Мегацистис у плода – что это, причины развития патологии
Заболевания и пороки мочевыделительной системы плода угрожают дальнейшему его нормальному развитию и здоровью, поэтому актуальным и важным является своевременная пренатальная диагностика, установление прогноза и подходящей лечебной тактики.
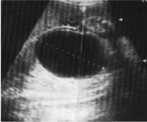
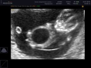
Мегацистисом называют увеличение у плода во время внутриутробного развития мочевого пузыря в продольном размере (больше 8 мм). Кроме этого увеличивается соотношение этого параметра к копчико-теменному размеру (составляет больше 10,4%, при норме — 5,4%). Мегацистис чаще всего обнаруживают на ранних терминах беременности (10-15 неделя) в 0,06-0,19% случаев.
Мочевой пузырь начинает формироваться на 25−27 день гестации, при созревании мочеполового синуса из внутреннего лепестка зародыша. Полностью орган сформирован после 21 недели развития плода. В норме его размер составляет 8 мм.
Развиваются аномалии мочевыделительной системы чаще всего из-за нарушений хромосомного типа. При ультразвуковом исследовании (УЗИ) возможно визуализировать мочевик на 12 неделе беременности в 80% случаев, и в 100% — при УЗИ на 13 неделе.
Причины возникновения патологии
Некоторые исследователи утверждают, что при обнаружении увеличенного мочевого пузыря у плода в первом триместре беременности, определить истинную причину его возникновения не удастся. Ученые выделяют две основные этиологические причины развития мегацистиса у плода:
- Нарушения уродинамики из-за обструкции уретры (фибростеноз, стриктуры, у зародышей мужского пола выражается клапанами задней уретры, а у женского — атрезией).
- Функциональная недостаточность оттока мочи (проявляется синдромами «мегацистис-мегауретер-микроколон» и Рrune-Belly).
На ранних терминах беременности диагноз увеличенного пузыря можно установить только по некоторым эхографическим признакам, потому что в этот период еще отсутствуют специфические показатели, с помощью которых можно дифференцировать внутриутробные пороки развития.
Диагноз «мегацистис-мегауретер-микроколон» чаще диагностируют у эмбрионов женского пола (4:1), а обструкции уретры и синдром Рrune-Belly — у мужского.
Обструкция детрузора (мышечной оболочки выгоняющей мочу) мочевика обусловлена блокированием или полным отсутствием сократительной функции, для которой характерны дегенеративные процессы, разреженная гладкая мускулатура, пролиферация фиброзной соединительной ткани и гиалиновых отложений.
Для плода с синдромом Рrune-Belly свойственна истонченная передняя стенка брюшины. Большинство исследователей предполагают, что, хотя, синдром Рrune-Belly и клапанная обструкция задней уретры не являются генетически обусловленными аномалиями, дальнейшее развитие хромосомных сбоев не исключается.
Методы диагностики
На ультразвуковом исследовании мочевик визуализируется в виде грушевидного или округлого образования. Орган имеет тонкие стенки, расположен в нижней области туловища и увеличивается в размерах в течение беременности матери.
Для определения его размеров необходимо принимать во внимание его наполненность. В случае отсутствия эхотени, рекомендовано проведение УЗИ по истечению 30−40 минутного периода. Врожденные и приобретенные патологии, пороки развития мочеполовой системы помогает обнаружить скрининговое УЗИ.
Если у плода обнаружен увеличенный мочевой пузырь на ранних терминах внутриутробного развития, необходимо провести дополнительное обследование – везикоцентез.
Осуществляется прокалывание стенки мочевого пузыря у плода с целью получения его мочи для проведения анализа. Кроме того, имеются данные, что риск развития неблагоприятного прогноза с мегацистисом при осуществлении везикоцентеза в ранний период значительно уменьшается.
Что делать после обнаружения заболевания?
Если при визуализации на УЗИ мочевой пузырь имеет размеры в рамках от 7 до 15 мм, то необходимо провести обязательное изучение кариотипа плодного материала. При обнаружении кариотипного нарушения необходимо прерывание беременности, в редких случаях – мониторинг до выявления гарантированных признаков возможной патологии.
При значительных размерах органа больше 20-30 мм, что может свидетельствовать о нарушении уродинамики через обструкцию нижних отделов мочевых путей, показано прерывание беременности. Об операции по созданию искусственного мочевика можно узнать из нашего материала.
На ранних терминах (11-13 недель) расширенные верхние мочевые пути не всегда свидетельствуют о синдроме мегацистиса и наиболее четко визуализируются только после 14 недели.
Какой прогноз патологии?
Различные исследования (5-47 случаев) показывают, что увеличенный орган может спонтанно возвратиться к своим нормальным размерам. Мегацистис самостоятельно регрессирует, что может закончиться благоприятным перинатальным исходом.
Исследователи это объясняют тем, что формирование в мочевом пузыре гладкой мускулатуры и нервных окончаний продолжается и после 13-й недели развития зародыша. Что не исключает определенные шансы для положительного разрешения проблемы в последующем. О симптомах и лечении цистита у новорожденных можно ознакомится здесь.
Однако большинство исследователей предвещают отрицательный прогноз при такой патологии, который грозит различными перинатальными пороками вследствие дисплазии паренхимы почек (особенно кистозной).
Принимая во внимание, что синдром мегацистис в 25–40% случаев совмещается с хромосомными сбоями, основное значение при принятии решения о прерывании или пролонгировании беременности будут иметь результаты изучения кариотипа плода и генетического исследования.
Рекомендуем другие статьи по теме
Источник: https://UroHelp.guru/mochevoj-puzyr/megacistis-u-ploda.html
Увеличенный мочевой пузырь у плода: причины и чем это опасно
Как известно, мочевой пузырь считается непарным полым органом, который представлен в организме человека в виде резервуара. Основная функция его заключается в накоплении и удерживании мочи в организме.
Размер и вместительность мочевого пузыря варьируются в зависимости от его наполненности и половой принадлежности. Однако размеры могут меняться в связи с патологическими процессами.
О чем говорит увеличенный мочевой пузырь
Увеличенный мочевой пузырь говорит о заболеваниях мочевыводящей системы, например, задержке мочи (ишурии), гидронефрозе, а при пальпации его по ошибке принимают за опухолевое образование в брюшной полости, кисту, заворот кишечника.
В некоторых случаях во время УЗИ диагностики у беременной женщины обнаруживается увеличенный мочевой пузырь у плода. Если размер органа увеличивается свыше 8 мм, то врач диагностирует о мегацистисе.
Но для точного определения болезни, женщине предлагают пройти исследование — везикоцентез, при котором через плаценту прокалывают стенку мочевого пузыря, чтобы обследовать мочу ребёнка.
Раннее выявление болезни предотвращает дальнейшее ее развитие.
Мочевыделительная система у плода находится в нижнем отделе туловища, напоминает грушу или круг. Размер увеличивается по мере роста ребёнка и к доношенному сроку достигает до 30 мл. Опорожнение у ребёнка происходит 1 раз в 30 — 40 минут. Если он не выявляется или увеличен у малыша, назначают повторное УЗИ.
Формируются мочевой пузырь у зародыша на 25−27 сутки беременности, окончательно на 21−22 неделе. Пороки возникают на фоне хромосомных отклонений.
Факторы влияющие на увеличение органа
- Генетический фактор (отклонения в генофонде плода, приводят к недоразвитию органов плода)
- Заболевания инфекционного характера у матери во время вынашивания ребёнка, например краснуха, сифилис.
- Профессиональное влияние, факторы окружающей среды.
- Злоупотребление алкоголем и наркотическими веществами беременной женщиной.
Чем опасно увеличение мочевого пузыря у плода
Заболевания уретры и мочевого пузыря у плода выявляются в редких случаях, различают:
- Экстрофию мочевого пузыря.
- Уретероцеле.
- Атрезию уретры.
- Клапан задней уретры.
- Синдром prune-belly
Под заболеванием экстрофия понимают отсутствие или недоразвитие передней стенки мочевого пузыря, что ведёт к дефектологии нижней брюшной стенки. Заболевание обнаруживается в связи с отсутствием изображения сканограмме, при этом структура почек и их размеры не меняются. Порок диагностируется на 16 — 20 неделе, лечат хирургическим путём.
Экстрофия
В конце беременности при исследовании выявляют уретероцеле, характеризующиеся расширением мочеточника, болезни сопутствуют циститы, пиелонефриты, уретриты. Новорожденного направляют в специальное медучреждение для проведения терапии.
Атрезия уретры — называют редким заболеванием, обнаруживают на 14 — 15 неделе. На снимках выявляют мочевой пузырь значительных размеров у ребенка, что ведет к увеличению живота у плода, а у матери отсутствие околоплодных вод.
Дивертикул мочевого пузыря характеризуется утолщением стенок органа из — за неполноценности мышечного слоя. На снимке врач определяет кистозное образование круглой или овольной формы. Порок встречается чаще у мальчиков. Крупные образования удаляют оперативно.
Синдром Пруне-Белла объединяет в себе 3 патологии: врожденную гипоплазию или недостаточность (отсутствие) мышц брюшной стенки, мегацистис, дилатацию мочеточника и простатического отдела мочеиспускательного канала (аномальные явления) и двусторонний крипторхизм. Проявляется каждая категория у всех пациентов в разной степени, поражения брюшины варьируются.
Аномальное развитие мочевыводящих путей препятствует нормальному функционированию всей мочевыделительной системы у малыша, болезнь может закончится смертельным исходом для плода.
Методы диагностирования
Ультразвуковое исследование — доступный, современный способ выявить отклонения плода во время беременности. Он не требует дополнительных условий подготовки. Бывает двух видов: абдоминальный, через половые пути женщины(влагалище).
Для уточнения точного диагноза больному назначают обследования: экскреторную урографию, цистоскопию, хромоцистоскопию.
Лечение недуга
При воспалительных заболеваниях беременной назначают антибактериальные препараты, в более сложных ситуациях — прерывание беременности.
Несмотря на благоприятный исход, врачи наблюдают роженицу, развитие мочевыделительной системы у ребёнка. Тяжелые осложнения негативно сказываются на общем состоянии плода и женщины. Чтобы спасти жизнь малыша, специалисты применяют хирургическое вмешательство.
Профилактика
В медицинской практике не встречаются профилактические меры по предотвращению синдрома увеличенного мочевого пузыря у зародыша. Врачи советуют женщинам, планирующих зачать ребёнка, полноценно подготовиться: сдать все анализы, обследоваться у всех узких специалистов, пропить комплекс витаминов. При обнаружении любого заболевания обязательно начать лечение.
Беременным женщинам рекомендуют выполнять и соблюдать все предписания доктора, дабы избежать серьезных осложнений.
У мальчиков во время УЗИ диагностики можно наблюдать такое явление, как струя турбулентности в амниотическую жидкость. За счёт переполненного мочевого пузыря у плода легко принимают его за гидронефроз, кисту яичника, мультикистоз, мегацистис. Повторное обследование даёт точное описание органа.
Источник: https://pochkizdorov.ru/uvelichennyj-mochevoj-puzyr-u-ploda-prichiny-i-chem-eto-opasno/
Переполнен мочевой пузырь у плода

Мочевой пузырь – это полый внутренний орган человека, который выполняет функцию сбора и выведение мочи из организма. Его размеры зависят от степени наполненности и могут варьироваться. Емкость мочевого пузыря у женщин несколько меньше, чем у мужчин, в среднем она варьируется от 200 до 500 мл. Однако иногда размеры этого органа меняются – возникает увеличенный мочевой пузырь.
Увеличен мочевой пузырь причины
При осмотре увеличенный мочевой пузырь может быть воспринят как киста, заворот кишечника или опухоль брюшной полости. Для того чтобы исключить ошибку, перед обследованием больных с задержкой мочи, им проводят катетеризацию мочевого пузыря, а также ректальное исследование задней стенки мочевого пузыря.
Увеличенный мочевой пузырь является одним из симптомов урологических заболеваний (к примеру, гидронефроза, ишурии – задержке мочи), поэтому для уточнения диагноза проводят ряд исследований: хромоцистоскопию, экскреторную урографию, цистоскопию.
Мегацистис у плода
Кроме того, увеличенный мочевой пузырь встречается у детей во время внутриутробного развития. Как правило, диагноз мегацистис ставят на ранних сроках беременности. Встречается эта аномалия у 0,06% плодов. Об увеличенном мочевом пузыре (или, иначе, мегацистисе) говорят, когда продольный его размер превышает 8мм.
Мегацистис у плода — причины
Чаще всего мегацистис является признаком поражения мочевыводящих путей, носящего обструктивный характер. Также увеличенный мочевой пузырь может сигнализировать о синдроме подрезанного живота.
Прогноз при таком заболевании неблагоприятный в большинстве случаев. Диагностировать его удается, начиная со второго триместра беременности.
Мегацистис у плода — лечение
Впрочем, иногда увеличенный мочевой пузырь может носить переходящий характер. В ряде случаев (от 5 до 47 у разных исследователей) мочевой пузырь спонтанно возвращается к нормальным размерам. Как правило, в этих случаях перинатальный исход благополучен.
Если увеличенный мочевой пузырь диагностируют у плода на ранних сроках беременности, иногда проводят дополнительное исследование – везикоцентез. Это прокол стенки мочевого пузыря плода. Таким образом, получают его мочу для анализа.
Это исследование проводят в случаях пороков развития мочевой системы и ряда серьезных заболеваний.
Кроме того, статистика утверждает, что потери плодов с мегацистисом при проведении везикоцентеза на ранних сроках беременности значительно сокращаются.
Мочевой пузырь наполненный — строение мочевого пузыря / Мочевой пузырь плода и новорожденного
Мочевым пузырем считается непарный орган полого характера. Он считается одним из объектов, которые осуществляют управление системой выделения.
Функции мочевого пузыря – это накопление и удержанием мочи, которая поступает через мочеточники из лоханок почек, а затем выводится через мочеиспускательный канал.
Размеры и форма этого органа прямо зависят от степени его наполненности, мочевой пузырь наполненный имеет более округлую форму. Мочевой пузырь плода — как развивается он, и как работает мочевой пузырь новорожденного?
Мочевой пузырь наполненный — строение мочевого пузыря
Верхушка пузыря переходит в тело пузыря, которое является его расширяющейся частью. Тело мочевого пузыря переходит в его дно. Самая нижняя часть пузыря представлена в виде воронки, она продолжается в мочеиспускательном канале и называется шейкой мочевого пузыря.
Внутреннее отверстие мочеиспускательного канала находится в дистальной части шейки.
Сам мочевой пузырь располагается в области малого таза. Его передняя поверхность принадлежит лобковому симфизу. Мочевой пузырь наполненный отличается от нормального состояния тем, что при наполнении его верхушка начинает выступать над симфизом и соприкасается с передней брюшной стенкой.
Отличительная особенность мочевого пузыря заключается в том, что его задняя поверхность у мужчин будет принадлежать к прямой кишке, а его дно принадлежит к предстательной железе. У женщин же поверхность данного органа принадлежит к стенке матки влагалища, а дно мочевого пузыря будет принадлежать к мочеполовой диафрагме.
Боковые поверхности у обоих полов граничат с мышцей, которая поднимает задний проход. У женщин к верхней поверхности пузыря прилежит матка, а у мужчин – петли тонкой кишки. Если мочевой пузырь полностью наполнен мочой, то он располагается к брюшине мезоперитонеальным образом.
В опустошенном виде мочевой пузырь располагается ретроперитонеально по отношению к брюшине.
Стенка мочевого пузыря состоит из оболочки слизистой консистенции, мышечной оболочки, подслизистой основы и адвентиции. А те места, которые покрыты брюшиной, имеют еще и оболочку серозного вида.
Мочевой пузырь плода
В тот момент, когда появляется клоакальное расширение, задняя кишка все еще заканчивается слепо. Мочевой пузырь образуется только к концу четвертого месяца, так как только к этому моменту образуются все составляющие стенки органа.
Стебелек аллантоиса уже редуцировался и начинает свое образование urachus. Уже ближе к завершению внутриутробной жизни просвет, который называется urachus, закрывается, остается только эпителиальный тяж, который окружается фиброзной тканью. Этот тяж простирается от самой верхушки до пупка. После процесса рождения данный urachus удлиняется и превращается в среднюю пупочную связку.
Мочевой пузырь плода — как развивается
Когда мочевой пузырь плода начинает расти, то часть потока мезонефроса, терминального типа включается в его стенку.
Это процесс продолжается до того момента, пока часть данного потока – мезонефроса, которая располагается каудальнее того места, где отходил метанефрический дивертикула, не исчезнет.
Результатом выше перечисленных действий является впадение потоков метанефроса и мезонефроса в мочеполовой синус, независимым друг от друга способом.
Метанефросный поток в дальнейшем впадает в мочевой пузырь, точнее впадает именно в ту часть синуса, входящую в состав мочевого пузыря. Эта часть будет характеризована как более узкая, и она предоставит начало мочеиспускательному каналу, строение которого различается в зависимости от представителей противоположных полов.
Мочевой пузырь плода определяется только на 12 или 13-ю неделю беременности. Размеры его будут различаться от степени его наполненности, а опорожнение его можно будет заметить по появляющемуся турбулентному потоку в области половых органов. Лучше всего это становится заметным при опорожнении мочевого пузыря плода мужского рода.
Мочевой пузырь новорожденного как работает
Следует представлять, что функциональное и морфологическое созревание почек у новорожденного ребенка еще не завершено.
Умаленьких детей мочеточники более широкие, чем у взрослых, они являются более извилистыми и гипотоничными, что означает, что их эластические и мышечные волокна развиты весьма слабо.
Данное состояние органов мочевыделительной системы является предрасположенностью к регулярным застоям мочи и развитию микробновоспалительного процесса в других органах.
Мочевой пузырь новорожденного располагается выше, чем у взрослых. Он имеет форму овала, и его слизистая оболочка весьма развита. По мере того, как ребенок растет, мышечный слой и эластичные волокна утолщаются. Емкость мочевого пузыря у годовалого ребенка составляет 200 миллилитров, а у новорожденного – около 50 миллилитров.
В первые несколько дней жизни моча практически не выделяется организмом ребенка, это связано с недостаточным поступлением воды и экстраренальными потерями.
В моче маленького ребенка может содержаться небольшое количество эритроцитов и белка, хоть это и является признаком воспаления.
Количество мочеиспусканий у новорожденного ребенка колеблется от 20 до 25 раз на день, грудной ребенок выделяет мочу около 15 раз в день. Данные цифры связаны с более интенсивным обменом веществ у детей, чем у взрослых.
Формировать условный рефлекс можно начиная с того времени, как ребенку исполнилось 5 месяцев. На конец первого года маленький ребенок должен уметь проситься на горшок, не считая того времени, когда он спит.
Но, тем не менее, непроизвольное мочеиспускание может наблюдаться у детей в возрасте до 3-х лет.
© Ольга Васильева для astromeridian.ru
Другие статьи по теме:
Мочевой пузырь при беременности
Органы и системы женского организма в разной степени реагируют на его подготовку к материнству.
Дискомфорт в области мочевого пузыря при беременности начинает ощущаться одним из первых и более или менее интенсивно проявляется в течение всего периода вынашивания.
Будущей маме необходимо различать подобные симптомы, так как одни из них являются чисто физиологическими, но другие могут свидетельствовать о наличии серьезных проблем со здоровьем.
Почему болит мочевой пузырь при беременности?
В самом начале периода вынашивания плодное яйцо еще очень мало. Однако матка уже готовится к будущим переменам: увеличивается в размере, утолщается. Репродуктивный орган в это время находится в области малого таза и давит на окружающие органы.
Кроме того, сфинктер (запирающая мышца) мочевого пузыря частично расслабляется под действием прогестерона – гормона беременности. У женщины возникает ощущение дискомфорта, учащается мочеиспускание. Если воспалительного процесса нет, все это происходит безболезненно.
Будущая мама просто вынуждена чаще ходить в туалет.
По мере роста плода матка начинает подниматься и частично выходит в брюшную полость. Давление на мочевой пузырь снижается. Кроме того, женщина немного привыкает к учащенному мочеиспусканию и воспринимает его как норму. Боли в мочевом пузыре при беременности свидетельствуют о совершенно иной ситуации. Причиной может быть:
- Воспалительный процесс (цистит). Развитие заболевания провоцируют патогенные микроорганизмы (стафилококки, стрептококки, кишечная палочка), проникшие в мочевыделительные органы. Инфицирование происходит довольно часто, так как иммунитет женщины ослаблен. Реже обострения цистита вызывают механические факторы, травмирующие стенки мочевого пузыря (например, острые камни при мочекаменной болезни). Симптомы цистита хорошо известны. Женщина жалуется на боль и жжение при мочеиспускании, частые безрезультатные позывы, ощущение неполного опорожнения. Моча становится мутной; анализ показывает присутствие эритроцитов, лейкоцитов и другие отклонения от нормы;
- Цисталгия. Болезнь связана с нарушением функционирования мочевыделительной системы из-за неправильной иннервации. Симптомы схожи с признаками цистита, но характеристики мочи остаются в норме, что свидетельствует об отсутствии воспалительного процесса;
- Переполнение мочевого пузыря на поздних сроках. Мочевой пузырь при беременности больше 28 недель под давлением растущей матки меняет свое расположение и даже форму. Он слегка изгибается, а его основание поднимается выше уровня тазовых костей. Мочеточники при этом немного растягиваются в длину. Эти перемены вызывают чувство дискомфорта и боль в надлобковой области.
Учащенное мочеиспускание в период вынашивания можно считать нормой при отсутствии других неприятных признаков. Если появляется боль, повышается температура тела или изменяется внешний вид мочи, женщина должна немедленно обратиться к врачу.
Опасность дискомфорта в мочевом пузыре при беременности
Чаще всего причиной неполадок в работе мочевыделительной системы беременной является цистит. Игнорировать его симптомы ни в коем случае нельзя.
Если недуг не лечить, воспалительный процесс может перейти на почки, и возникнет ситуация, опасная для жизни женщины и ее будущего ребенка.
Кроме того, возбудители инфекции могут проникнуть непосредственно в матку, что чревато отклонениями в развитии плода.
Срочность визита к врачу определяется и спецификой заболевания: цистит в начальной стадии можно излечить с помощью сравнительно безопасных растительных препаратов, не прибегая к сульфаниламидам, антибиотикам и другим средствам, способным нанести вред малышу.
Обратившись за помощью, женщина получит рекомендации по медикаментозному лечению воспаления мочевого пузыря при беременности, а также точные указания относительно соблюдения режима дня и диеты, что при таком заболевании чрезвычайно важно.
Точное следование советам доктора поможет избавиться от недуга и предотвратить тяжелые осложнения.
Мария Кулькес
Источники: http://www.medmoon.ru/bolezni/uvelichennyj_mochevoj_puzyr.html, http://www.astromeridian.ru/medicina/mochevoj_puzyr_napolnennyj.html, http://lady7.net/mochevoj-puzyr-pri-beremennosti.html
Комментариев пока нет!
Источник: https://luchshijlekar.ru/mochevoj-puzyr/perepolnen-mochevoj-puzyr-u-ploda.html
Поделиться:

