Нет доминантного фолликула: что делать и почему отсутствует, что значит когда не определяется и не созревает, каковы причины и какое лечение
Фолликул – это яйцеклетка, окутанная одним слоем эпителиальных клеток и двумя слоями, состоящими из соединительной ткани. Его задача в том, чтобы создать необходимые условия для созревания готовой к оплодотворению яйцеклетки. Если фолликул не выйдет из яичника, зачатия не случится.
Процесс развития
Женский организм устроен таким образом, что уже при рождении в яичниках у девочек имеется множество фолликулов. Часть из них рассасывается еще в утробе под воздействием гормональной системы матери. Другая часть их погибает, когда девочка достигает возраста от 7 до 10 лет.
Оставшиеся фолликулы будут зреть в процессе овуляции в течение всего женского репродуктивного срока, начиная с периода полового созревания.
Процесс созревания начинается в первой фазе менструального цикла: гормональная система женщины создает специальный гормон, который запускает рост фолликулов (ФСГ). В первые дни их около 10 штук, бывает несколько меньше: 7-8.
Они начинают расти одновременно, увеличиваются в размерах, однако потом их развитие останавливается – это так называемая атрезия. Дело в том, что на этом этапе один из фолликулов опережает в росте все остальные, и вырабатывает больше эстрогена. А когда растет количество этого гормона, производство ФСГ прекращается, и другие фолликулы начинают регрессировать.
Таким образом, до конечной стадии доходит только один. Его рост увеличивается ежедневно на 2мм, в последней стадии его размер будет равен 21-22мм.
Что это значит?
Доминантный фолликул – это тот единственный созревший фолликул из всех, что начали развиваться в первой фазе менструального цикла, у некоторых почти созревает на 10 день.
Он ежедневно растет, а в тканях яичника при этом формируется полость, внутри которой находится жидкость. Это – граафов пузырек, в нем растет и плавает до начала овуляции доминантный фолликул. Диаметр пузырька достигает до 2 см.
Доминанта в процессе развития производит все больше эстрогена, в итоге его высокая концентрация вызывает ответ со стороны организма женщины – происходит резкий выброс лютеотропина. И фолликул разрывается, а яйцеклетка, которая росла в нем, выходит в маточную трубу, готовая к оплодотворению.
После разрыва доминанта становится желтым телом – железой, которая занимается активной выработкой прогестерона. А этот гормон, в свою очередь, готовит эндометрий матки к тому, чтобы в него имплантировался эмбрион.
Почему отсутствует?
Когда доминанта не появляется, у женщины не происходит овуляция, и беременность невозможна. Причины этой патологии следующие:
- персистенция;
- киста яичника;
- «спящие» яичники;
- нарушения в развитии доминанты.
Персистенция
Когда в организме недостаточно прогестерона и лютеотропина, фолликул, приняв нужный размер, не может разорваться и выпустить яйцеклетку. В таком случае он называется персистирующим, а патология – персистенцией. Признаки у нее такие:
- за маточной полостью нет жидкости;
- количество эстрогена очень высокое;
- а количество прогестерона – слишком низкое;
- желтое тело не развивается.
ВНИМАНИЕ! При персистенции доминанта остается на яичнике в течение всего менструального цикла, а иногда ее могут зафиксировать даже после конца цикла. Таким образом, организм как будто бы готов к овуляции, но она никак не наступает.
Когда фолликул не может разорваться и выпустить яйцеклетку, а вместо этого продолжает расти, он превращается в кисту на яичнике. Эта киста — доброкачественное образование, которое возникает из-за гормонального сбоя.
Риск ее возникновения повышают и такие факторы, как:
- хронические болезни органов малого таза;
- частые аборты;
- операции мочеполовой сферы;
- неправильный рацион.
Подобное нарушение влияет на менструальный цикл женщины, сказываясь на его продолжительности и регулярности. Таким образом, киста мешает созданию нового доминантного фолликула. Однако в лечении она нуждается редко, и обычно сама проходит в течение двух, иногда – трех, циклов.
«Спящие» яичники
В этом случае речь идет о дисфункции яичников, при которой фолликулов просто нет, никаких. Они вообще не растут. И овуляция никогда не наступает.
Не созревает по другим причинам
Нарушения развития — это патология, при которой фолликулы останавливаются на какой-то из стадий развития и внезапно начинают регрессировать. Доминанта при этом образоваться может, однако нужного размера к моменту овуляционной фазы не достигнет.
ВАЖНО! При нарушениях в развитии гормональный анализ не показывает никаких патологий, полностью соответствуя норме.
Если возникло подозрение на то, что доминанта отсутствует, нужно обратиться к доктору и пройти ряд обследований. После этого будет установлена причина патологии и назначено необходимое лечение. Самолечением заниматься не следует, чтобы не усугубить состояние.
В больнице врач проведет осмотр на гинекологическом кресле. И поскольку самой часто причиной отсутствия доминанты является гормональный сбой, назначит анализ крови на гормоны.
Причем — на разных этапах цикла, потому что для формирования доминанты в каждой фазе нужно разное количество гормонов. А доктору надо знать, на каком этапе и каких именно гормонов недостаточно.
Также назначают фолликулометрию — процедуру, которая включает УЗИ-диагностику в течение всего цикла. Это позволяет отследить работу яичников в каждой фазе.
Кроме того, доктор обратит внимание и на продолжительность цикла, поскольку если он длиннее или короче нормы – это признак нарушения овуляции.
ВНИМАНИЕ! Цикл, когда доминанта не формируется, несколько раз в год случается и у абсолютно здоровых женщин. Это нормально, и означает, что организм как бы отдыхает.
Профилактические меры направленны на то, чтобы поддержать процесс создания фолликулов и предотвратить нарушения в работе яичников.
Они включают:
- отказ от курения, алкоголя, наркотиков;
- полноценную сексуальную жизнь с регулярными половыми контактами;
- активный образ жизни, полноценный рацион;
- по возможности, избегание стрессов и чрезмерных физических нагрузок;
- принятие мер защиты от ЗППП;
- исключение абортов;
- контроль за уровнем гормонов в крови.
И в обязательном порядке необходимо регулярно проходить профилактический осмотр в женской консультации.
Какое назначают лечение?
Поскольку чаще всего причина отсутствия доминантного фолликула в гормональном сбое, лечение назначают с помощью гормональных препаратов. График их приема составляет врач в зависимости от того, насколько насыщен эстрогенами организм женщины.
За неделю до менструации могут назначить прогестерон в виде 1%-ого раствора, инъекционно. Чтобы стимулировать яичники на рост и развитие фолликулов, врачи рекомендуют эстрогенные лекарства, такие как Эстрадиол или Гексэстрол. Однако самостоятельно начинать гормональное лечение нельзя – это еще больше усилит гормональный сбой.
Кроме того, при необходимости доктор может назначить лечение воспалительных заболеваний моче-половой сферы.
В заключение можно добавить, что здоровый образ жизни – лучшая профилактика проблем с овуляцией. А если же отсутствие доминантного фолликула уже диагностировано, не стоит отчаиваться: современная медицина способна помочь в выздоровлении.
Источник: https://mirmamy.net/planirovanie/folliculus/net-dominantnogo-chto-delat.html
Нет доминантного фолликула в яичниках: почему он не растет и не созревает
Зачатие происходит благодаря овуляции. Ее обеспечивает один лидирующий фолликул, в недрах которого созревает яйцеклетка. Если доминантного фолликула нет на протяжении нескольких циклов, это свидетельствует о бесплодии.
Как развивается «доминанта», почему в некоторых случаях ее нет, читайте в нашей статье.
Созревание фолликула: как это должно быть
В яичниках каждой девочки еще в период внутриутробного развития закладывается определенное количество яйцеклеток. До полового созревания они находятся в «спящем» состоянии, а с началом менструального цикла начинают свое функционирование.
Рост и отмирание фолликулов, в которых развивается яйцеклетка, происходит ежемесячно. При этом фолликулярное развитие проходит несколько этапов.
В начале цикла начинается рост нескольких фолликулов, которые имеют одинаковый размер.
С момента выделения доминанты остальные фолликулы начинают регрессировать, то есть уменьшаться в размерах и постепенно отмирать.
Примерно на 14 день цикла доминанта достигает своих максимальных размеров (от 18 до 24 мм) и разрывается, «выпуская» из себя созревшую яйцеклетку. Наступает овуляция.
На месте лопнувшего доминантного фолликула начинает образовываться желтое тело. Его задача – в случае удачного зачатия снабдить организм женщины необходимым для беременности гормоном – прогестероном.
Доминанта может развиваться на любом яичнике. Хотя чаще всего его наблюдают на правом. Нередки случаи развития доминантного фолликула и на обоих яичниках.
В основном это происходит после стимуляции овуляции или при искусственном оплодотворении. В этом случае велики шансы зачатия двойни или тройни.
Если же на УЗИ выявлено, что в яичниках женщины нет доминантного фолликула, овуляция, а следовательно и зачатие наступить не могут.
Дополнительные обследования
Ановуляторные циклы, когда доминанта не развивается, происходят несколько раз в год у каждой здоровой женщины. Подобное явление не является патологическим. В эти периоды яичники «отдыхают».
К тому же после 30 лет наблюдается медленное, но неуклонное увеличение ановуляторных циклов. Ранний климакс, наступивший до 45 лет, также гарантирует частые ановуляторные циклы. Несмотря на то, что женщины в этом возрасте редко планируют беременность, гинекологи считают, что данные отклонения нельзя оставлять без внимания и назначают соответствующую гормональную терапию.
Почему фолликул не растет или не в состоянии «выпустить» зрелую яйцеклетку к моменту овуляции, ответить сможет только лечащий врач после ряда исследований:
- Осмотр на гинекологическом кресле;
- Анализ крови для выявления уровня важных гормонов на разных этапах менструального цикла;
- Фолликулометрия – процедура УЗИ-диагностики, во время которой ежемесячно отслеживается весь процесс работы яичников в течение менструального цикла.
Гинеколог обращает внимание и на длину менструального цикла. Слишком большой или короткий цикл часто является свидетельством нарушения овуляции.
Чаще всего отсутствие доминанты связано с нарушением гормонального фона. На процесс правильного развития фолликулов влияет несколько гормонов: лютеотропный, фолликулостимулирующий, эстроген и прогестерон. Каждый из этих гормонов важен на определенном этапе созревания яйцеклетки. Их недостаточное количество или неправильное распределение приводит к проблемам с созреванием доминанты.
Как ведет себя фолликул
Причин, по которым доминирующего фолликула нет или его развитие патологически изменено, несколько. Но в любом случае при этих нарушениях овуляция не наступает. Рассмотрим, как именно может повести себя «неправильный» фолликул.
Персистенция
Если у женщины наблюдается нехватка ЛГ или прогестерона, вместо доминантного развивается персистирующий фолликул.
Развитие фолликула достигает нужного для овуляции размера, но он не может разорваться, выпустив яйцеклетку. Следовательно, она так и остается в его теле.
Характерной особенностью персистенции является способность доминанты сохраняться на яичнике в течение всего период менструального цикла. Более того, ее часто фиксируют даже после окончания менструации.
Признаки развития персистирующего фолликула:
- Желтое тело отсутствует;
- Количество эстрогенов повышено;
- Количество прогестерона понижено;
- Отсутствие жидкости за маточной полостью.
«Спящие» яичники
Фолликулы не созревают, они не растут вообще, поэтому овуляции не может быть.
Нарушение роста фолликулов
В этом случае они плохо созревают, и останавливаясь на определенной фазе развития, начинают регрессировать. Или же доминанта успешно развивается, однако не достигает нужных размеров к овуляционной фазе. Анализ крови на гормоны при этом будет соответствовать норме.
Киста яичника
Если доминантный фолликул продолжает расти, не выпуская яйцеклетку, он порождает фолликулярную кисту. Это доброкачественное образование появляется, если отсутствует овуляция. Причиной такого патологического изменения является гормональный сбой, который чаще всего происходит из-за дисфункции коры головного мозга. На появление фолликулярной кисты также влияют следующие факторы:
- Неполноценное питание;
- Заболевания в хронической форме;
- Нерегулярные интимные отношения;
- Расстройства психики;
- Частые прерывания беременности;
- Хирургическое вмешательство при заболеваниях мочеполовой сферы.
Фолликулярная киста способна влиять на регулярность и длительность менструального цикла.
Кистообразное изменение может появиться и на месте образования желтого тела. После лопнувшего фолликула всегда остается жидкость. Если ее количество превышает норму или содержит в себе кровь, на желтом теле появляется киста.
В большинстве случаев такие кистообразные изменения не нуждаются в специальном лечении. Они исчезают самостоятельно через 2-3 цикла, а в случае наступившего зачатия – к началу второго триместра.
Какое лечение назначают, если нет доминанты
Проблемы отсутствующих доминантных фолликулов чаще всего касаются женщин, у которых диагностированы воспалительные заболевания мочеполовой сферы. Длительные стрессы и депрессивные состояния, аборты также приводят к нарушениям созревания доминантного фолликула.
Что делать, чтобы восстановить правильную работу яичников, расскажет гинеколог после комплексной диагностики, о которой мы говорили выше. Чаще всего назначается терапия гормонами.
Гинекологи часто назначают клостилбегит при планировании беременности. Этот препарат популярен в России, однако использовать его нужно с большой осторожностью и только под контролем лечащего врача: медикаментозное средство имеет множество противопоказаний. К тому же некоторым пациенткам использовать его категорически запрещено.
Следует помнить, что любые сильнодействующие гормональные препараты при бесконтрольном приеме могут скорее навредить здоровью, чем помочь. Поэтому самолечение в данном случае недопустимо.
Для поддержания репродуктивной системы также назначают прием фолиевой кислоты и поливитаминов. При этом подбор препаратов и дозировка подбирается индивидуально, в зависимости от возраста и общего состояния здоровья женщины.
На консультации у гинеколога
На вопросы пациенток отвечает акушер-гинеколог Елена Артемьева.
— Мне 24 года. Не разу не была беременна. Менструации скудные, цикл 20 дней. Четыре месяца пила Циклодинон (назначил врач), цикл стал длиннее. Но теперь в конце цикла чувствую сильное недомогание. На УЗИ яичников не увидели доминантных фолликулов. Как это вылечить? Обязательно ли пить гормоны? Боюсь растолстеть на фоне гормонального лечения.
— Нужно пройти углубленное обследование. Вам придется дважды сдать кровь на гормоны: на пятый-седьмой и двадцатый-двадцать третий день цикла. На какие конкретно гормоны сдавать анализы, вам сообщит ваш гинеколог. Обязательно побывайте у эндокринолога, пройдите обследование, чтобы исключить патологию щитовидной железы и гипофиза. Возможно, придется сделать МРТ головного мозга.
В зависимости от результатов будет назначено лечение. Возможно, понадобится стимуляция гормональными препаратами для роста доминантных фолликулов и овуляции. В большинстве случаев они не вызывают резкого увеличения веса, не переживайте.
— Я четыре года пила Регулон, отменила полгода назад. Беременность не наступает. Цикл 34-36 дней. На УЗИ не увидели доминантного фолликула и желтого тела. Я смогу забеременеть?
— В норме после оральных контрацептивов овуляция восстанавливается в течение 2-4 месяцев. Ваш случай – не норма.
Нужно обратиться к эндокринологу или лучше к гинекологу-эндокринологу и исследовать гормональный профиль, в частности нужны анализы на инсулин, пролактин, ТТГ, а также «женские» гормоны. После обследования вам назначат лечение.
Сможете ли забеременеть? Почему нет, если восстановится овуляция и нормальный цикл? В большинстве случаев гормональные нарушения можно скорректировать.
— Два года не могу забеременеть. Может ли быть такое, что фолликул сначала вырос до 8 мм (на 7 день цикла), а потом, на 11 день цикла, стал меньше – 6 мм. Это результат моей фолликулометрии…
— Это признак дисфункции яичников. Сдайте анализы на гормоны (половые, щитовидной железы, инсулин, пролактин). В зависимости от результатов вам назначат лечение. Мужу тоже важно обследоваться (вообще обследование пары всегда начинают с подтверждения фертильности мужчины). Пусть он сделает спермограмму.
Источник: https://MyZachatie.ru/zhenskie-zabolevaniya/dominantnogo-follikula-net.html
Когда доминантного фолликула нет: почему и что делать
Если доминантного фолликула нет, то и зачатия не будет. Если зачатие не происходит более года регулярных попыток, впору говорить о бесплодии.
Бесплодием называют отсутствие на протяжении нескольких циклов лидирующего фолликула, внутри которого должна созревать яйцеклетка.
Почему не происходит развитие «доминанты», как правильно должен работать женский организм, и как избавиться от этой проблемы? Вопросов много. Но обо всем по порядку.
На фото показан доминантный фолликул. Бывает, что его просто нет, и он не производится от цикла к циклу.
Стадии развития фолликула
Еще у находящейся в утробе матери девочки закладывается определенное количество яйцеклеток. До начала менструации они неактивны. Затем фолликулы начинают расти и отмирать каждый месяц. Их развитие происходит поэтапно.
Стадии созревания фолликулов:
- Первая фаза (начало цикла). В этот момент развиваются несколько одинакового размера фолликулов.
- Вторая фаза — появление «лидера». Это происходит примерно на 8-10 день цикла. Один из структурных компонентов яичника становится больше остальных. Он и является лидирующим. Остальные фолликулы уменьшаются, и начинается их отмирание.
- Наступление овуляции (12-14 день). «Доминанта» становится максимального размера. Происходит разрыв, из нее появляется созревшая яйцеклетка. Вместо лидирующего фолликула образуется желтое тело, снабжающее женский организм в случае зачатия важным для поддержания беременности гормоном — прогестероном.
Появление лидирующего фолликула возможно на любом и даже обоих яичниках одновременно. Однако, обычно он созревает на правом.
Появление «доминанты» на обоих яичниках — частое явление, когда овуляции дополнительно стимулируется, а также при ЭКО или искусственной инсеминации.
Кстати, если доминантный фолликул образовался в обоих яичниках, у девушки есть шанс забеременеть и родить двойняшек или даже тройняшек. Но если у женщины «доминанта» не развивается, соответственно, овуляция и зачатие не происходят.
Проблему с появлением доминирующего фолликула можно выявить при помощи ультразвуковой диагностики.
Какое обследование назначают
Отсутствие «доминанты» — не всегда признак болезни. У любой здоровой представительнице слабого пола случаются периоды, когда фолликул не формируется. Нормой считаются ановуляторные циклы 3-4 раза ежегодно. Яичники как бы «уходят в отпуск».
У женщин после 30 лет таких периодов с каждым годом становится больше. При раннем климаксе, наступившим раньше 45 лет, яйцеклетки «засыпают» чаще. Хотя большинство женщин этого возраста зачатие не планируют, специалисты рекомендуют не оставлять без внимания изменения в организме. Гинекологи нередко предлагают пациенткам избавиться от проблемы с помощью гормональной терапии.
Если у женщины детородного возраста имеются данные отклонения, это свидетельствует о патологии. В этом случае лечение обязательно. О причинах неразвивающегося доминирующего фолликула лечащий врач сможет рассказать только после проведения исследований.
Обследование состоит из:
- осмотра гинекологом;
- гормонального исследования крови. Оно поможет узнать уровень необходимых для правильной работы женского организма гормонов на разных этапах цикла;
- УЗИ-диагностики. Процедуру отслеживания работы фолликулов называется фолликулометрией. Диагност наблюдает за процессом работы яичников на протяжении всего менструального цикла. Процедура повторяется в течение ряда циклов.
Для гинеколога важно знать длину цикла. Если он чересчур длинный или, наоборот, слишком короткий, это может свидетельствовать о нарушении работы яичников. Отсутствие «доминанты» нередко связано с изменением уровня гормонов в организме женщины. Для правильного развития фолликулов необходим определенный уровень нескольких гормонов.
А именно:
- Лютеотропного.
- Фолликулостимулирующего.
- Эстрогена.
- Прогестерона.
Все они важны на определенных этапах созревания яйцеклетки. Когда этих гормонов в организме не хватает, либо они распределены неправильно, то «доминанта» не развивается.
Дли выявления причин отсутствия доминантного фолликула необходимо сдать кровь на определение количества гормонов.
Поведения фолликула при нарушениях в организме
Причин отсутствия либо неправильного развития «доминанты» несколько. Однако, исход один — овуляция не наступает. Патологическое изменение в организме может привести к тому, что фолликул будет вести себя «неправильно». О том, что может произойти при ненормальном его поведении — далее.
Возникновение персистирующего фолликула
Нехватка лютеинизирующего гормона или прогестерона может привести к развитию не доминантного фолликула, а персистирующего. Наблюдается его рост.
Однако, достигая максимального размера, «доминанта» не разрывается в нужный момент. Яйцеклетка остается внутри фолликула.
Один из признаков персистенции — «доминанту» видно на диагностики на протяжении всего периода менструации, а иногда даже после нее.
Другие характерные черты персистенции:
- нет желтого тела;
- повышенный уровень эстрогена в организме;
- показатель прогестерона, наоборот, снижен;
- отсутствие жидко за маточной полостью.
Существуют также другой вариант поведения фолликулов — отсутствие их роста вообще. Такой период для яичников называются «спящим».
Регресс роста фолликулов
Еще одна разновидность отклонения от нормы — медленное созревание и остановка роста фолликулов в определенный момент развития. Далее они начинают «портиться». Другой вариант ненормального поведения — доминирующий фолликул развивается, но не вырастает до необходимого размера к овуляции. При этом гормональное исследование крови отклонений от нормы не покажет.
Образование фолликулярной кисты
На картинке показана фолликулярная киста левого яичника.
Фолликулярная киста возникает в том случае, если «доминанта» продолжает рост, не выпускает яйцеклетку, соответственно, и овуляция не наступает. Причиной появления доброкачественного образования чаще всего является изменения количества гормонов в женском организме.
Но есть и другие факторы, влияющие на появление кисты.
Вот некоторые из них:
- Наличие хронических заболеваний;
- Отсутствие регулярной половой жизни;
- Частые аборты или выкидыши;
- Психические расстройства у женщины.
Повлиять на появление патологического изменения также могла хирургическая операция, проведенная на органах мочеполовой системы. Наличие фолликулярной кисты влияет на регулярность и длительность менструального цикла.
Киста может образоваться на желтом теле. Это происходит в том случае, если после разрыва фолликула образовалось слишком много жидкости (она образуется всегда, но не в большом количестве) или в ней содержится кровь.
При обнаружении фолликулярной кисты не стоит волноваться — специальное лечение не требуется. Образование исчезает самостоятельно через несколько циклов, а если наступила беременность — после первого триместра.
Лечение при отсутствии доминирующего фолликула
Не растущий доминантный фолликул наблюдается у пациенток с воспалительными заболеваниями органов мочеполовой системы.
Постоянные стрессы, депрессии, аборты — все это тоже может стать причиной неправильного развития или отсутствия вообще «доминанты».
Врач назначает препараты, чтобы восстановить нормальную работу яичников, только после проведения комплексной диагностики. Нередко проблема решается при помощи гормональной терапии.
Клостилбегит имеет множество противопоказаний и подходит не всем девушкам. Впрочем, любой гормональный препарат, принимающийся бесконтрольно, может навредить женскому организму, а не укрепить его.
Принимать любые гормональные препараты без назначения ни в коем случае нельзя!
Для улучшения работы репродуктивной системы также принимают фолиевую кислоту и поливитамины. Подбираются препараты индивидуально, как и их дозировка. Врач учитывает возраст пациентки и ее общее состояние здоровья.
Вопросы специалисту
На вопросы отвечает практикующий акушер-гинеколог Наталья Юрьевна.
- Пропила курс Циклодинона для регулирования слишком короткого менструального цикла. Он стал длиннее, но теперь после менструации испытываю сильное недомогание. Диагностика рост доминантного фолликула не показала. Что нужно сделать? Ответ: Необходимо углубленное обследование, в том числе и гормональное исследование крови в определенные дни цикла. Также необходима консультация эндокринолога.
- После четырех лет приема Регулона не могу забеременеть, хотя прекратила пить препарат более 6 месяцев назад. Доминантный фолликул не развивается, цикл чересчур длинный. Как быть? Ответ: Необходимо обратиться к гинекологу-эндокринологу и сдать анализы на гормоны. После исследования врач назначит лечение для восстановления работы яичников.
- Возможна ли беременность, если фолликул растет, а ближе к овуляции уменьшается в размере? Ответ: Это признак дисфункции яичников. Вам и вашему партнеру необходимо пройти обследование. Вам — на количество гормонов в крови (пролактина, инсулина, половых и щитовидной железы), партнеру — спермограмму. На основании результатов врач назначит лечение.
- Может ли прием Утрожестана в период с 16 по 25 день цикла быть причиной образования фолликулярной кисты? Подобная проблема возникала и раньше, и без лечения образование не исчезало. Ответ: На фоне приема препарата во 2 фазе цикла киста яичников не должна формироваться. При наличии кист любая стимуляция яичников запрещена. Обратитесь к лечащему врачу для назначения лечения. Необходимо наблюдение за патологическим изменением.
Не всегда назначение сильнодействующих препаратов при отсутствии доминантного фолликула обосновано. Следует помнить, что чем эффективнее средство, тем выше риск возникновения побочных эффектов.
Поэтому, прежде всего женщине с такой проблемой необходимо найти квалифицированного врача, который может аргументировать назначение тех или иных лекарственных средств. Залогом успеха будет адекватное определение причины нарушения овуляции.
Большинство пациенток отмечали положительную динамику после приема витаминов и фолиевой кислоты.
Источник: https://ekobesplodie.ru/besplodie/kogda-dominantnogo-follikula-net-pochemu-i-chto-delat
Нет доминантного фолликула: что делать, анализы, причины
Если нет доминантного фолликула в яичниках это значит что овуляции не будет, зачатие невозможно. Для молодых пар, планирующих беременность, печальная новость. Исправить ситуацию можно, обратившись к врачу. Специалист поможет выяснить причины, назначит лечение.
Возможные причины
Источниками нарушения фолликулогенеза (процесса созревания его и яйцеклетки) служат сбои работы нервной и эндокринной систем. Такой разлад происходит на любом из этапов развития граафова пузырька:
- Стадия ранней пролиферации. Образование малых фолликулов (антральных) начинается с 5-7 дня менструального цикла. Формироваться начинает около 10 штук в лютеиновую фазу, каждый диаметром 5 мм. Расположены по периферии каждого яичника.
- Рост малых фолликулов на фоне повышения ФСГ (фолликулостимулирующего гормона, который вырабатывается гипофизом).
- Рост, созревание доминантного пузырька. На 10 день цикла диаметр составляет 15 мм. Остальные — регрессируют, отмирают. Происходит это также благодаря выработке эстрогена ДФ, который подавляет рост антральных. Если на 12 день цикла нет доминантного фолликула, то его уже не будет.
- Овуляция. На 14 день цикла ДФ в диаметре 20 мм, после выхода из яичника на месте ДФ остается желтое тело (выполняет гормонообразующую функцию в случае наступления беременности). Представляет собой важную железу, которая подготавливает эндометрий к внедрению оплодотворенной яйцеклетки, ее дальнейший рост.
Отсутствие доминантного фолликула вызывается следующими причинами:
- инфекция мочеполовой системы, воспалительный процесс репродуктивных органов. Часто – эндометрит, аднексит, оофорит;
- опухоль гипофиза;
- новообразование гипоталамуса;
- не происходит образование фолликулов («спящие яичники»);
- превышено содержание «главного женского гормона» — эстрогена;
- отсутствие овуляции при наличии персистирующего фолликула. Причина – недостаток прогестерона и лютеотропного гормона (лютеотропина);
- персистирующий пузырек продолжает рост и превращается в кисту, которая требует наблюдения. Кистозное образование может находиться в яичнике на протяжении 3-х циклов, лечения при этом не требует. Овуляция также при наличии кисты не происходит.
Отсутствие ДФ чаще говорит о гормональном сбое.
Необходимые анализы
Если у женщины нет доминантного фолликула, гинеколог может назначить анализы:
- определение уровня эстрогена и прогестерона крови;
- диагностику уровня ФСГ (фолликулостимулирующего гормона), ЛГ (лютеинизирующего гормона);
- анализ крови общий. Покажет нет ли хронического воспаления в организме, анемии;
- анализ крови биохимический позволит оценить работу печени, почек, поджелудочной железы;
- анализ крови на гормоны щитовидной железы: ТТГ (тиреотропный гормон), Т4 , Т3.
Если нет зрелого фолликула будет ли овуляция? Нет, не будет.
Методы лечения
Первым делать обратитесь к гинекологу. Помните! Только специалист детально расскажет что делать, если нет доминантного фолликула, какое необходимо лечение и чем грозит такой диагноз.
В большинстве случаев пациентке требуется:
- Пройти осмотр на гинекологическом кресле. Обследование позволит судить о наличии хронического воспаления половой сферы.
- Минимизировать уровень стресса. Хроническое беспокойство, депрессия нередко служат причиной отсутствия зрелого фолликула.
- Вылечить воспаления, инфекции мочеполовой и репродуктивной сферы: аднексит, эндометрит, цистит, воспалительный процесс в яичниках и/или фаллопиевых трубах, пиелонефрит. С этой целью врач может назначить антибиотикотерапию.
- Отказаться от курения, употребления алкоголя, злоупотребления лекарственными препаратами.
- Наладить рациональное питание. Недостаток сбалансированной пищи обуславливает нехватку микроэлементов и витаминов, которые являются участниками физиологических реакций.
- Сдать анализы, которые назначит врач. При выявлении патологии, вылечить ее. Если снижен гемоглобин и количество эритроцитов, назначаются витамины группы В, препараты железа. Ускорено СОЭ – рекомендованы дополнительные анализы для выяснения источника хронического воспаления, СРБ, РФ. Превышены ферменты печени и почек – обследование функции органов брюшной полости, УЗИ. Гипергликемия требует постоянного приема сахароснижающих средств и наблюдения эндокринолога. Частая причина ненаступления беременности.
- Если за пределы нормы выходят показатели ФСГ и ЛГ, обязательно прохождение МРТ головного мозга с целью исключения онкообразования.
- Пройти фолликулометрию. Обследование представляет собой выполнение серии УЗИ на всем протяжении менструального цикла.
Чаще всего, если нет доминирующего фолликула, то назначается заместительная терапия. За одну неделю до первого дня цикла рекомендованы инъекции 1% прогестерона. Терапия ведется также пероральными формами препаратов.
С этой целью могут использоваться лекарственные средства эстрогена и прогестерона по разным схемам, которые назначит гинеколог. Обычно используют «Дюфастон», «Утрожестан».
Самостоятельно назначение опасно для здоровья!
Чтобы не искать решения проблемы отсутствия доминантного фолликула, нужно беречь свое здоровье с юности. Помните, что курение, аборты, вредные привычки, заболевания передающиеся половым путем – преграда к наступлению желанной беременности!
Источник: https://oyaichnikah.ru/menstrualnyj-cikl/net-dominantnogo.html
Что такое доминантный фолликул?
Что представляет собой доминантный фолликул? Ответ на данный вопрос должна знать любая женщина, интересующаяся строением своего тела и тем более находящаяся на этапе планирования беременности. Выясните строение, функции, стадии созревания, размеры и другие важные и интересные моменты.
Что это такое?
Репродуктивная система женщины имеет сложное строение. Основой будущей жизни является половая клетка, именуемая яйцеклеткой.
Ежемесячно она созревает в яичнике, чтобы затем выйти из него и соединиться со сперматозоидом для зарождения новой жизни.
Функции защиты незрелых яйцеклеток (ооцитов) выполняют окружающие их и расположенные в наружных слоях придатков функциональные фолликулярные клетки, которые позже трансформируются, чтобы выполнить основное предназначение.
На какой день делать УЗИ, чтобы узнать идет ли созревание фолликула?
В начале менструального цикла фолликулярные клетки начинают стремительно развиваться и формировать пузырьки. Один из них растёт быстрее остальных: он является доминантным, и именно в нём находится созревающая и готовящаяся к оплодотворению яйцеклетка. При этом остальные переходят в инволюцию, то есть возвращаются в прежнее исходное состояние.
Стадии развития
За весь период жизни женщины, начиная с самого рождения, фолликулы проходят несколько стадий развития:
- Примордиальная стадия. Это незрелые фолликулярные клетки, которые закладываются во время формирования плода женского пола. Они очень малы и в диаметре не превышают 0,05 миллиметра. Фолликулы, способные к размножению делением, покрываются эпителием и переходят в следующую стадию.
- Первичные или преантральные образования достигают 0,2 мм в диаметре. Во время активного полового созревания девочки гипофизом активно синтезируется фолликулотропин, который ускоряет развитие клеток, укрепляет их мембраны и формирует защитный слой.
- Вторичные или антральные фолликулы в размерах увеличиваются до 0,5 мм. Их общее количество – около 8-10. Под воздействием эстрогенов внутренняя полость начинает заполняться жидкостью, которая растягивает стенки и провоцирует стремительный рост пузырьков. Вторичные фолликулы, кстати, считаются временными органами эндокринной системы, продуцирующими гормоны.
- В следующую стадию переходит, как правило, лишь одно фолликулярное образование – доминантное. Оно становится самым объёмным и заключает в себе практически полностью созревшую и готовую к оплодотворению яйцеклетку. Пузырёк состоит из большого количества гранулёзных клеток и призван обеспечивать надёжную защиту ооцита до момента овуляции. Остальные вторичные фолликулы в это время синтезируют эстрогены, обеспечивающие быстрое развитие главного пузырька.
- Третичный или предовуляторный пузырёк называется граафовым. Фолликулярная жидкость полностью заполняет его полость, её объём возрастает в сто раз по сравнению с исходным. Во время овуляции пузырёк разрывается, из него выходит яйцеклетка.
Созревание в каждом менструальном цикле
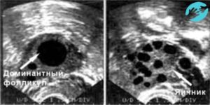
С начала менструального цикла в обоих яичниках образуется порядка 8-10 вторичных фолликулов. Примерно с восьмого или девятого дня цикла пузырьки начинают заполняться образующейся под воздействием синтезируемых женским организмом эстрогенов жидкостью. И уже на данном этапе заметен доминантный фолликул: он больше остальных, и это можно увидеть на УЗИ.
Выход яйцеклетки из фолликула.
Пузырёк продолжает заполняться жидкостью, растягивается и в момент овуляции лопается. Выходит созревшая яйцеклетка, которая начнёт продвигаться по фаллопиевой трубе в матку, чтобы соединиться со сперматозоидом.
На месте разорвавшегося пузырька образуется жёлтое тело – временная железа внутренней секреции, активно синтезирующая прогестерон и обеспечивающая подготовку матки к возможной беременности. Вырабатываемый гормон делает эндометрий рыхлым и мягким, чтобы плодное яйцо смогло прочно в нём закрепиться и начать развиваться.
Нормальные размеры
Какой размер у доминантного фолликула? Он растёт с начала менструального цикла до овуляции, и его диаметр постоянно меняется. Рассмотрим нормы для разных периодов:
- С 1-го по 4-ый день цикла все пузырьки имеют примерно одинаковые размеры – около 2-4 миллиметров.
- В пятый день диаметр достигает 5-6 мм.
- В 6-ой день пузырёк вырастет до 7-8 мм в диаметре.
- К седьмому-восьмому дню фолликул достигнет размеров около 10-13 миллиметров.
- На 9-10-ый день диаметр увеличивается до 13-17 мм.
- К 11-12-ому дню размер возрастает до 19-21 мм.
- Перед овуляцией диаметр может составлять около 22 мм.
- Во время овуляции доминантный фолликул имеет размер, равный 23-24 миллиметрам.
В норме активный рост начинается примерно с пятого дня менструального цикла и составляет около двух мм в сутки.
В каком яичнике созреет доминантный фолликул?
Доминантный фолликул может созреть как в левом яичнике, так и в правом. У здоровых женщин, не имеющих патологий и заболеваний репродуктивной системы, придатки функционируют полноценно и поочерёдно. То есть если в последнем цикле созревшая яйцеклетка вышла из фолликула правого яичника, то в следующем менструальном цикле ооцит созреет в левом придатке.
Движение яйцеклетки по маточной трубе.
Учёные заметили, что наиболее часто доминантный фолликул созревает в правом яичнике. Некоторые исследователи связали это с более активной иннервацией данной стороны у правшей, коими является подавляющее большинство женщин. Иными словами, правая сторона больше функционирует, поэтому правый придаток лучше снабжается кровью и кислородом, что стимулирует созревание пузырька.
Более редкое явление – два доминантных фолликула, сформировавшихся сразу в обоих яичниках.
В таком случае возможна многоплодная беременность, причём родившиеся близнецы будут разнояйцевыми и не похожими друг на друга.
Теоретически возможно зачатие двумя разными биологическими отцами, если фолликулы будут созревать не одновременно, и яйцеклетки выйдут в разное время с определённым интервалом.
Возможные патологии
Рассмотрим некоторые отклонения от нормы:
- Доминантный фолликул отсутствует. Это говорит о том, что овуляции в текущем менструальном цикле, скорее всего, не будет. Ановуляторные циклы бывают у каждой здоровой женщины один или два раза в год. Если овуляция отсутствует несколько месяцев подряд, это ненормально.
- Множественные фолликулы или так называемые мультифолликулярные яичники – это отклонение, развивающееся в результате гормональных нарушений. Доминантный фолликул может отсутствовать или развиваться медленно, что снизит вероятность зачатия.
- Образование кист. Доминантный фолликул не лопается, переполняется жидкостью и растягивается, формируя доброкачественное образование – кисту (она может расти или самостоятельно регрессировать, то есть лопнуть и исчезнуть).
- Атрезия – замедление, остановка роста главного пузырька и его последующее отмирание без выхода созревшей яйцеклетки.
- Персистенция. Доминантный фолликул достигает нужных размеров, но не разрывается и сохраняется в неизменном целом виде до начала менструации. Зачатие становится невозможным.
- Лютеинизация. Жёлтое тело начинает формироваться при наличии в яичнике целого фолликула.
Перечисленные патологии заметны на УЗИ и обусловливаются гормональными сбоями или заболеваниями репродуктивной системы.
Доминантный фолликул необходим для оплодотворения. Но зачатие произойдёт, если пузырёк правильно сформируется, и из него выйдет созревшая яйцеклетка. Изложенная в статье информация поможет разобраться в механизме оплодотворения и выявить некоторые проблемы.
Источник: http://zachatieinfo.ru/zachatie/dominantnyj-follikul.html
Поделиться:




