Рентгенограмма грудной клетки до сих пор остаётся «золотым стандартом» диагностики большинства патологий дыхательной системы.
Пневмония не является исключением, признаки патологии несложно обнаружить на снимке. Рентген важен для постановки точного диагноза, а также играет ключевую роль в дифференциальном исследовании. Важно иметь общее представление как выглядит пневмония у взрослых и детей.
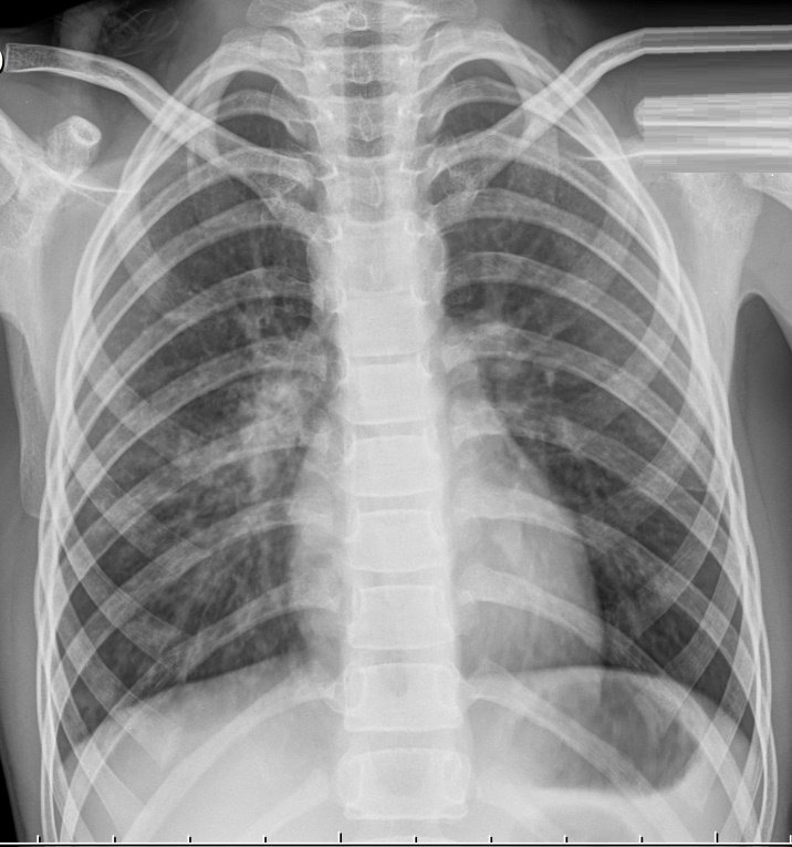
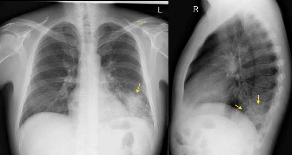
Рентген снимок атипичной пневмонии
Атипичная пневмония — собирательный термин, включающий инфекционно-воспалительные поражения тканей лёгких. Причинами являются нехарактерные возбудители — микоплазма, хламидия, легионелла, вирусы. Воспаление лёгких протекает с повышением температуры, одышкой, общим недомоганием.
Диагностировать патологический процесс можно при помощи рентгена. Так, для микоплазменной формы характерна неоднородная инфильтрация лёгочной ткани, она может определяться слабо или быть среднеинтенсивной.
При легионеллезной, на снимке видно уплотнения (инфильтраты) округлой формы, локализующиеся на поверхности одной доли лёгкого. В ряде случаев наблюдается слияние инфильтратов.
У 25% пациентов одновременно с пневмонией определяется плеврит, с незначительным скоплением секрета в плевральной полости.
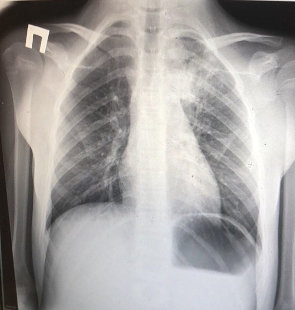
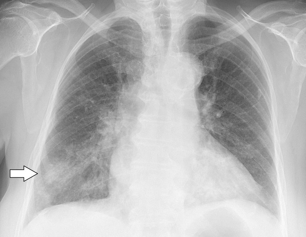
Правосторонняя бронхо- пневмония
Практически невозможно отличить пневмонию Legionella от других, основываясь на таком методе обследования. Присутствие легионеллы или хламидии подтверждается серологическим анализом крови.
Отдельное внимание стоит уделить воспалению неинфекционной этиологии. Одна из таких форм — инфаркт-пневмония, развивающаяся на фоне тромба, попавшего из лёгочной артерии в лёгкое. На рентгеновском изображении выступает как очаговое поражение с относительно чётким контуром.
Другой тип неинфекционного воспаления лёгочной ткани — аспирационный. Причиной выступает содержимое пищеварительного тракта, попавшее в дыхательные пути. Этот тип патологии характеризуется многообразием симптомов, которые имитируют различные заболевания лёгких.
Как правило, на снимке однородный очаг, контуры относительно чёткие. С целью контроля лечения аспирационной пневмонии рекомендуется проходить повторный рентген.
Как выглядит заболевание на рентгеновском снимке
Признаки воспаления лёгких на снимке называют «затемнениями», отображаются они белым цветом, поскольку само изображение является негативом.
Пятна и рентген-признаки:
- До 3 мм — мелкоочаговые.
- До 7 мм — среднеочаговые.
- До 12 мм — крупноочаговые.
- От 12 мм и более — фокусные.
Пневмония на снимке, в частности затемнения, характеризуются следующим образом:
- Распространённые. Визуализируют в пределах одного сегмента.
- Субтотальные. Затемнение большей части поля органа или нескольких сегментов.
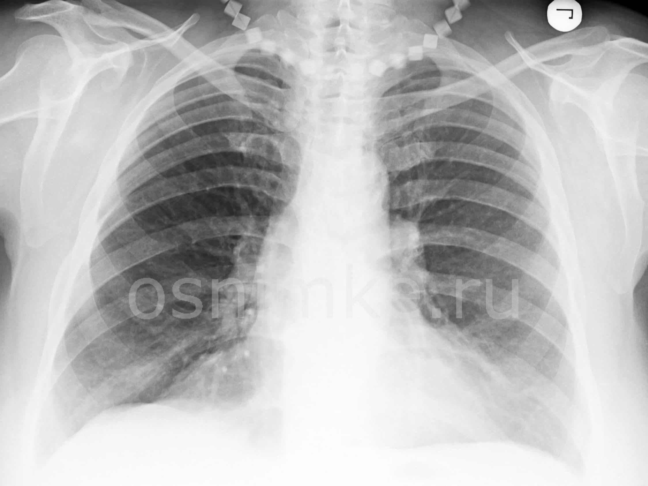
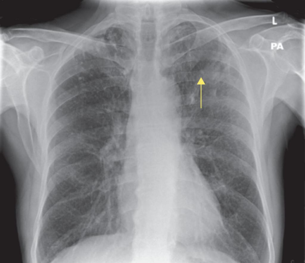
- Тотальные. Патологический процесс охватывает всю область лёгочной ткани. Сильная пневмония слева
Дифференциация пневмонии от других патологий лёгких
Важным этапом постановки диагноза остаётся отличие её от других заболеваний лёгких, коронавируса. Так, при бронхите будет отсутствовать затемнение на снимке, вместо этого — усиление лёгочного рисунка.
Усиление лёгочного рисунка
В случае присутствия инородного тела, наблюдается затемнение с чёткими краями, локализующееся в нижней доле лёгкого. Спутать с воспалением типичного характера сложно.
При плеврите, на снимке скопление экссудата в поражённой области. Плеврит выступает в качестве осложнения недолеченной пневмонии.
При пневмотораксе присутствует характерный уровень жидкости. На снимке отображается как просветление, лёгочный рисунок не просматривается.
Рентгеновский снимок является основным обследованием, а в случае необходимости назначается компьютерная томография.
Пневмония на детских рентген-снимках
Пневмония на рентгенограмме у пациентов детского возраста не имеет выраженных отличий от взрослых, патология также характеризуется очагами просветления и затемнения. У детей в воспалительный процесс вовлекаются нижние отделы лёгких.
Рентгенография показывает следующее:
- очаговые затемнения диаметром 1-2 мм;
- увеличение внутригрудных лимфоузлов;
- деформация и усиление лёгочно-сосудистого рисунка;
- повышенная плотность затемнения (запущенная патология);
- в области патологического очага изменяется структура и размер лёгочного корня.
Хоть общая картина детского рентгена не различается от взрослого, некоторая разница имеется. Первое — повышенная реактивность функций иммунной системы. Поэтому даже незначительный инфильтрат способен спровоцировать воспалительную реакцию на обеих долях лёгкого.
При постановке диагноза ребёнку можно ошибиться, что связано с небольшим объёмом лёгочной ткани и повышенным присутствием лёгочного рисунка.
Можно ли не проводить рентгенографию при воспалении лёгких? Действительно, диагностика при подозрении на пневмонию не является обязательным исследованием. Но отказ от рентгенограммы не даст врачу установить диагноз, а следовательно — назначить адекватное лечение. Альтернативными методами диагностики являются КТ и МРТ.
Рентгенография при COVID-19. Опыт ГКБ №40 ДЗМ (Коммунарка)(видео)
Пневмония – инфекционная патология в легких, вызванная бактериями, вирусами или (реже) грибами. Существует более 100 типов микробов, которые, как известно, вызывают пневмонию. В статье можно посмотреть фото, как выглядит пневмония на снимке рентгена.
Причины
Пневмонию вызывают микробы. Бактерии, наиболее вероятно приводящие к пневмонии, включают:
- Пневмококки.
- Микоплазму.
- Гемофильный грипп.
- Хламидии.
- Легионеллы.
Люди, которые живут или работают в переполненных местах, таких как школы, приюты и тюрьмы, скорее всего, получат микоплазменную пневмонию.
Вирусы, которые вызывают пневмонию:
- Вирус гриппа.
- Вирус парагриппа.
- Метапневмовирус человека.
- Респираторный синцитиальный вирус (RSV).
- Аденовирус.
- Тяжелый острый респираторный синдром (SARS).
- Вирус герпеса.
Грибки, вызывающие пневмонию:
- Histoplasma capsulatum (найденный в долинах реки Огайо и Миссисипи);
- Кокцидиоидомикоз (обнаружен в южной Калифорнии и юго-западных пустынных районах);
- Cryptococcus.
Некоторые бактерии, которые вызывают госпитальную пневмонию, включают:
- грамотрицательные бактерии, такие как Escherichia coli, Klebsiella pneumoniae, Enterobacter species, Pseudomonas aeruginosa и Acinetobacter species;
- Staphylococcus aureus, включая устойчивый к метициллину S. aureus (MRSA);
- стрептококки.
Симптомы
Признаком пневмонии считается кашель, сухой либо с выделением мокроты. Мокрота, отделяемая при кашле, – «ржавая». Кровавая с гноем относится к пневмонии, инициированной палочкой Фридлендера или к той, что спровоцирована стрептококком. Если у мокроты возникает малоприятный, гнилостный аромат, это свидетельствует о том, что внутри присутствуют воспаленные источники нагноения. Если есть кровохарканье, это говорит о пневмонии, порожденной грибками. Если оно сопровождается интенсивной болью в боку, это свидетельствует об инфаркте легкого.
Признаки
Боль в области грудной клетки также оказывается показателем пневмонии, бывает как неглубокой, так и глубокой. Первая возникает в случае воспаления мышц между ребер, подобная боль себя выражает особенно при глубоком вдохе. Вторая – это доказательство поражения либо растяжения оболочки легкого, а также свидетельствует о воспалении. Боль делается сильнее при глубоких вдохах или же кашле.
Если источник воспалительного процесса пребывает в нижних отделах легких и в воспалительный процесс еще втянуты диафрагмальные плевры, то болевые ощущения будут локализоваться в области живота, при этом достаточно остро. Чувство недостатка воздуха, т. е. одышка, – очевидный критерий пневмонии, более сильно она себя выражает при воспалительных процессах, что формируются в случае хронических болезней, к примеру, воспаления бронхолегочной системы либо сердечной недостаточности. Также для пневмонии характерны такие признаки, как озноб, высокая температура вплоть до 40 °С, общее болезненное состояние, сильная слабость, снижение аппетита, рвота, тошнота. У болезненных людей или же у людей престарелого возраста бывают и расстройства сознания.
Диагностика
Флюорографическое исследование – основной метод диагностики пневмонии. Проводится врачом-рентгенологом или рентген-лаборантом с дальнейшей расшифровкой. Алгоритм проведения флюорографии:
- Раздеться по пояс, снять с шеи украшения.
- Исследование проводят в вертикальном положении.
- Проводится снимок в прямой проекции (пациент прижимается грудью к датчику).
- Далее в боковой проекции (больной заводит руку за голову и прижимается к прибору боковой стороной грудной клетки).
- Снимки проводятся при спокойном дыхании и на высоте вдоха, с задержкой дыхания.
После проведения снимков их необходимо проявить. В некоторых кабинетах используется цифровой формат флюорографии. Когда снимки проявлены, врач приступает к их расшифровке.
Показания и противопоказания
Флюорографию нужно делать тогда, когда присутствуют симптомы болезни. Если у человека выявлено крупозное или очаговое заболевание, вторичные рентгенограммы назначаются для наблюдения перемен «плохих» теней при излечении.
Специфическое показание – подозрение на островоспалительный процесс легочной ткани или же другую тяжелую болезнь. Чтобы сделать снимок, необходимо учитывать вред и полезность диагностики. Только в случае, если толк от рентгеновского облучения превысит вред, выполняют рентгенографию.
Противопоказания к обследованию не выделены. Единым ограничением считается беременность. Но если у беременных подозревается воспаление легких, рентгеноскопия легких проводится. При этом усилия врачей направлены на то, чтобы максимально обезопасить организм будущей мамы от облучения.
Очаговая пневмония
Чтобы диагностировать, нужно посмотреть фото, как выглядит на снимке рентгена пневмония очаговой формы. Также нужно быть ознакомленным с расшифровкой:
- наличие активного инфильтрата негомогенной структуры;
- «подозрительная» тень имеет нечеткое очертание;
- при воспалении плевры прослеживается линейная тяжистость, жидкость в реберно-диафрагмальном синусе на боку патологии;
- на фоне разрешения процесса место инфильтрации делается неоднородным за счет зон разрушения и заживления легких.
Крупозная пневмония
Как выглядит пневмония на снимке (рентгеновском), если она крупозного вида:
- субтотальные, тотальные затемнения с одного или же двух краев;
- смещение средостения в сторону предельного поражения;
- изменение физического поражения куполов диафрагмы;
- закупорка реберно-диафрагмальных синусов жидкостью;
- полное деформирование легочного рисунка;
- тяжистость корней легких.
Выявить особенности крупозного воспаления возможно на рентгенограмме. Однако при патологии медицинским стандартом диагностики считается рентгенография в двух проекциях (прямая и боковая). Такого рода список процедур совершают для оценки численности пораженных частей легких и исследования состояния средостения.
Расшифровка пятен
Чтобы расшифровать фото, нужно знать, как выглядит снимок легких при пневмонии. Затемнения на снимке встречаются не только лишь отдельные, но и многочисленные (диссеминированные). Расшифровка рентгеноскопии при воспалительных видоизменениях легочной ткани демонстрирует, что рентгеновский синдром смотрится при болезни типично. Он имеет медицинское наименование – ограниченное либо распространенное затемнение.
Если присутствует болезнь в легких, то на снимке:
- инфильтративный источник в любой части органа;
- тяжистость корней;
- деформация очертания;
- завуалированность реберно-диафрагмального синуса.
При оценивании необходимо понимать, что фотография выходит плоской. Содержит суммационное отображение абсолютно всех анатомических структур. Картинка выглядит негативно, так как рентгеновская пленка – это фотонегатив. На фоне инфильтративных источников наблюдаются просветления, которые представляют собою воздушные зоны легочной ткани.
Флюрография у детей
Родителей часто интересует, как выглядит пневмония на снимке у ребенка. Флюорография ребенка смотрится по-другому, в отличие от взрослых. По причине реактивности иммунной системы каждое самое небольшое скопление у детей может стремительно вызвать крупозное воспаление. Важно осуществить своевременную диагностику заболевания и обнаружить очаговое воспаление.
Какие признаки воспаления у ребенка:
- Очаговые затемнения в нижней доле легких.
- Инфильтраты не выше 1-2 миллиметров в диаметре.
- Высокая густота пятен обнаруживается при запущенном воспалении.
- Уплотнение и рост лимфатических узлов средостения с трудом наблюдается на фото.
- После пропадания болезненных теней деформирование рисунка сохраняется еще на протяжении 7 суток.
- При плохом процессе мелкоочаговое воспаление легких переходит в псевдолобарное.
- Большая насыщенность места поражения закрывает структуру корня и легочного рисунка.
У ребенка зачастую прослеживается припухлость легочной ткани, что усложняет диагностические критерии.Неадекватность рентгенологической и медицинской картины заболевания можно объяснить также небольшим размером легочной ткани и огромным вхождением элементов легочного рисунка на единицу площади.
Лечение пневмонии
Лечением и профилактикой форм пневмонии, при которой болезнь протекает легко (т. е. неосложненная форма заболевания), занимаются широкопрофильные врачи, это терапевты, педиатры или семейные врачи. Мы уже разобрались, как выглядит пневмония на снимке флюорографии. Диагностировав ее, врачи приступают к лечению.
При легкой форме пневмонии пациенты (взрослые) проходят лечение в стационаре. Больному назначается ряд комплексных мер. В них входит прием различных препаратов для расширения бронхов, придется принимать антибиотики и противовирусные препараты, чтобы побороть возбудителей пневмонии.
Физиотерапия, лечебная физкультура, специальная диета (она будет описана ниже), обильное питье также находятся в стационарном курсе лечения. Если легкая форма заболевания ничем не осложнена, возможно лечение на дому под наблюдением и строгим контролем терапевта, который будет посещать больного.
При тяжелой и среднетяжелой форме заболевания пациенту необходима госпитализация в терапевтическое отделение. Если у пациента обнаружен хотя бы один из приведенных ниже случаев, рекомендуется проходить стационарное лечение:
- Пациенту более 60 лет.
- Имеет хронические заболевания.
- Антибиотики не помогают или помогают, но не эффективно.
- Беременность.
Прием антибиотиков рекомендован пациентам только в том случае, если хотя бы один из методов диагностики подтвердил диагноз больного. Важно помнить, что не стоит предаваться самолечению. Если вдруг обнаружили заболевание, стоит незамедлительно обратиться за медицинской помощью. Болезнь дает осложнения, что потом может сильно затруднить процесс выздоровления.
Чтобы не усугубить болезнь, больному важно соблюдать следующие правила:
- Постельный режим.
- Полноценное питание, богатое витаминами.
- Проветривать (в комнате больного всегда должен быть свежий воздух) и поддерживать температуру воздуха в +18 °С.
- При уборке дома, а также комнаты больного следует исключить средства, содержащие в составе хлор.
По рекомендациям врачей, рацион питания больного состоит из следующих продуктов:
- Нежирные мясо и рыба, бульон из курицы, куриное мясо.
- Кисломолочные продукты, а также молоко.
- Свежие овощи и фрукты, сухофрукты.
- Клюквенный морс.
- Соки из фруктов, овощи.
- Крупы, макаронные изделия.
- Чай и отвар из шиповника.
- Свежий мед, варенье.
Внимание! Чтобы выздороветь, больной обязан исключить из рациона питания жирные, жареные, острые, копченые блюда, пациенту категорически запрещается употреблять алкоголь, также запрещены маринады, сладости из магазина, разные консервы, канцерогенные продукты.
Таким образом, становится понятным, как выглядит пневмония на снимке, фото представлено в статье, а также рассмотрены причины и способы лечения патологии.
Коронавирусная инфекция прежде всего поражает лёгкие, начиная с горла и переходя по дыхательным путям к жизненно важному органу. Узнаем, как выглядят лёгкие при коронавирусе на рентгене и в чем отличия COVID-19 от пневмонии.
Как коронавирус выглядит на рентгене?
COVID-19 поражает лёгкие. В плевральной полости вокруг органа дыхания накапливается жидкость и он увеличивается в размерах. Лёгочная ткань покрывается рубцами, и из-за этого человеку становится трудно дышать, так как часть органа разрушается и кислороду трудно попасть в кровь.
При рентгеновском излучении лёгких, поражённых коронавирусной инфекцией, наблюдаются затемнения в нижней части органа (на снимке обозначаются белыми пятнами). Пятна называются симптомом “матового стекла”. На рентгене видны пятна, которые обуславливаются наличием жидкости в лёгких.
Симптом “матового стекла” в легких
Симптом “матового стекла” проявляется у больных на фоне поражения лёгких вирусом. Так как дыхательный орган подвергается серьёзным изменениям, в нём появляются зоны повреждений.
Снижается плотность лёгочной ткани. В поражённом участке проявляется умеренно-сниженная воздушность, главным признаком выступает видимость сосудов лёгких и стенок бронхов.
Заметить данный симптом на рентгене сложно, поэтому требуется дополнительно сделать компьютерную томографию.
Типичные признаки проявления симптома “матового стекла”:
- стенки и структура бронхов чётко проглядываются;
- видны затемнения;
- сохраняется сосудистый рисунок;
- повышается прозрачность лёгочной ткани.
Причины, при которых встречается данный симптом:
- отёк лёгких;
- пневмонии, вызванные вирусными частицами;
- хронические заболевания лёгочных тканей;
- синдром дыхательных расстройств;
- системные заболевания соединительной ткани;
- сердечная недостаточность в стадии альвеолярного отёка лёгких;
- кровотечения из лёгочных сосудов.
Ниже представлены фото, как выглядит симптом “матового стекла” на рентгене и компьютерной томографии:
Как проявляется поражение легких при коронавирусе?
Типичные проявления нарушений органа дыхания при коронавирусной инфекции:
- в лёгких накапливается жидкость и постепенно занимает всё большую площадь;
- поражаются стенки сосудов и клеток крови в лёгких;
- видны затемнения по типу “матового стекла” различного размера, сопровождающееся уплотнением перегородок между альвеолами – пузырями, где капилляры органа обогащаются кислородом;
- в лёгких образуется рубцовая ткань, называющаяся “фиброзом”, вследствие чего снижается растяжимость и эластичность ткани.
Отличия пневмонии от коронавируса?
Пневмония – это воспаление лёгких, которое провоцируется бактериями. Обычная пневмония развивается, когда в органах дыхания скапливается мокрота, поэтому начинается нарушение вентиляции органа и размножаются микроорганизмы.
При пневмонии поражается только часть лёгких, а при коронавирусной инфекции страдает весь орган, он заполняется жидкостью и перестаёт снабжаться кислородом.
Пневмонию, в отличие от коронавируса, можно вылечить антибиотиками, уничтожив возбудителя.
При пневмонии, на рентгеновском снимке легких, видны следующие признаки:
- в разных частях органа находятся очаги затемнения, имеющие неровные контуры и размер 3-12 мм;
- различаются тени по внешнему виду (овальные, кольцевидные, круглые), интенсивности цвета – чем темнее будет пятно, тем сильнее патологический процесс;
- если поражены лимфатические узлы и нарушено кровоснабжение органа, может быть заметно изменение корней лёгких, если поражена плевра – видны нарушения в рисунке куполов диафрагмы.
На рентгеновском снимке пневмония выглядит следующим образом:
Пневмония может развиваться в течение нескольких недель, а инкубационный период COVID-19 составляет 2-5 суток.
Чем отличается атипичная пневмония от коронавируса?
Атипичная пневмония вызвана воздействием микроорганизмов (микоплазм, хламидий, легионелл), являющихся нехарактерными для пневмонии. Также её называют острым респираторным синдромом. Болезнь первоначально проявляется интоксикацией:
- тошнотой;
- повышением потоотделения;
- слабостью;
- учащённым сердцебиением.
Не всегда больного беспокоит кашель. Высокая температура может сохраняться в течение длительного времени. Ещё одна особенность атипичной пневмонии – увеличение числа лейкоцитов в единице объёма крови, который можно определить, сдав анализ.
При атипичной пневмонии легких на рентгеновском снимке видны затемнения:
- мелкоочаговые – не более 3 мм;
- среднеочаговые – не более 7 мм;
- крупноочаговые – не более 12 мм;
- фокусные – более 12 мм.
Атипичная пневмония на рентгеновском снимке:
COVID-19 отличается от атипичной пневмонии тем, что сопровождается прежде всего лёгочными проявлениями. Симптомы обоих заболеваний могут совпадать – повышение температуры, насморк и боль в горле.
Атипичную пневмонию можно вылечить Тетрациклином, Ципрофлоксацином или макролидами. Но при COVID-19 эти средства не эффективны.
Отличие вирусной пневмонии от коронавируса?
Вирусная пневмония отличается от коронавируса более лёгким течением болезни. Распространёнными возбудителями вирусной пневмонии являются вирусы группы A и B, аденовирусы и вирусы парагриппа.
Как и при простой пневмонии, при вирусной форме заболевания, на рентгене видны такие же признаки поражения легких:
- затемнения;
- тени разной формы и размера;
- изменение корней легких.
Вирусная пневмония на рентгеновском снимке выглядит следующим образом:
Коронавирус отличается от вирусной пневмонии данными признаками:
- быстро развивается тяжёлая форма патологии, вирусная пневмония даже при неутешительных прогнозах оставляет шансы на выздоровление;
- коронавирус сопровождается учащённым сухим кашлем, если поражены оба лёгких, выделяется мокрота;
- плохо сбивается температура, при вирусной форме пневмонии по утрам температура уменьшается.
Самостоятельно отличить коронавирус от воспаления лёгких невозможно.
Коронавирусная инфекция оказывает разрушающее действие на легкие. Поэтому при ухудшении самочувствия, нужно обратиться за медицинской помощью. Такой подходит значительно увеличивает шансы на выздоровление.













