятилетнего возраста 70% детей имеют кариес разной глубины.
Особенности формирования кариеса
Образование кариеса происходит вследствие пагубного влияния вредоносных микроорганизмов на зубную эмаль. Постоянно присутствуя в ротовой полости, они перерабатывают застрявшие в зубах остатки пищи. В результате разложения углеводистых соединений образуются органические кислоты.
Повышение концентрации органических кислот пагубно сказывается на кальциевых солях — они размываются агрессивной кислотной средой. Систематическое размывание солей кальция в конечном счёте ведёт к деминерализации зубов.
Зубная эмаль является самой твёрдой тканью в теле человека. В её химическом составе преобладают минералы, преимущественно, гидроксиапатиты. Эти минеральные соединения демонстрируют высокую восприимчивость к кислотам, поэтому эмаль начинает разрушаться при показателях pH 4,5.
Кариес редко когда появляется сам по себе, без видимых на то причин. Чаще всего патологическое состояние организма выступает в роли ключевого патогенетического звена в развитии кариозной болезни. Ослабление общих и местных иммунных функций, заболевания пищеварительной системы и несбалансированное питание провоцируют кариес.
Современная медицина насчитывает приблизительно 400 теорий возникновения этой зубной патологии, но основная их масса фокусируется на том, что несоблюдение гигиенических правил ведёт к появлению на эмали зубного налёта, который и является источником заболевания.
Человек, не уделяющий должного внимания регулярной и правильной чистке зубов, подвергает свою зубную эмаль разрушающему действию налёта. Налёт увеличивается по всему периметру зубов, особенно в труднодоступных для щётки зубах и областях, где ему сложно ликвидироваться естественными путями.
Как известно, пища в момент жевания часто застревает на боковых поверхностях зубов и в углублениях жевательных органов. С течением времени образуется прочная связь налёта с зубной поверхностью.
Начинается активное размножение бактериальной флоры, основную долю которой составляют стрептококки. Зубной налёт постепенно уплотняется из-за минеральных солей, содержащихся в слюнной жидкости. Образование из налёта и минеральных солей получило название зубной бляшки.
Причины кариесогенного поражения зубов
Зубная бляшка, являясь средой обитания для бактерий, создаёт им условия для продуцирования молочной кислоты, а та, в свою очередь, способна деминерализировать зубы. Деминерализация является первой стадией кариозной болезни.
Стрептококковые микроорганизмы участвуют в образовании сложных сахаров, один из которых, декстран. Этот полисахарид продуцируется из сахарозы, которая содержится в больших количествах в легкоусвояемых углеводах, поэтому избыток сладкой пищи в рационе человека напрямую связан с развитием кариеса.
Насколько активно будут проявлять себя кариесогенные бактерии, зависит от генетических особенностей человека. Многие люди имеют слабую резистентность к возбудителям кариеса, а люди с крепким иммунитетом, и при отсутствии хронических патологий, демонстрируют хорошую сопротивляемость кариесу.
Лица с иммунодефицитными состояниями находятся в группе риска. У детей, перенёсших экссудативный диатез и рахит, кариес диагностируют в два раза чаще. Качественное и количественное нарушение состава слюны создаёт предпосылки для снижения её антибактериальных свойств, что в несколько раз повышает риск появления кариозного поражения.
Соматические отклонения и дефицит питательных веществ, сопровождающие период формирования зубных структур, значительно ослабляют резистентный ответ. Патологические заболевания эмали наследственного характера, такие как аплазия и гипоплазия, в совокупности с другими экстремальными факторами увеличивают вероятность развития кариеса.
В генезисе кариозной болезни немаловажную роль играет среда обитания человека. Так, проживая в индустриальных районах, загрязнёнными промышленными выбросами, истощается защитная функция организма, появляются проблемы с зубами.
От того как в каком состоянии находилась зубочелюстная система в период закладки во многом зависит дальнейшее здоровье зубов. Если зубы развивались и прорезались без видимых осложнений, то это существенно снижает риск кариеса.
Формы кариеса и их краткая характеристика
Стадия кариозного пятна. Меловое пятно образуется на поверхности зуба и придаёт повреждённой зоне желтоватый оттенок. Это начальная стадия разрушения зуба, поэтому поверхность всё ещё гладкая. Нельзя упускать момент, нужно срочно обратиться к стоматологу, так как дальнейшее развитие заболевания приведёт к удорожанию лечебных процедур.
Ранняя стадия кариеса отличается безболезненностью лечения, необходимо просто удалить пятно. После этого осуществляют процедуру реминерализации эмали. Для этого на шейку зуба наносят специальные растворы, например, глюконат кальция. Широко распространено применение инфильтрационно-пропитывающего метода.
Поверхностный кариес. Для этой стадии характерно размягчение повреждённой зубной эмали. Она без усилий удаляется посредством экскаватора. Больные редко жалуются на болезненные ощущения. Боль может появиться от попадания в кариозную лунку сладкой или кислой пищи.
Визуальный осмотр позволяет обнаружить дефекты эмали округлых форм. При хронизации процесса края дефекта пологие, при остром течении края отвисают. Химические раздражители и холодная пища также вызывает болевой синдром.
Средний кариес. На этом этапе наблюдается проникновение кариеса в глубокие слои эмали. Начинается поражение эмалево-дентинной ткани. Поражение зуба становится более выражено. Больной зуб вызывает приступообразную боль. Стоматолог удаляет поражённую часть зуба, обрабатывает антибактериальными растворами и устанавливает постоянную пломбу.
Глубокий кариес. Происходит глубокое повреждение дентинового слоя. Морфофункциональная особенность дентины и пульпы объясняет их реактивные и дистрофические изменения. Может развиться воспаление или некроз при раздражении повреждённых участков бормашиной и лекарственными препаратами.
Виды кариеса на зубах и области его локализации
- Пришеечный. Название обусловлено тем, что пятна появляются на шейке дёсны, рядом с десной. Отмечается повышенная чувствительность зуба.
- Бутылочный. Такой кариес встречается только на молочных зубах. Лечат его реминерализационной терапией и тщательной гигиеной ротовой полости.
- Прикорневой. Поражает ткани, прилежащие к зубному корню. Появляется боль и повышенная чувствительность.
- Фиссурный. Место локации в центре зуба. При этом не поражается пришеечная и прикорневая зона.
Клиническое наблюдение позволило установить, что методика и тактика лечения кариеса определяется в зависимости от остроты и быстроты кариозного разрушения. В связи с этим существует классификация форм кариеса по остроте процесса:
- Компенсированная. Хронический кариес. Дегенеративные процессы протекают медленно. В кариозных полостях выстлан твёрдый пигментированный дентин.
- Субкомпенсированная. Кариес средней интенсивности, без ярко выраженных симптомов.
- Декомпенсированная. Острое течение кариеса. Заболевание развивается стремительно, появляется множество кариозных полостей, которые заполняются мягким дентином. Большую опасность представляет системное поражение жевательных элементов, когда поражены почти все зубы в области шеек.
Методы диагностики кариеса
- Метод визуализации. Стоматолог проводит визуальный осмотр и выделяет кариозные участки.
- Рентгеновский метод. С помощью рентгена можно выявить скрытые формы кариеса. Эффективен для обнаружения кариозных полостей, которые незаметны невооружённому глазу. Рентген не применяют для диагностики ранних стадий кариеса.
- Трансиллюминационный метод. Заключается в просвечивании яркими световыми потоками корней зубов. На ярком свету кариозные зоны будут выделяться тёмным цветом. Метод позволяет обнаружить мелкие трещины в зубной эмали.
- Метод лазерной диагностики. Лазерный луч отражается от кариозных полостей, издавая при этом звуковой сигнал.
Прибор позволяет рассмотреть кариес на ранних этапах и в самых труднодоступных местах — корнях, соприкасающихся участках эмали.
- Электроодонтометрический метод. Принцип работы основан на способности пульпы реагировать на слабые токи.
Поражённая и здоровая зубная эмаль по-разному реагирует электрическое воздействие, что даёт возможность врачу без ошибок диагностировать любую форму кариеса.
Лечения зубного кариеса и его профилактика
Для эффективной терапии кариеса важна диагностика заболевания на самой ранней стадии. Время, за которое кариозное пятно успевает развиться до глубокой полости, занимает около года. Вот почему так важно посещать стоматологический кабинет как минимум раз в полгода.
Тактика лечения будет зависеть от запущенности кариеса. Перед началом лечебных манипуляций убирают зубной налёт, просушивают поверхность зубов и проводят обработку антисептиками, например, хлоргексидином.
Восстановительная аппликация, нормализующая минеральный состав эмали, применяется на стадии пятен. Маленькие участки, поражённые кариогенными бактериями, зачастую сошлифовывают, а потом реминерализируют и покрывают защитной смесью.
Поверхностная, средняя и глубокая форма кариеса предполагает удаление поражённых тканей. После этого образованные полости очищают и внедряют туда пломбировочный состав. Сильно разрушенный зуб иногда невозможно спасти — целесообразно удалить пульпу и нерв.
Для того чтобы не ощутить на себе все неприятные последствия кариеса недостаточно использования качественной фторсодержащей пасты или антибактериального ополаскивателя. Во избежание развития кариеса требуется целый комплекс мероприятий:
- Ограничить количество потребляемых углеводов, особенно конфет и шоколада, сладких газированных напитков.
- Включать в свой рацион твёрдую пищу, твёрдые овощи и фрукты.
- Чистить зубы и ополаскивать ротовую полость после еды. Для ежедневного полоскания подойдут растворы на основе хлоргексидина.
- Соблюдать правила техники очищения зубной эмали.
- Употреблять ксилитовые жевательные резинки после приёма пищи.
- Проходить ежегодно профилактический осмотр.
- Следить за состоянием иммунитета и вовремя лечить появившиеся заболевания.
- Ирина Васильевна Комарова
- Распечатать
Источник: https://stoma.guru/lechenie/karies/karies-chto-eto-takoe-prichiny-i-simptomy-foto-porazhennyh-zubov.html
Поделиться:



