Рак плевры
Рак плевры — злокачественная опухоль париетального или висцерального листка серозной оболочки легких. Рак плевры характеризуется быстрым прогрессированием: ранним возникновением болей, накоплением экссудата в плевральной полости, нарастающей одышкой.
Для выявления и гистологического подтверждения рака плевры проводится рентгенологическое обследование, УЗИ плевральной полости, диагностическая пункция, биопсия плевры, прескаленная биопсия, торакоскопия, цитологическое исследование плеврального выпота, морфологический анализ биоптата.
Лечение рака плевры требует проведения плеврэктомии или плевропульмонэктомии, дополненных лучевой терапией и химиотерапией.
Злокачественные опухоли, поражающие плевру, по своему происхождению могут быть первичными и вторичными. К первичным злокачественным поражениям плевры в пульмонологии относят мезотелиальные опухоли, с преобладанием фиброзного (саркома плевры) или эпителиального компонента (рак плевры).
В некоторых случаях встречаются опухоли смешанного строения, содержащие элементы саркомы и рака (саркокарциномы). По типу роста первичный рак плевры делится на локализованный и диффузный. Гистологически рак плевры представлен различными вариантами мезотелиомы.
Первичный рак плевры составляет 0,3% в структуре всей онкопатологии; с одинаковой частотой встречается у мужчин и женщин.
Вторичный рак плевры имеет метастатический характер. Чаще всего в плевру метастазирует рак легких, яичников, молочной железы, щитовидной железы.
Причины рака плевры
Установлено, что более 70% случаев рака плевры этиологически связано с вдыханием асбестовой пыли. Особенно вредным считается контакт с такими разновидностями асбеста, как кроцидолит, хризолит и амозит.
Рак плевры может развиваться через 30-40 лет после контакта с асбестом, поэтому, несмотря на действующие сегодня серьезные законодательные ограничения по применению асбеста, до сих пор встречаются мезотелиомы плевры, обусловленные воздействием данного производственного фактора.
К категории риска относятся лица, занятые в горнодобывающей, строительной, текстильной промышленности, судостроении.
Встречающийся в большинстве случаев диффузный рост мезотелиомы обусловливает ее распространение по плевре и лимфатическим путям с образованием множественных узлов, утолщающих плевральные листки. Диффузный рак плевры рано поражает висцеральный и париетальный листки, вызывая их сращение и облитерацию плевральной полости на протяженном участке.
При отсутствии облитерации в плевральной полости развивается серозный плеврит — накапливается серозный экссудат, который в результате десквамации эпителия и повреждения мелких сосудов быстро приобретает геморрагический характер.
При распространении рака плевры по междолевым щелям происходит вовлечение в процесс внутригрудной фасции, ребер и межреберных мышц, пищевода, позвонков, брюшины.
Классификация рака плевры, согласно системе TNM, предусматривает выделение стадий:
- Тх – Т0 – отсутствие признаков первичного рака плевры
- Т1 – распространенность опухоли ограничена париетальной плеврой
- Т2 – поражение париетальной, диафрагмальной, медиастинальной и висцеральной плевры, прорастание рака плевры в легкое или диафрагму
- ТЗ – прорастание рака плевры в ребра, внутригрудную фасцию, перикард, мышцы грудной стенки, медиастинальную клетчатку, органы средостения
- Т4 – распространение рака плевры на плевру и легкие с противоположной стороны, брюшину, органы брюшной полости, ткани шеи, позвоночник. Рак плевры неоперабелен.
- Nx — N0 – отсутствие данных за регионарные метастазы рака плевры
- N1 – метастазирование рака плевры в перибронхиальные узлы или лимфоузлы корня легкого на стороне, соответствующей поражению
- N2 — метастазирование рака плевры в лимфоузлы средостения и бифуркации трахеи на стороне, соответствующей поражению
- N3 — метастазирование рака плевры в лимфоузлы (средостения, корня легкого, подключичные и др.) с противоположной стороны.
- Мх – М0 — отсутствие данных за отдаленные метастазы рака плевры
- Ml – обнаружение отдаленных метастазов рака плевры в различных органах.
Симптомы рака плевры
Рак плевры имеет стремительное течение и обычно в течение нескольких месяцев приводит к летальному исходу.
Ранними клиническими проявлениями рака плевры служат боль на пораженной стороне грудной клетке при дыхании, сухой кашель, субфебрилитет. Боли имеют упорный ноющий, часто мучительный характер, могут иррадиировать в надплечье, лопатку. При сдавлении грудной симпатической цепи развивается синдром Горнера (птоз, миоз, энофтальм, слабая реакция зрачка на свет, дисгидроз).
Рак плевры протекает с быстрым и постоянным накоплением экссудата в плевральной полости, что приводит к нарастанию одышки. При торакоцентезе ощущается плотная утолщенная плевра; экссудат имеет геморрагический характер и после удаления быстро скапливается снова. При цитологическом анализе плеврального выпота в нем обнаруживаются атипичные клетки.
Развиваются проявления, обусловленные компрессией органов средостения, в частности синдром верхней полой вены. При раке плевры быстро прогрессируют общая слабость, анемия и кахексия.
Клиника вторичного рака плевры схожа с таковой при мезотиелиоме плевры: отмечаются боли на стороне поражения, накопление геморрагического экссудата, одышка.
Все эти проявления усугубляются симптомами первичного ракового процесса.
Выявление рака плевры основана на сопоставлении данных анамнеза, клинической картины, рентгенологических, эндоскопических, цитологических и морфологических исследований. При подозрении на мезотелиому плевры первостепенное значение приобретает уточнение профессионального анамнеза, а именно — контакта с асбестсодержащими продуктами.
Рентгенография легких выявляет бугристое неравномерное утолщение плевры (очаговое или диффузное), множественные узлы по периферии легочных полей.
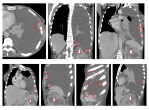
Компьютерную томографию легких (МРТ, ПЭТ) применяют для уточнения локализации и распространенности рака плевры, обнаружения инфильтрации грудной клетки, поражения легкого, медиастинальных лимфоузлов, перикарда, противоположного легкого.
При проведении УЗИ плевральной полости выявляется плевральный выпот, а при его отсутствии — бугоркообразное утолщение плевры. Под контролем УЗИ выполняется диагностическая плевральная пункция и трансторакальная пункционная биопсия плевры.
В ряде случаев цитологическое исследование плеврального выпота и морфологическое исследование биоптата позволяют подтвердит диагноз рака плевры.
Прицельная биопсия и визуальный осмотр плевры осуществляется в процессе диагностической торакоскопии (плевроскопии).
Бронхоскопия может применяться для исключения рака бронхов, подтверждения асбестовой интоксикации с помощью проведения бронхоальвеолярного лаважа и обнаружения асбестовых частиц в смывах с бронхов.
Дифференциальный диагноз рака плевры проводится с опухолями грудной стенки, осумкованным плевритом, доброкачественными опухолями плевры, периферическим раком легкого, метастазами опухолей из отдаленных органов.
Лечение рака плевры
При поражении париетальной плевры производится плеврэктомия, а в случае поражения висцеральной плевры – плевропульмонэктомия. Эти виды операций нередко сочетаются с резекций пораженных органов (диафрагмы, перикарда, ребер и т. д.), с послеоперационной химиотерапией и облучением. Однако даже радикальная операция, как правило, сопровождается непродолжительным успехом лечения.
В большинстве случаев, ввиду поздней диагностика рака плевры и обширности поражения, радикальная операция бывает невыполнима, поэтому проводится полихимиотерапия и лучевая терапия.
К инновационным методам лечения рака плевры, не получившим пока широкого распространения, относят генную терапию, фотодинамическую терапию и иммунохимиотерапию.
Прогноз и профилактика рака плевры
Исход рака плевры неблагоприятен: большинство пациентов погибает в течение нескольких месяцев с момента установления диагноза. Раннее мультимодальное лечение рака плевры, включающее плевропневмоэктомию с химиотерапией и постоперационным облучением, позволяет достичь пятилетней выживаемости у 17-25% пациентов.
Главной мерой профилактики мезотелиомы плевры является исключение контакта с асбестом и использование в производстве альтернативных материалов. Также в рекомендации пульмонологов входит отказ от курения и проведение ежегодного скрининга населения (флюорографии).
Источник: https://www.krasotaimedicina.ru/diseases/zabolevanija_pulmonology/pleural-cancer
Опухоли плевры | Лечение болезни в Израиле
Плевра – это серозная оболочка, которая покрывает грудную клетку изнутри и выстилает наружную поверхность легких. Именно благодаря данной ткани легкие без затруднений скользят по поверхности грудной клетки, и человек не испытывает дискомфорта. Также, благодаря плевре, поддерживает постоянное давление, облегчающее вдох.
Как и все другие органы, плевра подвержена риску развития опухолей.
Классификация опухолей плевры
Если говорить об опухолях данной локализации, то , учитывая частоту их возникновения, необходимо провести дифференцировку новообразований сразу по нескольким критериям.
- Первичные опухоли
- Вторичные опухоли
Первичные опухоли
Они развиваются именно из той ткани, что образует плевральные листки или в расположенных рядом органах и своим ростом, так или иначе влияют на плевру.
- Опухоли и тканей, входящих в состав органов грудной клетки (фибромы, остеомы, хондромы, ангиомы, саркомы) ничем не отличаются от аналогичных опухолей другой локализации. Просто к их клиническим проявлениям добавляются симптомы вовлечения в процесс плевральных листков.
- Мезотелиомы – именно они являются истинными первичными опухолями плевры. В зависимости от того, какая ткань преобладает составе опухоли, выделяют мезотелиомы эпителиальные и фиброзные. Если ткани представлены опухоли примерно равными долями, то она считается смешанной.
- Опухоли мезотелиального происхождения злокачественной природы также подразделяются на:
- рак – если большинство клеток представлено эпителиальным компонентом;
- саркомы – преобладает соединительнотканный компонент;
- карциносаркома – и эпителий, и соединительная ткань представлены в равных долях.
Вторичные опухоли
Так называют те новообразования, которые развились в результате распространения метастазов по организму и каким-то образом «осели» в плевре. Данные опухоли называются метастатическими. На себя они обращают внимание в результате тех нарушений дыхательной функции, что развиваются при их росте.
Прогноз в случае данных новообразований неблагоприятный, поскольку у пациентов с отдаленными метастазами основная опухоль успевает принести много вреда. Лечение, как правило, сводится к устранению опасных для жизни осложнений и носит паллиативный характер.
Причины развития опухолей плевры
Данные новообразования в этом плане практически не отличаются от всех опухолей и провоцируются теми же факторами.
- Воздействие неблагоприятных факторов окружающей среды (повышенный радиационный фон, химические канцерогены в воздухе, пищевые добавки и консерванты и т.д.).
- Вредные привычки (курение, злоупотребление алкоголем).
- Наследственная предрасположенность.
- Частые воспалительные заболевания плевры и легких.
- Заболевания, сопровождающие дефицитом иммунной системы.
Клинические проявления опухолей плевры
Если опухоль имеет небольшие размеры, то клинических проявлений ее практически нет. Что значительно затрудняет своевременную диагностику. В других же случаях пациенты предъявляют примерно одинаковые жалобы.
- Нарушение дыхания, проявляющееся одышкой, затруднением вдоха.
- Кашель – результат раздражения рецепторов на поверхности плевры.
- Боль в груди в зоне расположения опухоли. Они не связаны с дыханием и беспокоят пациента на протяжении длительного времени.
- Повышение температуры тела – появляется при бурном росте опухоли и развитии воспалительной реакции.
- Боли при дыхании, напоминающие такие при сухом плеврите, являются признаком метастатического поражения плевры.
- Постепенно нарастающая одышка, усиливающая в вертикальном положении тела – следствие накопления в плевральной полости экссудата.
- Межреберная невралгия – следствие сдавливания межреберных нервов.
- Боль в области плеча – специфический признак для опухолей, располагающихся в районе купола легких.
Диагностика опухолей плевры в Израиле
Прежде всего, врач обязан опросить пациента и выявить все его жалобы, а также собрать тщательный анамнез заболевания. После этого становится понятно, какие методы диагностики будут наиболее информативными у данного пациента.
- Общий осмотр, пальпация, перкуссия и аускультация – наши опытные специалисты уже на основании лишь этих простейших и доступных каждому методов способны заподозрить у пациента рак и примерно определить локализацию очага, а также его размеры.
- Рентгенологическое исследование органов грудной клетки – позволяет обнаружить изменения в плевре и легких, а также определить смещение органов грудной клетки, которое происходит при бурном росте достаточно большой опухоли.
Иногда опухоль плевры может иметь достаточно длинную ножку и располагаться между долей легкого. На снимке это будет выглядеть, как периферический рак легкого. Именно поэтому наши специалисты всегда внимательны и не ограничиваются лишь одним исследованием.
- Ультразвуковое исследование позволяет оценить толщину плевральных листков, обнаружить там жидкость и узнать примерный ее объем.
- Компьютерная томография дает хорошую картинку, на которой прекрасно видна опухоль, ее размер и форма. Также можно оценить состояние соседних органов и тканей.
- Пункция плевральной полости с целью удаления накопившейся там жидкости носит не только лечебный характер, но служит и для диагностических целей. Цитологическое исследование жидкости позволяет обнаружить в ней атипичные клетки.
- Биопсия опухоли и гистологическое исследование полученного материала. Фрагмент ткани получается при помощи специальной иглы, которая вводится в межреберный промежуток и продвигается до очага. После врачи извлекают из нее столбик ткани, которого достаточно для диагностики. Именно этот метод позволяет установить точный диагноз, на основании которого и проводится лечение.
Лечение опухолей плевры в Израиле
В случае вторичных метастатических опухолей не приходится говорить о радикальном лечении. Таким пациентам проводится паллиативная терапия для облегчения состояния и обеспечения настолько высокого качества жизни, насколько это возможно. В случае же с первичными опухолями все зависит от того, какая это опухоль.
- Доброкачественные опухоли плевры
- Злокачественные опухоли плевры
Доброкачественные опухоли плевры
Их лечат только хирургическим путем. Новообразования, как правило, имеют капсулу и хорошо отграничены от окружающих тканей. Это позволяет провести их полное удаление без нанесения пациенту серьезной операционной травмы. Хирурги стремятся удалить все элементы опухоли, поскольку даже одна клетка может впоследствии размножится и образовать новый очаг, который придется снова удалять.
Также пациент должен понимать, что даже доброкачественное новообразование способно осложниться кровотечением, привести к серьезному нарушению дыхания или переродиться в злокачественное. Поэтому, если наши специалисты рекомендуют удалить очаг, то нужно прислушаться к их мнению.
Злокачественные опухоли плевры
Эта патология отличатся быстрым прогрессированием, ранним метастазированием и агрессивностью. Поэтому, необходимо максимально быстро приступать к лечению.
Хирургическое лечение проводится по всем канонам абластики и антибластики. Удаляется плевра, часть легкого или все легкое при необходимости. Также хирурги убирают регионарные лимфатические узлы с клетчаткой. Специалисты используют самую современную технику, что позволяет наносить пациенту наименьшую травму из возможных.
Химиотерапия проводится цитостатическими препаратами, которые позволяют уменьшить размер опухоли и убить те клетки, что успели покинуть первичный очаг. Наши специалисты подбирают препараты таким образом, что организм пациента получает наименьшую нагрузку, а побочные эффекты менее выражены.
Обращайтесь за помощью к лучшим специалистам Израиля, и Вы получите все необходимое для того, чтобы достойно бороться с болезнью.
Источник: https://hospital-israel.ru/onkologiya/opuxoli-plevry/
Рак плевры легкого: основные симптомы, причины возникновения, лечение, продолжительность жизни и прогноз
Рак плевры (мезотелиома) носит злокачественный характер. Опухоль отличается агрессивным развитием и рано дает метастазы. Развитие онкологической патологии в легком сопровождается выраженной отдышкой и интенсивными болями. При мезотелиоме прогноз крайне неблагоприятный: продолжительность жизни у 90% пациентов составляет 10-15 недель.
Особенности рака плевры
Рак плевры — злокачественная опухоль, прорастающая из тканей париетального и висцерального листка легкого. Опухоль этого типа встречается редко. Рак плевры диагностируется у 15-20 мужчин на миллион человек, у женщин — 3 на миллион. У последних прогноз более благоприятный, чем у первых. Лучшие показатели выживаемости демонстрируют некурящие женщины младше 55 лет.
В группу риска развития рака плевры входят пожилые люди. Рост новообразования не обусловлено генетической предрасположенностью.
Рак плевры бывает первичным и вторичным. В зависимости от характера роста опухоль подразделяется на локализованную и диффузную. Первичный тип встречается редко: новообразование диагностируется у 0,3% пациентов с онкологическими заболеваниями.
Вторичный тип рака развивается из-за метастазирования других опухолей. Злокачественные клетки проникают в плевру с окружающих органов и тканей (имплантационный путь), через кровеносную (гематогенный) или лимфатическую (лимфогенный) системы.
Классификация
Рак плевры классифицируется по размерам и локализации опухоли, количеству уплотнений (такое деление применяется в отношении вторичного новообразования), стадии развития, наличию/отсутствию метастаз.
В отдельную группу выделяют мезотелиомы в зависимости гистологического строения. По этому показателю опухоль бывает эпителиодного (встречается у 50-70% пациентов), мешанного (20-25%) и саркоматозного (7-20%) типов.
Развитие мезотелиомы проходит в течение нескольких стадий, характеризующимися собственными клиническими признаками:
- Стадия 0 (Тх-Т0). Рост раковой опухоли не сопровождается симптомами.
- Стадия 1 (Т1). Злокачественные клетки распространяются по тканям париетальной плевры.
- Стадия 2 (Т2). Раковая опухоль поражает ткани диафрагмальной, медиастинальной, париетальной и висцеральной зон. На этом этапе возможно прорастание мезотелиомы в легкое.
- Стадия 3 (Т3). Раковая опухоль распространяется на ткани медиастинальной клетчатки, внутригрудной фасции, перикарда, мышцы грудной стенки и в межреберное пространство.
- Стадия 4 (Т4). Злокачественные клетки поражают противоположную сторону легких и проникают в отдаленные органы и ткани. На этой стадии рак плевры неоперабелен.
Тактика лечения мезотелиомы зависит от текущей стадии развития опухолевого процесса.
Ввиду того что рак плевры растет стремительно, временной промежуток между Т1 и Т4 редко превышает 1 год.
Причины
Установлена взаимосвязь между ростом рака плевры и вдыханием асбестовой пыли. Этот фактор вызывает появление опухоли у 70% пациентов. Особенно опасен контакт с кроцидолитом, амозитом и хризолитом.
Асбестовая пыль не сразу провоцирует трансформацию клеток. Злокачественные опухоли развиваются в течение 20-50 лет после контакта с раздражителем. В группу риска возникновения мезотелиомы входят лица, работающие в горнодобывающей, строительной и иных сферах промышленности, в которых используется асбест.
К числу возможных причин развития рака плевры относится курение и вирус SV40. Последний ранее входил в состав вакцины против полиомиелита.
Развитие опухоли сопровождается образованием множественных узлов, которые поражают листки легкого. Последние из-за воздействия злокачественных клеток сращиваются между собой, что вызывает облитерацию плевральной полости.
В отсутствии указанного процесса происходит накопление серозного экссудата (возникает серозный плеврит).
Симптомы
В отличие от других раковых опухолей при мезотелиоме выраженные симптомы возникают рано. На начальных стадиях развития новообразования пациента беспокоят ноющие и постоянные боли при дыхании. Дискомфорт ощущается со стороны пораженного легкого.
Со временем болевой синдром иррадирует в надплечье и лопатку. В этот период развиваются миоз, птоз, а зрачки перестают нормально реагировать на свет (синдром Горнера).
По мере накопления серозного экссудата и роста опухоли легкое смещается в сторону. Из-за этого нарушается проходимость в бронхах, что проявляется в виде одышки и непродуктивного кашля. Развитие опухолевого процесса приводит к смещению трахеи в другую сторону. Серозный экссудат приобретает геморрагический характер, из-за чего после удаления жидкости последняя быстро возвращается.
Смещаясь, легкое сдавливание ткани и органы, расположенные в грудной клетке. Это приводит к развитию синдрома верхней полой вены. Также компрессия провоцирует тахикардию (учащенный пульс) и появление сгустков крови в отделяемой при кашле жидкости.
Развитие опухолевого процесса также сопровождается ухудшением общего состояния пациента, резким снижением массы тела, повышением температуры. Из-за смещения трахеи возникают проблемы с проглатыванием пищи.
Характер клинической картины при вторичном раке плевры дополняется симптомами, которые определяются в зависимости от расположения других опухолей.
Диагностика
При подозрении на мезотелиому важным диагностическим мероприятием считается составление анамнеза. Первые предположения о характере опухоли врач выдвигает, если пациент заявляет о наличии контактов с асбестом в прошлом.
Рак плевры диагностируется на основании результатов, полученных в ходе комплексного обследования. Рентгенография грудной клетки позволяет выявить опухоль, расположение и характер новообразования.
Компьютерная томография назначается для более детальной оценки мезотелиомы. С помощью КТ уточняется степень распространенности рака. Эту процедуру дополняет МРТ, посредством которого удается выявить наличие метастаз в соседние ткани и органы.
Более точные результаты дает биопсия плеврального выпота (плевроскопия). После процедуры материал подвергается морфологическому исследованию, с помощью которого выявляется раковая опухоль.
Мезотелиому дифференцируют с новообразованиями в бронхах. Для этого назначается бронхоскопия и бронхоальвеолярный лаваж (помогает выявить частицы асбестовой пыли).
Лечение
Лечение при мезотелиоме преимущественно комплексное, в состав которого чаще включают хирургическое вмешательство. Однако даже правильно подобранная терапия не способна оградить пациента от рецидивов.
При локализованных опухолях применяется плевропневмоэктомия. К этому методу прибегают редко ввиду низкой результативности. В ходе плевропневмоэктомии хирург удаляет пораженное легкое, часть тканей перикарда и дифрагмы. Прогноз выживаемости в первые 2 года после такого вмешательства составляет 85-90%.
Более эффективным методом лечения считается экстраплевральная пневмоэктомия (ЭЭП). Такая операция отличается малой травматичностью. При ЭЭП врач удаляет пораженную часть париетальной плевры и ткани легкого, в которые распространились злокачественные клетки. После операции у 98% пациентов снижается объем серозного экссудата и исчезают симптомы раковой опухоли.
Чтобы улучшить состояние пациента и облегчить развитие новообразования, назначается лучевая терапия. Метод помогает восстановить глотательную функцию, снять болевые ощущения и подавить сильную одышку. Однако лучевая терапия не способна приостановить развитие опухолевого процесса. Поэтому продолжительность жизни после такого лечения не меняется.
При неоперабельных раках плевры (на 4 стадии развития) применяется тальковый плевдорез. Этот метод паллиативной терапии предусматривает удаление части серозного экссудата, который накапливается в плевральной полости. Тальковый плеводрез эффективен в 80-100% случаев.
При фиксированном коллапсе легкого или обширном распространении раковых клеток показано шунтирование. Процедура дает положительный результат в 95% случаев.
Химиотерапия при мезотелиоме применяется как отдельно, так и в составе комплексного лечения. Современные технологии позволяют оказывать таргетированное воздействие на раковую опухоль.
Для этого вводятся в плевральную полость препараты, с помощью которых снижается объем серозного экссудата.
При эпителиальном раке плевры и в отсутствии метастазов химиотерапия дает положительные результаты. Продолжительность жизни пациентов при таких условиях составляет 5 лет.
К числу менее распространенных методов лечения мезотелиомы относится фотодинамическая терапия. Последняя дает множество побочных эффектов.
Иногда в состав комбинированного лечения включают иммунотерапию, которую сочетают с внутриплевральной химиотерапией. Положительный исход такого вмешательства наблюдается в 55% случаев.
Среди современных методов лечения рака плевры выделяется генная терапия. Способ предусмаривает вакцинацию пациентов против вируса CV-40.
При неоперабельном раке плевры назначается прием обезболивающих и иных препаратов, снижающих интенсивность общей симптоматики.
Прогноз
Прогноз при раке плевры крайне неблагоприятный вне зависимости от способов лечения. Большинство пациентов погибает в течение нескольких месяцев после обнаружения опухоли в легком. Столь высокая смертность объясняется ранним метастазированием мезотелиомы.
Комбинированное лечение, сочетающее хирургическое вмешательство, лучевую и химиотерапию, дает положительные результаты в 17-25% случаев. При неоперабельном раке плевры полное восстановление пациента невозможно.
Профилактика
В целях профилактики развития мезотелиомы необходимо исключит контакт с асбестовой пылью. Для этого необходимо сменить профессиональную сферу деятельности. Данный способ позволяет предотвратить появление раковой опухоли в плевре в 70% случаев.
Лицам, которые прошли вакцинацию против полиомиелита в 60-х годах прошлого века, рекомендуется регулярно проводить обследование легочной ткани на предмет выявления новообразований.
Профилактика рака — это комплексный процесс. Чтобы снизить вероятность образования мезотелиомы, необходимо отказаться от курения, нормализовать режим сна и бодрствования, придерживаться здорового образа жизни и избегать переутомления. Соблюдение этих мер позволяет повысить шансы на выживаемость пациентов с раком плевры.
В целях профилактики развития новообразований рекомендуется регулярно (раз в год) делать флюроографию легких. Одновременно с этим следует скорректировать ежедневный рацион в пользу правильного питания.
Рак плевры — это злокачественное новообразование, отличающееся стремительным развитием. Пациенты с мезотелиомой живут не более одного года после выявления опухоли. Новообразование рано дает метастазы в соседние и отдаленные ткани. Лечение мезотелиомы обычно комбинированное, предусматривающее удаление пораженной области и легкого, а также сочетание лучевой и химиотерапии.
Источник: https://onkologia.ru/onkopulmonologiya/rak-plevry/
Редкие опухоли плевры
А. В. Богданов, В. Д. Стоногин, С. А. Макарова
3-я кафедра клинической хирургии (заведующий – профессор Тимофей Павлович Макаренко) Центрального института усовершенствования врачей на базе Центральной клинической больницы МПС(нач. В.Н. Захарченко), Москва, Россия.
Публикация посвящается памяти Василия Дмитриевича Стоногина (1933-2005)
RARE PLEURAL TUMOURS
A. V. Bogdanov, V. D. Stonogin, K. A. Makarova
Summary
Over a period of 20 years the authors had to deal with 12 cases of pleural tumours, this representing but 2.2% of the total number of patients with tumours of the lungs.
Among patients under observation 8 had malignant mesothelioma, 2 — benign mesothelioma, 1- teratoma and yet another one — reticulosarcoma. Five patients were operated upon and in the remaining ones the diagnosis was confirmed at autopsy.
The Clinical picture of pleural tumours is described, diagnostic difficulties are underlined and the authors' personal clinical observation presented.
Первичные, опухоли плевры встречаются довольно редко. Так, по данным Б. М. Сергеева, на материале Института грудной хирургии АМН СССР, среди 1639 больных с патологией лёгких наблюдалось всего 7 с первичными опухолями плевры, причем доброкачественная опухоль имела место лишь у 1 больного. Сообщения других авторов включают 1-2 наблюдения опухолей плевры (П. И. Шамарин; Г. В. Шор, и др.).
В Центральной клинической больнице МПС за 20 лет (с 1948 по 1968г.) наблюдалось 12 больных с опухолями плевры.
В 3-й хирургической клинике Центрального института усовершенствования врачей с 1954 по 1968 г. было произведено 224 операции по поводу опухолей лёгких и 5 (2,2%) по поводу опухолей плевры.
В настоящее время все первичные опухоли плевры принято подразделять на 2 группы в зависимости от того, какая ткань является источником опухолевого роста (родоначальником опухоли): 1) мезенхимальные, если источником роста её служит субмезотелиальный слой плевры, и 2) мезотелиальные, когда таковым является мезотелий, соединительнотканная строма плевры и её сосуды, т.е. элементы мезодермы. Первые, как правило, доброкачественные, вторые чаще бывают злокачественными.
У наблюдавшихся нами больных ретикулосаркома была у 1, тератома — у 1, доброкачественная мезотелиома — у 2, злокачественная мезотелиома — у 8 человек.
Больная Ц., 56 лет, поступила в клинику 1.VII.1968 г. с жалобами на боли в правой половине грудной клетки, сухой кашель, одышку в покое, усиливающуюся при ходьбе. Больна в течение 11 лет. Впервые в 1957 г.
в правом нижнем лёгочном поле у неё была обнаружена овальной формы тень, которую тогда трактовали как осумкованный плеврит. Была проведена противовоспалительная терапия. С 1957 г. больше не лечилась.
Состояние больной постепенно ухудшалось и особенно заметно в по¬следние месяцы, появились слабость, быстрая утомляемость, усилилась одышка.
При поступлении общее состояние больной удовлетворительное, правильного телосложения, пониженного питания, отмечаются цианоз губ, одышка в покое — 22 дыхания в 1 минуту. В акте дыхания правая половина грудной клетки отстает. Перкуторно над всем правым лёгким звук резко притуплен, слева ясный лёгочный звук. Аускультативно справа дыхание ослаблено, слева везикулярное.
На рентгенограмме диффузное затемнение почти всей правой половины грудной клетки (рис. 1), за исключением небольшого участка верхней доли.
Рисунок 1 — Рентгенограмма грудной клетки больной Ц. в прямой проекции. Диффузное затемнение почти всей правой половины клетки.
Правый купол диафрагмы не дифференцируется. Верхняя граница затемнения представлена довольна четкой вогнутой линией. С внутренней стороны дополнительная тень сливается с тенью средостения.
При бронхоскопии обнаружено, что промежуточный бронх и его ветви оттеснены кнутри, к средней линии.
Слизистая оболочка бронхиального дерева не изменена, устья сегментарных бронхов справа сближены между собой.
На скеннограмме, выполненной после внутривенного введения макроальбумина, меченного I131, определяется нормальное накопление изотопа в левом лёгком и резкое уменьшение в правом, где он почти совсем не накопился, имеется лишь небольшой участок радиоактивности в виде полосы шириной 6-7см (рис. 2).
Рисунок 2 – Скеннограмма лёгких той же больной. Уменьшение накопления изотопа в правом лёгком.
По скеннограмме создается впечатление, что лёгкое поджато каким-то образованием. При исследовании функции внешнего дыхания обнаружено, что все лёгочные объемы снижены до 40-50% от должных. Анализы крови, мочи, биохимические показатели без значительных отклонений от нормы.
На основании анамнеза, данных клинического обследования, рентгенографии, бронхологического исследова¬ния, а также сцинтиграфии высказано предположение о наличии у больной доброкачественной опухоли плевры.
8.VIII.1968 г. под эндотрахеальным наркозом с раздельной интубацией бронхов произведена правосторонняя торакотомия в шестом межреберье из бокового доступа (проф. В.Л. Маневич). Обнаружена большая опухоль, исходящая из париетальной плевры и оттесняющая лёгкое к средостению. Опухоль выделена из сращений и удалена, вес ее 4кг 500 г (рис. 3).
Рисунок 3 — Макропрепарат опухоли, удаленной у той же больной. Размер 30*24см.
Рисунок 4 — Микропрепарат той же опухоли. Переплетающиеся пучки соединительнотканных и мышечных волокон зрелого вида.
Послеоперационный период протекал без осложнений. Больная выписана из клиники через 4 недели после операции в удовлетворительном состоянии.
Данное наблюдение иллюстрирует длительный рост тератомы плевры, однако, несмотря на это, опухоль не перешла в злокачественную.
По данным литературы (А. И. Абрикосов; И. В. Давыдовский; П. Массой, и др.), доброкачественные мезотелиомы чаще возникают из париетальной плевры и локализуются справа. У наших 2 больных доброкачественная мезотелиома исходила из парие¬тальной плевры и в обоих случаях находилась слева.
Эти опухоли, как правило, сопровождаются резкими болями в грудной клетке. До операции правильный диагноз удается поставить лишь после пункции опухоли и последующего цито- и гистологического исследования полученного материала. В обоих наших наблюдениях диагноз был поставлен во время операции, в результате которой оба больных выздоровели.
Злокачественные или диффузные мезотелиомы (рак плевры) встречаются редко (их отношение к опухолям легких — 1:1000) и наблюдаются одинаково часто как справа, так и слева и у мужчин, и у женщин. Одна из характерных особенностей злокачественной мезотелиомы — инфильтрирующий рост с образованием папиллярных структур и быстрое лимфогенное распространение.
Процесс, как правило, сопровождается фибринозно-геморрагическим выпотом, а париетальная плевра значительно утолщается, приобретая свойства ригидного каркаса. Наиболее частым кли¬ническим признаком злока¬чественной мезотелиомы является боль на стороне поражения, которая возникает довольно рано. Несколько реже наблюдаются одышка, приступы удушья.
Но все эти и другие симптомы характерны для терминального периода развития первичного рака плевры. Большое значение в постановке диагноза злокачественной мезотелиомы имеют данные цитологического исследования плевральной жидкости. Но и этот метод дает положительные результаты лишь у 20-30% больных (В. М. Сергеев).
Аналогично было в одном из наших наблюдений.
Больной П., 62 лет, поступил в клинику 24.V.1968 г. с жалобами на боли в правой половине грудной клетки, сухой кашель, одышку.
Впервые стал отмечать боли в грудной клетке 5 месяцев назад, затем к ним присоединились одышка, быстрая утомляемость.
Был диагностирован экссудативный плеврит и проведено лечение пункциями, антибиотиками, однако улучшения не наступило. Через 2 месяца больной был направлен в нашу клинику.
При поступлении кожные покровы и видимые слизистые оболочки бледной окраски. Перкуторно справа спереди от IV ребра до ключицы определяется тимпанит, в подлопаточной области — выраженная тупость.
Дыхание справа не выслушивается. При рентгенографии грудной клетки в правой плевральной полости обнаружено большое количество жидкости с горизонтальным уровнем.
Лёгкое коллабировано полностью, средостение заметно не смещено (рис. 5).
Рисунок 5 — Рентгенограмма грудной клетки больного П. в прямой проекции, В плевральной полости большое количество жидкости. Средостение не смещено.
При рентгенографии после пункции обнаружено, что количество жидкости в правой плевральной полости значительно уменьшилось, но легкое остается коллабированным, средостение не изменило своего положения. 28.V.1968 г.
произведена поднаркозная диагностическая бронхоскопия, во время которой началось профузное кровотечение из бронхов правого лёгкого и больной погиб.
На вскрытии в правой плевральной полости обнаружено около 300мл кровянистой жидкости. Вся париетальная плевра резко утолщена, местами до 1см, плотна, желтоватого цвета, хрящевой плотности. Правое лёгкое уменьшено в объеме, расположено у корня, покрыто белесоватой плеврой, ткань легкого темно-синего цвета, на разрезе безвоздушна.
Анатомический диагноз: мезотелиома плевры справа с резким утолщением париетальной плевры; компрессионный ателектаз правого лёгкого. Микропрепарат (рис. 6): в плевре правого лёгкого резко выраженный склероз, утолщение её и круглоклеточная инфильтрация; среди этой ткани беспорядочное разрастание атипичных клеток в виде тяжей и небольших полей.
Рисунок 6 — Микропрепарат плевры того же больного. Среди фиброзной стромы тяжи опухолевых округлых клеток. Мезотелиома плевры.
При злокачественной мезотелиоме, когда процесс еще не зашел слишком далеко, единственно радикальным методом лечения является хирургический.
Рекомендуется париетальная плеврэктомия, которая считается более радикальной, если одновременно производится ещё и пневмонэктомия.
Таким образом, злокачественные и доброкачественные первичные опухоли плевры встречаются очень редко, диагностика их возможна, но она трудна.
В сомнительных случаях необходимо шире прибегать к диагностическим пункциям, торакоскопии с последующей биопсией, а в некоторых — и к диагностической торакотомии.
Только данные цито- и гистологического исследования, полученного при всех этих диагностических процедурах материала, позволят поставить правильный диагноз.
ЛИТЕРАТУРА
1) Абрикосов А. И. Частная патологическая анатомия. М.- Л., 1947, т. 3.
2) Давыдовский И. В. Арх. пат. анат., 1940, т. 6, в. 3, с. 3.
3) Сергеев В. М. Патология и хирургия плевры. М., 1967.
4) Шамарин П. И. Клин, мед., 1958, №4, с. 48.
5) Шор Г. В. Первичный рак бронхов, лёгких и плевры в патологоанатомическом отношении. Дисс. СПб., 1903.
6) Массой П. Опухоли человека. М., 1965.
Данные об авторах:
| Аркадий Васильевич Богданов — доцент 2-й кафедры хирургии ЦОЛИУв, кандидат медицинских наук. |
| Василий Дмитриевич Стоногин – доцент 2-й кафедры хирургии ЦОЛИУв, заведующий учебной частью кафедры, кандидат медицинских наук. E-mail: svas70@mail.ru |
Восстановление текста, компьютерная графика — Сергей Васильевич Стоногин.
Любое копирование материала запрещено без письменного разрешения авторов и редактора.
Работа защищена Федеральным законом о защите авторских прав РФ.
Источник: http://www.rusmedserv.com/misc/redkie-opuholi-plevry.html
Поделиться:



