Подагра – это болезнь, связанная с нарушением обмена веществ, при которой ураты (соли мочевой кислоты) накапливаются в суставах. Подагру еще во времена Гиппократа называли «болезнью королей», так как неумеренность в еде и спиртном могли позволить себе только знатные люди. По статистике, в России подагрой болеет каждый 3 человек из 1000. Чаще всего этому заболеванию подвержены мужчины, достигшие 40 лет. Женщины тоже болеют подагрой, но, как правило, после менопаузы. По сути, подагра является одной из разновидностей патологий костно-суставной системы, причиной которой является отложение солей.
Заболевание влияет на все суставы, начиная от суставов пальцев рук до суставов пальцев ног.
Подагра (фото на ногах)
Основной причиной возникновения подагры является злоупотребление либо едой (мясом, копченостями, субпродуктами (печенью, почками), бобами, рыбно-соленой пищей, фасолью, шоколадом), либо спиртными напитками.
Причиной могут также являться:
- Отягощённая наследственность;
- Характер питания;
- Повышение уровня мочевой кислоты в крови.
К группе риска относятся люди, имеющие:
- Ожирение;
- Сахарный диабет;
- Гипертоническую болезнь;
- Заболевания почек;
- Заболевание желудочно-кишечного тракта;
- Люди с малоподвижным образом жизни.
Во время течения заболевания происходит накапливание производных мочевой кислоты (кристаллы уратов) в суставах, тканях, органах и других системах организма. Нарушение целостности сустава (частичное или полное разрушение) происходит из-за того, что урат кристаллизуется и откладывается в виде мелких частичек.
Большое содержание мочевой кислоты в организме человека происходит по нескольким причинам:
- Абсолютно здоровые почки не выводят огромное количество мочевой кислоты;
- Мочевая кислота выбрасывается в нормальном количестве, но почки не могут её вывести из организма.
В Юсуповской больнице оказывают современную и эффективную медицинскую помощь пациентам со всеми ревматическими болезнями, в том числе и пациентам с подагрой. В больнице работают квалифицированные ревматологи с многолетним опытом клинической работы. В Юсуповской больнице проводят качественную лабораторную диагностику и инновационные инструментальные методы исследования (ультразвуковая диагностика, магнитно-резонансная томография, компьютерная томография и прочие), которые позволяют распознать развитие ревматических заболевания на ранних стадиях.
Что такое подагра у мужчин на ногах?
Подагра, как правило, имеет хроническое течение, поэтому полностью излечить её практически невозможно. Данное заболевание проявляется чаще на ногах. У мужчин подагра характеризуется следующими симптомами:
- Острая боль в суставах, усиливающаяся в утреннее время;
- Покраснение и отечность первого пальца;
- Скованность в конечностях;
- Ограничение подвижности;
- Подъем артериального давления;
- Повышение температуры тела;
- Чувство жара;
- Потеря аппетита;
- Частая смена настроения.
Первые атаки подагрического артрита (воспаление одного сустава) практически всегда бывают краткосрочными. Начинается такой приступ внезапно, как правило, ночью. Чаще всего воспаляется сустав большого пальца ноги (может один или сразу оба).
Фото: подагра на большом пальце ноги у мужчины
Помимо того, что больных беспокоит сильнейшая боль, во время приступа сустав начинает распухать, краснеть, кожа в этой области становится ярко-красной или багряной, теплой или горячей на ощупь. Даже незначительное прикосновение к воспаленному месту или минимальное движение в суставе причиняют невыносимую боль. После нескольких дней мучительной боли (3-4 дня) симптомы резко прекращаются, будто ничего и не было.
Однако спустя определенное количество времени боль также внезапно возобновляется. Причем, если в начале интервалы между приступами были достаточно длительными (от одного месяца до года), а сами атаки подагрического артрита непродолжительные, то со временем клиническая картина меняется в худшую сторону. Атаки становятся более длительными, а интервалы между ними более короткими.
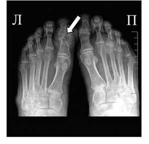
В конце концов, наступает такой момент, когда боль в суставах имеет постоянный характер, а светлые промежутки между приступами практически исчезают. Данное состояние носит название «подагрический статус», или хронический подагрический артрит. При хроническом подагрическом артрите наступает разрушение суставного хряща, а в рядом расположенных костях образуются специфические дефекты — «пробойники», представляющие собой полость, заполненную микрокристаллами урата натрия.
На фото симптом «пробойника» на кости первого пальца ноги
Кристаллы урата натрия могут также накапливаться под кожей, образовывая белесоватые твердые узелки (тофусы), которые заполнены кашицеобразной массой. Такие тофусы часто образуются вокруг пораженного сустава.
Фото: тофусы вокруг суставов пальцев ног
В особенно запущенных ситуациях подагра может дать осложнения на почки, так как в них тоже могут откладываться ураты, что приводит к мочекаменной болезни, а иногда и к пиелонефриту (воспалению почек).
У мужчин подагра встречается гораздо чаще и в более раннем возрасте, по сравнению с женщинами. Мужская половина человечества подвержена этой патологии уже к 40 годам.
Что такое подагра у женщин на ногах?
Под воздействием провоцирующих факторов у женщин нарушаются естественные процессы выделения мочевой кислоты и поступления ее в организм, уровень мочевины в крови при этом значительно повышается. Это объясняется недостаточной выработкой эстрогенов, которая в женском организме начинается в период менопаузы. Поэтому подагрой чаще всего болеют женщины после 50 лет при остром дефиците полового гормона и патологиях эндокринной системы. Основными симптомами являются:
- Образование тофусов (накопление уратов в суставных тканях);
- Нефролитиаз (скопление мочевины в почках с последующим образованием конкрементов);
- Подагрическая (уратная) нефропатия.
Читайте также:
Дыня польза и вред при подагре
Как вылечить подагру на ногах в Москве?
Чем лечить подагру на ногах знают врачи-ревматологи Юсуповской больницы. В борьбе с острыми воспалениями суставов врачи Юсуповской больницы применяют сразу несколько фармакологических групп:
- Нестероидные противовоспалительные средства (такие как Ибупрофен, Индометацин, Диклофенак);
- Урикозурические препараты (с целью снижения содержания мочевой кислоты) — Антуран, Бутадион, Кетазон;
- Кортикостероиды (Преднизолон, Дексаметазон, Триамцинолон).
Уколы при подагре на ногах используются для купирования болевого синдрома. Выбор препарата при этом зависит от состояния здоровья пациента и особенности болевого порога человека, который определяет непосредственно врач.
В качестве вспомогательной терапии подагры ревматологи рекомендуют ежедневно на ночь наносить йодную сетку на пораженные участки. Таким образом можно уменьшить очаги воспаления, ускорить процесс ремиссии и ослабить приступ боли. Для усиления эффекта необходимо в йод добавить аспирин, и готовым составом регулярно смазывать пораженные суставы.
В Юсуповской больнице активно применяются физиотерапевтические методы лечения, которые эффективно снимают воспаление, сокращают число атак, предотвращают застойные явления уратов натрия и восстанавливают пораженные ткани суставов. С этой целью в больнице имеется:
- Электрофорез;
- Фонофорез;
- Ультрафонофорез;
- Тепловые процедуры;
- Магнитотерапия;
- Амплипульс;
- Ультразвук.
Врачи Юсуповской больницы подберут индивидуальную программу правильного питания, которая будет исключать продукты, провоцирующие возникновение подагрического приступа. Ревматологи больницы распишут лечебную физкультуру с целью возобновления прежней подвижности суставов, нормализации кровообращения и обменных процессов в организме, а также укрепления мышечного аппарата пациента.
Если у Вас подагра большого пальца ноги и Вы нуждаетесь в лечении, обращайтесь за помощью к специалистам Юсуповской больницы. Врачи проведут полное обследование, которое будет включать в себя:
- Общий анализ крови;
- Общий анализ мочи;
- Анализ крови на мочевую кислоту;
- Исследование внутрисуставной жидкости (синовиальной);
- Анализ крови на печеночные и почечные пробы, триглицериды, холестерин;
- Рентген-диагностика воспаленных суставов.
Ревматологи Юсуповской больницы на протяжении многих лет успешно занимаются лечением подагры на ногах у жителей России. В больнице имеется современное оборудование и вежливый медперсонал, который обеспечит комфортное пребывание в стационаре. Записаться на прием и консультацию можно по телефону.
Автор
Заведующий отделением анестезиологии-реанимации с палатами интенсивной терапии, анестезиолог-реаниматолог
Список литературы
- МКБ-10 (Международная классификация болезней)
- Юсуповская больница
- Ревматология. Малая медицинская энциклопедия. — М.: Медицинская энциклопедия. 1991—96 гг..
- Багирова, Г. Г. Избранные лекции по ревматологии / Г.Г. Багирова. — М.: Медицина, 2011. — 256 c.
- Сигидин, Я. А. Биологическая терапия в ревматологии / Я.А. Сигидин, Г.В. Лукина. — М.: Практическая медицина, 2015. — 304 c.
Наши специалисты
Заместитель генерального директора по медицинской части, терапевт, гастроэнтеролог, к.м.н.
Врач-ревматолог, к.м.н.
Врач-ревматолог
Цены на услуги *
*Информация на сайте носит исключительно ознакомительный характер. Все материалы и цены, размещенные на сайте, не являются публичной офертой, определяемой положениями ст. 437 ГК РФ. Для получения точной информации обратитесь к сотрудникам клиники или посетите нашу клинику.
Скачать прайс на услуги
Мы работаем круглосуточно
Что такое подагра и как она выглядит многие знают не понаслышке, но не все догадываются, что заболевание связано с обменом веществ. Признаки подагры описывались еще во времена Гиппократа и тогда заболевание называли болезнью королей. В наши дни симптомы болезни не изменились – все так же мучаются люди от солей мочевой кислоты, откладывающихся в суставах.
Как выглядит подагра
Симптомы подагры (см. фото 2) проявляются как приступ артрита. В основном это касается одного сустава. Первые признаки проявляются покраснением кожи, ее лоском. Боль начинается неожиданно, в основном ранним утром. Также признаки подагры проявляются появлением на конечностях своеобразных наростов, причина которых кроется в устойчивом уровне мочевой кислоты, которая откладывается на любых органах и суставах организма.
Появляется хруст, движения сковываются; может произойти полная потеря пораженным суставом работоспособности. Общие симптомы подагры: заметное воспаление сустава, покраснение, температура в пораженном месте заметно выше. Симптомы у женщин в основном можно наблюдать в периоды наступления менопаузы.
Тофусы при подагре
Тофусы при подагре (см. фото 3) появляются при относительно длительном заболевании. Они еще называются подагрическими узлами – под кожей появляются бугры. Большое скопление солей организм принимает за инородное тело, вырабатывая лейкоциты. Тофусы часто лопаются и на коже можно заметить беловатую пыль. Подагра у мужчин наблюдается чаще, в основном в возрасте 40 лет. Как выглядит подагра и даже ощутить ее, мужчины могут и намного раньше: этому способствуют нагрузки, неправильное питание, алкоголь, злоупотребление мясными продуктами. Симптомы подагры у женщин очень редко можно заметить, при норме эстрогенов, даже учитывая все провоцирующие факторы.
Подагра на ногах
Подагра на ногах (см. фото 4) в основном обозначена выпирающей косточкой. Это относится к очень серьезным заболеваниям. Подагра на ноге очень широко распространена среди любого слоя населения, никто от нее не застрахован. По статистике, это заболевание на ногах встречается у 80% населения, любящих посидеть за кружечкой пива. Так же признаки подагры на ноге могут появиться, если употреблять значительное количество продукции, богатой пурином.
Читайте также:
Что применить при приступе подагры
Подагра на пальце ноги
Подагра большого пальца ноги часто называется подагрическим артритом. Сустав опухает, вырастает шишка. Подагра на пальце ноги (фото 5) доставляет массу неудобств: от ношения обуви до сильных болей. В период обострения требуется обеспечение полного покоя, постельного режима. Эта болезнь большого пальца имеет пагубные последствия: полное разрушение устава. Заболевание может иметь приступы, длящиеся несколько дней.
Подагра на руках
Подагра руки выражена отечностью, опухолью и постоянной болью в области суставов. Подагра на руках (фото 6) может локализоваться в лучезапястном суставе, локтевом, на пальцах. Конечность теряет привычную подвижность, появляется хруст. В области локтя она может распространяться отечностью мягких тканей, как в верхней части, так и в нижней. Подагра лучезапястного сустава довольно часто вызывает изменение цвета кожного покрова всей кисти.
Подагра голеностопного сустава
Данный вид встречается намного реже. Это вязано с тем, что заболеванию подвержены в основном мелкие суставы. Подагра голеностопного сустава (фото 7) часто выражена отечностью, вздутием мягких тканей, полностью весь сустав поражается нечасто. Почти всегда подагра ног вызывает дикую боль среди ночи. У женщин она вызывает меньшую боль и ее часто можно спутать с артрозными болями.
Как выглядит подагра стопы
Подагра стопы (см. фото 8) сопровождается постоянными болями. Деформация суставов вызвана недостаточностью кровообращения ног. Именно поэтому подагра не наблюдается у людей, находящихся в постоянном движении и что такое подагра они могут никогда так и не узнать. Как выглядит подагра стопы можно обнаружить по результатам снимков, так как могут быть поражены полностью все суставы и общие наружные признаки, кроме боли, могут не наблюдаться.
Подагра на пальцах рук
Подагра на пальцах рук (см. фото 9), особенно у женщин, выглядит крайне непривлекательно: опухшие покрасневшие суставы часто деформируются, что приводит к искривлению пальцев. Симптомы подагры на руках видны довольно отчетливо, так как основная физическая нагрузка приходится именно на них. Данная болезнь на пальцах рук почти всегда приводит к полному разрушению суставов и потере трудоспособности.
Подагра на пятке
Подагра на пятке (на фото 10) выражена жгучей болью, сравнимой с воткнутой иголкой. Если нет полученных травм, то это вполне может оказаться именно она. Самостоятельным лечением от проблемы не избавиться. Следует отметить, что подагра у мужчин в области пятки возникает значительно реже, нежели у дам.
Это связано с модным увлечением пользоваться высоким каблуком, вызывающим значительные перегрузки. Только на рентгеновских снимках можно увидеть, как выглядит подагра пятки, так как отложения происходят под толстым слоем кожи, а снаружи может присутствовать опухоль, краснота.
Галерея фотографий подагры на ногах
- Как начинает развитие процесс патологии, и каковы его причины
- Как происходят изменения в организме при подагре
- Симптоматические проявления данного заболевания
- Проведение диагностических методов
- Основные и дополнительные средства лечения
Как начинает развитие процесс патологии, и каковы его причины
Подагра на пальце ноги
Отложение солей мочевой кислоты в нижней конечности может появляться на пальце, вызывая, при этом начало развития воспалительного процесса в этой области. Поражаться могут все суставные соединения верхних и нижних конечностей. Но воздействие постоянных нагрузок, приходящихся на ноги, вызывает, чаще всего дополнительное реагирование окружающих тканей при уратных скоплениях и усиление чувствительности именно в пальцах. Поэтому формирование подагры на ноге имеет больше шансов на появление именно в этом месте.
Главной причиной начала развития данного заболевания выступает нарушение обменных процессов в организме. Его могут активировать такие факторы:
-эндокринные изменения (сахарный диабет), нарушения липидного обмена;
-почечная недостаточность;
-возрастные изменения, приводящие к повышению синтеза мочевой кислоты в организме.
Воспалительный процесс инфекционного происхождения, постоянная внутренняя микротравматизациия, присутствие длительных физических нагрузок, проведенная хирургическая операция на локальном уровне усложняет развитие данной патологии.
Дисбалансное изменение продукции мочевой кислоты может появляться в результате нарушения генетического контроля Х-хромосомы. Этот механизм патологического процесса определяет преимущественность заболеваемости этим заболеванием мужчин.
Как происходят изменения в организме при подагре
Самостоятельно болезнь развивается длительный период времени (в течение нескольких лет). Может иметь острые симптоматические проявления, которые происходят при остром развитии болезни в сочетании с артритом. Проявления дискомфорта может отмечаться приступообразно и иметь различные временные интервалы. Обострение хронического течения отмечается в осенний и весенний периоды. Поражаться патологическими изменениями может одна конечность, а может и две конечности одновременно.
Обострение хронического течения
Данное состояние является следствием основной причины – изменений в почках, которые в норме должны отвечать за выведение мочевой кислоты из них. Отложение солей этой мочевой кислоты вызвано непосредственно гиперурикемией. Если рассматривать заболевание почек, как первичное, результатом которого становится подагра на ногах, то данная патология обусловлена нарушением пуринового обмена который возникает вследствие генетических отклонений, нарушений в рационе питания (жирная, жареная еда, избыточное употребление яиц, мяса птиц, молодой говядины и др.). К факторам, предрасполагающим к возможному развитию данной патологии, следует также отнести злоупотребление алкоголем, длительное применение мочегонных средств, токсическая нагрузка на печень от приема лекарственных препаратов.
Читайте также:
Чем снять приступ подагры форум
Симптоматические проявления данного заболевания
Начало патологии, вызванной нарушением обмена веществ (конечного продукта пуриновых оснований) может не иметь никаких признаков. Повышение биохимических показателей начинает появляться постепенно. Отмечаются первичные симптомы в виде беспричинной слабости, ухудшения функциональной работы почек, в утренние часы у пациентов могут отмечаться отеки под глазами.
Подагра на пальце ноги появляется после того, как происходит кристаллизация скопившихся солей натрия в области соединения пальца.
Объем увеличивается постепенно. Когда присутствует воспаление местного характера, то возможно повышение температуры тела и местных кожных покровов в острый период, с покраснением. Ощущения в области зоны поражения проявляются в виде тупой неприятной боли. Пациенты часто жалуются на покалывание в этом месте. Появление узелковых образований говорит о том, что процесс может быть уже на стадии перехода в хроническое течение. Данные уплотнения кристаллов мочевой кислоты могут быть единичными, а могут быть и множественными. Тяжелое течение имеет симптомы гипертонии, артралгии, почечных колик.
Проведение диагностических методов
Перед тем как начинать проводить лечение подагры на ногах, необходимо установить диагностическими методами причину и степень поражения сустава.
Виды исследования
| Лабораторное исследование | Полученные данные |
| Кровь | Увеличение объема мочевой кислоты в кровяных клетках, повышение лейкоцитов, СОЭ. При изменении липидного обмена в кровяных клетках могут увеличиваться триглицериды |
| Моча | Суточная доза мочи содержит показатель, превышающий уровень 0,3 ммоль/литр, снижение плотности состава мочи |
| Синовиальное содержимое сустава | Жидкость вязкая, с признаками цитоза, обнаружение кристаллов мочевой кислоты в виде образований |
| Биопсия узелковых отложений | Установление присутствия кристаллов мочевой кислоты |
| Инструментальное исследование | |
| Ультразвуковое исследование почек | Определение уратных конкрементов |
| Рентгенография сустава | Изменения хрящевой поверхности на фоне сужения суставной щели |
как выглядит подагра на ногах
Визуальный осмотр позволяет установить, как выглядит подагра на ногах. Увеличение костного соединения пальца ноги у каждого отдельного пациента будет иметь различные размеры и деформации суставной поверхности. Когда появляются первые признаки данного заболевания (дискомфорт, ноющие боли) внешне не происходит никаких изменений. Вот именно в этом периоде становится возможным лечение подагры большого пальца ноги, чтобы достичь удовлетворительных терапевтических результатов. А, когда происходят сложные деформирующие изменения, пациент уже предъявляет жалобы на тяжесть при ходьбе, на усиление интенсивности суставного синдрома, тогда при подагре на пальце ноги, лечение является единственным спасением, но возможности восстановления будут уже не полными.
Основные и дополнительные средства лечения
Продукт распада в данной патологической ситуации является причиной состояния пациента, при котором появляется подагра большого пальца ноги, лечение при этом должно быть направлено на то, чтобы помочь организму справится с первопричиной. Дополнительно применяются обезболивающие и противовоспалительные средства. Наибольшего эффекта можно достичь, если подагра большого пальца стопы в лечении медикаментами будет дополнена проведением физиотерапевтическими процедурами и правильно подобранным диетическим питанием.
Основой терапевтического плана должно быть уменьшение концентрации мочекислых соединений урикозурическими средствами. Снижение процесса синтеза конечного продукта белкового обмена в человеческом организме, корректируется урикодепрессивными препаратами.
Длительность терапии может достигать нескольких лет, в тяжелых случаях для постоянного поддержания регулирования почек может быть пожизненной.
Присутствующие липидные нарушения так же должны корректироваться. В период обострения пациенту рекомендуется соблюдение полного покоя. Острые состояния могут купироваться проведением интенсивной терапии.
Противовоспалительная терапия в больших дозировках применяется для купирования острого приступа болевых атак. Стандартная терапевтическая норма применяется, в том случае, когда при диагностическом определении установлено воспалительное течение патологии. Снижение процесса может быть достигнуто только при общем комплексе терапевтического эффекта от фармацевтического действия препаратов, снижающих содержание мочевой кислоты и уратных солей.
Под медицинским контролем проводится снижение артериального давления. Объясняется это тем, что большинство лекарств, контролирующих гипертензию, содержат компоненты с мочегонным действием, а при учете сочетающейся патологии почек не все препараты могут быть разрешены для применения в данном случае. Их подбор будет зависеть от состояния функционирования почек.
Рацион питания составляется с ограничением поступления продуктов, содержащих пурины, пища должна быть малокалорийной.
Иногда происходит такой вариант течения, когда необходимо пункционное вскрытие содержимого, чтобы снизить боль, так проходит атипичная подагра на большом пальце ноги, лечение должно проводиться с освобождением патологического содержимого из соединяющей зоны. Данная процедура может выполняться только в стационарных условиях с соблюдением стерильности. Установленное присоединение формы полиартрита может проводиться в общем лечении суставов ног, подагра может, при этом не иметь проявления суставного синдрома.













