Наружный отит, или отит ныряльщика, это инфекционное заболевание, поражающее наружный слуховой проход, то есть канал от ушной раковины до барабанной перепонки. Чаще, чем у других людей, это заболевание развивается у пловцов, из-за частого попадания воды в уши, что увеличивает вероятность развития ушной инфекции.
Что вызывает наружный отит?
Наружный отит чаще всего вызывается бактериями. Стартовым моментом может стать механическое повреждение кожи наружного слухового прохода (например, при чистке ушей металлическими предметами).
Что повышает риск наружного отита?
- Плавание
- Теплая, влажная погода
- Использование слуховых аппаратов
- Избыток ушной серы
- Аллергические заболевания кожи, такие как экзема
- Заболевания, ослабляющие иммунную систему, такие как сахарный диабет
Каковы симптомы и признаки наружного отита?
Чаще всего наружный отит сопровождается следующими симптомами
- Боль и зуд в ушах
- Покраснение и отек видимой части слухового канала
- Отделяемое из уха, в виде прозрачной жидкости или гноя
- Иногда — сыпь на ушной раковине
- Снижение слуха
- Ощущение инородного тела в ухе
- Вместе с гноем могут отделяться куски эпидермиса из ушного канала.
Как диагностируется наружный отит?
Диагноз ставится на основании типичных симптомов. Ваш врач осмотрит ухо отоскопом. Он также может измерить остроту Вашего слуха несколькими способами.
Как лечится наружный отит?
Ибупрофен или парацетамол: эти препараты помогают снизить боль и лихорадку, доступны без рецепта врача. Их следует применять строго по инструкции. Чрезмерное бесконтрольное применение ибупрофена может спровоцировать желудочное кровотечение. Ибупрофен также способен вызывать повреждение почек. Не принимайте ибупрофен, если у вас есть заболевания почек, язвенная болезнь желудка или аллергия на аспирин. Парацетамол может вызвать повреждение печени. Не употребляйте алкоголь в тот день, когда Вы принимали парацетамол.
Ушные капли: максимально эффективным при наружном отите является сочетание глюкокортикоидного гормона и антибиотика. Стероид снижает покраснение, отек и боль. Антибиотик помогает подавить микробную инфекцию.
Туалет уха: Ваш врач может провести промывание уха для удаления гнойных и эпидермальных масс из слухового прохода. Возможно, он введет в ухо специальную турунду, впитывающую влагу.
Как можно предотвратить наружный отит?
- Не оставляйте ватные тампоны или посторонние предметы в ушах.
- При чистке ушей не пользуйтесь ватными палочками, не вводите никакие предметы глубоко в ухо. Достаточно мытья ушной раковины и начального отдела ушного канала, с помощью вашего пальца.
- При плавании используйте затычки для ушей. Осушайте наружный слуховой проход после каждого плавания или мытья.
Как применять ушные капли?
- Лягте на бок, пораженным ухом вверх.
- Закапайте капли в ухо. Если возможно пусть Вам поможет кто-то из близких.
- Аккуратно потяните ушную раковину назад и вперед, чтобы капли затекли вглубь ушного прохода.
- Оставайтесь в таком положении (лежа на боку, больным ухом вверх) не менее 3- 5 минут.
Чем опасен наружный отит?
Во время болезни Вы можете испытывать некоторое снижение слуха. Даже при правильном лечении наружный отит может возвращаться несколько раз подряд, и даже стать хроническим.
Без лечения инфекция может распространиться вглубь тканей и вызвать флегмону (инфекцию кожи и подкожной клетчатки). Инфекция может распространиться за пределы уха, в том числе на мозговые оболочки и вещество мозга. Наружный отит может течь очень тяжело и стать некротическим. Наружный отит также способен вызвать повреждение нервов, иннервирующих лицо.
Когда следует обратиться к врачу?
Обратиться к врачу в ближайшее время следует, если:
- Симптомы отита не регрессируют после 2 дней лечения
- Симптомы облегчились на время, но затем вернулись
- У Вас есть основания подозревать осложнение.
Когда следует обратиться к врачу немедленно?
Вызвать скорую помощь следует незамедлительно, если:
- На фоне лечения у вас внезапно развилась высокая лихорадка
- Резко усилилась боль в ушах
- Вы внезапно полностью потеряли слух с больной стороны
- У Вас внезапно появился отек лица, или околоушной области, или в области шеи
- Вы заметили у себя паралич лица (асимметрию, невозможность двигать частью мимических мышц, невозможность закрыть глаз или надуть щеки и тд)
- Вы почувствовали, что лицо онемело.
Источник.
Наружный отит — воспаление наружного уха диффузного или ограниченного характера. Ограниченный наружный отит проявляется образованием фурункула с резко выраженным болевым синдромом в стадии инфильтрации и возможностью развития фурункулеза при его вскрытии. Диффузный наружный отит характеризуется разлитым воспалением слухового прохода, которое сопровождается болью и распиранием в ухе, серозным, а затем гнойным отделяемым. С целью диагностики наружного отита проводится осмотр и пальпация околоушной области, отоскопия, аудиометрия, бакпосев отделяемого из уха. Лечебные мероприятия при наружном отите состоят в промывании слухового прохода антисептиками, закладывании в него турунд с лекарственными препаратами, проведении общей антибиотикотерапии, противовоспалительного и иммуностимулирующего лечения.
Общие сведения
Наружное ухо является периферической частью слухового аппарата человека. Оно состоит из наружного слухового прохода, имеющего хрящевую и костную части, и ушной раковины. От полости среднего уха наружное ухо отделено барабанной перепонкой. При локальном воспалении наружного слухового прохода говорят об ограниченном наружном отите. Он представляет собой гнойно-воспалительный процесс в области волосяного фолликула — фурункул. Разлитое воспаление слухового прохода, охватывающее его хрящевую и костную часть, в отоларингологии носит название диффузного наружного отита. Диффузный наружный отит характеризуется воспалительными изменениями как в коже, так и в подкожной жировой клетчатке слухового прохода, может сопровождаться воспалением барабанной перепонки.
Читайте также:
Лечение экссудативного отита без антибиотиков
Наружный отит
Причины возникновения наружного отита
Причиной наружного отита является инфицирование кожи наружного слухового прохода. Возбудителем ограниченного наружного отита чаще всего является пиогенный стафилококк. Диффузный наружный отит может быть вызван стафилококками, гемофильной палочкой, пневмококками, клебсиеллой, синегнойной палочкой, моракселлой, грибками рода Candida и др. Наиболее часто занос инфекции в слуховой проход с развитием наружного отита наблюдается при гноетечении из перфорированной барабанной перепонки при остром и хроническом гнойном среднем отите, гнойном лабиринтите.
Проникновению возбудителя внутрь кожного покрова, выстилающего наружный слуховой проход, осуществляется в местах повреждений и микротравм. В свою очередь травмирование кожи слухового прохода возможно при травме уха, наличие в нем инородного тела, попадании агрессивных химических веществ, неправильном проведении гигиены уха, самостоятельных попытках извлечения серной пробки, расчесывании уха при зудящих дерматозах (экземе, крапивнице, атопическом дерматите, аллергическом дерматите) и сахарном диабете.
Возникновению наружного отита способствует постоянное увлажнение слухового прохода попадающей в него водой, которое приводит к снижению барьерной функции кожи. Благоприятным фоном для развития наружного отита также является снижение общих защитных сил организма, что наблюдается при авитаминозе, иммунодефицитных состояниях (например, при ВИЧ-инфекции), хронических инфекциях (туберкулез, сифилис, хронический тонзиллит, хронический пиелонефрит), сильном переутомлении (синдром хронической усталости).
Ограниченный наружный отит
Симптомы ограниченного наружного отита
В своем развитии ограниченный наружный отит проходит те же стадии, что и фурункул на поверхности кожи. Однако замкнутое пространство и обильная иннервации слухового прохода, в котором располагается фурункул при наружном отите, обуславливают некоторые особенности его клинической картины. Обычно ограниченный наружный отит начинается с ощущения сильного зуда в слуховом проходе, который затем перерастает в боль. Увеличение размеров фурункула уха в стадии инфильтрации приводит к сдавлению нервных рецепторов и быстрому нарастанию болевого синдрома.
Боли в ухе при ограниченном наружном отите по своей интенсивности превосходят боли, отмечающиеся при остром среднем отите. Они иррадиируют в висок, затылок, верхнюю и нижнюю челюсть, захватывают всю половину головы со стороны больного уха. Отмечается усиление болевого синдрома при жевании, что в некоторых случаях заставляет пациента с наружным отитом отказаться от приема пищи. Характерно увеличение интенсивности болей в ночное время, в связи с чем происходит нарушение сна. Инфильтрация при ограниченном наружном отите может достигать значительного объема. При этом фурункул полностью перекрывает просвет слухового прохода и приводит к снижению слуха (тугоухости).
Вскрытие фурункула при наружном отите сопровождается истечением гноя из уха и резким уменьшением болевого синдрома. Однако при вскрытии фурункула часто происходит обсеменение других волосяных фолликулов слухового прохода с образованием множественных фурункулов и развитием фурункулеза, отличающегося упорным течением и стойкостью к проводимой терапии. Множественные фурункулы при наружном отите приводят к полной обтурации слухового прохода и усилению клинических симптомов заболевания. Развивается регионарный лимфаденит. Возможно появление отечности в заушной области и оттопыривание ушной раковины, что требует дифференцировки наружного отита от мастоидита.
Диагностика ограниченного наружного отита
В первую очередь отоларинголог проводит осмотр уха и отоскопию. Во время осмотра врач производит оттягивание ушной раковины, что при наружном отите приводит к появлению резкой боли в ухе. Возникновение боли при надавливании на козелок уха говорит о локализации ограниченного наружного отита на передней стенке слухового прохода. Резкая болезненность при пальпации за ухом свидетельствует в пользу того, что фурункул располагается на задне-верхней стенке слухового прохода. При наружном отите в области нижней стенки резко болезненна пальпация над углом нижней челюсти.
Отоскопия при ограниченном наружном отите обнаруживает наличие в слуховом проходе фурункула. В начальной стадии наружного отита фурункул имеет вид припухлости красного цвета. Созревший фурункул практически перекрывает слуховой проход, после его вскрытия отоскопия выявляет гной и наличие кратерообразного отверстия на вершине инфильтрата.
Аудиометрия и исследование слуха камертоном у пациентов с ограниченным наружным отитом определяет кондуктивный тип тугоухости и латерализацию звукопроведения в сторону пораженного уха. Для определения возбудителя проводится бактериологический посев гноя из фурункула. Дифференцировать ограниченный наружный отит следует от других видов отита, эпидемического паротита, мастоидита, экземы наружного уха.
Лечение ограниченного наружного отита
В стадии инфильтрации ограниченного наружного отита проводят туалет наружного уха и обработку пораженного участка нитратом серебра. В слуховой проход вводят турунду с антибактериальной мазью. Ухо закапывают ушными каплями, содержащими антибиотик (неомицин, офлоксацин и пр.). Для снятия болевого синдрома назначают анальгетики и противовоспалительные препараты. Возможно применение УВЧ-терапии. Созревший фурункул может быть вскрыт при помощи разреза. После его вскрытия наружный слуховой проход промывают растворами антибиотиков и антисептиков.
При наружном отите с множественными фурункулами показана антибиотикотерапия. При подтверждении стафилококковой природы отита применяют антистафилококковый анатоксин или вакцину. С целью повышения иммунитета рекомендована витаминотерапия, иммунокоррегирующее лечение, процедуры УФОК или ВЛОК, аутогемотерапия.
Читайте также:
Амоксициллин от чего помогает при отите
Диффузный наружный отит
Симптомы диффузного наружного отита
Диффузная форма наружного отита начинается с ощущения распирания, зуда и повышения температуры в слуховом проходе. Очень скоро возникает болевой синдром, который сопровождается иррадиацией боли во всю половину головы и ее значительным усилением во время жевания. Выраженный болевой синдром при диффузном наружном отите приводит к нарушению сна и анорексии. Значительная отечность воспаленных стенок слухового прохода суживает его просвет и является причиной снижения слуха. Диффузный наружный отит сопровождается небольшим количеством выделений из уха, которые в начале носят серозный характер, а затем становятся гнойными. Отмечается увеличение регионарных лимфоузлов. При тяжелом течении заболевания возможно распространение воспалительного процесса на ушную раковину и мягкие ткани околоушной области.
Острый период диффузного наружного отита длится 2-3 недели. Затем на фоне проводимого лечения или самопроизвольно может произойти уменьшение симптомов заболевания и полное выздоровление пациента. Также диффузный наружный отит может принять затяжное течение и перейти в хроническую форму. Хронический наружный отит сопровождается образованием рубцов, которые уменьшают просвет слухового прохода и могут стать причиной стойкого снижения слуха.
Диагностика диффузного наружного отита
Выраженная болезненность при надавливании на козелок, оттягивании ушной раковины, пальпации в заушной области и над углом верхней челюсти свидетельствует о разлитом воспалении слухового прохода. Отоскопия при диффузном наружном отите обнаруживает тотальное покраснение и отечность кожного покрова, выстилающего слуховой проход, наличие эрозий с серозным отделяемым. В более позднем периоде наружного отита выявляется обтурация слухового прохода из-за выраженного отека его стенок, визуализируются язвы и трещины, выделяющие зеленовато-желтый гной. Аудиометрия свидетельствует о наличие тугоухости по кондуктивному типу. Латерализация звука происходит к больному уху. Бактериологическое исследование отделяемого из уха позволяет верифицировать возбудителя и установить его чувствительность к основным антибактериальным препаратам.
Дифференциальный диагноз диффузного наружного отита проводят с гнойным средним отитом, рожей, острой экземой и фурункулом слухового прохода.
Лечение диффузного наружного отита
Терапия диффузного наружного отита проводится системным применением антибиотиков, поливитаминных и антигистаминных препаратов. При необходимости осуществляется иммунокоррегирующее лечение. Местное лечение диффузного наружного отита заключается в ведении в слуховой проход турунд с желтой ртутной мазью, жидкостью Бурова, антибактериальными и гормональными мазями, закапывании ушных капель с антибиотиками. Гнойный характер отделяемого из уха является показанием для промывания слухового прохода растворами антибиотиков.
Наружный отит грибковой этиологии лечится противогрибковыми препаратами системного и местно применения.
Профилактика наружного отита
Для предупреждения инфицирования кожи слухового прохода с развитием наружного отита необходимо избегать расчесывания ушной раковины, травмирования уха и попадания в него инородных тел. При купании следует беречь ухо от попадания в него воды. Ни в коем случае нельзя самостоятельно пытаться удалить инородное тело уха, поскольку это часто приводит к травмированию кожи слухового прохода. Не следует очищать ухо от серы не предназначенными для этого предметами: шпилькой, зубочисткой, спичкой, скрепкой и т. п. Туалет уха должен производиться специальной ушной палочкой на глубину не более, чем 0,5-1 см от начала слухового прохода.
Наружный отит – инфекционное заболевание наружного слухового прохода, барабанной перепонки или ушной раковины. Вызывают процесс бактерии, грибки или вирусы.
Болезнь относится к распространенным, практически каждый из нас когда-либо испытывал на себе эти симптомы.
Предрасположены к развитию отита дети дошкольного и младшего школьного возраста.
Виды заболевания
Выделяют острый и хронический наружный отит. Острый отит является впервые возникшим, при правильном лечении пациент полностью выздоравливает.
Болезнь становится хронической, если процесс длится не меньше месяца либо обострения встречаются чаще 3-4 раз в год.
В зависимости от клинической картины заболевания различают:
- ограниченный отит – тяжелое течение болезни, проявляется образованием абсцессов (ограниченных очагов воспаления) в тканях наружного слухового прохода. В процесс вовлекаются и волосяные фолликулы, и сальные железы. Самый распространенный возбудитель ограниченного отита — золотистый стафилококк;
- диффузный – характерно обширное поражение слухового прохода, барабанной перепонки и других структур. Провоцирует такой отит попадание грязной воды в ухо. Она разжижает ушную серу, и в результате создаются благоприятные условия для развития микроорганизмов (высокая влажность, тепло, отсутствие вентиляции). Синегнойная палочка чаще всего высевается при диффузном отите;
- грибковый (отомикоз) – такой тип встречается редко (около 10% отитов). Провоцируют болезнь кандиды и аспергиллы. Приводит к развитию отомикоза длительное местное применение антибактериальных капель;
- геморрагический отит встречается как осложнение гриппа. Проявляется образование кровяных папул в слуховом проходе;
- неинфекционный – вторичный отит, возникает на фоне других заболеваний (нейродерматит, себорея, аллергия и пр.).
Встречаются и смешанные виды наружного отита.
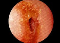
Виды отита:
Внимание, контент может оказаться неприятным для просмотра
Предрасполагающие факторы
В наружном слуховом проходе вырабатывается ушная сера. Она имеет множество функций. Основная из них – защитная. Сера имеет кислую среду, что препятствует размножению бактерий.
Читайте также:
Перекись водорода от отит экссудативный
Наружный отит провоцирует:
- недостаток ушной серы (она не выполняет свою барьерную роль);
- ее избыток (сера задерживает пыль, воду, микроорганизмы, создавая отличные условия для воспаления);
- травмы ушной раковины, слухового прохода и барабанной перепонки (чаще всего возникают из-за попыток почистить уши ватными палочками);
- иммунодефицит;
- длительное лечение антибактериальными каплями;
- дайвинг – подводное погружение;
- частое плавание в воде.
Болезнь встречается у любых возрастных групп.
Как проявляется отит?
Болезнь начинается остро. Зачастую перед этим пациент занимался плаванием (бассейн, река).
Для наружного отита характерны следующие местные симптомы:
- боль в ухе – основное проявление отита. Она стреляющая, колющая, разной степени выраженности, длится от 3 до 7 дней. Именно этот симптом заставляет пациента обратиться к врачу;
- снижение слуха – происходит из-за воспаления в слуховом проходе;
- ощущение заложенности;
- чувство давления в слуховом проходе;
- зуд, жжение;
- истечение гноя из уха.
Симптомы:
Внимание, контент может оказаться неприятным для просмотра
При наружном отите боль всегда усиливается, если ушную раковину оттянуть назад и вверх, а также, если надавить на козелок.
При тяжелом течении болезни поднимается температура, и присоединяются симптомы интоксикации (головная боль, слабость, потеря аппетита, тошнота и пр.). Иногда на ухе появляется сыпь (небольшие красные узелки).
Какие возможны осложнения?
Осложнения наружного отита встречаются при сахарном диабете – злокачественное течение болезни. Воспаляются не только ткани слухового прохода, но и хрящи ушной раковины. Это вызвано неполноценностью иммунной системы и кетоацидозом (нарушение углеводного обмена из-за дефицита инсулина) при диабете.
Болезнь протекает с гипертермией (повышенная температура) и выраженной интоксикацией. Вылечить злокачественный наружный отит можно лишь с использованием общей антибактериальной терапии.
Диагностика
При появлении первых симптомов отита нужно обратиться к оториноларингологу. Доктор подробно опрашивает больного и проводит отоскопию (осмотр наружного слухового прохода с помощью увеличительного прибора).
При наружном отите проход будет забит гнойными массами либо серозной жидкостью. Он немного сужен из-за воспаления тканей, стенки покраснели. Барабанная перепонка часто вовлекается в воспалительный процесс. При надавливании на кожу вокруг уха пациент отмечает усиление боли.
Обычно для постановки диагноза достаточно только осмотра слухового прохода. Дополнительно доктор может назначить тимпанометрию (оценка степени подвижности барабанной перепонки), аудиометрию либо исследование слуха с помощью камертона, тест на чувствительность бактерий к антибиотику и др.
Дифференциальная диагностика проводится со средним отитом, невралгией лицевого нерва, эпидемическим паротитом, мастоидитом и пр.
Терапия заболевания
Лечат наружный отит амбулаторно, госпитализация требуется в редких случаях.
Терапию начинают с туалета наружного слухового прохода. Ухо необходимо очистить от скопления слизи, гноя, серы и пр. Сделать это можно с помощью ватного тампона, смоченного в растворе антисептика (хлоргексидин, фурациллин).
Далее приступают к основному лечению, направленному на устранение возбудителя.
Важно определить, что именно вызвало отит, прежде чем назначать препараты, поэтому самолечение опасно.
- В случае микробного заражения используют антибактериальные мази (можно в комбинации с глюкокортикоидами). Их закладывают в ухо с помощью ватной палочки либо скрученного ватного тампона (Тетрациклин, Тридерм, Флуцинар). Препарат наносят 2-3 раза в сутки в течение 5-7 дней;
- Более удобно использовать антибактериальные капли: Офлаксацин, Нормакс, Отофа, Тобрадекс. По 2 капли в каждый ушной проход дважды в сутки в течение недели;
- Противовоспалительные препараты снимают болевой синдром и отек тканей: Ибупрофен, Нимесулид, Нурофен;
- Антигистаминные средства нейтрализуют зуд и жжение (назначают только при яркой выраженности именно этих симптомов): Кларитин, Лоратадин, Тавегил;
- Физиотерапия подсушивает и заживляет очаг воспаления: УВЧ, лазер;
- Комплексные витамины в течение 30 дней.
Если наружный отит вирусной этиологии, к общему лечению можно добавить использование иммуномодулирующих препаратов: Кагоцел, Интерферон, Виферон. Длительность приема – не менее 7 дней. От антибактериальных мазей и капель отказываться не стоит, потому как микробы легко наслаиваются на воспаленное ухо, утяжеляя процесс.
В том случае, если в слуховом проходе образовался абсцесс, его необходимо вскрыть хирургически с местным обезболиванием. После полость уха обрабатывают антисептиками и противомикробными мазями.
Через пару дней после начала лечения пациент отмечает улучшение самочувствия. Если оно не наступило, врачу следует сменить тактику.
Обычно антибиотики достаточно применять только местно, но если течение наружного отита крайне тяжелое, с осложнениями, назначать лекарства внутримышечно или внутривенно (Цефтриаксон, Цефотаксим, Амоксиклав).
Профилактика и прогноз
Прогноз при наружном отите чаще всего благоприятный. Заболевание легко поддается лечению. Через 7-10 дней пациент возвращается к привычному образу жизни.
Но после перенесенного наружного отита человеку нужно быть более внимательным к своему здоровью, потому что болезнь может рецидивировать. Для плавания лучше использовать специальные беруши, а после обеззараживать их антисептиком. Воду из ушей необходимо удалять после каждого купания. Очищать уши от серы нужно крайне аккуратно, чтобы не допустить травмы слухового прохода и барабанной перепонки.
Не забывайте проходить профилактический осмотр у ЛОР-врача каждый год!

