Хламидийная пневмония у детей – разновидность атипичной пневмонии, которая возникает вследствие инфицирования верхних дыхательных путей различными видами хламидий.Хламидийная пневмония у детей и взрослых является патологией, спровоцированной микроорганизмами Chlamydia, которые считаются внутриклеточными паразитами. Это заболевание представляет риск для здоровья малыша, так как серьёзно воздействует на важные органы и вызывает тяжёлые осложнения. Лечение осложняется тем, что бактерии локализуются и внутри, и снаружи клеток. Взрослые заражаются этой формой пневмонии чаще, детям заболевание нередко передается во время родов, а также при заражении урогенитальным хламидиозом. Носительство хламидий может быть бессимптомным или проявляется достаточно тяжелым течением.
Общая информация
Хламидия пневмония является частой причиной инфекций нижних дыхательных путей, в том числе воспалений бронхов и легких у детей и взрослых.
Хламидии пневмонии — это грамм-отрицательные внутриклеточные бактерии, вызывающие инфекции только у людей
Хламидии пневмонии — это грамм-отрицательные внутриклеточные бактерии, вызывающие инфекции только у людей. Эти микроорганизмы после проникновения в организм прикрепляются к клеткам хозяина, затем проникают в них и размножаются, а затем распространяются по крови.
Отличительной особенностью Ch. pneumoniae является возможность размножения в различных типах клеток. Хламидию пневмонию чрезвычайно трудно диагностировать, поскольку ее симптомы напоминают обычное ОРВИ или фарингит. Ребенка беспокоит сухой, пароксизмальный кашель и часто повторяющиеся воспаления глотки или гортани.
Характерными для этого типа инфекции являются воспаления уха, придаточных пазух, бронхов, легких и миндалин. Все эти симптомы может сопровождать небольшой жар или высокая температура.
Диагностика хламидии пневмонии для педиатров является сложным процессом. Чаще всего исследуется мазок из верхних дыхательных путей. Необходимо выполнить исследование крови на антитела IgM и IgG.
Лечение хламидийной инфекции у детей заключается в антибактериальной терапии. Для того чтобы эффективно избавиться от бактерий, рекомендуется использовать препараты из группы макролидов и хинолонов, и, возможно, тетрациклины. Общий курс лечения длится не дольше, чем 2 недели, а после нее необходимым представляется повторение исследований для проверки эффективности терапии.
Что такое пневмония
Воспаление легких, именуемое пневмонией, является распространенным заболеванием, встречающимся не только у детей всех возрастов, но и у взрослых.
Понятие пневмонии не включает иные заболевания легких, например, их сосудистые или аллергические поражения, бронхиты и различные нарушения в их работе, вызванные физическими или химическими факторами.
Хламидийная пневмония у детей. У детей это заболевание встречается часто, как правило, примерно 80% всех патологий легких у малышей приходится на пневмонию. Заболевание представляет собой воспаление легочной ткани, но в отличие от иных болезней легких, таких как бронхит или трахеит, при пневмонии возбудители проникают в нижние отделы системы дыхания.
Пораженная часть легкого не может выполнять свои функции, выделять углекислый газ и усваивать кислород. По этой причине заболевание, особенно острая пневмония у детей протекает гораздо тяжелее иных респираторных инфекций.
Основной опасностью детской пневмонии является то, что без адекватного лечения заболевание быстро прогрессирует и может привести к возникновению отека легких различной тяжести, и даже к летальному исходу
Основной опасностью детской пневмонии является то, что без адекватного лечения заболевание быстро прогрессирует и может привести к возникновению отека легких различной тяжести, и даже к летальному исходу.
У детей со слабой иммунной системой заболевание протекает в очень тяжелых формах. По этой причине наиболее опасной считается пневмония у грудничков, поскольку их иммунная система еще недостаточно сформирована.
В развитии заболевания большую роль играет состояние иммунной системы, но важно правильно определить причину возникновения пневмонии, поскольку только в этом случае ее лечение будет успешным.
Хламидийная пневмония
Хламидийная пневмония – этиологическая разновидность атипичной пневмонии, возникающая при инфицировании дыхательных путей различными видами хламидий — Ch. рneumoniae, Ch. psittaci и Ch. trachomatis. Считается, что ежегодно среди внебольничных пневмоний от 5 до 15% случаев вызываются хламидиями; во время эпидемических вспышек этот показатель может составлять 25%.
Чаще всего заболевают взрослые, случаи хламидийной пневмонии у новорожденных связаны с заражением от матерей, больных урогенитальным хламидиозом.
Бессимптомное носительство хламидий в носоглотке определяется более чем у половины взрослых и 5-7% детей, поэтому вероятность передачи инфекции с респираторными секретами очень высока.
Хламидийная пневмония у детей. Описаны внутрисемейные вспышки хламидийной пневмонии, а также случаи массовой заболеваемости в изолированных коллективах.
Причины хламидийной пневмонии
Из всего многообразия представителей семейства Chlamydiaceae в этиологическом отношении практический интерес для пульмонологии представляют три типа хламидий: Chlamydophila pneumoniae, Сhlamydia trachomatis и Chlamydophila psittaci.
Самым частым возбудителем респираторных хламидиозов (в том числе хламидийного фарингита, синусита, бронхита, пневмонии) у пациентов всех возрастов служит Ch. pneumoniae. С Сh. trachomatis связана заболеваемость трахомой, мочеполовым хламидиозом, венерической лимфогранулемой, а также хламидийной пневмонией среди новорожденных и грудничков до 6 месяцев.
Также с этим типом хламидий ассоциированы пневмонии у иммунокомпрометированных лиц и сотрудников лабораторий. Ch. psittaci рассматривается как возбудитель орнитоза (пситтакоза), часто протекающего в форме тяжелой интерстициальной пневмонии.
Хламидийная пневмония у детей. Пути заражения каждой разновидностью хламидий отличаются, однако все типы могут распространяться гематогенным путем. Передача Ch. pneumoniae от человека к человеку осуществляется преимущественно воздушно-капельным и контактно-бытовым путями.
Инфицирование штаммом Ch. psittaci происходит воздушно-пылевым или фекально-оральным путем при вдыхании пыли или употреблении пищи, содержащей биологические секреты птиц-переносчиков инфекции (попугаев, канареек, кур, уток, голубей, воробьев и др.). Инфицирование новорожденных Ch. trachomatis происходит в процессе родов от матерей с урогенитальной хламидийной инфекцией.
При интранатальном заражении у 15-25% младенцев возникает хламидийный назофарингит и конъюнктивит, которые часто осложняются пневмонией.
При интранатальном заражении у 15-25% младенцев возникает хламидийный назофарингит и конъюнктивит, которые часто осложняются пневмонией
Все хламидии являются облигатными грамотрицательными микроорганизмами, паразитирующими внутри клеток хозяина. В макроорганизме хламидии могут существовать в инфекционной форме (элементарные тельца) и вегетативной форме (ретикулярные тельца). Элементарные тельца проникают внутрь клетки путем стимуляции эндоцитоза, где преобразуются в ретикулярные тельца.
Последние обладают высокой метаболической активностью и способностью к внутриклеточному бинарному делению. Цикл размножения длится около 48 часов, после чего ретикулярные тельца вновь превращаются в элементарные, происходит разрыв мембраны клетки хозяина с выходом элементарных телец новой генерации во внеклеточную среду. Далее цикл инфицирования новых клеток повторяется.
С.trachomatis-инфекция шейки матки имеет место примерно у 5-22% беременных женщин.
Хламидийная пневмония у детей. В процессе родов инфицирование ребенка происходит в 30-50% случаев. Среди инфицированных новорождённых у 25-50% появляются симптомы конъюнктивита, который, по меньшей мере, в половине случаев сопровождается назофарингитом. У 11-20% младенцев, рожденных от матерей с активным хламидиозом, до 8-недельного возраста развивается пневмония.
Читайте также:
Дифференциальная диагностика туберкулеза и неспецифической пневмонии
С.trachomatis-инфекция шейки матки имеет место примерно у 5-22% беременных женщин
У детей с симптомами хламидийного назофарингита пневмония развивается примерно в 25% случаев. Сообщалось о пневмонии, вызванной С.trachomatis, у иммунокомпрометированных взрослых.
Случаи орнитозных пневмоний в настоящее время встречаются редко, но частота их достаточно стабильна — 1-3%. Дети болеют значительно реже взрослых, что, скорее всего, связано с ограничением тесных контактов детей с птицами, поэтому в данной статье орнитоз рассматриваться не будет.
Диагностика хламидийной пневмонии
Затруднения при установлении этиологического диагноза связаны с тем, что в отличие от бактериальных пневмоний, при хламидийной пневмонии отсутствуют отчетливые физикальные и рентгенологические признаки, а также характерные изменения в периферической крови.
Хламидийная пневмония у детей. В этих условиях терапевтам ипульмонологам приходится ориентироваться, главным образом, на указания анамнеза, особенности клинической картины и подтверждать свои подозрения лабораторными методами (ИФА, ПЦР и др.).
Аускультативные данные вариабельны: дыхание может быть жестким, бронхиальным или ослабленным везикулярным; хрипы в разгар заболевания чаще влажные или крепитирующие. Перкуторный звук обычно притуплен. При рентгенографии легких выявляется очаговая, сегментарная или долевая инфильтрация либо интерстициальные изменения.
Для подтверждения хламидийной пневмонии применяются лабораторные методы. Наиболее специфичным и чувствительным из них является культуральный метод выделение возбудителя, однако из-за длительности и трудоемкости диагностики на практике обычно ограничиваются серотипированием. Стандартом выявления хламидийной пневмонии на сегодняшний день служат ИФА и МИФ (реакция микроиммунофлюоресценции).
При проведении ИФА на активность хламидийной инфекции укажет повышение титра специфических IgМ, IgG и IgА более 1:16, 1:512 и 1:256 соответственно; МИФ — повышение титра IgG/IgА в парных сыворотках крови в 4 и более раз. ПЦР-анализ позволяет быстро и безошибочно идентифицирвоать ДНК возбудителя, однако не позволяет отличить персистирующую инфекцию от активной.
Дифференциальную диагностику хламидийной пневмонии следует проводить с гриппом, коклюшем; вирусной, микоплазменной, легионеллезной, грибковой пневмонией и другими атипичными легочными инфекциями
Симптомы хламидийной пневмонии
Пневмония, вызванная Chlamydophila pneumoniae
Хламидийная пневмония у детей. Хламидийной пневмонией, вызванной Ch. pneumoniae, чаще болеют дети и молодые люди в возрасте от 5 до 35 лет. Среди причин внебольничной пневмонии в этой возрастной группе хламидии уступают только Mycoplasma pneumoniae.
Начало болезни острое или постепенное. В первом случае симптомы интоксикации и поражения дыхательных путей достигают максимальной выраженности уже на 3-и сутки.
При подостром течении хламидийная пневмония манифестирует с респираторного синдрома (ринита, назофарингита, ларингита), познабливания, субфебрилитета, в связи с чем в первую неделю болезни у пациентов ошибочно диагностируется ОРЗ.
Главным образом, больных беспокоит заложенность носа, нарушением носового дыхания, умеренные слизистые выделения из носа, осиплость голоса.
Хламидийной пневмонией, вызванной Ch. pneumoniae, чаще болеют дети и молодые люди в возрасте от 5 до 35 лет
Собственно пневмония может развиваться в сроки от 1 до 4-х недель после появления респираторных симптомов. Температура тела повышается до 38-39°С, нарастает слабость, беспокоит миалгия, головная боль. Во всех случаях одновременно с лихорадкой появляется сухой или влажный приступообразный кашель, боль в груди. Течение хламидийной пневмонии затяжное; мучительный кашель и недомогание могут сохраняться до нескольких месяцев. Из осложнений наиболее часты отиты, синуситы, реактивные артриты.
Пневмония, вызванная Сhlamydia trachomatis
Начало часто постепенное; у детей хламидийной пневмонии нередко предшествует конъюнктивит, острый средний отит или бронхит этой же этиологии.
Хламидийная пневмония у детей. Ранним признаком становится сухой кашель, который, усиливаясь, приобретает приступообразный характер. На фоне кашлевых приступов у ребенка возникает тахипноэ, цианоз и рвота, однако репризы отсутствуют.
Постепенно отмечается усугубление одышки, увеличение ЧД до 50-70 в минуту, дыхание становится кряхтящим. Вместе с тем, общее состояние обычно остается удовлетворительным, симптомы интоксикации и дыхательная недостаточность выражены слабо.
Аускультативная и рентгенологическая картина двусторонней хламидийной пневмонии разворачивается к исходу первой – в начале второй недели. В разгар заболевания могут появиться симптомы энтероколита,гепатоспленомегалия. Выздоровление часто затягивается на многие недели и месяцы.
Пневмония, вызванная Сhlamydia trachomatis ранним признаком становится сухой кашель, который, усиливаясь, приобретает приступообразный характер
При тяжелых формах хламидийной пневмонии может возникать пневмоторакс, плеврит, абсцедирование. Из внелегочных осложнений встречаются миокардиты, эндокардиты, менингоэнцефалиты. Дети, перенесшие хламидийную пневмонию, вызванную Ch. trachomatis, в дальнейшем чаще страдают бронхиальной астмой и другимихроническими обструктивными заболеваниями легких.
Пневмония, вызванная Chlamydophila psittaci (Орнитоз)
Варианты клинического течения орнитоза различны – от бессимптомного до тяжелого. Самым ярким симптомом выступает высокая (до 39,5-40°С и выше) температура тела, сопровождающаяся ознобами и сильнейшей интоксикацией (резкой слабостью, головной болью, артралгиями, миалгиями).
В отсутствие других симптомов данное состояние нередко расценивается как лихорадка неясного генеза.
Хламидийная пневмония у детей. В дальнейшем более чем в половине случаев возникает малопродуктивный кашель, боль в груди, увеличение печени и селезенки. Характерными признаками, указывающими на хламидийную этиологию пневмонии, служат признаки нейротоксикоза, пятнистая сыпь на коже, носовые кровотечения. Часто возникают расстройства пищеварения: тошнота, рвота, абдоминальные боли, поносы или запоры.
Клинико-рентгенологические изменения могут сохраняться в течение 4-6 недель. Типичными осложнениями орнитоза выступают гепатит, ДВС-синдром, венозные тромбозы, гемолитическая анемия, полиневропатии, миокардит.
Лечение и прогноз хламидийной пневмонии
Сложность эффективного лечения хламидийной пневмонии сопряжена с тем, что хламидии присутствуют в организме одновременно как во внеклеточных, так и внутриклеточных формах, поэтому необходимо воздействовать на оба этих звена. Кроме этого, активизация инфекции, как правило, происходит на фоне угнетения иммунитета, что также требует коррекции иммунного ответа.
Средствами эрадикационной терапии при хламидийной пневмонии признаны антимикробные препараты из групп макролидов, фторхинолонов и тетрациклинов. Наиболее предпочтительны среди них макролиды, т. к. могут применяться для терапии новорожденных, детей и беременных.
Из препаратов этой группы наибольшей активностью в отношении хламидий обладают кларитромицин, джозамицин, эритромицин, спирамицин.
Также успешно справляются с хламидийной инфекцией фторхинолоны (ципрофлоксацин, офлоксацин, левофлоксацин) и тетрациклины (доксициклин, моноциклин), однако прием последних исключается при беременности и печеночной недостаточности. Длительность курса противомикробного лечения хламидийной пневмонии составляет не менее 2–3 недель.
Также успешно справляются с хламидийной инфекцией фторхинолоны (ципрофлоксацин, офлоксацин, левофлоксацин) и тетрациклины (доксициклин, моноциклин), однако прием последних исключается при беременности и печеночной недостаточности
С целью коррекции иммунологических расстройств, а также предупреждения рецидива инфекции, помимо антимикробных средств, назначаются иммуномодуляторы, витамины, пробиотики. В период реконвалесценции большое внимание уделяется физиотерапии, дыхательной гимнастике.
У пациентов молодого возраста с отсутствием сопутствующей патологии хламидийная пневмония обычно оканчивается выздоровлением. Среди пожилых летальные исходы возникают в 6-10% случаев.
Хламидийная пневмония у детей. Наблюдения специалистов указывают на возможную этиологическую роль Ch. pneumoniae в развитии атеросклероза,саркоидоза легких, ишемического инсульта, болезни Альцгеймера, поэтому перенесенная хламидийная пневмония может иметь далеко идущие последствия. Однозначно доказано отрицательное влияние респираторного хламидиоза на течение бронхиальной астмы и частоту ее обострений.
Читайте также:
Пневмония на фоне ишемической болезни сердца
Профилактика хламидийной пневмонии
Оптимальные схемы и длительность лечения при хламидийных пневмониях до конца не определены, так как с помощью применявшихся методов диагностики невозможно оценить, произошла ли эрадикация возбудителя.
Не существует вакцины против хламидийных пневмоний. Высокая иммуногенность антигена является критической для изобретения эффективной вакцины против хламидийной пневмонии.
Лечение, обычно, начинают с идентифицированния микроорганизма. Это общее лечение включает в себя антибиотики для атипичных бактерий, которые также включают хламидийную пневмонии.
Узнайте больше:
- Лечение хламидиоза Азитромицином
- Хламидиоз у мужчин — лечение и профилактика
- Чай от паразитов — рецепты, приготовление и применение
Источник:
- https://www.krasotaimedicina.ru/diseases/zabolevanija_pulmonology/chlamydial-pneumonia
- https://med36.com/ill/1247
- https://mama66.ru/detskie-bolezni/pnevmoniya
- https://wormsoff.com/xlamidioz/xlamidiya-pnevmoniya.html
Хламидийная пневмония – разновидность атипичного воспаления лёгких. Заболевание развивается при инфицировании дыхательных путей различными видами хламидий. Эти микроорганизмы вызывают воспалительный процесс легочной ткани у 5-15% пациентов, которым диагностировано воспаление лёгких. Чаще заболевают взрослые, но известны случаи хламидийной пневмонии у новорожденных и детей старшего возраста. Для лечения хламидийной пневмонии в Юсуповской больнице созданы все условия:
- Пациентов госпитализируют в уютные палаты, оборудованные притяжно-вытяжной вентиляцией;
- Наличие кондиционеров позволяет обеспечить комфортный температурный режим;
- Пациенты обеспечены индивидуальными средствами личной гигиены.
Диагностика хламидийной пневмонии довольно сложная. Рентгенографию и крупнокадровую флюорографию проводят опытные рентгенологи с помощью аппаратов, обладающих высокой разрешающей способностью. Пациенты во время обследования подвергаются минимальной лучевой нагрузке. Использование инновационных методов лабораторной диагностики позволяет идентифицировать возбудителя пневмонии и определить чувствительность к антибактериальным препаратам.
Пульмонологи применяют европейские стандарты терапии хламидийной пневмонии, используют индивидуальные схемы лечения. Детоксикационную терапию проводят эффективнейшими инфузионными средствами. При наличии показаний проводят плазмаферез. Врачи отделения реанимации и интенсивной терапии оказывают пациентам респираторную поддержку с помощью современных аппаратов искусственной вентиляции лёгких.
Инфекционные агенты
Самым частым возбудителем атипичного воспаления лёгких у пациентов всех возрастов служит хламидия пневмонии. Хламидия трахоматис вызывает воспаление лёгких у сотрудников бактериологических лабораторий и лиц со сниженной реактивностью организма. В форме интерстициальной пневмонии часто протекает орнитоз, причиной которого является хламидия пситаки.
Хламидия пневмонии у взрослых вызывает воспаление легочной ткани. Она передаётся от человека к человеку контактно-бытовым и воздушно-капельным путём при употреблении пищи или вдыхании пыли, содержащей биологические выделения птиц-переносчиков инфекции (попугаев, канареек, кур, голубей, воробьёв). Новорожденные инфицируются в процессе родов от матерей с хламидийной инфекцией мочеполовых путей.
Особенности паразитирования хламидии
Хламидии относятся к внутриклеточным паразитам, которые не способны существовать вне клетки хозяина. Микроорганизм может вызывать аутоиммунные заболевания и бронхиальную астму.
Паразиты устойчивы во внешней среде и способны длительное время, иногда несколько лет, существовать на слизистых носоглотки и бронхах, не вызывая заболевание. По этой причине иногда бывает сложно установить инкубационный период заболевания и правильно подобрать лечение.
Механизм передачи возбудителей инфекции
Микроорганизмы обитают на слизистой оболочке верхних дыхательных путей. Заболевание часто протекает бессимптомно или с маловыраженными клиническими симптомами. Возбудитель попадает во внешнюю среду с отделяемым носоглотки при чихании, кашле, разговоре. Механизм передачи возбудителя – воздушно-капельный. Заражение происходит аспирационным путём. К хламидии высокая восприимчивость.
Заражение хламидией пневмонии чаще всего происходит у детей, которые проживают в густонаселённых районах. Взрослые люди инфицируются во время службы в армии. Входными воротами инфекции являются верхние дыхательные пути. В течение 48 часов после заражения ворсинки эпителия бронхов становятся полностью неподвижными. Со временем заболевание переходит в хроническую форму. Оно может проявиться спустя 10-50 лет тяжёлыми поражениями сосудов.
Клинические формы
Продолжительность инкубационного периода при хламидийной пневмонии довольно длительная. Заболевания, вызываемые хламидией пневмонии, могут протекать в острой и хронической форме. Различают следующие клинические формы острого процесса:
- Бессимптомную (латентную);
- Назофарингеальную;
- Пневмоническую.
Острые формы инфекционного заболевания чаще встречаются у детей и юношей, а хронические – у лиц пожилого возраста.
Бессимптомная форма хламидийной пневмонии характеризуется носительством возбудителя при отсутствии клинических проявлений болезни. Воспаление лёгких может протекать без первичных клинических проявлений и переходить в хроническую форму. При вторично-латентном течении заболевания после исчезновения всех клинических и рентгенологических изменений в течение года имеет место носительство возбудителя.
Назофарингеальная форма заболевания протекает по типу ОРЗ в виде ринита, фарингита. Эта форма чаще встречается у взрослых. Заболевание длится несколько дней, поражение лёгких при этом отсутствует.
Пневмоническая форма начинается остро с повышения температуры тела до 38-39°С, болей в суставах, мышцах, головной боли, иногда с насморка, болей и першения в горле. Пациентов с первых дней заболевания беспокоит сухой кашель, иногда со скудной слизистой мокротой. При аускультации выслушиваются влажные и сухие хрипы. У 85-90% инфицированных пациентов на рентгенограммах определяется мелкоочаговая или интерстициальная инфильтрация. Она вначале развивается в одном лёгком, затем хламидийная пневмония развивается и в другом лёгком.
Физикальные признаки поражения легочной ткани наблюдаются в течение 7-10 дней. Рентгенологические изменения сохраняются на протяжении 12-30 дней. В анализе периферической крови имеет место нейтрофильный лейкоцитоз.
У некоторых пациентов уже в острый период заболевания появляется бронхоспазм. При длительном персистировании возбудителя постепенно развивается хронический обструктивный бронхит. Аллергизация организма антигенами хламидий способствуют возникновению бронхиальной астмы.
Симптомы
Воспалением лёгких, вызванным хламидией пневмонии, чаще болеют дети и молодые люди в возрасте от 5 до 35 лет. Заболевание может иметь острое или постепенное начало. В первом случае проявления интоксикации и поражения дыхательных путей достигают максимума уже на третьи сутки. При подостром течении заболевание начинается с респираторного синдрома (ринита, ларингита, назофарингита), незначительного озноба, субфебрильной температуры. Пациентов беспокоит осиплость голоса, заложенность носа, умеренные слизистые выделения из носа, нарушение носового дыхания.
Воспаление лёгких может развиваться через 1-4 недели после появления респираторных симптомов. Температура тела повышается до 38-39°С. У пациентов нарастает слабость, беспокоит головная и мышечная боль. Одновременно с лихорадкой появляется боль в грудной клетке, сухой или влажный приступообразный кашель.
Изменения, характерные для воспаления лёгких, при физикальном обследовании пациентов с хламидийными пневмониями, определяются не всегда. Укорочение перкуторного звука у больных хламидийной пневмонией наблюдается только в 68,8% случаев. Этот признак врачи всегда выявляют у пациентов с сегментарной, полисегментарной, долевой пневмонией и лишь у 30% больных с перибронхиальной инфильтрацией. При хламидийном воспалении лёгких над зоной поражения чаще выслушивается ослабленное или бронхиальное дыхание и влажные хрипы.
При рентгенографии органов грудной клетки у пациентов с хламидийной пневмонией рентгенологи чаще выявляют полисегментарную инфильтрацию и реже интерстициальные изменения. Хламидийная пневмония имеет затяжное течение. Недомогание и мучительный кашель могут сохраняться до нескольких месяцев.
Читайте также:
Лечение пневмонии при раке легкого
Если возбудитель инфекционного заболевания – хламидия трахоматис, воспалению лёгких предшествует конъюнктивит, острый средний отит или бронхит, вызванный этим же возбудителем. У пациентов появляется сухой кашель, который со временем усиливается и приобретает приступообразный характер. У ребёнка на фоне приступов появляется учащённое дыхание, рвота, синюшность. Одышка постепенно усугубляется, частота дыхания увеличивается до 50-70 в минуту. Общее состояние остаётся удовлетворительным, дыхательная недостаточность и симптомы интоксикации выражены незначительно.
При тяжёлых формах хламидийной пневмонии может возникать плеврит, пневмоторакс, абсцедирование. Дети, перенесшие хламидийную пневмонию, вызванную хламидией трахоматис, в дальнейшем чаще страдают хроническими обструктивными заболеваниями лёгких и бронхиальной астмой.
Пневмония, вызванная хламидией пситаки, может иметь разное течение – от бессимптомного до тяжёлого. При наличии выраженной клинической картины заболевание начинается с подъёма температуры тела до 39,5-40°С, озноба и сильнейшей интоксикации. В дальнейшем возникает боль в грудной клетке, малопродуктивный кашель, увеличивается селезёнка и печень.
На наличие хламидийной пневмонии указывают следующие признаки:
- Нейротоксикоз;
- Пятнистая сыпь на коже;
- Носовые кровотечения.
У пациентов возникают расстройства пищеварения: боль в животе, тошнота, рвота,
Признаки заболевания у детей
Симптомы хламидийной пневмонии у детей первоначально выглядят как признаки обычной простуды или бронхита. У малышей появляется кашель, обычно сухой, гораздо реже с небольшим количеством мокроты. Детей беспокоят головные боли. Ребёнок становится раздражительным, плаксивым, у него ухудшается аппетит.
Бронхит в течение 3-4 недель трансформируется в хламидийную пневмонию. Температура тела может не повышаться или быть повышенной в течение нескольких дней. Её рост наблюдается у детей старшего возраста. К моменту развития воспаления лёгких температура снова поднимается до субфебрильных цифр. У малышей усиливаются болезненные ощущения, кашель становится частым. При аускультации слышны более влажные, чем ранее, хрипы.
Голос становится сиплым, появляются болезненные ощущения в околоносовых пазухах. Симптомы интоксикации усиливаются. У половины детей развивается конъюнктивит.
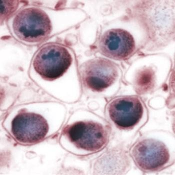
Наиболее распространёнными методами диагностики хламидийной пневмонии является реакция связывания комплемента (РСК), иммуноферментный анализ (ИФА). Последний метод определения антител позволяет обнаружить их в самом начале заболевания. Для идентификации возбудителя врачи применяют микроскопию мазков, окрашенных по Романовскому-Гимзе, полимеразную цепную реакцию, культуральные методы, твердофазный ИФА на основе моноклональных антител.
Диагностика у взрослых
При хламидийной пневмонии отсутствуют отчётливые физикальные и рентгенологические признаки, а также характерные изменения в периферической крови. Пульмонологи Юсуповской больницы ориентируются на данные анамнеза и особенности клинической картины. Для того чтобы подтвердить подозрение на хламидийную природу пневмонии, используют лабораторные методы исследования.
Наиболее специфичный и чувствительный культуральный метод выделения возбудителя, но он достаточно трудоёмкий и длительный. Стандартом выявления хламидийной пневмонии на сегодняшний день служат иммунофлуоресцентный анализ и реакция микроиммунофлюоресценции.
В общем анализе крови отмечается нормальное количество лейкоцитов и умеренное увеличение скорости оседания эритроцитов. Установить точную причину воспаления лёгких можно при выявлении возбудителя в мокроте или мазках из зева при помощи полимеразной цепной реакции, которая позволяет выявить специфический фрагмент ДНК хламидии пневмонии.
Для выявления хламидии в лаборатории Юсуповской больницы выполняют иммуноферментные анализы на специфические антитела классов IgA, IgM, IgGА. Антитела к хламидии пневмонии появляются через две недели от начала развития микроорганизмов в организме человека. Наличие и количество антител определённого класса говорят о первичном или вторичном характере инфицирования. Материалом для исследования служит сыворотка крови. Результат исследования на хламидию пневмонию IgG положительный при повышении титров антител в парных сыворотках более чем в 4 раза.
Обнаружение антител IgM свидетельствует, что организм начинает бороться с инфекцией и вырабатывает защитные клетки. Чем выше показатель IgM, тем активнее воспалительный процесс. Выявить иммуноглобулины класса M возможно уже через 1 неделю после появления первых симптомов заболевания. Без специфического лечения титр антител IgM постоянно повышается, но не свидетельствует о наличии стойкого иммунитета. Со временем времени IgM полностью исчезают из крови.
Иммуноглобулины класса А появляются при острой хламидийной инфекции несколько позже, чем IgМ. Антитела IgA определяют для оценки эффективности лечения. При правильно подобранной терапии уровень IgA резко снижается. IgG – это антитела к хламидии пневмонии, которые свидетельствуют о выздоровлении и стойком иммунитете. Их выявляют у детей на протяжении трех лет после перенесенного хламидийного воспаления лёгких.
Наиболее неблагоприятным является выявление у пациента сочетания антител IgG с IgA и IgМ. Если в периферической крови при иммунофлуоресцентном анализе обнаруживают повышенный титр IgG и IgA, это говорит неэффективности терапии и переходе заболевания в хроническую форму. Повторное выявление высоких цифр иммуноглобулинов IgG и IgA вызывает подозрения на развитие персистирующего хламидиоза или аутоиммунного заболевания, вызванного хламидиями. Повторный анализ на хламидии пневмонии проводят для оценки эффективности терапии.
Лечение
Для лечения хламидийной пневмонии у взрослых пульмонологи используют следующие антибиотики:
- Макролиды;
- Фторхинолоны;
- Тетрациклины.
Макролиды могут применяться для терапии взрослых, новорожденных, детей и беременных. Наибольшей активностью в отношении хламидии пневмонии обладают джозамицин, кларитромицин, эритромицин, спирамицин. Отмечается положительная динамика при назначении фторхинолонов (ципрофлоксацина, офлоксацина, левофлоксацина) и тетрациклинов (доксициклина, моноциклина). Антибиотики группы тетрациклинов не назначают при печеночной недостаточности и беременным женщинам. Длительность курса антибактериального лечения хламидийной пневмонии составляет 2–3 недели.
При сокращении сроков лечения возрастает риск развития рецидивов заболевания. При нетяжёлом течении хламидийной пневмонии антибактериальные препараты назначают внутрь в среднетерапевтических дозах. При тяжёлых пневмониях отдают предпочтение внутривенному применению антибиотика.
Стоимость внутривенного лечения макролидами весьма высока, поэтому врачи Юсуповской больницы используют ступенчатую терапию, при которой лечение начинают с внутривенного применения антибиотиков, а по достижении клинического эффекта переводят пациента на пероральную терапию тем же препаратом или другим макролидом. Для ступенчатой терапии используют эритромицин, кларитромицин, спирамицин – препараты, которые выпускаются в двух формах: для приёма внутрь и для внутривенного введения.
Врачи Юсуповской больницы проводят комплексное лечение хламидийных пневмоний. Терапия включает помимо антимикробных средств препараты, действие которых направлено на коррекцию иммунного ответа. Коррекцию иммунологических нарушений проводят иммуномодуляторами, витаминами, пробиотиками. В период выздоровления большое внимание уделяют физиотерапии и дыхательной гимнастике. Все тяжёлые случаи хламидийной пневмонии обсуждаются на заседании экспертного Совета, где принимается коллегиальное решение в отношении дальнейшей тактики ведения пациентов.
При наличии признаков пневмонии запишитесь на приём к пульмонологу по телефону. Врачи Юсуповской больницы проведут диагностику и выявят возбудителя инфекции. Пульмонологи применяют индивидуальные схемы лечения современными эффективными препаратами, зарегистрированными и разрешёнными к применению в России.
Автор
Доктор медицинских н
Предыдущая статья
Как избавиться от красных пятен после ожога
Следующая статья
Как успокоить ожог от перца
Связанные материалы
- Пневмония Домашняя пневмония симптомы у детей By Никитенко Розалия 5 лет ago
- Пневмония Хламидии пневмонии у детей i By Клюшникова Татьяна 5 лет ago

- Правообладателям
- Политика конфиденциальности
© Советы от детских врачей













