Мрт гипофиза при повышенном пролактине

Краткое описание процедуры
Пролактин
Пролактин — гормон вырабатываемый в передней доле гипофиза (часть головного мозга), который, ввиду весомого влияния на репродуктивную функцию, особо значим для женского организма.
Этот белковый гормон контролирует образование другого женского гормона — прогестерона, влияет на качество лактации кормящих женщин, а также тесно связан с процессами обмена веществ и синтеза белков.
Отмечается также влияние пролактина на поведенческие реакции.
Именно поэтому даже минимальное превышение уровня пролактина в женском организме, является весомым аргументом для прохождения разного вида диагностик и исследований.
Чем грозит повышение уровня пролактина?
Повышение уровня пролактина в организме (гиперпроклактинемия) характеризуется многими состояниями. Так, например, отмечается нарушение менструального цикла (от удлинения календарного периода менструации до полного её приостановления на несколько месяцев или даже несколько лет).
При гиперпролактинемии часто обнаруживается бесплодие (первичное и вторичное), а также наблюдаются маточные кровотечения. Возможно развитие гирсутизма, ведущего к повышению роста волос на лице и теле ( грудь, спина).
Отмечаются характерные изменения: в сексуальном плане у женщин развивается фригидность, а у мужчин снижается либидо и нарушается потенция. В бытовом плане наблюдаются изменения психического состояния: беспокойный сон и бессонница, депрессия и апатия, быстрая утомляемость и постоянная слабость.
Не исключаются и нарушения метаболизма — повышенный уровень инсулина в крови, избыточный вес и ожирение, остеопороз.
Резко выросший уровень пролактина может указывать и на конкретные диагнозы:
- опухоль (зачастую доброкачественная аденома гипофиза);
- сдавливание гипофиза;
- заболевания, связанные с центральной нервной системой;
- хронические заболевания.
Дополнительно стимулировать рост пролактина могут и:
- чрезмерные физические нагрузки;
- пережитый психологический стресс;
- чрезмерное употребление белковой пищи;
- беременность и период лактации.
Рекомендуемые обследования
Ввиду повышенной чувствительности гормона к разным состояниям и факторам, для точного установления причины роста пролактина рекомендуется пройти полномасштабное обследование.
Первый этап диагностики уровня пролактина — лабораторный метод анализа крови. Примечательно, что анализы следует сдавать несколько раз, с определенным перерывом: выкуренная за завтраком сигарета или поздний утренний подъем способны исказить результат до неправдоподобности.
Дополнительным исследованием, особенно у женщин с избыточным весом или стадией ожирения, может стать глюкозотолерантный тест, а также исследование щитовидной железы.
Назначается ли МРТ гипофиза при нормальном уровне пролактина?
Нет, поскольку главным аргументов процессов в гипофиза является именно повышение уровня гормона пролактина.
Мрт гипофиза при повышенном пролактине назначается лечащим врачом и им же контролируется. Главным аргументом направления на МРТ должны стать результаты (полученные с определенным перерывом) лабораторных обследований. Если верхний предел уровня гормона в женском организме 540 мЕд/л (27 нг/мл), то двукратное его превышение указывает на необходимость магнитно-резонансной томографии.
Для диагностики может быть назначен и МРТ головного мозга, но поскольку размеры гипофиза малы, а нужно оценить весь спектр изменений и захватить максимально точное изображение разных частей гипофиза, то следует выбирать именно МРТ гипофиза, выполняемое по специальному протоколу.
Благодаря отсутствию лучевой нагрузки, а также исключению побочных эффектов и рисков, этот метод диагностики является наиболее безопасным.
Следует отметить гипоаллергенное контрастное вещество, часто применяемое при Мрт гипофиза при повышенном пролактине. Использование контраста гарантирует более точное и информативное изображение полученных данных.
Учитывая, что процедура МРТ назначается, в первую очередь, при подозрении на наличие микроаденомы, контрастное вещество позволит увидеть контуры образования, его структуру и соотношение с окружающими структурами более точно и детально.
При наблюдении доброкачественной опухоли, процедура МРТ гипофиза назначается еще раз, приблизительно через 6 месяцев после начала лечения.
Подготовка к процедуре
Процедура МРТ гипофиза по своему механизму идентична МРТ головного мозга. Никаких предварительных подготовительных мероприятий осуществлять не нужно. Только в случае применения анестезии или седативных препаратов рекомендуется предварительное обсуждение и сдача анализов.
Выбор успокоительного средства должен быть максимально корректным, чтобы не спровоцировать дальнейших осложнений при выходе из наркоза или из-под действия седативного препарата.
При наличии острой формы клаустрофобии рекомендуется обсудить эту проблему с врачем и прийти к оптимальному способу её нейтрализации.
Источник: https://mrt-catalog.ru/mrt/mrt_golovy/mrt_gipofiza/mrt-gipofiza-pri-povishennom-prolactine
Мрт гипофиза и мозга что показывает, заключение, пролактин
Здоровье стало подводить: частые головные боли, ухудшение зрения, снизилась сексуальная функция или нарушен менструальный цикл? Для постановки правильного диагноза необходимо посетить специалиста, который, скорее всего, направит на МРТ головного мозга и гипофиза.
Кратко о процедуре
Магниторезонансная томография является диагностикой, благодаря которой можно наиболее точно определить нарушения структуры органов и тканей, любую патологию и причину ее возникновения.
Томография головного мозга, как и гипофиза, помогает обследовать область турецкого седла. В первом случае полученной во время процедуры информации бывает недостаточно, и при постановке диагноза специалист может ошибиться.
МРТ железы гипофиз — это современный неинвазивный способ определения правильности работы органа. В результате обследования получается трехмерное его изображение.
При осмотре гипофиза таким способом можно выявить следующие патологии:
- аномалии развития;
- воспалительные заболевания;
- кисты;
- опухоли;
- нарушения работы сосудов.
Отличие МРТ головного мозга от томографии гипофиза заключается в следующем: разные объекты обследования, различные показания и технические параметры (проекция, толщина срезов, разрешение изображения). Остальное одинаково.
И еще о том, почему МРТ, а не рентген лучше выбрать. Во втором случае при прицельном снимке головы, используя увеличение, можно увидеть только свод черепа и клиновидную кость. Гипофиз находится вне зоны видимости.
Аппарат открытого типа
Людям, которые страдают клаустрофобией или имеют избыточный вес, а также детям, рекомендуется проводить обследование гипофиза с использованием МРТ на аппарате открытого типа.
Такое оборудование дает ощущение пространства, и приступ клаустрофобии случается довольно редко. Работают аппараты этого вида намного тише. Ребенок и родители могут видеть друг друга. К тому же благодаря широкому отверстию и крепкому столу получаются снимки высокого разрешения и у людей, имеющих массу тела более 150 килограмм.
Гормоны, выделяемые гипофизом
К передней доле органа относится:
- Тиреотропный гормон. Он отвечает за работу щитовидной железы.
- Адренокортикотропный гормон, он контролирует надпочечники.
- Соматотропный гормон способствует образованию белка и отвечает за рост организма.
- Лютеинизирующий — отвечает за работу половых желез.
- Фолликулостимулирующий, он способствует созреванию фолликулов.
К средней доле гипофиза относятся:
- Меланоцитстимулирующие гормоны. Их функции велики: регуляция артериального давления, пигментного обмена, процессов памяти, клеточного роста. Также они отвечают за работу желудка и кишечника, протекание иммунных реакций, деление клеток.
К задней доле относится:
- Антидиуретический гормон, который отвечает за работу почек и артериальное давление.
Повышенный пролактин
Гормоном гипофиза является и пролактин. Он синтезируется в передней его доле и сразу попадает в кровь. Пролактин обладает широким спектром действия, стимулирует созидательные процессы. Существует много заболеваний, которые зависят от его количества в организме. При его большом количестве в организме человека происходит сбой.
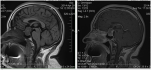
МРТ гипофиза при повышенном пролактине назначается для установления наличия/отсутствия опухоли. Повышение этого гормона приводит к аденоме гипофиза. Обнаружить ее возможно только при магнитно-резонансной томографии.
Это самый безопасный способ. Обычно используется контрастное вещество. Благодаря ему увеличивается информативность, достоверность полученных данных. Контрастирующее средство оседает в местах с повышенным кровоснабжением. Послойные изображения выполняются с разных сторон, а затем объединяются в общую картину.
Обследование гипофиза на МРТ назначается и при бесплодии. Пациенткам с повышенным пролактином сканирование поможет исключить наличие опухоли гипофиза.
Магнитно-резонансное исследование позволяет без хирургического вмешательства наблюдать за микроаденомой гипофиза и протекающими в ней процессами.
Показания и противопоказания
Томография отростка гипофиза назначается при:
- частых головных болях;
- подозрении на синдром Кушинга;
- повышенной активности гормонов некоторых групп;
- нарушении в работе желез;
- отклонении от норм веса;
- явно выраженной карликовости или гигантизме;
- патологии щитовидной железы.
Хотя данный вид сканирования и не опасен для здоровья человека, но противопоказания все-таки имеются.
К абсолютным можно отнести:
- наличие металлических и ферромагнитных имплантатов;
- присутствие инсулиновых помп и кардиостимуляторов.
К относительным:
- наличие имплантатов без металлических частей и нервных стимуляторов;
- сердечная недостаточность.
Людям, страдающим от ожирения или клаустрофобии, к данной процедуре стоит относиться с осторожностью.
Как проводится сканирование
Для того чтобы обследовать гипофиз на МРТ, специальной подготовки не требуется, если не используется контраст. Но есть ситуации, когда его обязательно применяют.
Если нужно сделать процедуру с контрастом, придется в течение пяти часов до сканирования не употреблять пищу. Теперь о самой процедуре:
- Доза контраста для каждого пациента рассчитывается индивидуально. Вводится она пациенту с использованием катетера.
- Больной помещается в аппарат. Для того чтобы предотвратить случайное движение человека, его необходимо зафиксировать.
- Сканирование начинается. Длительность обследования без контраста — от 20 до 25 минут. С использованием контрастирующего вещества — от 40 до 45 минут. Все это время пациент должен лежать неподвижно.
Во время процедуры врач находится в соседнем помещении. Следит за состоянием гипофиза на экране монитора. После процедуры пациенту на руки будут выданы снимок и его расшифровка.
Заключение врача
В течение часа после проведения процедуры специалист делает заключение. Однако в сложных случаях потребуется немного больше времени.
В расшифровке подробно описаны: форма, плотность, структура, размер, локализация железы и также тканей, окружающих ее. На основании полученных результатов указываются признаки болезни или отсутствие таковых.
Точный диагноз может поставить только лечащий врач. Получив описание снимка, сразу же отправляйтесь к специалисту. Он назначит своевременное правильное лечение.
Может ли МРТ ошибаться? Скорее всего, нет. Ошибается только врач.
К основным преимуществам сканирования гипофиза на магнитно-резонансном томографе можно отнести:
- возможность трехмерного обследования;
- на изображении отсутствуют посторонние элементы;
- точная диагностика;
- никакой опасности для организма человека.
Нормальное состояние гипофиза
Для того чтобы правильно расшифровать снимки, следует знать, как выглядит гипофиз без патологий. Для расшифровки используется пять критериев.
- Расположение и форма. Орган расположен в центре турецкого седла и имеет бобовидную форму. Верхний край выпрямлен или немного вогнут. Нижний край повторяет форму турецкого седла. Фронтальная область — прямоугольная, сагиттальная — эллипсоидная. На снимках форма — симметричная.
- Размер. Поперечно составляет 14 миллиметров (совпадает с размером турецкого седла). В переднезадней доле — 11 миллиметров. Высота по средневенечной плоскости — 8 миллиметров. В период беременности норма составляет 12 миллиметров. Вес не должен превышать 1 г.
- Контуры. Четкие, ровные.
- Плотность. Неизменна, гомогенная.
Надо ли делать МРТ гипофиза? На данный вопрос ответ может дать только специалист.
Источник: https://mrtu.ru/golovnoj-mozg/mrt-gipofiza.html
Мрт гипофиза при повышенном пролактине

При смещении гормонального баланса в ту или иную сторону происходит постепенный сбой всех метаболических процессов, что влияет на функциональность всех внутренних структур.
Оценить степень концентрации железистых секретов в крови позволяют обычные лабораторные исследования (анализы).
В случае, если обследование выявило повышенную концентрацию пролактина, врачи считают целесообразным назначить такой вид скрингирования, как МРТ.
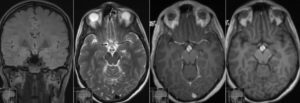
Мрт гипофиза при повышенном пролактине представляет собой эффективный метод визуализации опухолевого образования в железистой области головного мозга.
Гипофиз – небольшое образование в мозге, представляющее собой железистое тело, отвечающую за выработку большого количества гормональных секретов, одним из которых является пролактин.
Так как железа имеет малые размеры, то и опухолевые образования в ней также микроскопические (2-3 мм). Если во время диагностики обнаружено новообразование до 3 см, опухоль считается «гигантской».
МРТ гипофиза производится в специализированных диагностических учреждениях как исследовательского направления, так и в муниципальных поликлиниках при наличии специального оборудования для обследования. На странице Вы легко найдете не только информацию о заболевании и методе диагностики, но и полный список клиник, которые предоставляют возможность пройти процедуру комфортно и быстро.
Какие гормоны продуцирует головной мозг?
Спектр гормональных секреций, вырабатываемых железистой системой головного мозга, охватывает 70% всех гормональных элементов, поступающих непосредственно в кровоток тела.
Малейший сбой в концентрации «секретов» мгновенно сказывается на состоянии пациента.
Такое вещество, как пролактин, начинает свой «путь» из переднего участка железы, попадает сразу в кровоток и сказывается на репродуктивной функции, выработке грудного молока, обменных процессах и эмоциональном состоянии.
Пролактин — это первостепенный индикатор, нарушения в выработке которого говорит специалистам о наличии проблем в области головного мозга. Для контроля гормонального фона собственного организма рекомендуется регулярно проходить клиническое обследование, так как лабораторная диагностика хорошо справляется с данными анализов пациента.
Вторым этапом выступает такой вид обследования, который назначается только лечащим доктором — Мрт гипофиза при повышенном пролактине.
Данный способ считается самым информативным в сравнении с аналогичными процедурами, так как в короткие сроки определяет общее состояние функциональности головного мозга в целом и отдельных его составляющих в частности.
Эффективность Мрт гипофиза при повышенном пролактине доказана многолетней практикой использования этого типа диагностики в медицинской практике. Во время процедуры не возникает дискомфортный ощущений и не наносится травмирующий вред пациенту.
Благодаря неинвазивности (отсутствию инструментального проникновения в ткани) Мрт гипофиза при повышенном пролактине может потребоваться при любой тяжести развития патологии.
Диагностика не предполагает применения вредоносных Х-лучей, что также делает процедуру безопасной, не наносящей вред общему состоянию больного.
Когда присутствует риск роста пролактина в крови?
Присутствие опухолевого тела в зоне головного мозга считается одной из самых распространенных причин заболевания, но не единственным поводом для развития патологии. Часто в результате клинического обследования выявляются такие дегенеративные процессы, как:
- сдавливание железистого участка сопредельными патологически разросшимися тканями;
- развитие аномалий в гипоталамусе – промежуточной области головного мозга;
- присутствие аномального количества жидкости в мозговых капсулах, что также оказывает давление на гипофиз пациента, и способствует усиленному продуцированию пролактина;
- хроническое течение таких болезней, как недостаточность почечной функции, разрушение клеток печени, моче половая дисфункция у мужчин.
Мрт гипофиза при повышенном пролактине позволяет либо подтвердить первоначальные подозрения специалистов о наличии аденомидального образования у пациента, либо исключить данное предположение и сузить круг первостепенных источников болезни. Если Мрт гипофиза при повышенном пролактине не выявило аденомы, врачи назначают обследование той области, которая может быть источником аномалии — диагностику органов брюшины, мочеполовой сферы, выявление признаков простатита.
В качестве сопутствующих факторов развития дегенеративного процесса выступают такие физиологические составляющие жизнедеятельности пациента, как:
- чрезмерные физические нагрузки в результате трудовой деятельности или занятия спортом;
- течение беременности;
- период лактации у женщин;
- длительное нахождение в депрессивном состоянии, сильный стресс;
- активная половая жизнь;
- большое количество потребляемых белковых продуктов питания.
При вышеописанных факторах Мрт гипофиза при повышенном пролактине нецелесообразно для проведения, так как достаточно на некоторое время исключить один или несколько указанных состояний, чтобы проконтролировать уровень гормонального отклика организма.
Если последующее обследование покажет нормализацию гормонального фона, то причиной патологии гипофиз не является. Исследовательскими процедурами выступает только мониторинг химического состава анализов больного.
Диагностика должна проводиться регулярно, поэтому лечащий специалист предоставляет пациенту график планируемых процедур, пропускать которые не рекомендуется.
Чем опасно повышение уровня пролактина?
Любые сбои гормонального характера чреваты последствиями в работе всего организма в целом. Нарушения в головном мозге влияют на функционирование ЦНС и других важных органах и системах. Пролактин высокой концентрации проявляется такими симптомами, как:
- сбои женского цикла от увеличения периода между крово-выделением до полного прекращения менструации на длительные сроки;
- бесплодие первого и второго типов, сопровождающиеся кровянистыми выделениями из матки у пациентов женской половины человечества;
- увеличение площади волосяного покрова в местах, где этого происходить не должно (область груди, спины и лица);
- снижение сексуального либидо, малоподвижность, упадок половой функции у пациентов — мужчин;
- снижение эмоциональной устойчивости к стрессовым ситуациям, повышенная плаксивость, бессонница, хроническая усталость, слабость во всем теле;
- повышение инсулиновой секреции, резкий или постепенный рост весовой категории без видимых на то причин, истончение плотности костной ткани.
После предварительного лабораторного обследования обязательно для прохождения Мрт гипофиза при повышенном пролактине.
Несмотря на то, что данный вид диагностики относится к категории дорогостоящих, без важных причин специалист не станет назначать данную процедуру.
Ради праздного интереса врач не отправит больного на Мрт гипофиза при повышенном пролактине. Если необходимость возникла, не стоит игнорировать направление доктора, и пройти полноценное обследование.
Процедура не отнимет много времени, зато позволит максимально качественно определить область патологии, что сказывается на дальнейшем лечении и поможет избежать критических последствий недуга. Головной мозг не претерпевает травмирования во время процедуры, что важно для избегания рисков осложнений.
Мрт гипофиза при повышенном пролактине определяет не только место локализации аденомы, но и точные ее размеры и контуры, степень врастания в смежные волокна, уровень операбельности больного. Аппаратное обследование не выявляет химического воздействия пролактина, а выявляет первопричину нарушения.
Какие виды обследования необходимы?
Особенностью пролактина является его сверхчувствительность к множественным факторам, происходящим как внутри организма, так и влияющим извне.
Для определения настоящей причины гормональной нестабильности необходимо провести масштабное обследование, которое захватывает не только отделы головного мозга, но и весь процесс жизнедеятельности в целом, включая образ жизни.
Мрт гипофиза при повышенном пролактине требуется не сразу, так как существует множество причин роста гормона, помимо развития аденомы в головном мозге. Вообще при нормальном уровне железистого секрета МРТ гипофиза не имеет смысла. Диагностика включает несколько этапов:
- Лабораторная аналитика гормональной концентрации в крови пациента. Обследование проводится также в несколько подходов, соблюдая некоторые перерывы между анализами. Это связано с тем, что на результаты могут повлиять даже незначительные факторы: лишняя чашка кофе, никотин из сигареты, час утреннего подъема и т.д. На данном этапе диагностики сопутствующими способами обследования выступают тестирование на концентрацию сахара в крови и консультация у эндокринолога, обследование щитовидки.
- Традиционные и альтернативные методики диагностики, такие, как рентгенография и компьютерная томография. Ионизирующее излучение хоть и представляет некоторую «опасность» для увеличения ежегодной лучевой нагрузки во время процедуры, все же является единственным выходом для пациентов, которые по разным причинам не имеют возможности пройти МРТ. Если в теле больного присутствуют вживленные металлические элементы, процедура МРТ полностью запрещена для использования. Это связано с высоким риском нагревания ферромагнитных деталей и их деформацией в живых тканях тела. В данной ситуации предпочтительнее обратиться к диагностике на основе применения Х-лучей.
- Мрт гипофиза при повышенном пролактине возможна при отсутствии индивидуальных противопоказаний. Это самый безвредный способ, так как он исключает любое внешнее воздействие вредоносными лучами. Магнитные поля при МРТ никоим образом не меняют структуру внутренних волокон, не излучают радиоактивного фона, не изменяют ЦНС и иммунную систему как во время процедуры, так и после нее. Самым частым режимом Мрт гипофиза при повышенном пролактине выступает процедура с дополнительным усилением в виде введения контрастного средства. Краситель накапливается в патологических зонах, визуально отделяя здоровые ткани от патологически измененных. Процедура с окрашиванием длиться несколько дольше, чем традиционное МРТ. Это связано с тем, что требуется время на введение и распространение по кровотоку красящего раствора.
Когда необходима Мрт гипофиза при повышенном пролактине?
Как уже было отмечено ранее, поводом к МРТ гипофиза становится повышенный уровень роста гормонального «выделения» железистого участка головного мозга.
Но не все результате предварительных лабораторных изысканий являются направлением на Мрт гипофиза при повышенном пролактине. «Нормой» для аппаратной диагностики считается превышение концентрации гормона более, чем вдвое.
Этот факт в 90% случаев говорит о развитии патологии и является поводом к инструментальному обследованию.
Процедура отличается от МРТ гипофиза тем, что не рассматривает определенный участок прицельно, а оценивает состояние всех систем, располагающихся внутри костной оболочки черепа.
Это помогает выявить иные нарушения в органе пациента.
При повышенном пролактине МРТ гипофиза эффективнее всего, так как во время обследования технологи применяют специальные настройки оборудования, направленные именно на выявления опухолевых образований на небольшой площади железы.
В процессе Мрт гипофиза при повышенном пролактине контрастное усиление может быть введено как до начала диагностики, так и в процессе проведения МРТ. Современные препараты максимально безвредны, так как очень редко вызывают аллергическое отторжение у пациентов.
До начала процедуры в обязательном порядке проводится тестирование на иммунный ответ к препарату.
Если аденома была выявлена, но на данном этапе она не требует хирургических манипуляций, назначается лекарственное лечение с обязательным мониторингом. Процедура сканирования проводится повторно через полгода после первого скрининга.
Нужна ли подготовка перед МРТ гипофиза?
Длительных подготовительных манипуляций не требуется, так как диагностика проводится в стандартном режиме. При планировании Мрт гипофиза при повышенном пролактине с применением усиливающего окрашивания следует отказаться от еды за некоторое время до МРТ.
Имеют место ситуации, когда требуется использование легкой или общей анестезии во время диагностики. Это связано либо с общим критическим состоянием пациента, либо с сильной боязнью замкнутого пространства, так как установки МРТ чаще всего имеют закрытую конфигурацию.
В данных условиях следует заранее проконсультироваться с доктором, пройти аналитическую диагностику, сдать соответствующие пробы и тесты.
Не забывайте о подготовке необходимой документации, а также о наличии удобной одежды. Украшения предварительно должны быть сняты, женщинам не нужно наносить макияж, так как многие косметические средства часто содержат металлические вкрапления.
Источник: https://mrt-v-spb.ru/mrt-gipofiza-pri-povyshennom-prolaktine/
Мрт гипофиза при нормальном и повышенном пролактине: отзывы
Вырабатывается гормон пролактин передней долей гипофиза, где располагается железа.
Вещество влияет на выработку грудного молока у женщин после рождения ребенка, отвечает за поведенческие реакции. Соединение контролирует концентрацию другого гормона – прогестерона.
Анаболические свойства вещества способствует образованию белка. Нарастающая патология способствует целому каскаду расстройств.
Высока зависимость отклонения уровня этого вещества от нормы у женщин. Малейшие отклонения вызывают серьезные эндокринные дефекты. Заподозрить патологию гипофиза помогают некоторые клинические симптомы, выявляемые эндокринологом.
Метаболические расстройства выявляет функциональное МРТ, позволяющее определить патологию обмена веществ.
Рано диагностировать гипер- или гипопролактинемию помогает анализ крови на гормоны. Морфологические причины нозологии выявляет магнитно-резонансная и компьютерная томография головного мозга.
Гормон гипофиза пролактин – что это такое
Зависимое влияние на гипофиз головного мозга оказывает гипоталамус. Между данными звеньями эндокринной системы существует обратная взаимосвязь. МРТ снимок мозга не покажет функциональные, биохимические расстройства. Если внутри гипофиза воспаление, опухоль, возникают колебания гормонального статуса.
Пролактин – белковое вещество, выделяемое в кровь. Практические исследования установили влияние соединения на синтез белков, лактацию. Повышенный уровень пролактина приводит к обильному выделению секрета молочных желез. Женщина с гиперпролактинемией не может забеременеть из-за нарушения образования прогестерона.
Первым признаком гормонального дисбаланса являются патологические результаты лабораторных исследований. Появление подозрительных цифр требует МРТ гипофиза, повышенный пролактин, при котором является показанием к сканированию. Направление выдает гинеколог, онколог, эндокринолог.
Мрт сканирование мозга при нормальном пролактине
Томография головного мозга может быть первым звеном верификации изменений гипоталамо-гипофизарной области. Начальные изменения концентрации гормонов могут не привести к патологической симптоматике. МР-томография выявляет аденому гипофиза, синдром пустого турецкого седла, ряд сопутствующей патологии, при которых изначально абсолютная норма пролактина.
Случайная находка постепенно подтверждается лабораторными анализами – увеличивается концентрация гормонов при росте аденомы, сужении размеров турецкого седла – места расположения гипофиза. Проблемы вызывают обызвествления спинки органа у пожилых людей, молодых девушек.
Магнитно-резонансная томография гипофиза при гиперпролактинемии
Гормональное исследование крови – первичный способ выявления эндокринного дисбаланса. Женщин направляют на томографию гинекологи. Предварительно потребуется осмотр, сдача мазков, исследование флоры, свойств внутривлагалищного секрета.
Главным критерием назначения магнитно-резонансной томографии мозга является двукратно повышенный пролактин в лабораторных анализах свыше 540 международных единиц на литр. Исследования проводятся с интервалом несколько недель.
Рациональность исследования КТ головного мозга ниже, но не всегда есть возможности выполнения МР-томографии. Дополнительное КТ-контрастирование удается определить обызвествления, синдром пустого турецкого седла, кальцинированную аденому.
Разработаны уникальные протоколы компьютерной томографии гипоталамуса, гипофиза, передней черепной ямки, позволяющие заподозрить аномальные изменения области. Начальные изменения гипофизарных тканей показывают МР-томограммы.
Незаменима ценность метода при онкологической диагностике.
МРТ гипофиза при повышенном пролактине обладает высокой степенью специфичности, достоверности. Позволяет выявить микроаденомы, верифицировать размеры, контуры, детали структуры. Когда исследование обнаруживает доброкачественную опухоль, проводят динамический контроль передней черепной ямки через 6 месяцев на предмет увеличения размеров образования.
Если обнаружена повышенная концентрация пролактина лабораторными анализами, требуется дифференцировка между физиологическими и патологическими состояниями. В первом случае концентрация вещества не повышается свыше 400 мЕд на литр вначале, а во второй пробе – приходит к норме.
Гиперпролактинемия – что показывает МРТ:
- Болезни гипоталамуса;
- Новообразования гипофиза;
- Пустое турецкое седло;
- Первичный гипотиреоз (уменьшение выработки гормонов щитовидкой);
- Психотравмирующие ситуации;
- Сахарный диабет.
МРТ гипофиза при повышенном пролактине – самое информативное обследование. Редкий отзыв клиента является негативным. Большинство людей положительно отзываются о томографии передней черепной ямки.
Отзывы клиентов о сканировании гипоталамо-гипофизарной области
Брагинская Е.А., 34 года, Солнечногорск, Россия
Незначительно повышен пролактин (585). Решила сделать МРТ без контраста, так как от ценника последнего вида «обомлела». Доктора говорят, что гормон чувствительный к изменению организма, поэтому может нормализоваться через 2 месяца.
Результаты изменяются после курения, секса, алкоголя. Ничего не нашли при нативном сканировании. Эндокринолог выписала свечи от воспаления, так как кокки были обнаружены в мазке. После этого гормоны нормализовать через 6 месяцев.
Исследование хорошее, но только денег, когда не находят ничего, думаешь, про пустую выброску денег.
Каминская А.С., 63 года, Иваново, Россия
Я потом подумала, что зря ждала месяцы. Лучше было бы раньше, поэтому советую денег не жалеть. Небольшая опухоль радикально удаляется хирургически. Запущенный рак нельзя вылечить. Рада, что у меня только микроаденома.
Готовлюсь к операции.
Житейская мудрость показывает, что молодые жалеют денег не здоровье. Только когда «клюнет», готовы все отдать, но бывает поздно. Для себя решила, что при необходимости буду делать магнитно-резонансную томографию сразу, не важно, платно или бесплатно. Совет – подберите себе хороших врачей и полностью доверяйте специалистам. Делайте, что скажут, чтобы не было неправильных мыслей.
Источник: https://mrt-kt-golovnogo-mozga.ru/article/mrt-gm_mrt-gipofiza_prolaktin
Пролактинома – причины, симптомы и лечение
Вероятность беременности исключена, родов не было, но в груди появилось молоко: при нажатии на соски выделяется несколько капель молокообразной жидкости. Это тревожный признак.
Возможно, причиной ему стал гормональный сбой, и, спустя время, когда восстановится менструальный цикл, все нормализуется само.
Но чаще всего женщинам с таким симптомом ставят диагноз пролактинома, т.е. опухоль гипофиза, точнее его передней доли. Опухоль становится источником чрезмерной выработки пролактина, гормона, отвечающего за появление грудного молока.
У мужчин также бывает пролактинома. Почему появляется это заболевание, какие виды оно имеет, как диагностируется, возможно ли излечение?
Общая характеристика заболевания
Пролактинома имеет место в классификации доброкачественных аденом. В 30 процентах случаев обнаружения опухоли гипофиза, врачи имеют дело именно с этим заболеванием. Злокачественным данный вид опухолей становится редко.
Однако риск озлокачествления новообразования у женщин выше в 10 раз, по сравнению с мужчинами. У женщин опухоль, обычно, вырастает не более чем на 3 миллиметра. У мужчин она может быть более 10 миллиметров в диаметре.
Аденома гипофиза секретирует так называемый молочный гормон – пролактин. Он необходим для стимуляции выработки молока у женщин после того, как они становятся мамами.
В женском организме гормон также ответственен за выработку эстрогенов, правильность цикла менструации, регулирует овуляцию.
Природа устроила так, что, казалось бы, абсолютно женский гормон в организме мужчины тоже вырабатывается.
В мужском организме он ответственен за репродуктивную функцию, т.е. за то, насколько активны сперматозоиды, благодаря пролактину в организме мужчины вырабатывается тестостерон.
Если количество пролактина в организме человека соответствует выполняемым гормоном задачам, у женщин все в порядке с менструальным циклом, у мужчин – с потенцией.
Но если этого гормона больше, чем нужно, начинаются проблемы со здоровьем, как у женщин, так и у мужчин.
Если это заболевание появляется у мужчины, у него ухудшается потенция, пропадает половое влечение, болит голова, увеличиваются молочные железы, прикосновения к груди вызывают боль, нарушается зрение, сознание становится спутанным.
В организме женщины из-за чрезмерной выработки «молочного гормона» подавляется синтез эстрогенов, не наступает овуляция, т.е. женщина не может зачать ребенка.
Пролактинома – источник избыточного пролактина.
Причины развития
Медицинская наука пока не может назвать точные причины возникновения пролактиномы.
Но, как показывает статистика, у большинства больных этим заболеванием есть нарушение на генном уровне.
Называется оно – множественная эндокринная неоплазия первого типа.
Неоплазия приводит к усилению выработки гормонов разными органами (поджелудочной железой, гипофизом и др.), появляются пептические язвы.
Эндокринологи и генетики в поисках гена, который отвечает за появление опухоли гипофиза.
Виды пролактиномы
В зависимости от того, где расположена опухоль и насколько сильно она развилась, пролактиномы можно разделить на 2 вида:
- Секретирующая пролактин микроаденома. Она считается интраселлярной, т.к. расположена в интраселлярной области в пределах турецкого седла. В диаметре опухоль не превышает 1 см.
- Секретирующая пролактин макроаденома. Диаметр данного вида пролактиномы больше сантиметра, поэтому пределами турецкого седла новообразование не ограничивается.
Опухоль гипофиза
У каждого вида опухоли гипофиза свои симптомы. Вызваны они, помимо чрезмерной выработки пролактина, степенью деформации мозга опухолью.
Симптомы пролактиномы
Чем больше новообразование – тем сильнее выражены симптомы заболевания.
- Если макроаденома сдавливает глазные нервы, уменьшаются поля зрения, становится трудно различать объекты так называемым боковым зрением, картинка может удваиваться. Когда сдавленным окажется зрительный перекресток, человек ослепнет.
- Из-за давления макроаденомы страдает ЦНС: болит голова, человек может впасть в депрессивное состояние, он становится тревожным, раздражительным по пустякам, а его эмоции неустойчивыми.
- Деформация гипофиза приводит к сбоям в выработке железой гормонов, (гипофиз, помимо пролактина, синтезирует окситоцин, вазопрессин, соматотропин и другие жизненно важные органические соединения).
Симптомы пролактиномы у слабого пола
- Сбои в менструальном цикле: он становится длиннее, или продолжительность менструальных выделений резко сокращается. Возможна аменорея, т.е. отсутствие месячных.
- Появление грудного молока, что никак не связано с беременностью и родами.
Оно может вытекать из желез при надавливании на них или произвольно.
- Повышенная ломкость костей. Минеральные вещества вымываются из костей, т.к. пролактин провоцирует выработку на их основе грудного молока.
- Появление лишнего веса за счет задержки жидкости в организме из-за дефицита эстрогена.
- Угри.
- Рост волос на теле по мужскому типу.
Симптомы пролактиномы у представителей сильного пола
- Пропадает половое влечение, т.к. уменьшается уровень тестостерона в организме.
- Проблемы с эрекцией.
- Гинекомастия, т.е. набухание грудных желез, надавливание на которые вызывает болевые ощущения.
- Галакторея (появление выделений из грудных желез).
- Уменьшение размеров яичек.
- Замедление роста бороды и усов.
- Хрупкость костей.
- Слабость в мышцах.
Если галакторея является симптомом пролактиномы, с болезнями молочных желез она никак не связана, но может стать причиной мастопатии.
Если врач подозревает у пациента (пациентки) микроопухоль гипофиза, он назначает МРТ головного мозга. Это исследование помогает определить, где расположено новообразование, какого оно вида, есть ли деформация мягких тканей мозга.
При подозрении на макроаденому может быть назначена компьютерная томография головного мозга. Она позволяет визуализировать турецкое седло, т.е. место, где находится гипофиз.
Кровь исследуется на уровень пролактина 3 раза (с промежутком в несколько дней). Уровень этого гормона в крови может колебаться случайно или из-за стрессов.
Если анализ показывает, что этого гормона более 150 нг/мл, вероятнее всего, у пациента пролактинома, т.к. женская норма – меньше 20 нг/мл, мужская – меньше 15 нг/мл.
Чтобы убедиться в диагнозе, врач назначает стимуляционную пробу. В вену больному вводится тиролиберин.
Если все в норме, спустя полчаса или даже четверть часа уровень пролактина в крови пациента увеличится вдвое. То же произойдет, если появление грудного молока не связано с наличием опухоли.
При пролактиноме либо вовсе не происходит изменения количества пролактина в крови, либо уровень гормона повышается незначительно.
Если есть жалобы на ухудшение зрения, исследуются поля зрения. Чтобы исключить остеопороз, при помощи денситометрии определяется плотность костей.
Методы лечения и возможные осложнения
Рассмотрим основные методы терапии, а также возможные осложнения опухоли.
Эндокринолог выбирает наиболее эффективную, по его мнению, схему лечения пациента с пролактиномой.
Цель терапии – снизить уровень «молочного гормона».
Лечение при пролактиноме гипофиза может быть:
- Медикаментозное. У 85 процентов людей, принимавших «Бромокриптин», уровень пролактина опустился до нормального меньше, чем месяц. «Достинекс» – аналогичный по действию препарат, но принимать его нужно реже и побочных эффектов у него меньше. Применение лекарств способствует уменьшению опухоли. Аденомы в несколько миллиметров, как правило, исчезают после медикаментозного лечения.
- Хирургическое. Если опухоль больше 10 мм, наблюдают за динамикой. При отсутствии уменьшения ее размеров при медикаментозной терапии ставится вопрос об операции. Пролактинома удаляется через носовые пазухи, в области которых делается микроразрез.
- Лучевое. Назначается при отсутствии возможности удалить аденому оперативным путем. Эффективность такого способа лечения заметна через несколько лет после него. Облучение противопоказано женщинам, которые планируют беременность. Велика вероятность, что лучевая терапия станет причиной недостаточности функции гипофиза. В этом случае требуется прием гормональных средств. Редко, но облучение также может привести к потере волос, образованию новой опухоли, нарушению зрения.
- Гипофизэктомия (хирургия при помощи протонных лучей).
Пролактинома не является угрозой жизни напрямую. Но она становится причиной серьезных нарушений в зрительной, нервной и репродуктивной системах организма. Кроме того, болезнь может давать рецидивы. У женщин опухоли гипофиза довольно часто озлокачествляются.
Полное выздоровление при пролактиноме происходит в 25% случаев болезни.
на тему
Подписывайтесь на наш Телеграмм канал @zdorovievnorme
Источник: https://gormonexpert.ru/gormony/prolaktin/prolaktinoma.html
Поделиться:



