Полное удаление бактерий и бактериальных токсинов в ходе механической и медикаментозной обработки системы корневых каналов является ключевым фактором для достижения успеха эндодонтического лечения. Использование лишь принципов механической обработки, как правило, оказывается недостаточным для того, чтобы очистить все ответвления и анатомические вариации каналов, и одна треть их длины остается нетронутой, даже несмотря на все передовые технологии в области эндодонтического инструментария. Таким образом, логично, что механическая обработка должна всегда сопровождаться химически активной ирригацией антибактериальными растворами. Механические эффекты орошения состоят в удалении микроорганизмов и биопленки, дентинного дебриса, ткани пульпы и продуктов инструментального препарирования, в то время как химическое действие направлено на растворение остатков мягких тканей и смазанного слоя, а также на ликвидацию бактерий и продуктов их жизнедеятельности. Химических эффектов ирригации возможно достичь лишь при использовании химически активных веществ.
Гипохлорит натрия (NaOCl) на сегодняшний день является наиболее распространенным ирригационным раствором, так как соответствует большинству требуемых критериев. В современной стоматологической практике для ирригации корневых каналов используются различные концентрации NaOCl: от 0,5% до 6%. Антибактериальный эффект и функции растворителя NaOCl проявляются быстрее при более высоких концентрациях. Известно что 5,25% раствор NaOCl достаточно эффективен, для того чтобы ликвидировать бактерии, обычно присутствующие в канале, однако эта же концентрация является довольно токсичной и провоцирующей раздражение. 0,5% концентрации раствора NaOCl достаточно, чтобы растворить некротические ткани, но такая концентрация, напротив, неэффективна в отношении Staphylococcus aureus. Токсичность NaOCl обусловлена высокой щелочностью раствора (рН 10.8-12.9) и его гипертоничностью. Данные характеристики вызывают окисление протеин-липидных мембраны, некроз и гемолиз, вплоть до образования язв при попадании на кожу. Среди возможных осложнений при использовании гипохлорита натрия следует отметить изменение цвета тканей, травмирование глаз при контакте с раствором, возможные заапикальные экструзии ирриганта, возникновение эмфиземы и аллергических реакций.
Заапикальные экструзии ирриганта происходят в случаях чрезмерного давления при промывании раствором или при заклинивании ирригационной иглы в корневом канале во время эндодонтической обработки. Выведения гипохлорита за верхушку чаще всего происходит в зубах с большим апикальным отверстием или при отсутствии апикального сужения вследствие резорбции корня. Общие симптомы в таком случае таковы: боль, отеки, кровоподтеки, кровотечение и аллергические реакции.
Цель данной статьи состоит в описании разрушительного воздействия раствора NaOCl на мягкие ткани после его экструзии при эндодонтическом лечении и анализе причин такого негативного воздействия с помощью дентальной объемной томографии (dental volumetric tomography — DVT).
Клинический случай
56-летняя пациентка с ничем не примечательной историей болезни обратилась в клинику с жалобами на отек, кровоподтек и боль на левой стороне лица. Из анамнеза стало известно о повторном эндодонтическом лечении верхнего первого левого премоляра, которое проводилось 10 дней назад, и за которым следовало второе посещение к тому же врачу на следующий день. В ходе первого визита пациентка почувствовала легкий отек, который исчез спонтанно через несколько часов после приема. На втором посещении лечение пришлось прекратить из-за сильной боли и кровотечения, возникшего из корневого канала во время ирригации. Для предотвращения кровотечения использовали лишь ватный тампон, размещенный в полости корневого канала, без каких-либо иных дополнительных средств. Было назначено еще одно посещение для завершения лечения. Несколько часов после процедуры пациентка заметила припухлость в области щеки, но не связалась со своим доктором по этому поводу. Тем не менее, отек на лице значительно усугубился в течение последующих 24 часов, и стоматолог общего приема направил пациентку на обследование в нашу клинику.
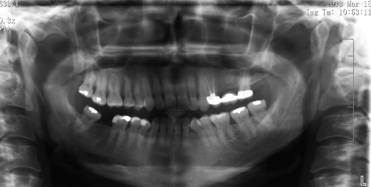
Примерно через 48 часов после инцидента при внеротовом обследовании был выявлен значительный отек мягких тканей, проходящий от левой подглазничной области к краю нижней челюсти. Также наблюдались кровоподтек в подглазничной области и незначительное посинение около носогубной складки (фото 1). При обследовании полости рта не было идентифицировано никаких признаков изъязвления слизистой, как и признаков некроза. Проблемный зуб, который подвергался лечению, был чувствителен к вертикальной и горизонтальной перкуссии. На ортопантомограмме были обнаружены признаки предыдущего эндодонтического лечения с просветлением в области верхушки корня (фото 2).
Фото 1: Подглазничный кровоподтек и незначительное посинение в области носогубной складки.
Фото 2: Ортопантомограмма, на которой были обнаружены признаки предыдущего эндодонтического лечения и просветление в области верхушки корня.
Полость корневых каналов промыли физиологическим раствором и восстановили зуб с помощью материалов для временного пломбирования. Чтобы предотвратить риск инфекции, в течение трех дней внутримышечно пациентке вводили клиндамицин (600 мг дважды в день), и также назначили ибупрофен (400 мг) для купирования боли, который она принимали по мере необходимости. Экстренное наружное использование холодных компрессов в первый день сменили на теплые компрессы во второй день для лечения отека. На первом повторном визите отмечалось увеличение кровоподтека, хотя припухлость значительно уменьшилась (фото 3). Отек и кровоподтек постепенно исчезали в течение всего периода наблюдения, а на 10 день после процедуры у пациентки исчезли все беспокоившие ее симптомы (фото 4). Для оценки соотношения между зубом, альвеолярным отростком и верхнечелюстной пазухой была проведена дентальная объемная томография (dental volumetric tomography — DVT) (NewTom 3G, QR SRL, Верона, Италия). На DVT-изображении было обнаружено, что апекс щечного корня перфорирует кортикальную пластинку верхнечелюстной кости, создавая, таким образом, свободный путь для проникновения ирригационного раствора в мягкие ткани (фото 5 (а) и фото 5 (б)). Через 10 дней симптомы полностью исчезли. В то же время в корневой канал наложили повязку с гидроксидом кальция. Во время заключительного посещения примерно через 4 недели после предыдущей процедуры корневые каналы запломбировали материалом AH Plus (Dentsply Maillefer) и гуттаперчей (фото 6).
Читайте также:
Первая мед помощь при ожогах кислотами и щелочами
Фото 3: Увеличение кровоподтека при повторном визите.
Фото 4: Отсутствие симптомов через 10 дней после инцидента.
Фото 5: (а) Изображение 3D и (б) коронарный вид DVT показали, что верхушка щечного канала перфорирует кортикальную пластинку верхней челюсти.
Фото 6: Рентгенограмма приблизительно через 4 недели после пломбирования корневых каналов.
Обсуждение
Эффективная ирригация при химико-инструментальной обработке корневых каналов играет решающую роль для будущего успеха эндодонтического лечения. Ирригация с использованием NaOCl позволяет удалить биопленку и устраняет большинство патогенных микроорганизмов, благодаря окислительным, гидролитическим и осмотическим свойствам гипохлорита. Тем не менее, высокие концентрации NaOCl могут привести к серьезным повреждениям тканей. Точное определение рабочей длины эндодонтических инструментов имеет решающее значение для предотвращения подобных нежелательных последствий. Для этого следует пользоваться преимуществами рентгенографии как на этапах работы, так и на этапах диагностики. Использование апекс-локаторов в свою очередь только способствует точности определения рабочей длины. С целью снижения риска возникновения осложнений также следует пользоваться стопперами на ирригационных иглах, применять низкое давление при ирригации, перемещать иглу взад-вперед в процессе промывания канала, использовать латерально-перфорированные эндодонтические иглы, а также низкие концентрации раствора NaOCl в процессе лечения.
В случае апикальной экструзии ирриганта пациент, как правило, ощущает приступ внезапной и сильной боли, после чего могут возникнуть припухлости, гематомы и кровоподтеки. Экструзию в полость верхнечелюстной пазухи можно заподозрить в случае, когда пациент жалуется на привкус хлора, а также на раздражение горла. В процессе разрушения тканей сильная боль сменяется чувством постоянного дискомфорта. Образование апикального абсцесса вызвано выведением контаминированного материала и NaOCl в область периапикальных тканей. Некроз слизистой и долгосрочные парестезии также являются возможными осложнениями. Связь между количеством или концентрацией раствора гипохлорита, выведенного за верхушку корня, и тяжестью поражения мягких тканей до сих пор не доказана. С другой стороны, отек и кровоподтеки возникают из-за тесного контакта сосудистых структур и области апикальной экструзии раствора. Даже если начальное кровотечение прекращается, площадь кровоподтеков продолжает увеличиваться за счет увеличения непрерывного интерстициального отека. В данном случае увеличение кровоподтека при первом контрольном назначении можно объяснить именно вышеизложенным фактом.
В случае заапикальной экструзии NaOCl для облегчения болевых ощущений нужно провести местную анестезию и обильно промыть каналы с помощью физиологического раствора. Также должны быть предприняты меры для того, чтобы успокоить пациента и убедить его или ее в том, что данное осложнение поддается простому лечению. Приоритет в лечении нужно отдать купированию боли, уменьшению отека и предотвращению возможного вторичного инфицирования. Пациенту нужно назначить холодные компрессы в течение первых нескольких дней, после чего заменить их на теплые для рассасывания отека мягких тканей и ликвидации гематомы. Анальгетики следует назначать для послеоперационного купирования боли. Экструзия бактерий и бактериальных токсинов вместе с NaOCl в периапикальные ткани, кроме некроза подкожной клетчатки, может вызвать также вторичную инфекцию. Поэтому назначение соответствующих антибиотиков является очень важным аспектом. Для профилактики аллергических реакций можно назначить антигистаминные препараты.
Хирургическое вмешательство может быть рассмотрено только в некоторых случаях, в зависимости от уровня повреждения тканей и ответной реакции на проводимое лечение. Целью хирургического вмешательства является декомпрессия отека, достижение легкого дренажа, а также улучшение общего прогноза лечения. Гематома, как и область инфицирования, могут быть не ограничены пределами четких анатомических границ, поскольку NaOCl вызывает прогрессирующий лизис тканей и распространяется в свободной плоскости. Большинство пациентов испытывают облегчение через несколько дней после возникновения отека, кровоподтека, гематомы, паралича или редкого вторичного инфицирования. Долгосрочные парестезии, шрамы и эстетические дефекты могут возникнуть лишь в некоторых случаях. Есть данные и о неврологических повреждениях в связи с экструзией NaOCl в окружающие мягкие ткани. В данном клиническом случае не наблюдалось ни остаточных дефектов тканей, ни неврологических нарушений.
Большинство случаев выведения NaOCl за верхушку корня возникают вследствие неправильного определения рабочей длины инструмента, чрезмерного расширения апикального отверстия, боковых перфораций, заклинивания иглы в корневом канале или же вертикальных переломов корня. Деструкция альвеолярной кости в периапикальной области из-за присутствующих хронических инфекций, как и использование высокого давления во время инъекции только способствуют процессу экструзии NaOCl-ирриганта в окружающие мягкие ткани. В ходе анализа 23 случаев определено, что 18 пациентов были женщинами, а остальные 5 – мужчинами, 20 инцидентов случилось на верхней челюсти, и только 3 на нижней. Это можно объяснить тем, что зубы нижней челюсти расположены в центре более плотной кортикальной кости по сравнению с верхними зубами. Тонкий слой кортикальной пластинки внешне ограничивает область щечного корня премоляра верхней челюсти и остальных коренных зубов. Таким образом, зубы верхней челюсти более предрасположены к экструзии NaOCl в окружающие мягкие ткани по сравнению с зубами нижней челюсти. Behrents и коллеги также сообщили, что экструзия гипохлорита натрия возможна и при обработке корней второго премоляра верхней челюсти. На изображениях конусно-лучевой компьютерной томографии (КЛКТ) видно, что в данном клиническом случае верхушка щечного корня перфорировала кость верхней челюсти. Также в данном случае изображения DVT продемонстрировали, что существующая ранее периапикальная хроническая инфекция, как и перфорация верхнечелюстной кости верхушкой щечного корня, способствовали экструзии NaOCl. Кроме того, более чем вероятно, что врач применял избыточное давление при манипуляциях с ирригационной иглой или же иглу заклинивало в корневом канале, что также негативно повлияло на будущий прогноз неадекватной обработки канала. Более того, следует помнить, что в сомнительных случаях начальная томография может помочь определить возможные факторы риска, способствующие экструзии NaOCl.
Читайте также:
Ожог возникает от непосредственного воздействия высокой температуры
Некоторые пациенты могут быть более чувствительны к NaOCl, чем другие. Этот аспект следует принимать во внимание еще во время сбора анамнеза. Пациент до начала лечения должен быть опрошен относительно любого дискомфорта, вызванного NaOCl, используемого в быту в процессе отбеливания или хлором при занятиях в бассейне. Если в анамнезе присутствует чувствительность к ирриганту, использования NaOCl следует избежать, или же доказать, что чувствительности относительно гипохлорита на самом деле не существует. Дерматологические тесты для определения чувствительности к NaOCl доступны с целью применения врачами-стоматологами. Если проведение сенситивного тестирования является невозможным и в анамнезе присутствуют факты чувствительности к ионам гипохлорита, для проведения терапии следует использовать ирриганты на основе хлоргексидина или этилендиаминтетрауксусной кислоты (ЭДТА).
Zhu и коллеги в своем обзоре указали на то, что появление кровоподтека после экструзии NaOCl соответствует ходу поверхностной венозной сосудистой сетки. Таким образом, проявление экхимоза в подглазничной области в данном случае было предвиденным, учитывая вышеприведенный факт. Степень кровоподтека определяется рядом факторов, среди которых количество и концентрация NaOCl, поступающего в венозный комплекс, и специфическая топография венозных элементов и смежных мягких тканей.
После анализа литературы становится очевидным то, что количество данных об экструзии NaOCl весьма ограничено, несмотря на то, что, согласно данным Behrents и коллег, миллионы процедур эндодонтической терапии с использованием NaOCl в качестве ирриганта выполняются в течение одного года. Авторы связывают такую несоответственность с рядом условий, которые предрасполагают к образованию кровоподтека после выведения NaOCl за верхушку корня. Во первых, апикальное отверстие причинного зуба должно быть открытым в области периапикальных тканей. Также должны существовать анатомические предрасположения для дренажа NaOCl непосредственно в систему передних вен лица, что приведет к подкожному кровотечению. Давление, создаваемое ирригантом в апикальной области, должно превышать уровень венозного давления в поверхностных венах шеи для проникновения в них раствора гипохлорита. Эти факторы нужно учитывать в ходе эндодонтической терапии, чтобы предотвратить серьезные повреждения, вызываемые экструзией NaOCl.
Экструзия NaOCl может вызвать целый ряд проблем: от изменения цвета одежды при попадании на нее до серьезных осложнений, требующих хирургического вмешательства. Тщательное внимание к деталям и следование алгоритму правильной ирригации являются ключевыми факторами для предотвращения неожиданных и неприятных случаев во время обработки каналов. Шприцы, как и контейнеры, содержащие гипохлорит натрия, должны быть маркированы с целью профилактики случайных инъекций NaOCl в мягкие ткани вместо раствора анестетика. Еще лучше, чтобы картриджи для анестетиков никогда не наполняли ирригационными растворами. В любом случае экструзии NaOCl в перирадикулярную область нужно принять меры, чтобы успокоить пациента и обеспечить соответствующее лечение для купирования боли. Целесообразно использовать передовые методы воспроизведения изображений, которые позволяют трехмерно визуализировать зону поражения и помогают выявить истинную причину инцидента.
Авторы: Elif Delve BaGer Can, Meric KarapJnar KazandaL, Rabia Figen Kaptan
Понятие гипохлоритовая авария
Полное удаление микроорганизмов и их токсинов является ключом к успеху эндодонтического лечения. Гипохлорит натрия (NaOCl) — антисептик, наиболее часто применяющийся для промывания корневых каналов. Это недорогой раствор, который показывает высокую эффективность в элиминации микробов. NaoCl окисляет и гидролизует клеточные белки. Раствор растворяет некротические ткани, гной, остатки пульпы из просвета канала. Однако, не следует забывать, что случайная экструзия раствора гипохлорита за верхушку апекса корня зуба может вызвать грозное осложнение из-за специфических цитотоксических свойств антисептического раствора. Цитотоксические свойства раствора прямо пропорциональны его концентрации. Осложнение получило название «гипохлоритовая авария» из-за внезапности появления симптомов и стремительного развития. В литературе описаны тяжелые случаи выведения NaOCl в периапикальные ткани, так же известны случаи выведения гипохлорита в в верхне-челюстной синус, а также случаи развития аллергических реакций при попадании на слизистую оболочку полости рта.
Читайте также:
Оперативное лечение ожогов на это
Симптоматика гипохлоритовой аварии
При выведении гипохлорита натрия за верхушку корня в ткани периодонта пациент чувствует острую зубную боль, происходит резкое и внезапное нарастание отека прилегающих тканей. Отек, в зависимости от локализации зуба, может распространяться на щечную, подбородочную, шейную, околоушную области. Появляется синюшность кожи лица в области отека. При пальпации зоны отёка ощущается крепитание воздуха, так как является подкожной эмфиземой.
При возникновении гипохлоритовой аварии необходимо срочное оказание помощи во избежании более грозных осложнений, которые могут появится позже.
Причины аварии: предшествующее ортодонтическое лечение, широкое апикальное отверстие, деструктивный процесс в области апекса, а также деструкция корня. Чрезмерное расширение верхушечного отверстия. Налчие боковых перфораций стенок корневых каналов. Промывание каналов с большим давлением и нарушение техники антисептической обработки. Статистически при лечении зубов верхней челюсти данное осложенения встречается чаще.
Профилактика осложнения: тщательно собрать анамнез, проведение рентгенологичекого обследования с целью выявления деструктивных процессов, измерение рабочей длины корня зуба с помощью апекс-локатора, проведение антисептической обработки без давления (нажимать на поршень эндодонтического сприца целесообразно указательным пальцем), во время обработки производить движения шрицом возвратно-поступательных с целью снижения давления в канале. Введение эндодонтической иглы на 2-3 мм меньше рабочей длины. При появлении болей сразу прекращать проведения процедуры.
Возможные последствия гипохлоритовой аварии: неврологические нарушения, а именно — парестезии, ишемии.
Лечение гипохлоритовой аварии
Прекратить антисептическую обработку, дать вытечь излишков раствора и крови из канала для снижения давления в периапиальных тканях. Промыть канал физраствором. Нельзя промывать перекисью водорода! Провести аспирацию антисептического раствора с помощью нового эндодонтического шприца. Успокоить больного, убедить его в неопасности данного состояния (большинство аварий разрешаются без последствий и причиняют лишь временный косметический дефект). Приложить компресс со льдом, обезболить (инфильтрационное обезболивание артикаином с адреналином). Канал запломбировать временным кальцийсодержащим пломбировочным материалом под повязку. Назначить НПВС (кеторолак, кетопрофен, нимесил или др), антибиотики при риске присоединения вторичной инфекции, антигистаминные препараты, местно — компрессы со льдом.
Клинический случай гипохлоритовой аварии
43-летняя женщина без аллергии и с историей остеоартрита, остеопороза и синдрома Гилберта обратилась в стоматологическую клинику для лечения передних зубов верхней челюсти. Во время осмотра в полости рта был обнаружен свищ, выбухавший на слизистой оболочки полости рта в области левого верхнего центрального резца, размер 0,5 см, мягкой эластичной консистенции. Пациент сообщил об эпизоде внезапной острой боли и появлении отёка в области верхней губы во время предыдущей обработки корневых каналов 2.1 зуба, которая была проведена в январе 2008 года. Во время этой процедуры раствор NaOCl, используемый для орошения корневых каналов, был экструдирован в смежные ткани, вероятно, из-за резорбции корня апикальной области, апикального отверстия большого диаметра или имело место непреднамеренное выведение через апекальное отверстие (концентрация раствора, калибр и длина ирригационной иглы остаются неизвестными). Немедленно стоматолог провёл обильное промывание стерильным физраствором, ввёл одну внутримышечную дозу диклофенака натрия (Voltaren® 75 мг, Novartis, Барселона, Испания) и назначал амоксициллин и клавулановую кислоту 875/125 мг (Augmentine® 875 / 125 мг, GlaxoSmithkline, Мадрид, Испания) по 1 таблетке каждые 8 часов в течение 7 дней. В последующие дни боль уменьшалась, хотя отёк сохранялся в течение 2 недель (рис. Novartis, Barcelona, Spain).
Рисунок 1
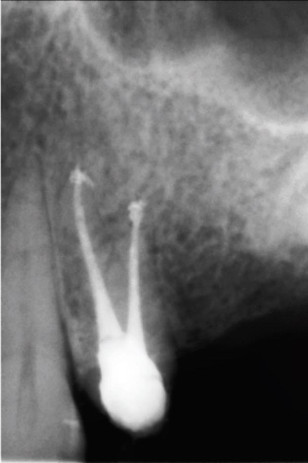
Отчет о заболевании nº1. (A) Боковой вид пациента через 6 дней после экструзии гипохлорита натрия левого верхнего центрального резца. (B) Периапикальная рентгенография пораженного резца с периапикальными рентгеноконтрастными областями, через 1 год после экструзии гипохлорита натрия.
Через четыре недели после аварии была завершена аппаратура корневого канала, проведено орошение стерильным солевым раствором, а канал был запломбирован гуттаперчей методом латеральной конденсацией с использованием герметика корневого канала AH Plus ™ (Dentsply DeTrey, Konstanz, Германия).
Через год после аварии, пациентка предъявляла жалобы на постоянную боль в верхушечной области пораженного резца, усиливающуюся при жевательной нагрузке. (рис. 1 ). Для решения этого осложнения была предложена периапикальная хирургия, но пациентка отказалась от дополнительных процедур и хотела удалить зуб. Таким образом, была проведена стоматологическая экстракция с последующим гистологическим исследованием ассоциированного поражения.
Во время удаления зубов наблюдалась апикальная резорбция корня, а также дефект щечной кости. После устранения периапикального поражения стоматолог удалил остатки материала, выведенного за верхушку корня зуба в процессе лечения. В анатомо-патологическом исследовании выявлена фиброзная ткань, фибромический материал.
Пациентка жаловалась на стойкую парестезию, расположенную в левой носогубной области, которая сохранялась во время ее последнего визита, через 2 года после лечения и через 9 месяцев после удаления зуба.








