Отит – это воспаление и отек ушной раковины. Он может быть хроническим или острым, гнойным или катаральным. Чаще всего данное заболевание встречается у детей. По статистике, примерно 80% детей до 3-х летнего возраста хотя бы раз болели отитом.
Проявляется болью в ухе (пульсирующей, стреляющей, ноющей), повышенной температурой тела, нарушением слуха, шумом в ушах, слизисто-гнойными выделениями из наружного слухового прохода.
Отит является самой распространенной причиной тугоухости (сниженного слуха). Этим заболеванием страдают люди всех возрастов, но наиболее подвержены недугу дети, из-за особенностей анатомического строения евстахиевой трубы.
Причины отита
Воспалительный процесс на уровне среднего уха чаще всего является вторичным. Это означает что, первоначально инфекция проникает в барабанную полость из других отделов, сообщающихся с ней. Секреторный средний отит наблюдается, когда жидкость, образующаяся вследствие простуды или аллергической реакции, проникает в среднее ухо через евстахиеву трубу.
В зависимости от места локализации патологического процесса выделяют три формы отита:
- внутренний;
- наружный;
- отит среднего уха.
Две основные причины отита, это попадание инфекции и распространение воспаления из носоглотки в среднее ухо, а также травмы уха. Также заболевание может возникнуть по причине:
- травмы кожи наружного слухового прохода;
- после попадания загрязненной воды;
- проведение хирургических операций в зоне носоглотки или носовой полости;
- как последствие ОРВИ, гайморита;
- при инфекционных заболеваниях, болезнях почек, сахарном диабете, переохлаждении.
Средний отит может быть вызван различными патогенными микроорганизмами: бактериями, вирусами, грибами (отомикоз) и различными микробными ассоциациями.
Симптомы отита среднего уха
В первую очередь, отит и его симптомы будут зависеть от формы и места протекания воспалительного процесса. Охарактеризовать общую картину острого отита среднего уха и его симптомов можно по следующим признакам:
- боль в ухе носит резкий, сильный и иногда нестерпимый характер, иррадиирует в височную и теменную области;
- снижение слуха, шум в ушах;
- гипертермия;
- повышенная температура;
Через 1-3 суток с момента начала заболевания образуется разрыв в барабанной перепонке, начинается гноетечение. В этом периоде температура падает, боль снижается, общее состояние улучшается.
При неблагоприятном развитии заболевания гной может прорваться не наружу, а внутрь, черепной полости, провоцируя развитие абсцесса мозга, менингита и иных опасных заболеваний.
Симптомы отита в хронической форме сходны, но менее выражены. Как правило, присутствуют болевые ощущения, снижение слуха более значительное, чем при острой стадии.
Чаще болеют дети, из-за особенностей строения среднего уха и зачастую гнойный процесс может развиться за сутки-двое. Ребенок часто плачет, вскрикивает, держится за ухо, не может спать. В таких случаях немедленно необходимо обратиться к врачу.
Лечение отита
В первую очередь местное лечение заболевания зависит от его формы. Лечение отита должно быть незамедлительным, ввиду опасности развития тяжелых последствий: распространения заболевания в пространство черепа или на внутреннее ухо, что может грозить полной потерей слуха.
При условии своевременного обращения к врачу, лечение отита среднего уха успешно проводят лекарственными препаратами и физиотерапевтическими процедурами. Для лечения широко используют противовоспалительные средства и антибиотики, а также жаропонижающие препараты при наличии у больного высокой температуры. Для снятия отека слизистой носа обязательно закапывают сосудосуживающие капли.
Если барабанная полость не дренируется самостоятельно в течение первых трех суток, показано рассечение барабанной перепонки.
В целом, схема лечения отита в домашних условиях состоит из следующих компонентов:
- постельный режим;
- сосудосуживающие средства для носа;
- противомикробные препараты;
- обезболивающие средства;
- антибактериальные средства;
- физиотерапевтическое лечение;
- согревающие компрессы;
- витамины.
Острый гнойный отит требует применения антибиотикотерапии, а также эвакуации гноя из полости среднего уха. После прохождения основного курса, больному назначается восстановительная и рассасывающая терапия. Лечение отита в хронической форме также состоит в проведении противовоспалительной и антибактериальной терапии, при усиленной иммунокоррекции.
Стоит отметить, что лечение отита в домашних условиях должно проводиться только с разрешения врача-отоларинголога. Не занимайтесь самолечением. В тех случаях, когда не помогают консервативные методы — прибегают к хирургической операции.
Ушные капли при отите
Применение любого из указанных препаратов допускается только после получения соответствующей консультации у врача.
- Гаразон, Софрадекс, Дексона, Анауран — глюкокортикостероидные капли;
- Отинум, Отипакс — противовоспалительные капли;
- Отофа, Ципромед, Нормакс, Фугентин — антибактериальные капли.
Для достижения максимального лечебного эффекта рекомендуется совмещать применение капель с приемом антибиотиков, они должны назначаться специалистом после установления диагноза.
Основными профилактическими мероприятиями отита у детей и взрослых являются предупреждение и своевременное лечение воспалительных заболеваний носа и носоглотки, хронических заболеваний носа, околоносовых пазух. Правильно проводить туалет носа.
Отит – острое или хроническое воспаление в различных отделах уха (наружном, среднем, внутреннем). Проявляется болью в ухе (пульсирующей, стреляющей, ноющей), повышенной температурой тела, нарушением слуха, шумом в ушах, слизисто-гнойными выделениями из наружного слухового прохода. Представляет опасность в развитии осложнений: хронической тугоухости, необратимой потери слуха, пареза лицевого нерва, менингита, воспаления височной кости, абсцесса мозга.
Одно из наиболее распространенных заболеваний ЛОР-органов. Каждый четвертый пациент отоларинголога – больной острым или хроническим средним отитом. Болеть могут люди любого возраста, однако средний отит гораздо чаще встречается у детей в возрасте до 5 лет.
Причины среднего отита
Средний отит может быть вызван различными патогенными микроорганизмами: бактериями, вирусами, грибами (отомикоз) и различными микробными ассоциациями. Чаще всего в качестве инфекционного агента при среднем отите выступают вирусы гриппа и ОРВИ, пневмококк и гемофильная палочка. В последнее время отмечается увеличение числа случаев грибкового среднего отита.
Механизм развития среднего отита
В норме давление в полости среднего уха равно атмосферному. Выравнивание давления и вентиляция барабанной полости осуществляется при помощи евстахиевой трубы, соединяющей барабанную полость с глоткой.
Некоторые состояния (усиленное образование слизи в носоглотке, «шмыганье» носом, перепад давления при спуске на глубину у водолазов и т.д.) приводят к тому, что проходимость евстахиевой трубы нарушается. Изменение давления в барабанной полости приводит к тому, что клетки слизистой оболочки полости среднего уха начинают активно вырабатывать воспалительную жидкость. Увеличение количества жидкости вызывает боль и нарушение слуха.
Инфекция проникает в среднее ухо тубарно (через евстахиеву трубу), трансметаально (через барабанную перепонку при ее травматическом повреждении), гематогенным путем (с током крови при скарлатине, кори, гриппе или тифе) или ретроградно (из полости черепа или сосцевидного отростка височной кости).
Микробы быстро размножаются в воспалительной жидкости, после чего средний отит становится гнойным. Давление в полости среднего уха резко повышается, барабанная перепонка разрывается, и гной начинает выделяться наружу по слуховому проходу.
Факторы риска
Средний отит редко развивается, как самостоятельное заболевание. В подавляющем числе случаев является осложнением заболеваний других ЛОР-органов воспалительного характера. Выделяют общие и местные факторы, увеличивающие риск развития отита.
- Местные факторы риска развития среднего отита
Воспалительные и аллергические заболевания носа и носоглотки вызывают отек слизистой, приводя к ухудшению проходимости евстахиевых труб. Микробы, попадающие из очага воспаления в среднее ухо, увеличивают риск развития гнойного отита. К группе местных факторов риска относятся и состояния после хирургических вмешательств в носоглотке и носовой полости, сопровождающиеся ухудшением проходимости евстахиевых труб.
Отит чаще развивается у детей, что обусловлено особенностями анатомического строения детского среднего уха. Евстахиева труба у детей уже, чем у взрослых, поэтому увеличивается вероятность нарушений ее проходимости. У детей часто увеличиваются аденоиды, сдавливающие евстахиеву трубу. Дети часто болеют ОРВИ и другими простудными заболеваниями, часто плачут и при этом активно шмыгают носом.
- Общие факторы риска развития отита
Вероятность развития отита увеличивается при врожденных и приобретенных иммунодефицитных состояниях.
Симптомы среднего отита
- Острый средний отит
Для острого среднего отита характерна выраженная гипертермия, которая сопровождается стреляющей болью в ухе. Дети, которые еще не умеют говорить, плачут при усилении боли и успокаиваются при ее стихании.
Через 1-3 суток с момента начала заболевания образуется разрыв в барабанной перепонке, начинается гноетечение. Состояние пациента при этом улучшается. Температура тела нормализуется, боли в ухе уменьшаются или исчезают. В последующем разрыв в барабанной перепонке заживает и не вызывает ухудшения слуха.
При неблагоприятном развитии заболевания гной может прорваться не наружу, а внутрь, распространяясь в полость черепа и приводя к развитию абсцесса мозга или менингита. Поскольку заболевание чревато возникновением опасных осложнений, при первых признаках острого отита следует обращаться к врачу.
- Хронический средний отит
Как правило, является исходом острого гнойного отита. Выделяют две формы хронического гнойного среднего отита, которые различаются как по тяжести, так и по клиническому течению.
В 55% случаев хронический средний отит протекает в форме мезотимпанита, при котором воспалительный процесс охватывает слизистую оболочку области слуховой трубы, нижнего и среднего отделов барабанной полости. Барабанная перепонка имеет перфоративное отверстие в нижней части. Часть перепонки остается натянутой.
При мезотимпаните пациенты предъявляют жалобы на понижение слуха, постоянное или периодическое истечение гноя из уха, крайне редко – на головокружение и шум в ухе. Боли появляются только в период обострения отита, в ряде случаев сопровождаются гипертермией. Мезотимпанит течет достаточно благоприятно и относительно редко становится причиной развития тяжелых осложнений. Степень снижения слуха определяется сохранностью функции слуховых косточек и активностью воспалительного процесса.
Хронический средний отит, протекающий в форме гнойного эпитимпанита, преимущественно поражает надбарабанное пространство. Перфоративное отверстие расположено в верхней части барабанной перепонки, поэтому естественное дренирование полости часто бывает недостаточным. Тяжесть течения обуславливают также особенности анатомического строения данной области, которая изобилует извилистыми узкими карманами.
В воспалительный процесс нередко вовлекается височная кость, при этом гной становится зловонным. Пациенты жалуются на чувство давления в ухе, периодические боли в височной области, иногда – на головокружение. Эта форма хронического отита, как правило, сопровождается резким понижением слуха.
Обе формы хронического среднего отита могут протекать с преобладанием тех или иных патологических процессов.
Хронический катаральный средний отит может развиваться при хроническом евстахиите, после перенесенной скарлатины или перенесенного острого отита. Иногда имеет аллергическую природу. В отсутствие нагноения протекает достаточно благоприятно.
Хронический гнойный средний отит обычно является исходом затянувшегося острого процесса и развивается на фоне снижения иммунитета. При хорошем дренировании барабанной полости гноетечение из уха иногда не сопровождается другими симптомами. Стертая клиническая симптоматика приводит к тому, что пациенты редко обращаются за помощью. Гнойный процесс имеет тенденцию к постепенному распространению, может поражать слуховые косточки, надкостницу, окружающие костные структуры и лабиринт.
Острый и хронический гнойный отит может осложниться развитием хронического адгезивного среднего отита. При адгезивном отите в барабанной полости активно образуются спайки, приводящие к снижению слуха. Адгезивный отит нередко протекает малосимптомно, и пациенты не связывают появляющиеся в период обострения проливные поты, ознобы и гипертермию с заболеванием уха. При адгезивном отите возможно развитие осложнений.
Осложнения среднего отита
Острый средний отит может осложняться мастоидитом (воспалением сосцевидного отростка височной кости), абсцессом мозга, лабиринтитом (воспалением внутреннего уха), менингитом, тромбозом синусов головного мозга и сепсисом. При гнойном эпитимпаните часто возникает холестетома – опухолевое образование, состоящее из продуктов распада эпидермиса. Холестетомы разрушают височную кость, образуют грануляции и полипы.
Хронический средний отит может стать причиной повреждения проходящего в барабанной полости лицевого нерва. Неврит лицевого нерва сопровождается сглаженностью носогубной складки, опущением угла рта и лагофтальмом (глаз на стороне поражения не закрывается). При хроническом среднем отите (гнойном эпитимпаните), как и при остром отите, может развиться лабиринтит, менингит или менингоэнцефалит, абсцесс мозга, синус тромбоз и эпидуральный абсцесс.
Диагностика среднего отита
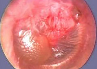
Диагноз острого среднего отита основывается на данных анамнеза, результатах отоскопии и характерных симптомах (общая интоксикация, боль в ухе, гноетечение). Для определения чувствительности микрофлоры выполняют бакпосев отделяемого из уха.
При хроническом среднем отите для оценки состояния костных структур в дополнение к перечисленным исследованиям проводится рентгенография височной кости. На отоскопии при хроническом отите выявляется помутнение и резкое втяжение барабанной перепонки. Рукоятка молоточка кажется укороченной. Локализация перфоративного отверстия определяется формой отита.
Лечение среднего отита
- Терапия острого среднего отита
Пациентам с острым средним отитом рекомендуют постельный режим, проводят антибактериальную терапию, при гипертермии назначают жаропонижающие. Местно применяют физиотерапию (УВЧ, соллюкс) и согревающие компрессы. Для уменьшения болевого синдрома в ухо закапывают теплый 96% спирт (только до момента появления гноя). Если барабанная полость не дренируется самостоятельно в течение первых трех суток, показано рассечение барабанной перепонки. В случае, когда после рубцевания барабанной перепонки сохраняется снижение слуха, назначают продувание, УВЧ и пневматический массаж.
- Терапия хронического среднего отита
Первостепенная задача – обеспечить достаточное дренирование барабанной полости. Для этого из полости среднего уха удаляют полипы и грануляции. Полость промывают, в нее вводят протеолитические ферменты. Пациенту назначают сульфаниламиды и антибиотики, проводят коррекцию иммунитета, санируют очаги инфекции в области ЛОР-органов. При подозрении на аллергический отит используют антигистаминные средства. Место применяют электрофорез, микроволновую терапию.
При отсутствии эффекта выполняют антродренаж (формируют отверстие в области сосцевидного отростка височной кости и с последующим дренированием). При холестеатомах, распространении процесса на кость и внутренние структуры показано хирургическое удаление очага воспаления. Если есть возможность, звукопроводящие структуры сохраняют, если нет – выполняют тимпанопластику. При сохранном барабанном кольце возможно восстановление барабанной перепонки (мирингопластика).
Профилактика среднего отита
Профилактические меры включают в себя нормализацию иммунного статуса, предупреждение ОРВИ и других инфекционных болезней ЛОР-органов. Больные с хроническим отитом должны защищать слуховой проход от переохлаждения и попадания воды.
Острый средний отит — быстро протекающее инфекционно-воспалительное поражение полости среднего уха. Клиническая картина заболевания включает выраженный болевой синдром, общие проявления, ощущения заложенности и шума в ухе, понижение слуха, возникновение перфоративного отверстия в барабанной перепонке с последующим гноетечением. В основе диагностики острого среднего отита лежат данные клинического анализа крови, отоскопии, различных исследований слуха, рентгенографии черепа, рино- и фарингоскопии, обследования слуховой трубы. Общее лечение заболевания проводится антибиотиками, антигистаминными и противовоспалительными препаратами, местная терапия заключается в продувании слуховой трубы, закапывании ушных капель, промывании барабанной полости, введении в нее протеолитических ферментов и пр.
Общие сведения
Острый средний отит является широко распространенной патологией как в детской, так и во взрослой отоларингологии. Острый средний отит — это наиболее часто встречающаяся форма отита. С одинаковой частотой он наблюдается у женщин и у мужчин. В последнее время отмечается склонность острого среднего отита к более вялому течению у взрослых и частому рецидивированию у детей. У детей младшего возраста в связи с особенностями строения уха при остром среднем отите сразу происходит вовлечение в воспалительный процесс антрума — пещеры сосцевидного отростка и заболевание носит характер отоантрита. Острый средний отит может возникнуть как осложнение евстахиита, экссудативного среднего отита, аэроотита, травмы уха, воспалительных заболеваний носоглотки.
Острый средний отит
Причины острого среднего отита
До 65% острых средних отитов обусловлены стрептококковой инфекцией. На втором месте по частоте встречаемости стоят пневмококк и стафилококк. В редких случаях острый средний отит бывает вызван дифтерийной палочкой, протеем, грибами (отомикоз).
Наиболее часто проникновение инфекционных агентов в барабанную полость происходит тубогенным путем — через слуховую (евстахиеву) трубу. В норме слуховая труба служит барьером, защищающим среднее ухо от попадания в него находящихся в носоглотке микроорганизмов. Однако при различных общих и местных заболеваниях ее функция может нарушаться, что приводит к инфицированию барабанной полости с развитием острого среднего отита. Провоцирующими дисфункцию слуховой трубы факторами являются: воспалительные процессы верхних дыхательных путей (ринит, озена, фарингит, ларингит, ларинготрахеит, ангина, аденоиды, хронический тонзиллит); доброкачественные опухоли глотки (ангиома, фиброма, невринома и др.), опухоли полости носа; хирургические вмешательства в полости носа и глотки; диагностические и лечебные манипуляции (продувание по Политцеру, катетеризация слуховой трубы, тампонада при носовом кровотечении).
Развитие острого среднего отита может произойти при инфицировании барабанной полости транстимпанальным путем — через поврежденную барабанную перепонку, что случается при травмах и инородных телах уха. Гематогенный путь инфицирования полости среднего уха с возникновением острого среднего отита может наблюдаться при общих инфекциях (кори, гриппе, скарлатине, краснухе, дифтерии, сифилисе, туберкулезе). Казуистическим случаем считается появление острого среднего отита в связи с проникновением инфекции из полости черепа или внутреннего уха.
В возникновении острого среднего отита имеет значение состояние общего и местного иммунитета. При его снижении даже сапрофитная флора, попадающая в барабанную полость из носоглотки, может стать причиной развития воспаления. Относительно недавно было доказано, что в появлении острого среднего отита не последняя роль принадлежит так называемой ушной аллергии, которая является одним из проявлений системной аллергии наряду с аллергическим ринитом, экссудативным диатезом, аллергическим дерматитом, астматическим бронхитом и бронхиальной астмой. Немаловажную роль в развитии острого среднего отита играют неблагоприятные факторы внешней среды: переохлаждение, сырость, резкие перепады атмосферного давления.
Симптомы острого среднего отита
Острый средний отит в среднем длится около 2-3 недель. В течении типичного острого среднего отита выделяют 3 последовательные стадии: доперфоративную (начальную), перфоративную и репаративную. Каждая из этих стадии имеет свои клинические проявления. При своевременно начатом лечении или высокой иммунологической резистентности организма острый средний отит может принять абортивное течение на любой из указанных стадий.
Доперфоративная стадия острого среднего отита может занимать всего несколько часов или длится 4-6 дней. Она характеризуется внезапным началом с интенсивной боли в ухе и выраженными общими симптомами. Боль в ухе обусловлена быстро нарастающей воспалительной инфильтрацией слизистой оболочки, выстилающей барабанную полость, в результате чего происходит раздражение нервных окончаний языкоглоточного и тройничного нервов. Боль в ухе при остром среднем отите носит резкий мучительный и иногда нестерпимый характер, приводит к нарушению сна и снижению аппетита. Она иррадиирует в височную и теменную области. Болевой синдром у пациентов с острым средним отитом сопровождается шумом и заложенностью в ухе, снижением слуха. Эти симптомы связаны с тем, что из-за воспалительных изменений снижается подвижность находящихся в барабанной полости слуховых косточек, отвечающих за звукопроведение.
Общие проявления острого среднего отита заключаются в повышении температуры тела до 39°С, общей слабости, ознобе, утомляемости и разбитости. Гриппозный, скарлатинозный и коревой острый средний отит часто протекают с одновременным вовлечением в воспалительный процесс внутреннего уха с развитием лабиринтита и понижением слуха за счет расстройств звуковосприятия.
Перфоративная стадия острого среднего отита наступает, когда в результате скопления в барабанной полости слишком большого количества гнойного содержимого происходит разрыв барабанной перепонки. Через образовавшееся отверстие начинают выходить вначале слизисто-гнойные, затем гнойные, а иногда и кровянистые выделения. При этом самочувствие больного острым средним отитом заметно улучшается, боль в ухе стихает, температура тела подает. Гноетечение обычно продолжается не более недели, после чего заболевание переходит в следующую стадию.
Репаративная стадия острого среднего отита характеризуется резким уменьшением и прекращением гноетечения из уха. У большинства пациентов в этой стадии происходит самопроизвольное рубцевание перфоративного отверстия в барабанной перепонке и полное восстановление слуха. При размере перфорации более 1 мм фиброзный слой барабанной перепонки не восстанавливается. Если зарастание отверстия все же происходит, то место перфорации остается атрофичным и тонким, поскольку образовано лишь эпителиальным и слизистым слоями без фиброзного компонента. Большие перфорации барабанной перепонки не закрываются, по их краю наружный эпидермальный слой перепонки срастается с внутренним слизистым, образуя омозолелые края остаточного перфоративного отверстия.
Острый средний отит далеко не всегда протекает с типичной клинической картиной. В некоторых случаях наблюдается изначально затяжной и слабовыраженный характер симптомов, отсутствие самопроизвольного разрыва барабанной перепонки. С другой стороны, возможно крайне тяжелое течение острого среднего отита с выраженной симптоматикой, температурой до 40°С, головной болью, тошнотой и головокружением. Задержка образования перфорации барабанной перепонки в таких случаях приводит к быстрому распространению инфекции в полость черепа с развитием внутричерепных осложнений. В случаях, когда после перфорации барабанной перепонки улучшение состояния не происходит, отмечается усугубление симптоматики после некоторого улучшения или наблюдается длительное (более месяца) гноетечение, следует думать о развитии мастоидита.
Диагностика острого среднего отита
Диагноз острого среднего отита устанавливается отоларингологом на основании жалоб пациента, характерного внезапного начала заболевания, результатов отоскопии и микроотоскопии, исследования слуха. В клиническом анализе крови у пациентов с типичным течением острого среднего отита выявляется умеренный лейкоцитоз и нерезкое ускорение СОЭ. Тяжелые формы заболевания сопровождаются выраженным лейкоцитозом со сдвигом формулы влево, значительным ускорением СОЭ. Неблагоприятным признаком, свидетельствующим о развитии мастоидита, является отсутствие эозинофилов.
Отоскопическая картина острого среднего отита зависит от стадии заболевания. В начальном периоде выявляется инъекция радиальных сосудов барабанной перепонки. Затем гиперемия приобретает разлитой характер, отмечается инфильтрация и выпячивание перепонки в сторону слухового прохода, иногда присутствует беловатый налет. В перфоративной стадии при отоскопии видна щелевидная или округлая перфорация барабанной перепонки, наблюдается пульсирующий световой рефлекс — синхронная с пульсом пульсация гноя, видимого через перфорацию. В отдельных случаях наблюдается пролабирование через перфоративное отверстие слизистой барабанной полости, напоминающей грануляционную ткань. В репаративной стадии острого среднего отита при отоскопии может отмечаться заращение перфорации или ее организация в виде уплотнения и омозолелости края.
Аудиометрия, пороговая аудиометрия и исследование камертоном выявляют кондуктивную тугоухость. Данные акустической импедансометрии говорят о сниженной подвижности слуховых косточек. При подозрении на мастоидит и петрозит проводится рентгенография черепа в области сосцевидного отростка, для исключения внутричерепных осложнений МРТ и КТ головного мозга. Выявление заболеваний носоглотки, которые могли явиться причиной острого среднего отита, осуществляется при помощи риноскопии, фарингоскопии, ларингоскопии, определения проходимости евстахиевой трубы, рентгенографии околоносовых пазух.
Лечение острого среднего отита
Острый средний отит лечится в зависимости от стадии и, как правило, в амбулаторных условиях. При развитии осложнений показана госпитализация больного. С целью купирования болевого синдрома в доперфоративной стадии острого среднего отита применяют содержащие анестетики ушные капли. Эффективно закапывание подогретых до 38-39 °С капель с последующим закрытием слухового прохода ватой с вазелином, которую извлекают через несколько часов. Используют также турунды, смоченные спиртовым р-ром борной кислоты. Для снятия отечности и улучшения дренажной функции слуховой трубы назначают антигистаминные препараты и назальные сосудосуживающие капли: оксиметазолин, ксилометазолин, нафазолин, тетризолин, ксилометазолин.
Общая терапия пациентов с острым средним отитом проводится противовоспалительными препаратами: диклофенаком, ибуфеном и пр. В случае повышения температуры тела и интенсивного болевого синдрома показана антибиотикотерапия. Препаратами выбора являются амоксициллин, цефуроксин, спирамицин. Начав прием антибиотика, необходимо его пропить в течение 7-10 дней, поскольку досрочное прекращение антибиотикотерапии может привести к возникновению рецидивов и осложнений, хронизации отита, образованию спаек внутри барабанной полости.
Хороший эффект в доперфоративной стадии острого среднего отита дает продувание слуховой трубы по Политцеру и промывание среднего уха растворами антибиотиков в сочетании с глюкокортикостероидными препаратами. Выпячивание барабанной перепонки на фоне проводимого лечения говорит о том, что несмотря на все лечебные мероприятия, в барабанной полости происходит скопление большого количества гноя. Такое состояние чревато развитием осложнений и требует проведения парацентеза барабанной перепонки.
В перфоративной стадии острого среднего отита наряду с применением антигистаминных, сосудосуживающих и антибактериальных средств проводят туалет наружного уха и транстимпанальное введение препаратов. Для уменьшения отека и секреции слизистой используют фенспирид, для разжижения густого секрета — муколитики (ацетилцистеин, растительные препараты). Назначают физиотерапевтическое лечение: УФО, УВЧ и лазеротерапию.
Лечение в репаративной стадии острого среднего отита направлено на предотвращение образования спаек, восстановление функций слуховой трубы, повышение защитных сил организма. Применяют продувание слуховой трубы, введение через нее в барабанную полость протеолитических ферментов, пневмомассаж барабанной перепонки, ультрафонофорез с гиалуронидазой, витаминотерапию, прием биостимуляторов (маточное пчелиное молочко, гемодериват крови телят).
Прогноз острого среднего отита
При своевременном и грамотном лечении, достаточной активности иммунных механизмов острый средний отит заканчивается полным выздоровлением и 100% восстановлением слуха. Однако позднее обращение к врачу, плохое состояние иммунитета, неблагоприятные внешние воздействия и фоновые заболевания могут стать причиной совершенно иного исхода заболевания.
Острый средний отит может трансформироваться в хронический гнойный средний отит, который сопровождается прогрессирующей тугоухостью и рецидивами гноетечения. В некоторых случаях воспалительный процесс приводит к выраженным рубцово-спаечным изменениям в барабанной полости, нарушающим подвижность барабанных косточек и являющимся причиной развития адгезивного среднего отита со стойким понижением слуха.
В тяжелых случаях острый средний отит сопровождается развитием целого ряда осложнений: гнойного лабиринтита, мастоидита, неврита лицевого нерва, петрозита, менингита, тромбоза сигмовидного синуса, абсцесса головного мозга, сепсиса, некоторые из которых могут привести к летальному исходу.



