Редактор
Дарья Тютюнник
Врач, судебно-медицинский эксперт
Для пневмонии характерна осенне-зимняя сезонность, когда велик риск переохлаждения организма и ослабления иммунитета в период повышенной заболеваемости ОРВИ и гриппом.
Правосторонняя пневмония является наиболее частым вариантом развития заболевания, что обусловлено анатомическим строением бронхиального дерева. Об этом мы и поговорим в сегодняшней статье.
Отличие от левосторонней
Правосторонняя пневмония представляет сбой воспалительный процесс, вызванный попаданием в детский организм инфекции.
Правые отделы легочной системы поражаются чаще из-за физиологических и анатомических особенностей строения бронхиального дерева. У детей мелкие бронхи уже, нежели у взрослых, а крупные бронхи и трахея – короче. Главный бронх, расположенный справа, короче и шире, чем левый. Поэтому инфекция быстрее и легче проникает в структуру правого легкого.
Правосторонняя пневмония чаще развивается на 5-8 день после начала других заболеваний органов дыхания: ОРВИ, бронхита, трахеита, и является осложнением данных заболеваний. Наиболее тяжело протекает пневмония у детей первого года жизни, что обусловлено не до конца сформировавшимся иммунитетом.
Различают следующие разновидности правосторонней детской пневмонии:
- верхнедолевая;
- нижнедолевая;
- среднедолевая.
Течение болезни происходит практически одинаково, но есть некоторые отличия.
Верхнедолевая форма
Особенность такой пневмонии заключается в её локализации в верхних долях легкого. В этом случае поражаются легочные сегменты – от 1 до 3. В большинстве случаев заболевание возникает из-за стафилококков, пневмококков, стрептококков и палочки Фридлендера.
Такая форма пневмонии характеризуется постепенными улучшениями при лечении. Симптомы проявляются поздно, однако встречаются случаи резко выраженной симптоматики уже на второй-третий день с возможностью установления точного диагноза.
Нижнедолевая форма
В нижней доле правого легкого чаще всего скапливаются вирусы и бактерии, из-за его косого направления. Особенностью нижнедолевой пневмонии у детей является её быстрое прогрессирование. Без грамотного лечения уже через несколько дней на месте очагового инфильтрата появляется сегментарный или долевой очаг.
Нижнедолевая правосторонняя пневмония
Нижнедолевое воспаление вызывается вирусом или бактериальным агентом. В большинстве случаев, организм ребенка встречается с ними впервые, антитела к возбудителю отсутствуют, поэтому иммунная система не способна сопротивляться.
Пневмония нижней доли отличается от воспаления верхней доли волнообразным течением – состояние ребенка может улучшиться, а затем снова резко ухудшиться. Возбудители, уничтоженные антибиотиками в процессе лечения, очень быстро могут появиться вновь. Поэтому очень важно соблюдать все назначения лечащего врача.
Симптомы
К первым проявлениям заболевания относятся:
- общее ухудшение состояния, головная боль, мышечная слабость;
- подъем температуры до 38-39°C;
- бледность кожи;
- одышка;
- учащённое сердцебиение;
- боли в правой части груди при глубоком вдохе и кашле;
- повышенное потоотделение, особенно в ночное время;
- отсутствие эффекта от жаропонижающих средств;
- сухие хрипы при вдохе и выдохе.
Педиатр, врач высшей категории
Задать вопрос
У детей первого года жизни одним из ранних симптомов пневмонии является плаксивость, нарушения сна, отказ от еды, бледность и посинение кожи в области носогубного треугольника.
В последующие несколько дней к перечисленным симптомам присоединяется кашель с характерной гнойной мокротой ржавого цвета.
При тяжелом течении правосторонней пневмонии наблюдается отставание правой половины грудной клетки в акте дыхания, участие вспомогательной мускулатуры (напряжение грудинно-ключично-сосцевидной мышцы и мышц пресса).
А также втягивание межреберных промежутков, раздувание крыльев носа при вдохе. Все это говорит о развитии дыхательной недостаточности.
У детей дошкольного и младшего школьного возраста на пике температуры может появиться бред, ригидность мышц затылка, тошнота, рвота.
Разница в симптомах верхнедолевой и нижнедолевой пневмонии обусловлена кровоснабжением и строением долевых бронхов.
Для верхнедолевой правосторонней пневмонии характерно:
- тяжелое течение;
- стойкое повышение температуры;
- кашель сухой, надсадный, отхождение мокроты может отсутствовать вплоть до разрешения заболевания;
- присоединение вирусных инфекций в виде проявления герпеса в области носогубного треугольника;
- возможная рвота, ригидность затылочных мышц (симптом менингизма).
При локализации воспалительного процесса в правой нижней доле:
- кашель с отхождением вязкой мокроты желтого или “ржавого цвета”, прожилки крови в мокроте;
- боли в области пупка или правой подвздошной области, тошнота, рвота;
- частое вовлечение плевры в воспалительный процесс.
Читайте также:
Повторная пневмония у ребенка до года
Важно помнить, что нижнедолевая правосторонняя пневмония часто осложняется ателектазом и абсцессом легкого.
Диагностика
Диагностика правосторонней пневмонии основывается на клинической картине, аускультативных и лабораторных симптомах.
К необходимым обследованиям при подозрении на воспаление лёгких относят:
- осмотр врача-педиатра;
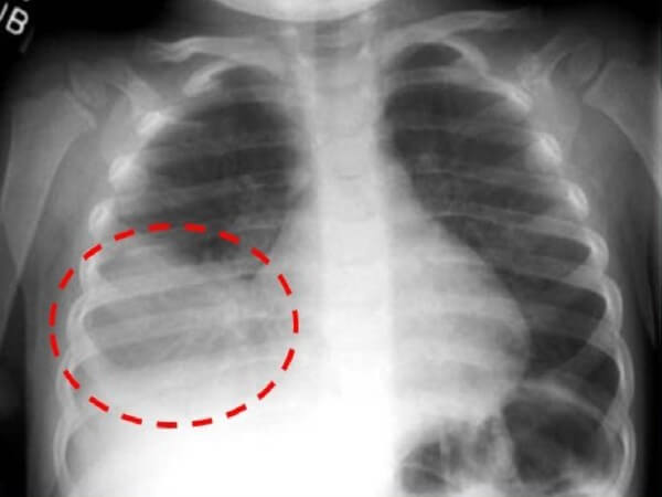
- рентгенография органов грудной клетки в прямой и боковой проекциях;
- общий анализ крови;
- микроскопия мокроты, её бактериологический анализ для определения чувствительности возбудителя к антимикробным препаратам.
К критериям для постановки диагноза относят:
- лихорадку выше 38°C;
- кашель с выделением гнойной мокроты;
- лейкоцитоз в общем анализе крови;
- физикальные и аускультативные симптомы (укорочение перкуторного звука, крупно- и среднепузырчатые хрипы над областью поражения)
Лечение
При лечении пневмонии у детей главным вопросом является необходимость госпитализации ребенка в стационар.
Лечение в домашних условиях ребенка возрастом до трех лет не допускается!
Госпитализация показана также в случаях развития дыхательной недостаточности 2-3 степени, при вовлечении в воспалительный процесс нескольких долей легкого, других сопутствующих заболеваниях и иммунодефицитных состояниях.
Лечение правостороннего воспаления легких должно быть комплексным и включать не только антибактериальную терапию, но и симптоматическую, иммуностимулирующую, физиотерапию, а также полноценное питание, обильное питье и постельный режим.
Выбор антибиотика осуществляется врачом-педиатром сразу же после постановки диагноза и является эмпирическим в зависимости от возраста ребенка и характерных проявлений болезни.
При легких формах, неосложненном течении и благоприятном клиническом прогнозе длительность приема препаратов составляет 7 дней, при необходимости курс продлевается до 14 дней. Критерием отмены антибактериального препарата является угасание симптоматики и регресс рентгенологических проявлений.
Если на фоне приема антибиотиков в течение трех дней не наступает улучшения состояния пациента, необходимо отменить выбранный изначально препарат и начать новый курс терапии антибиотиком другой группы.
При лечении нижнедолевой пневмонии легкой и средней степени тяжести обычно используются пероральные формы (таблетки, капсулы, сиропы) как антибиотиков, так и симптоматических препаратов.
Изображение лекарств и их название может отличаться от тех, которые назначил ваш лечащий врач
Основными группами антибактериальных препаратов для лечения воспаления легких являются:
- пенициллины (амоксициллин)
- защищенные пенициллины (амоксициллин+клавулоновая кислота)
- макролиды (кларитромицин, азитромицин)
- цефалоспорины II-III поколения (цефотаксим, цефтриаксон)
- фторхинолоны (левофлоксацин, ципрофлоксацин)
Симптоматическая терапия включает в себя назначения жаропонижающих средств – парацетамол, нурофен, ибупрофен.
Обратите внимание! Детям до 12 лет противопоказаны препараты на основе аспирина и анальгина из-за возможных побочных эффектов и развития поражения печени.
Для улучшения отхождения скапливающейся в бронхах мокроты, необходимо использовать препараты, разжижающие вязкий бронхиальный секрет и расширяющие бронхи – бромгексин, амброксол, атровент.
Для лечения воспаления, локализующегося в верхней доле правого легкого, возможно назначение антибиотиков перорально, а бронхолитических препаратов через специальный прибор – небулайзер, преобразующий лекарство в мелкую взвесь, которая попадает напрямую в мелкие бронхи и в маловентилируемые участки легких.
Среди доступных препаратов для использования через небулайзер можно выделить три группы:
- бронхолитики (сальбутамол, вентолин), назначающиеся при выраженном бронхоспазме;
- отхаркивающие (муколитики) препараты (ацетилцистеин, гвайфенезин, амброксол);
- противовоспалительные (декасан, будесонид).
Высокая температура, дыхательная недостаточность и обильные гнойные выделения являются противопоказаниями для введения препаратов через небулайзер!
После стихания воспалительного процесса и снижения температуры рекомендовано назначение физиопроцедур и дыхательной гимнастики. Такие физиопроцедуры, как индуктометрия и электрофорез, способствуют более быстрому и полному восстановлению легочной ткани. Дыхательная гимнастика и массаж грудной клетки помогают вывести оставшуюся мокроту из бронхов и значительно уменьшают остаточные явления в виде кашля и незначительных хрипов.
Упражнения при пневмонии и плеврите
Справочные материалы (скачать)
Заключение
Дети, перенесшие правостороннюю пневмонию, после полного выздоровления должны состоять на учете у участкового врача-педиатра в течение одного года с проведением контрольной рентгенограммы органов грудной клетки и осмотра ребенка узкими специалистами для выявления поздних осложнений пневмонии.
Под пневмонией понимается развитие процесса воспаления в легочных тканях. Легкие представляют собой парный орган, который выполняет дыхательную функцию в организме и осуществляет газообменный процесс. Левое и правое легкие не тождественны. Верхнедолевая пневмония – это воспалительный инфекционный процесс, специфика которого заключается в локализации в верхней доле. Верхнедолевая правосторонняя пневмония затрагивает от одного до трех легочных сегментов. Такой вариант воспаления является не самым распространенным. Заболевание не во всех случаях диагностируется своевременно, а если отсутствует лечение, это может привести к возникновению осложнений.
Читайте также:
Можно ли мыться при пневмонии с температурой
Характеристика болезни
Левое легкое имеет меньшие размеры, в нем выделяются две доли, а правое отличается большим размером и имеет три доли. При рассмотрении структуры легких в них можно выделить три составных элемента: бронхи, бронхиолы и альвеолы.
В легочной ткани находится очень много долек, объединенных в доли. В вершину любой дольки органа входят бронхи. Их мельчайшие ответвления называются бронхиолами, на концах которых располагаются образования, включающие очень много альвеолярных ветвей со множеством мельчайших пузырьков (альвеол) с очень тонкими стенками.
Именно здесь осуществляется обмен углекислого газа и кислорода в организме. Кроме того, структурными единицами легочного строения являются бронхолегочные сегменты. Так называют части легкого, которые соответствуют первичным ветвям долевых бронхов. Эти сегменты разделяются перегородками – соединительной тканью. В правом легком, в верхней его доле, выделяется три сегмента, в то время как в той же доле левого — пять. Если развивается пневмония, то процесс воспаления распространяется на альвеолы, где возникает воспалительная экссудация. В ряде случаев затрагивается еще и интерстициальная легочная ткань.
Пневмония, которая развивается в верхнем отделе легких, наблюдается намного реже по сравнению с нижнедолевой. Процесс воспаления развивается преимущественно в верхней правой доле. Объясняется это тем обстоятельством, что правый бронх шире и короче, и поэтому инфекция в данном направлении распространяется быстрее и легче. Верхнедолевую правостороннюю очаговую пневмонию довольно трудно диагностировать. Подобная патологическая форма требует очень тщательной дифференциальной диагностики и обследования.
Правосторонняя верхнедолевая сегментарная пневмония — это заболевание, характеризующееся воспалением бронхолегочного сегмента. Доля сегментарного воспаления у детей среди всех форм пневмоний составляет 25%. В некоторых случаях поражается сразу несколько сегментов органа.
В первую очередь нужно исключить вероятность того, что симптомы заболевания имеют туберкулезное происхождение. Обследование необходимо проводить всесторонне, поскольку даже результаты, полученные после рентгенографии, способны дать картину, напоминающую туберкулез.
Что провоцирует правостороннюю верхнедолевую пневмонию?
Возбудитель
Пневмония верхней доли правого легкого преимущественно обусловлена разного рода бактериями – палочкой Фридлендера, пневмококками и стрептококками. В более редких случаях заболевание могут вызвать дрожжевые грибы. Для данного вида патологии нехарактерно вирусное происхождение.
Симптомы
Правосторонняя верхнедолевая пневмония – заболевание непростое, имеющее выраженную клиническую картину. Протекание данной патологической разновидности отличается своей спецификой. Болезнь имеет медленное развитие, что мешает диагностике ее на раннем этапе.
Вначале появляется небольшое недомогание. Лишь через некоторое время неожиданно возникают тяжелые симптомы. Проявления заболевания несколько отличаются у взрослых и детей.
Признаки у взрослых
Процесс воспаления правого легкого в верхней доле с легкостью диагностируется во время осмотра.
У взрослых пациентов болезнь может проявляться в виде следующих симптомов:
- лихорадка, способная достичь сорока градусов;
- боль в правой части груди;
- навязчивый сухой кашель;
- желтоватый цвет склер;
- высыпания около рта;
- одышка.
Из-за интоксикации организма и сильного кашля пациент испытывает рвоту и тошноту.
Признаки у детей
Правосторонняя верхнедолевая пневмония у маленьких пациентов проявляется несколько иначе по сравнению со взрослыми. Заболевание у ребенка зачастую имеет скрытую форму, его сложно обнаружить на раннем этапе возникновения.
По мере развития болезни можно обнаружить такие симптомы:
- покраснение эпидермиса на лице;
- боль в горле;
- синюшность кончиков пальцев и губ;
- плохой аппетит;
- головокружения и боли головы;
- спутанное сознание.
Помимо перечисленных выше есть такие же симптомы заболевания, что и у взрослых людей. До трех лет у детей большее распространение получает одышка, а затем остальные патологические проявления.
Особенности диагностики
Процесс воспаления верхней правой легочной доли отлично просматривается на рентгене. Однако пациенту с внебольничной правосторонней верхнедолевой пневмонией все же нужно пройти как инструментальное, так и лабораторное и клиническое обследование:
- Обследование клиническое. Специалист-пульмонолог либо терапевт во время внешнего осмотра увидит бледность кожи, в младшей возрастной группе – синеватый оттенок носогубного треугольника. Прослушивание позволяет обнаружить на верхушке легкого крепитацию, жесткое и ослабленное дыхание, хрипы.
- Рентген. Рентгенография осуществляется в двух проекциях. Обнаруживается на рентгенограмме затемнение верхней доли, а также усиление рисунка легкого.
- Общий анализ крови. Для легочного воспаления характерны перемены в составе крови. СОЭ ускорена, повышено содержание лейкоцитов.
- Исследование мокроты. Осуществляется посев с целью установления типа возбудителя заболевания. Помимо этого нужно обратить внимание на цвет мокроты, присутствие в ней вкраплений гноя или крови.
- Компьютерная томограмма – самый информативный исследовательский метод. КТ осуществляется в том случае, если недостаточно сведений, полученных в ходе рентгенологического исследования. Однако цена такой манипуляции довольно высокая, она проводится не во всех медицинских учреждениях.
Читайте также:
Реферат на тему вирусная пневмония
Очень важно разграничивать правостороннее поражение с левосторонним, туберкулезом и бронхитом, поскольку эти патологии характеризуются схожей симптоматикой.
Лечение
Если возникает такая болезнь, как правосторонняя верхнедолевая пневмония, у ребенка или взрослого, нужно незамедлительно начинать лечение. Неосложненные ее формы можно лечить и в амбулаторных условиях.
Госпитализация требуется в следующих случаях:
- возраст больного (у взрослых – после 65 лет, у детей – до трех);
- присоединение серьезных патологий;
- дыхательная и сердечная недостаточность;
- появление осложнений;
- тяжелое протекание патологии.
Требуется комплексная терапия, которая включает в себя медикаментозное лечение, вспомогательные способы, диету и постельный режим.
Медикаментозное лечение
Медикаментозное лечение – это один из главных способов избавления от пневмонии:
- Антибиотики: «Флемоклав», «Левофлоксацин», «Клацид». Угнетают размножение и рост микробной флоры. Используются в виде таблеток, если заболевание имеет тяжелый характер – в форме инъекций.
- Отхаркивающие средства: «Флуимуцил», «Амброксол». Способствуют разжижению мокроты, а также ее выведению из легких. Используются в инъекционных растворах и таблетках.
- Витамины: «Ревит», «Аскорутин». Отличаются общеукрепляющим влиянием, ускоряют процесс выздоровления. Используются в виде драже и таблеток.
В чем еще состоит лечение верхнедолевой правосторонней пневмонии?
Немедикаментозная терапия
Помимо приема медикаментозных средств назначаются также побочные способы лечения – дыхательная гимнастика, физиотерапия и массаж. Подобное лечение позволяет предупредить возникновение осложнений, состояние пациента облегчается, время выздоровления сокращается:
- Физиотерапия оказывает противовоспалительное и бактериостатическое влияние. Данные процедуры помогают усилить выведение мокроты, ликвидируют боли в груди и кашель. Чаще всего при пневмонии пациенту назначаются ингаляции, электрофорез, облучение ультрафиолетом, магнитотерапия, УВЧ и индуктотермия. Физиопроцедуры воздействуют на пострадавший организм щадяще, могут применяться для лечения детей, беременных женщин и пожилых людей.
- ЛФК и дыхательная гимнастика. Заниматься лечебной физкультурой можно через два дня после того, как прекратится лихорадка. Дыхательная гимнастика и физкультура повышают подвижность грудной клетки, кровоснабжение органов дыхательной системы улучшается, ткани насыщаются кислородом. Происходит восстановление дренажных и дыхательных функций, благодаря чему воспалительные очаги быстро рассасываются.
- Массаж грудной клетки способствует улучшению лимфо- и кровообращения в дыхательных органах, мокрота отходит, застойные явления устраняется, самочувствие пациента в целом улучшается. Для больных с легочным воспалением рекомендуются точечный, дренажный, сегментарный, вакуумный и вибрационный типы массажа.
Что еще обычно включают в историю болезни? Верхнедолевая правосторонняя пневмония предполагает особое питание.
Специфика диеты
Значительным пунктом при терапии людей с пневмонией является диета. Правильное питание способствует восстановлению защитных сил организма, устраняет дефицит необходимых микроэлементов и витаминов, повышает иммунитет.
При пневмонии диета предполагает включение в рацион кисломолочных продуктов, молока, нежирной рыбы, сливочного масла, каш, мяса, зелени, фруктов, свежих овощей. Также нужно придерживаться питьевого режима.
Разрешается пить натуральные разбавленные соки, чай из шиповника, морсы, отвары лекарственных трав, кисели, компоты, сваренные из сухофруктов. Во время лечения нужно воздержаться от копченых, острых и консервированных продуктов, ограничить в рационе соль.
Верхнедолевая правосторонняя пневмония является серьезной болезнью, которая вызывает ряд тяжелых осложнений. Требуется своевременное обращение за квалифицированной помощью, правильные диагностика и лечение.
Чем опасна правосторонняя верхнедолевая пневмония теперь понятно.














