Абсцесс легкого
Абсцесс легкого – это неспецифическое воспаление легочной ткани, в результате которого происходит расплавление с образованием гнойно-некротических полостей.
В период формирования гнойника отмечается лихорадка, торакалгии, сухой кашель, интоксикация; в период вскрытия абсцесса — кашель с обильным отхождением гнойной мокроты. Диагноз выставляется на основании совокупности клинических, лабораторных данных, рентгенологической картины.
Лечение подразумевает проведение массивной противомикробной терапии, инфузионно-трансфузионной терапии, серии санационных бронхоскопий. Хирургическая тактика может включать дренирование абсцесса или резекцию легких.
Абсцесс легкого входит в группу «инфекционных деструкций легких», или «деструктивных пневмонитов». Среди всех нагноительных процессов в легких на долю абсцесса приходится 25-40%. Абсцессы легочной ткани в 3-4 раза чаще регистрируются у мужчин.
Типичный портрет пациента — мужчина среднего возраста (40-50 лет), социально неустроенный, злоупотребляющий алкоголем, с длительным стажем курильщика. Более половины абсцессов образуется в верхней доле правого легкого.
Актуальность проблематики в современной пульмонологии обусловлена высокой частотой неудовлетворительных исходов.
Причины
Возбудители проникают в полость легкого бронхогенным путем. Золотистый стафилококк, грамотрицательные аэробные бактерии и неспорообразующие анаэробные микроорганизмы являются наиболее распространенной причиной абсцесса легких.
При наличии воспалительных процессов в полости рта и носоглотке (пародонтоз, тонзиллит, гингивит и др.) вероятность инфицирования легочной ткани возрастает.
Аспирация рвотными массами, например, в бессознательном состоянии или в состоянии алкогольного опьянения, аспирация инородными телами тоже может стать причиной абсцесса легких.
Вторичное бронхогенное инфицирование возможно при инфаркте легкого, который происходит из-за эмболии одной из ветвей легочной артерии.
Во время военных действий и террористических актов абсцесс легкого может образоваться вследствие прямого повреждения или ранения грудной клетки.
В группу риска входят люди с заболеваниями, при которых возрастает вероятность гнойного воспаления, например больные сахарным диабетом. При бронхоэктатической болезни появляется вероятность аспирации зараженной мокротой. При хроническом алкоголизме возможна аспирация рвотными массами, химически-агрессивная среда которых так же может спровоцировать абсцесс легкого.
Начальная стадия характеризуется ограниченной воспалительной инфильтрацией легочной ткани. Затем происходит гнойное расплавление инфильтрата от центра к периферии, в результате чего и возникает полость.
Постепенно инфильтрация вокруг полости исчезает, а сама полость выстилается грануляционной тканью, в случае благоприятного течения абсцесса легкого происходит облитерация полости с образованием участка пневмосклероза.
Если же в результате инфекционного процесса формируется полость с фиброзными стенками, то в ней гнойный процесс может самоподдерживаться неопределенно длительный период времени (хронический абсцесс легкого).
Классификация
По этиологии абсцессы легких классифицируют в зависимости от возбудителя на пневмококковые, стафилококковые, коллибациллярные, анаэробные и пр. Патогенетическая классификация основана на том, каким образом произошло заражение (бронхогенным, гематогенным, травматическим и другими путями).
По расположению в легочной ткани абсцессы бывают центральными и периферическими, кроме того они могут быть единичными и множественными, располагаться в одном легком или быть двусторонним. Некоторые авторы придерживаются мнения, что гангрена легкого — это следующая стадия абсцесса.
По происхождению выделяют:
- Первичные абсцессы. Развиваются при отсутствии фоновой патологии у ранее здоровых лиц.
- Вторичные абсцессы. Формируются у лиц с иммуносупрессией (ВИЧ-инфицированных, перенесших трансплантацию органов).
Симптомы абсцесса легких
Болезнь протекает в два периода: период формирования абсцесса и период вскрытия гнойной полости.
В период образования гнойной полости отмечаются боли в области грудной клетки, усиливающиеся при дыхании и кашле, лихорадка, порой гектического типа, сухой кашель, одышка, подъем температуры.
Но в некоторых случаях клинические проявления могут быть слабо выраженными, например, при алкоголизме болей практически не наблюдается, а температура редко поднимается до субфебрильной.
Во время второго периода абсцесса легкого происходит вскрытие полости и отток гнойного содержимого через бронх. Внезапно, на фоне лихорадки, кашель становится влажным, и откашливание мокроты происходит «полным ртом». За сутки отходит до 1 литра и более гнойной мокроты, количество которой зависит от объема полости.
Симптомы лихорадки и интоксикации после отхождения мокроты начинают снижаться, самочувствие пациента улучшается, анализы крови так же подтверждают угасание инфекционного процесса.
Но четкое разделение между периодами наблюдается не всегда, если дренирующий бронх небольшого диаметра, то отхождение мокроты может быть умеренным.
Если причиной абсцесса легкого является гнилостная микрофлора, то из-за зловонного запаха мокроты, пребывание пациента в общей палате невозможно.
После длительного стояния в емкости происходит расслоение мокроты: нижний густой и плотный слой сероватого цвета с крошковидным тканевым детритом, средний слой состоит из жидкой гнойной мокроты и содержит большое количество слюны, а в верхних слоях находится пенистая серозная жидкость.
Если в процесс вовлекается плевральная полость и плевра, то абсцесс осложняется гнойным плевритом и пиопневмотораксом, при гнойном расплавлении стенок сосудов возникает легочное кровотечение.
Также возможно распространение инфекции, с поражением здорового легкого и с образованием множественных абсцессов, а в случае распространения инфекции гематогенным путем – образование абсцессов в других органах и тканях, то есть генерализация инфекции и бактериемический шок.
Примерно в 20% случаев острый гнойный процесс трансформируется в хронический.
Диагностика
При визуальном осмотре, часть грудной клетки с пораженным легким отстает во время дыхания, или же, если абсцесс легких носит двусторонний характер, движение грудной клетки асимметрично.
В крови ярко выраженный лейкоцитоз, палочкоядерный сдвиг лейкоцитарной формулы, токсичная зернистость нейтрофилов, повышенный уровень СОЭ. Во второй фазе абсцесса легкого анализы крови постепенно улучшаются.
Если процесс хронизируется, то в уровень СОЭ увеличивается, но остается относительно стабильным, так же присутствуют признаки анемии.
Проводят общий анализ мокроты на присутствие эластических волокон, атипичных клеток, микобактерий туберкулеза, гематоидина и жирных кислот. Бактериоскопию с последующим бакпосевом мокроты выполняют для выявления возбудителя и определения его чувствительности к антибактериальным препаратам.
Рентгенография легких является наиболее достоверным исследованием для постановки диагноза, а так же для дифференциации абсцесса от других бронхолегочных заболеваний. В сложных диагностических случаях проводят КТ или МРТ легких. ЭКГ, спирография и бронхоскопия назначаются для подтверждения или исключения осложнений абсцесса легкого.
При подозрении на развитие плеврита осуществляется плевральная пункция.
Лечение абсцесса легкого
Тяжесть течения заболевания определяет тактику его терапии. Возможно как хирургическое, так и консервативное лечение. В любом случае оно проводится в стационаре, в условиях специализированного отделения пульмонологии.
Консервативная терапия включает в себя соблюдение постельного режима, придание пациенту дренирующего положения несколько раз в день на 10-30 минут для улучшения оттока мокроты. Антибактериальная терапия назначается незамедлительно, после определения чувствительности микроорганизмов возможна коррекция антибиотикотерапии.
Для реактивации иммунной системы проводят аутогемотрансфузию и переливание компонентов крови. Антистафилакокковый и гамма-глобулин назначается по показаниям.
Если естественного дренирования не достаточно, то проводят бронхоскопию с активной аспирацией полостей и с промыванием их растворами антисептиков (бронхоальвеолярный лаваж).
Возможно также введение антибиотиков непосредственно в полость абсцесса легкого. Если абсцесс расположен периферически и имеет большой размер, то прибегают к трансторакальной пункции.
Когда же консервативное лечение абсцесса легкого малоэффективно, а также в случаях осложнений показана резекция легкого.
Прогноз и профилактика
Благоприятное течение абсцесса легкого идет с постепенным рассасыванием инфильтрации вокруг гнойной полости; полость теряет свои правильные округлые очертания и перестает определяться. Если процесс не принимает затяжной или осложненный характер, то выздоровление наступает через 6-8 недель.
Летальность при абсцессе легкого достаточно высока и на сегодняшний день составляет 5-10%. Специфической профилактики абсцесса легкого нет. Неспецифической профилактикой является своевременное лечение пневмоний и бронхитов, санация очагов хронической инфекции и предупреждение аспирации дыхательных путей.
Так же важным аспектом в снижении уровня заболеваемости является борьба с алкоголизмом.
Источник: https://www.krasotaimedicina.ru/diseases/zabolevanija_pulmonology/lung_abscess
Абсцесс легкого — симптомы, диагностика и лечение

Формирование многочисленных мелких (менее 2 см) абсцессов иногда называют некротической пневмонией или гангреной легких.
Обе этих патологии имеют весьма сходное проявление и патогенетическую картину.
Отсутствие своевременного диагноза и лечения абсцесса легких связано с неблагоприятным клиническим исходом, чаще всего – смертью пациента.
Причины возникновения
Что это такое? Основной причиной абсцесс легкого является ситуация, при которой легочная ткань полностью теряет кислород. Больные очаговой пневмонией находятся в группе риска.
Гнойно-некротические процессы в легочных тканях могут возникнуть по причине попадания в полости верхних дыхательных путей инородных тел, рвотных масс.
Посторонние предметы, попадая в легкие, полностью закрывают бронх, препятствуя поступлению к нему воздуха в должном количестве. Именно в таком пространстве быстро развиваются гнойники.
Абсцесс легкого может быть вызван болезненной микрофлорой у людей, страдающих воспалением десен. Болезнетворные бактерии из полости рта попадают в дыхательные пути, что провоцирует скоротечное развитие инфекции и воспаление легочных тканей. В дальнейшем без надлежащего осмотра врача и приема лекарств некроз прогрессирует и приводит к образованию абсцесса.
Симптомы абсцесса легкого
Абсцесс лёгкого в острой форме по статистике чаще поражает сильный пол в возрасте 20-50 лет. Правое лёгкое, из-за его больших параметров, воспаляется чаще. При этом абсцессы возникают в разных частях органа, хотя верхняя доля лёгких подвержена болезни сильнее.
Симптомы заболевания выявляемые в 1 период:
- Боль со стороны пораженного легкого, усиливающаяся в момент глубокого вдоха и при кашле.
- Сухой кашель.
- Увеличение частоты дыхания до 30 дыхательных движений в минуту и более.
- Повышение температуры до 39 °C и выше.
- Головная боль.
- Резкое снижение аппетита.
- Тошнота.
- Общая слабость.
Симптоматика, появляющиеся во 2 период:
- Влажный кашель.
- Выделение мокроты при кашле «полным ртом».
- Зловонный запах отделяемого (если инфекционным агентом выступила гнилостная микрофлора).
- От 1000 мл и более гнойного отделяемого в сутки (чем больше полостной процесс, тем выше объем отделяемого).
- Уменьшение температуры тела и общей интоксикации.
В зависимости от хода развития болезни и возможностей рецидива принято делить абсцесс на хронический и острый.
Течение заболевания
В случае когда гной прорвало в бронхи, но при этом инфекционный процесс получилось остановить, то у человека наступает стадия выздоровления. Если же больной не обратился за медицинской помощью, то его состояние значительно ухудшается и наступают осложнения абсцесса. Они выражены в виде:
- болевого шока;
- сепсиса;
- эмпиемы плевры;
- воспалительно-некротического очага;
- пиопневмотораксе;
- легочном кровотечении.
Как правило, именно легочное кровотечение является наиболее распространенным осложнением абсцесса легкого.
Хронический абсцесс легкого
Возникает в том случае, если острый процесс не завершается за 2 месяца.
Этому способствуют особенности самого абсцесса – большие размеры (больше 6 см в диаметре), плохой дренаж мокроты, локализация очага в нижней части легкого; ослабление организма – нарушение в работе иммунитета, хронические заболевания и так далее; ошибки при лечении острого абсцесса – неправильно подобранный антибиотик или слишком маленькие дозы, поздно начатое или недостаточное лечение.
При хроническом абсцессе больного мучают одышка, кашель с отделением зловонной мокроты, чередование ухудшения и нормализации состояния, повышенная утомляемость, слабость, истощение, потливость.
Постепенно, из-за нехватки кислорода и постоянной интоксикации организма, развивается бронхоэктазия, пневмосклероз, эмфизема легких, дыхательная недостаточность и другие осложнения.
Меняется внешний вид больного – грудная клетка увеличивается в размерах, кожные покровы бледные, цианотичные, конечные фаланги пальцев утолщаются, приобретают вид «барабанных палочек».
Диагностика
Диагноз ставится по результатам обследования пациента. Существует несколько методов проведения обследования больного. Одним из них является пальпация больного участка. При этом обнаруживается болезненность.
- При проведении рентгена и на КТ можно увидеть образование воспалительного инфильтрата, который характеризуется гомогенным затемнением. Если абсцесс прорывается в область бронхиального дерева, то обнаруживается гнойная мокрота в большом количестве, которая имеет неприятный запах, иногда имеется примесь крови.
- Чаще всего при прорыве абсцесса наблюдается облегчение состояния пациента, температура начинает понижаться. При этом на рентгене можно увидеть, что в легких образуется просветление. Большое значение имеет состояние пациента, развитие заболевания, а также данные, которые были получены в результате лабораторных, функциональных, иммунологических и рентгенологических исследований.
- Хронический абсцесс легкого очень часто имеет схожие симптомы с гангреной легких, поэтому различить их бывает достаточно сложно. Поэтому чаще всего диагноз ставится после проведения рентгенологического обследования. Большое значение имеет проведение КТ, которая позволяет определить степень поражения легочной ткани. Кроме того, при подозрении на полостные формы онкологии, необходимо пройти пункционную биопсию.
Абсцесс правого легкого нередко напоминает туберкулез. В таком случае для уточнения необходимо сдать мокроту на посев палочки, а также иммунологическое обследование. Существуют похожие симптомы с эмфиземой и пневмотораксом, нагноившимися легочными кистами.
Как лечить абсцесс легкого?
При возникновении абсцесса легкого начало лечения зависит от его причины, характера течения (острый, хронический), микроорганизма-возбудителя и его чувствительности к антибиотикам, наличия сопутствующих легочных заболеваний.
- Стандартно лечение начинают с назначения пенициллина по 500000—1000000 ЕД лучше внутривенно 6—8 раз в день (до 8000000—10000000 ЕД в сутки). При отсутствии эффекта после определения чувствительности бактериальной флоры к антибиотикам назначают наиболее эффективный препарат. Лечебный эффект могут дать морфоциклин, эритромицин, метициллин, левомицетин, сигмамицин, олеадомицин и другие антибиотики.
- Весьма эффективной бывает бронхоскопия с отсасыванием гнойного содержимого абсцесса и последующим введением в полость антибиотика, подобранного согласно антибиотикограмме. При этом пенициллин вводят по 300 000—800 000 ЕД каждые 2—3 дня (всего 15 введений), стрептомицин — по 500000 ЕД.
- Нередко бывает высокоэффективной комбинация антибиотиков с сульфаниламидами (сульфадиметоксин по 1 г в день, норсульфазол или сульфадимезин — по 1 г 6—8 раз в день). Назначают отхаркивающие средства. Большое значение имеет обеспечение дренажа, для чего больному (в зависимости от локализации абсцесса) придают определенное положение.
- При множественных двусторонних или центрально расположенных абсцессах, а также абсцессах, осложненных кровотечением, наряду с другими методами лечения применяют инфузию антибиотиков в легочную артерию. В качестве основы для приготовления смеси лекарственных препаратов обычно используют раствор хлорида натрия (1 л), в котором растворяют суточную дозу одного из антибиотиков, 5000—10000 ЕД гепарина, 1000 мг витамина С, 25— 30 мг гидрокортизона. Раствор вводят капельно непрерывно со скоростью 12—15 капель в минуту.
- Необходима общеукрепляющая терапия: повторные переливания крови (по 100—200 мл каждые 4—5 дней), витамины А, С, О и группы В, высококалорийная диета (3000—4000 калорий) с высоким содержанием белка.
Если в течение 1 1/2 — 2 мес консервативная терапия не дает эффекта, больного направляют на операцию.
Методы хирургического лечения
Хирургическое лечение абсцесса легкого осуществляется несколькими методами:
- Путем дренирования абсцесса (торакоцентез, торакотомия и пневмотомия).
- С помощью резекции легкого.
Оно направлено на быстрое и максимально полное удаление гноя и омертвевших участков ткани легкого.
Профилактика
Специфической профилактики абсцесса легкого нет. Неспецифической профилактикой является своевременное лечение пневмоний и бронхитов, санация очагов хронической инфекции и предупреждение аспирации дыхательных путей. Так же важным аспектом в снижении уровня заболеваемости является борьба с алкоголизмом.
Источник: https://medsimptom.org/abstsess-legkogo/
Абсцесс легкого: симптомы, лечение, осложнения и патогенез
Абсцесс легкого чаще всего развивается на фоне инфекционных воспалительных заболеваний, выступая их осложнением. Без правильной диагностики и вовремя проведенного лечения патология приводит к серьезным последствиям и даже летальному исходу.
Абсцесс легкого – это заболевание, при котором воспаляется и некротизирует легочная ткань. В результате образуются полости с гнойно-некротическим содержимым, возникающие из-за инфекции. Когда таких очагов в легких несколько, то говорят о некротической пневмонии или гангрене.
Самой частой причиной абсцесса являются такие возбудители, как золотистый стафилококк, аэробные грамотрицательные бактерии и анаэробные неспорообразующие микроорганизмы.
В легкие микробы проникают через бронхи, а пусковым механизмом заражения и воспаления может послужить не только ангина, пневмония, бронхит и другие патологии органов дыхания, но и заболевание полости рта — например: тонзиллит, пародонтоз, гингивит, кариес.
Реже бактерии заносятся в ткани легкого с кровью, то есть гематогенным путем – из других воспаленных органов — например, при гнойном аппендиците.
Абсцесс легкого возникает в безвоздушном участке ткани, что может быть вызвано разными факторами. В большинстве случаев наблюдается сочетание абсцесса легкого и пневмонии. Также гнойно-некротические полости появляются из-за попадания в легкое инородного тела с инфекцией – мелкого осколка кариозного зуба, рвотных масс.
Абсцесс в легочной ткани может появиться при бронхоэктатической болезни, провоцирующими факторами также служат пожилой и преклонный возраст, истощение и ослабленный иммунитет.
Патогенез абсцесса легкого в гнойной полости происходит следующим образом:
- в легочной ткани образуется ограниченный участок с воспалительным инфильтратом;
- гнойник расплавляет ткани от центра к краям, образуя полость;
- происходит выстилание полости грануляционной тканью, а инфильтрация вокруг нее пропадает;
- далее наблюдается облитерация полости и образуется участок пневмосклероза – при остром течении;
- но если полостные стенки образованы фиброзной тканью, то нагноение может существовать длительно, и абсцесс легкого принимает хронический характер.
В группу риска входят не только лица с воспалительными заболеваниями полости рта, дыхательных или других органов, но и люди с таким проблемами:
- сахарный диабет, когда вероятность развития гнойного воспаления повышена в разы;
- хронический алкоголизм, при котором есть риск попадания в бронхи рвотных масс;
- бронхоэктатическая болезнь – возможна аспирация мокротой, содержащей инфекцию.
Классификация
По продолжительности течения болезни абсцесс легкого бывает острым и хроническим. В первом случае гнойники появляются уже через 3-6 недель после начала заболевания. При хроническом абсцессе очаги некроза формируются медленно.
По происхождению болезнь классифицируют на группы:
- по пути заражения – гематогенный, травматический, бронхогенный;
- по возбудителю – стафилококковый, пневмококковый и другие.
По локализации в тканях патологический процесс быть единичным или множественным, односторонним (абсцесс правого легкого или левого) или двусторонним, центральным и периферическим.
Признаки и симптомы абсцесса легкого
Признаки острого абсцесса легкого проявляются сильным кашлем с выделением гнойной мокроты, чаще с примесями крови, в грудной клетке ощущаются боли. При хроническом абсцессе чередуются состояния ремиссии и обострения.
Во время рецидивов наблюдаются вышеназванные симптомы. При наступлении ремиссии боли в грудной клетке становятся менее выраженными, но выделяется больше мокроты с гноем, появляется утомляемость, потливость по ночам и кашель.
Также различна симптоматика до и после прорыва абсцесса легкого. Симптомы в первом случае таковы:
- в определенном участке легкого скапливается гнойное содержимое и общее состояние становится тяжелым, наблюдается быстрая утомляемость,
- недомогание;
- пропадает аппетит;
- потливость, особенно сильная по ночам;
- сухой болезненный кашель и затрудненное дыхание;
- повышение температуры;
- при прослушивании выявляются сухие хрипы, укороченные звуки выше места с гнойником;
- на пальцах нередко утолщены фаланги;
- на рентгеновском снимке легких видна тень округлой формы;
- анализ крови показывает повышение СОЭ и лейкоцитов.
Симптомы абсцесса легкого после прорыва гнойника:
- обильное выделение мокроты – до литра в сутки;
- улучшение общего самочувствия и нормализация температуры;
- дышать становится легче, а при прослушивании хрипы влажные;
- уменьшение потливости, улучшение аппетита;
- рентген показывает округлую полость и на снимке можно увидеть уровень мокроты в ней.
Патогенез абсцесса и его прорыв иногда сопровождаются осложнениями:
- эмпиема плевры при прорыве гнойника в плевральную полость;
- профузное кровотечение при сильном повреждении легочных сосудов;
- септикопиемия – образование гнойных метастазов в разных органах;
- гангрена легкого;
- пиопневмоторакс, если абсцесс сообщается с бронхом и прорывается в плевру;
- нарушенное кровообращение и гипоксия при смещении средостения.
Все эти последствия опасны для жизни и требуют немедленного оказания медицинской помощи.
Диагностировать заболевание на ранних стадиях до прорыва гнойника сложнее, в связи с этим его нередко путают с очаговой пневмонией. Поэтому диагноз «абсцесс легкого» ставится на основании не только симптоматики, но и других методов обследования:
- Анализа крови;
- Рентгенографии;
- Выслушивания легких с помощью стетоскопа и фонендоскопа (аускультация);
- Перкуссии (постукивание с целью оценки возникающих звуков).
Диагностика облегчается после вскрытия абсцесса, так как в этот период болезнь легко распознается по появлению обильной мокроты и полости на рентгеновском снимке с определенным уровнем гнойного содержимого.
К пункции легкого для постановки диагноза прибегают редко, так как при этом высок риск развития гнойного плеврита.
При диагностике абсцесса легкого важно исключить наличие схожих по симптомам заболеваний, таких, как кавернозный туберкулез, актиномикоз, плеврит, очаговая пневмония.
абсцесс легкого, фото
При остром абсцессе легкого лечение бывает хирургическим или консервативным в зависимости от стадии развития патологии. В начальной фазе, когда только появился инфильтрат или прошло не более 1-1,5 месяца с момента образования полости с гнойным содержимым, назначаются антимикробные препараты широкого спектра действия.
Это могут быть Стрептомицин, Пенициллин, Биомицин или другие антибиотики – применяется либо один препарат, либо комбинация из двух или более средств. Их эффективность наблюдается при лечении большинства пациентов с острым абсцессом легкого.
Кроме этого, консервативная терапия включает:
- высококалорийное сбалансированное питание с высоким содержанием белков и витаминов;
- переливания крови для повышения иммунной защиты;
- медикаментозная иммунотерапия;
- анаболические стероидные средства;
- парентеральный прием белковых препаратов – Альбумина, Протеина;
- производные пиримидина – Оротат калия, Метилурацил;
- Кальция хлорид внутривенно.
Если абсцесс сообщен с бронхом, проводится удаление гнойного содержимого из некротической полости методом постурального дренажа или с помощью бронхоскопа, после чего в него вводят антимикробные препараты.
В большинстве случаев (около 70%) консервативная терапия приносит положительный результат, однако у пятой части пациентов острая форма переходит в хроническую.
Летальный исход при лечении абсцесса легкого наступает в 5% случаев и такому же проценту больных требуется хирургическое вмешательство.
Источник: https://medknsltant.com/abstsess-legkogo-simptomy-lechenie-oslozhneniya/
Абсцесс легкого — формы, симптомы и лечение, осложнения, прогноз
Абсцедирующей вид пневмонии или абсцесс легкого — это деструктивно-гнойный ограниченный процесс, развивающийся в структуре тканей легкого. Различный генезис лежит в основе развития острых абсцессов.
Наиболее часто ассоциируют абсцессы легкого с пневмонией – острого протекающего процесса в паренхиме. Преимущественно, с признаками функциональных нарушений бронхиальной проходимости, приводящих к несостоятельности дренажа определенных сегментов легочной ткани.
Генезис: факторы развития абсцесса легкого
Один из важнейших факторов генезиса – нарушение проходимости и дренажных свойств бронх. Вызвать такие нарушения могут различные патологические процессы – бронхиальные обструкции (закупорка) частицами различных детритов, различными чужеродными телами, либо вследствие отечности слизистой оболочки бронхиальных ветвей.
Такие нарушения могут быть следствием:
- пневмонии крупозного, либо гриппозного генезиса;
- септикопиемии и тромбофлебита;
- травмирования легочной ткани различного характера;
- различных гнойных патологий, занесенных лимфогенным или гематогенным путем.
Несостоятельность дренажных функций провоцирует потерю воздушности тканевой структуры органа – развитию участков впадения и значительного уменьшения ткани (ателектаз).
Именно в этих пораженных участках активно развивается инфекция и вызывает воспалительные реакции, способствующие образованию инфильтрата гнойной формы и гнойно-некротическое расплавление внутри паренхимы (бронхиолы, альвеолы, сосудистая сеть).
Пораженные очаги окружены перифокальным воспалением, ограничивающим гнойные образования от здоровых структур тканей. При этом, образованная патологическая полость пропитывается гнойным инфильтратом и покрывается грануляционными узелками и бляшками.
При близком расположении дренажного бронха с гнойным очагом, он может частично откашливаться, а попавший воздух начинает накапливаться над гнойной поверхностью.
При острой клинической картине заболевания, полость подвергается облитерации (заращению или закрытию), образуя очаги пневмосклероза. В том случае, когда полость покрывается фибриллярной тканью, гнойная инфильтрация обусловлена длительным процессом, переходящим в хроническую стадию.
- Наибольшему риску развития абсцедирующей пневмонии подвержены граждане, имеющие в анамнезе проблемы с дыхательными органами и патологии ротовой полости.
Риск развития деструктивно-гнойных процессов в тканевых структурах легких повышается в разы у пациентов с СД, у хронических алкоголиков, часто провоцирующих закупорку бронх рвотой, либо у пациентов с бронхоэктатической патологией, вызывающей бронхиальную аспирацию мокротой.
При дальнейшем лечении, на месте очагов поражения возможно образование рубцовой ткани, развитие абсцессов хронического характера с образованием капсулированных участков, либо заболевания, с развитием обширных участков гнойно-гнилостных некрозов (гангрены) с дальнейшим их распространением.
Острый и хронический абсцесс легкого
По клиническому течению заболевание классифицируют на острую и хроническую форму.
- При остром течении абсцедирующей пневмонии, развитие гнойных процессов отмечается уже по истечению одного, двух месяцев.
- При хроническом процессе, некротические очаги характеризуются медленным формированием.
Классификация согласно генезису, обусловлена в соответствии:
- фактора заражения – гематогенного, травматического, либо бронхогенного.
- фактора инфицирования – стрептококкового, пневмококкового и.т.д.
На основании причинного фактора абсцессы легкого бывают первичными, вызванными микробной флорой и вторичными, как следствие патологических процессов в организме, провоцирующих обструкцию дыхательных путей.
По месту локализации патологического процесса – единичного, множественного, одностороннего (абсцесс правого легкого), двустороннего, центрального, либо периферического, проявляющихся легким течением, средним и тяжелым.
Симптомы абсцесса легкого (правого левого)
Согласно клиническим наблюдениям, абсцесс правого легкого характеризуется наиболее частым проявлением, обусловленным его большим объемом.
Развивается гнойно-деструктивная патология в совершенно различных его зонах, но наиболее часто локализуется в верхней его доле в районе 1-го, 2-го, и 4-го сегментов. Симптоматика патологии проявляется в поэтапно.
В период формирования патологии отмечается гнойная инфильтрация, сопровождающаяся тканевым гнойным расплавлением, но без сообщения гнойника с бронхиальным просветом.
Первый этап абсцесса легкого характеризуется схожестью признаков тяжелой пневмонии с абсцессом легкого, проявляясь:
- кашлем и высокими температурными показателями;
- обильной потливостью по ночам;
- снижением аппетита;
- утолщением пальцевых фаланг;
- притупленным перкутарным и бронхиальным звуком;
- слабым дыханием и сильными болями со стороны пораженной зоны.
В течение одной, полутора недель, интенсивность симптоматики нарастает, происходит прорывание абсцесса легкого в бронхиальный просвет. С этого этапа начинается развитие второй фазы заболевания.
Кашель сопровождается множественными дурно пахнущими, с гнилостным запахом выделениями мокроты (до 800мл.). Если в полости гнойника преобладает омертвление тканей (гангренозный некроз), мокрота имеет особенно зловонный запах и может включать примеси крови.
После прорыва гноя, возможно проявление различного течения болезни, что обусловлено степенью гнойного опорожнения полости, эффективности лечебного процесса и степени состоятельности иммунной защиты пациента.
- Заболевание может перейти на третий этап – выздоровления, либо перейти в хроническую форму с развитием вторичных процессов бронхоэктаза.
Гнойный прорыв может происходить не только в дренирующий бронх, но и в полость плевры, вызывая развитие плевральной эмпиемы (пиоторакса) и острого пневмоторокса (проникновение воздуха между плевральными листками), признаки которого, могут скрывать истинную природу патологии.
При особо агрессивной инфекции, не полный выход гноя через бронхиальное ответвление, может спровоцировать прогрессирование болезни.
Происходит распространение гнойной инфильтрации, сопровождаясь увеличением зон тканевого некроза и образованием множества новых гнойников на здоровой ткани паренхимы легкого. К проявляющимся ранее симптомам добавляются признаки:
- обильного потоотделения и озноба;
- анемии и снижения веса;
- ухудшение сердечной деятельности;
- функциональные нарушения в почках и печени.
У многих пациентов заживление последствий деструктивных нарушений идет медленным темпом, освобождение полости от гноя может быть не полным, а регенерация тканей замедлена. В этом случае существует реальный риск развития хронических процессов со своими признаками и иными способами лечения.
При установлении диагноза –абсцесс легочной ткани, необходимо срочная госпитализация больного, так как прогрессирующее ухудшение может спровоцировать профузную геморрагию, гнойное метастазирование (септикопиемию), либо гангрену, что нередко заканчивается летально.
При характерной симптоматике острых абсцессов легких, лечебный протокол и тактика лечебного процесса составляется согласно тяжести патологического процесса. Может ограничится консервативным лечением, либо проходить с привлечением хирургических методик.
- Единичная онтибиотико терапия, либо комбинация нескольких препаратов – «Пенициллина», «Стрептомицина» и «Биомицина».
- Для повышения иммунных функций назначается трансфузия крови (переливание) и лекарственная иммунотерапия – ежедневная санация (в течении 1-1,5 недели) полости деструкции препаратом «Суперлимфа» в количестве равном объему деструктивной полости. Эффективны в лечении – «Анатоксин стафилококковый» и «Аутовакцина».
- Для ускорения процессов тканевой регенерации назначаются стероидные анаболические и белковые препараты – «Метилурацил», «Калия оротат», «Протеин» или «Альбумин», внутривенное введение «Хлорида кальция».
- В лечебный процесс включают обязательную сбалансированную диету высоко содержащую белковую пищу и витамины.
- При сообщении патологических полостей с бронхиальным просветом, удаление гнойного содержимого проводится постуральным дренажом или дренированием методом бронхоскопии, с последующей антимикробной терапией непосредственно в очаге некроза.
Результативность медикаментозного лечения абсцесса легкого, является основным критерием к показанию хирургических вмешательств.
Вскрытие гнойных очагов и их дренаж, проводится в соответствии всех правил хирургического вмешательства. Полное восстановление функций органа дыхания возможно лишь после радикальных хирургических вмешательств.
1) Лобэктомии – резекция части пораженного органа с дальнейшей интенсивной антибактериальной терапией. Проводится в периоде стойкой ремиссии заболевания.
2) Наиболее радикальная методика – пневмонэктомия, полное удаление одной части пораженного органа. При успешном послеоперационном лечение, трудоспособность пациента восстанавливается в течение года.
Прогноз
Благоприятный прогноз зависит от своевременности диагностики и адекватности лечебных назначений. При отсутствии затяжного или осложненного процесса, выздоровление приходит спустя одну — две недели. У четверти пациентов отмечается хронизация абсцесса.
Источник: https://zdrav-lab.com/abstsess-legkogo/
Признаки, диагностика и лечение абсцесса легкого
Абсцесс легкого – это воспаление тканей, сопровождающееся образованием в органе дыхания полостей, наполненных гноем. Состояние опасно тем, что его достаточно сложно заподозрить. А без своевременного лечения последствия патологии могут быть печальными.
Патогенез и этиология абсцесса легкого
Возбудителями заболевания выступают аэробные и анаэробные микроорганизмы. Чаще всего это золотистый стафилококк, стрептококк, синегнойная палочка, клебсиелла и различные грибки. Попадая в органы дыхания, они сначала вызывают воспаление. В течение пары недель после заражения начинается некроз тканей, который постепенно превращается в абсцесс.
От патологии преимущественно страдают мужчины. Считается, что у них местный иммунитет слабее из-за частого злоупотребления алкоголем и курения. Основной причиной болезни называют осложнение после острой пневмонии.
Также спровоцировать патологию может попадание рвотных масс в легкие. Это происходит в бессознательном состоянии во время обморока, алкогольного опьянения или после припадка.
Аспирация слюны у лиц, страдающих воспалительными заболеваниями ротовой полости и пренебрегающих гигиеной зубов, также может вызвать абсцесс. Частая причина у детей – инородное тело в органах дыхания.
Также болезнь может быть вызвана осложнением после инфаркта легких при закупорке сосудов и инфекцией в разных частях тела у пациентов с очень слабым иммунитетом.
Факторы риска
Существует несколько факторов, повышающих риск образования абсцесса:
- пожилой возраст;
- болезни сердца;
- сахарный диабет;
- иммунодефицит;
- переохлаждение;
- алкоголизм;
- наркомания;
- курение;
- туберкулез;
- ХОБЛ;
- рак легких;
- хронический бронхит;
- грипп и другие простудные заболевания;
- обездвиженность у лежачих больных;
- длительный прием сильнодействующих препаратов: цитостатиков, кортикостероидов и др.;
- воспалительные заболевания носа и горла;
- бронхоэктатическая болезнь.
Формы заболевания
Абсцесс легкого делится на две формы: острую и хроническую. Если при возникновении болезни отсутствует адекватное лечение, начинается хронизация процесса.
Острый абсцесс легкого
В большинстве случаев представляет собой единичный очаг, расположенный в правой части органа. Подразделяется на три стадии.
Характеризуется острым гнойным воспалением, сопровождающимся разрушением тканей. В этой стадии гной и отмершие клетки не прорываются в просвет бронхов.
Наступает через 2-3 недели после возникновения патологии. Симптомы сходят на нет, состояние больного нормализуется. Полости замещаются соединительной тканью или ложными кистами. При недостаточном лечении воспаление долго не проходит. Спустя 2-3 месяца после начала заболевания абсцесс становится хроническим.
Хронический абсцесс легкого
Наступает в 5% случаев острых абсцессов. Возникает из-за иммунной недостаточности, невосприимчивости возбудителей к антибиотикам, неполного дренирования мокроты и гноя. Также причиной могут послужить индивидуальные особенности строения органов дыхания, скопление гноя в нижней доле легкого.
Состояние характеризуется формированием капсулы из соединительной ткани, окружающей очаг воспаления. Со временем стенки оболочки утолщаются, окружающие ткани становятся плотными. Нарушение кислородного питания усугубляет воспаление. Возможно образование множественных полостей и гнойников.
При этой патологии периоды ремиссии и обострения сменяют друг друга. Рецидивы сопровождаются той же симптоматикой, что и острый абсцесс. В остальное время клиническая картина смазана.
Больных мучает лихорадка, озноб, потливость и одышка
Симптоматика
Клиника абсцесса легкого зависит от формы и стадии болезни. В острой фазе симптоматика различается до и после вскрытия гнойника. Процесс абсцессирования длится в среднем неделю-полторы и сопровождается тяжелыми проявлениями.
Больных мучает лихорадка, озноб, потливость и одышка. Кашель сначала сухой и незначительный, затем становится надсадным и сопровождается болью в груди. При нажатии на грудную клетку в области очага воспаления ощущается сильный дискомфорт. Если гнойная полость расположена неглубоко, прослушивается жесткое дыхание и влажные хрипы. При заражении аэробными бактериями симптоматика выражена ярче.
За пару дней до вскрытия полости выделяется небольшое количество слизи и гноя, возможно кровохаркание. Появляется неприятный запах изо рта. Прорыв гнойника сопровождается обильным отхождением мокроты желто-зеленого цвета.
Возможно отхаркивание коричневой мокроты. Она выходит полным ртом, в сутки выделяется 250-400 мл гноя и слизи. В некоторых случаях объемы отделяемого достигают литра. Общее состояние пациента улучшается, лихорадка отступает.
Мокрота при абсцессе легкого расслаивается. Если ее подержать в емкости, на дне окажется густой и плотный слой серого цвета с частичками легочной ткани. Далее идет жидкая мокрота, смешанная со слюной. Поверхность массы пенистая, состоит из серозной жидкости.
Симптомы хронического абсцесса легкого зависят от количества полостей, размера капсул, степени пневмосклероза. Клиническая картина может быть смазанной и заключаться в кашле с мокротой и незначительном повышении температуры.
В других случаях состояние пациентов более тяжелое. У них отмечается кровохаркание, выделяется большое количество зловонной гнойной слизи. При этом сохраняются признаки лихорадки, озноб, одышка, потливость. Больные теряют в весе.
Отмечается повышенная утомляемость.
К внешним признакам относят изменения в кистях рук. Фаланги утолщаются, пальцы становятся похожими на барабанные палочки. Ногти приобретают вид часового стекла. Также у больных появляется нездоровый румянец.
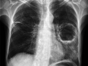
Основной инструмент диагностики абсцесса легкого – рентгенография
Методы диагностики
Для постановки диагноза абсцесс легкого проводят комплексное обследование. Оценивают жалобы пациента на температуру, озноб, кашель с мокротой, зловоние изо рта, общую слабость.
На опросе выясняют, была ли в анамнезе пневмония, воспалительные заболевания носа, горла и полости рта, впадал ли больной в бессознательное состояние.
На осмотре прослушивают дыхание, проверяют наличие деформации грудной клетки и пальцев рук.
На лабораторный анализ сдается кровь и моча. Биологические жидкости показывают признаки воспаления. Мокрота и плевральная слизь проверяются на наличие микобактерий туберкулеза. Также выявляется возбудитель и проверяется его чувствительность к антибактериальным препаратам.
Основной инструмент диагностики абсцесса легкого – рентгенография. Она позволяет выявить очаги воспаления, определить их размер и локализацию. Компьютерная томография обычно не проводится. Она нужна, если рентген не показал четкую картину, или есть необходимость исключить другие патологии.
При подозрении на плеврит берут на анализ плевральную функцию. Спирография и пикфлоуметрия необходимы для оценки состояния дыхательной функции.
Спирография необходима для оценки состояния дыхательной функции.
Способы лечения
Лечение абсцесса легкого может быть медикаментозным и оперативным. Выбор тактики зависит от тяжести поражения органов дыхания и эффективности лекарственных средств.
Консервативное лечение
Проводится в стационаре в отделении пульмонологии. В некоторых случаях отходящая мокрота источает такое зловоние, что терапия в общей палате невозможна. Пациентам назначают антибиотики в больших дозах. Препараты вводят внутривенно, при неосложненном течении болезни возможен пероральный прием.
Муколитики разжижают мокроту, а отхаркивающие средства способствуют ее лучшему выведению. Эти препараты принимают в виде таблеток и ингаляций. Также необходимы иммуномодуляторы для укрепления защитных сил организма.
Для улучшения отхождения слизи и гноя используют дренажное положение. Для этого пациент лежит на кровати, изножье которой приподнято на 20-30 см. Постуральный дренаж, вибрационный массаж грудной клетки и физиотерапию обычно не применяют, так как эти манипуляции способствуют распространению инфекции и возникновению непроходимости дыхательных путей.
Для промывания бронхов используют лаваж с антисептическими растворами. Около 10% пациентов при отсутствии отклика на препараты необходимо дренирование мокроты с помощью бронхоскопии.
Также процедура целесообразна при развитии гангрены.
Ее суть заключается во введении антибиотиков, антисептиков и разжижающих препаратов в полость бронхиального дерева с помощью специального аппарата под наркозом.
Важную роль играет особая диета. Она помогает укрепить иммунитет и ускорить выздоровление. Разумеется, необходимо отказаться от алкоголя.
Из микроэлементов в этот период организму требуется восполнение дефицита кальция, витамина А и В.
Важную роль в лечении играет особая белковая диета
Хирургическое вмешательство
При отсутствии результатов от консервативного лечения через 6-8 недель пациента переводят в хирургическое отделение. Там ему проводят санацию полости абсцесса. Для этого делают надрез в грудной клетке, вставляют в него трубку и дренируют гной из легкого. Этот способ показан при малых размерах очага инфекции и расположении его в краевых частях органа.
При единичной полости небольшого размера возможна частичная резекция пораженных тканей. Если очаги множественные, или началась гангрена, пострадавшее легкое полностью удаляют.
Прогноз
При своевременном оказании медицинской помощи прогноз благоприятный. Острый абсцесс легкого излечивается в среднем за полтора-два месяца. Но у половины больных образуются тонкостенные пространства, которые со временем исчезают.
При поздней операции или неадекватном ее проведении велик риск хронизации процесса или образования гангрены. Происходит это примерно в 20% случаев.
Возможные осложнения абсцесса легкого
При распространении воспаления возникает риск вовлечения плевры. В этом случае образуется гнойный плеврит и непроходимость дыхательных путей. Если гной расплавляет стенки сосудов, то появляется легочное кровотечение. Также повышается риск распространения инфекции на соседние ткани и другие органы.
В некоторых случаях бронхи и плевральная полость объединяются, образуя фистулу. Возникает нарушение легочной функции. Летальный исход наступает в 5-10% случаев абсцесса легких.
Меры профилактики
Специфическая профилактика отсутствует. К общим мерам относят отказ от курения и злоупотребления алкоголем. Важно избегать переохлаждений и вовремя лечить простудные заболевания и воспалительные патологии легких, бронхов и трахеи.
Не стоит забывать о гигиене ротовой полости. Необходима регулярная санация полости рта и адекватное лечение кариеса, гингивита и других патологий зубов и десен.
Следует предупреждать попадание инородных предметов в дыхательные пути. Особенно это касается маленьких детей и больных с нарушением глотательной функции. Также необходим правильный уход за лежачими больными. Следует помнить о существующих факторах риска и при их наличии регулярно посещать пульмонолога или терапевта.
Абсцесс легкого – опасная болезнь. Она причиняет физические и моральные страдания и грозит опасными осложнениями вплоть до смерти. Важно следовать рекомендациям по профилактике и обращаться за медицинской помощью при первых симптомах. Чем раньше диагностирована патология, тем проще от нее избавиться без последствий.
Источник: https://zdorovie-legkie.ru/abstsess-legkogo-01/
Поделиться:



