Пневмония – острое воспаление нижнего отдела дыхательных путей и ткани легких инфекционного характера.
Еще несколько десятков лет в России диагноз «пневмония» служил обязательным поводом к госпитализации больного в стационар, сейчас же все изменилось: ряд легких форм заболевания возможно лечить дома под ежедневным наблюдением лечащего врача.
Когда больного пневмонией обязательно госпитализировать в стационар?
- Если возраст пациента старше 70 лет;
- Если анализ крови показал такие отклонения, как пониженная лейкопения или высокий лейкоцитоз;
- В случае аспирации дыхательных путей;
- Если пациент теряет сознание, бредит;
- При учащенном дыхании;
- Если у больного имеются выраженные симптомы сепсиса;
- При наличии инфекционных метастаз;
- Если пневмония осложнена экссудативным плевритом;
- Если поражено много долей легкого;
- При абсцессе легкого;
- По социальным показаниям (бездомный, одинокий старик);
- Если амбулаторное лечение антибактериальными средствами было неэффективным за 3 суток;
- Если пневмония сочетается с хронической обструктивной болезнью легких (ХОБЛ);
- При застойной недостаточности в сердце;
- Когда пневмония сочетается с хроническими заболеваниями (нефрит, гепатит);
- При алкоголизме;
- При токсикомании;
- Если у больного наблюдается иммунодефицитное состояние.
Важно отличать пневмонию от заболеваний со сходной симптоматикой: туберкулез, легочный сепсис, легочные опухоли.
Неосложненные пневмонии у взрослых возможно лечить дома под наблюдением участкового врача.
Застойная пневмония и ее профилактика в стационаре
Застойная пневмония – воспаление легочной ткани на фоне нарушенной вентиляции бронхов и легких, скопившейся мокроты в альвеолах, развившееся из-за малоподвижного образа жизни
Кто более всего подвержен застойной пневмонии?
- Люди в возрасте 60 лет и старше;
- Больные после сложных травм ног и тазовых костей;
- Пациенты после инсульта или травмы черепа;
- Больные последней стадией рака;
- Люди, перенесшие тяжелые оперативные вмешательства.
Профилактические меры:
- Лечебная гимнастика (лежачим больным — дыхательная) снимает застой крови в венах, улучшает дренажную функцию;
- Тяжелых больных рекомендовано несколько раз в сутки переворачивать с бока на бок, придавать им положение «полусидя»;
- Прогревания легких;
- Баночный или перкуторный массаж;
- Витаминотерапия;
- Хорошее питание.
Лечение пневмонии в стационаре
Перед назначением лечения необходимо правильно поставить диагноз. Для этого нужно сделать рентген легких (2 проекции) и сдать кровь на анализ. Возбудитель определяется путем исследования мокроты. Так как бактериологическое исследование (выявление вида микроорганизмов, ставших причиной пневмонии) завершится через 3-4 суток, то первичный выбор антибиотика производится эмпирическим (опытным) путем.
В случае, когда первичная антибактериальная терапия оказалась недейственной, повторный выбор антибиотика осуществляется с опорой на уже проведенный анализ биохимии.
Таблица 1: Вероятные возбудители пневмонии в различных ситуациях. Схема эмпирического выявления возбудителя.
| Ситуация | Вероятный возбудитель |
| Пациент моложе 25 лет | Пневмококк, хламидия, микоплазма |
| Пациент старше 60 лет | Гемофильная палочка, пневмококк |
| Пациент с хроническим бронхитом | Гемофильная палочка, пнемококки, грамотрицательная палочка, моракселла |
| Курящий больной | Моракселла, гемофильная палочка |
| Пациент с алкоголизмом | Микробактерия туберкулеза, пневмококки, клебсиеллы, анаэробы |
| Наркоман, принимающий наркотики внутривенным путем | Анаэробы, стафилококки, пневмоциста, микробактерия туберкулеза |
| Пациент с обмороками, удушьем, судорогами | Анаэробы |
| Больной, имевший контакты с птицами | Гистоплазма, хламидии |
| Пациент, больной гриппом | Вирус гриппа, гемофильная палочка, стафилококк, пневмококки |
| Больной ВИЧ | Пневмоциста, легионеллы, грамотрицательная палочка, микробактерия туберкулеза, пневмококки |
После эмпирического выявления возбудителя производится выбор антибактериального средства с опорой на таблицу 2. Схема выбора при лечении пневмонии такова: при отсутствии противопоказаний к препаратам из первого ряда врачи выбирают именно их. И лишь в случае индивидуальной непереносимости антибиотиков из этой подгруппы предпочтение отдается альтернативному антибактериальному средству из второй группы.
Таблица 2: Схема выбора антибиотика по известному возбудителю.
| Вероятный возбудитель | Антибиотик первой очереди | Альтернативный антибиотик второй очереди |
| Стрептококк (+ пневмококк) | Пенициллин, Аминопенициллины | Макролиды, Цефалоспорины (2 поколение) |
| Гемофильная палочка | Ампициллин, Сульбактам, Амоксициллин, Клавулановая кислота, Цефалоспорины (3 поколение) | Фторхинолоны, Хлорамфениколы |
| Хламидия или Микоплазма | Макролиды | Фторхинолоны, Доксициклин |
| Легионелла | Макролиды | Фторхинолоны, Рифампицин |
| Стафилококк | Оксациллин, Сульбактам, Ампициллин, Клавулановая кислота, Амоксициллин | Фторхинолоны, Цефалоспорины (3-4 поколение), Ванкомицин, Карбапенемы |
| Энтеробактерия, Клебсиелла или Ацинетобактерия | Аминогликозиды, Фторхинолоны | Цефалоспорины (3-4 поколение), Карбапенемы |
| Анаэроб | Метронидазол | Клиндамидин, Карбапенемы |
| Пневмоциста | Ко-тримоксазол | нет |
Необходимо уточнить, что при тяжелом течении пневмонии эмпирическим путем подбирается антибактериальное средство самого широкого спектра действия (уничтожающее самое большое число видов потенциальных возбудителей заболевания).
Антибиотик пациентам с тяжелым воспалением легких вводится внутривенным путем вплоть до значимых видимых улучшений.
Выделяют 2 типа пневмонии: внебольничные (те, которые начались вне больничных стен) и внутрибольничные (когда заражение произошло в стенах стационара). Для каждого типа заболевания существуют особые стандарты лечения антибактериальными средствами.
Таблица 3: Схема выбора антибиотика при внебольничном типе пневмонии.
| Клинические проявления | Возбудитель | Антибактериальный препарат |
| Легкая и средней тяжести пневмония у пациентов в возрасте до 60 лет | Микоплазма, Хламидия, Пневмококки | Макролиды, Фторхинолоны, Аминопенициллины |
| Легкая и среднетяжелая пневмония у людей старше 60 лет | Пневмококк, Стрептококк, Гемофильная палочка | Аминопенициллины,Ампициллин, Сульбактам, Амоксициллин, Клавулановая кислота, Цефалоспорин (2-3 поколение), Фторхинолоны |
| Тяжелые пневмонии | Пневмококки, Гемофильная палочка, Полимикроб, Легионелла | Ампициллин, Сульбактам, Амоксициллин, Клавулановая кислота, Цефалоспорин (2-3 поколение), Макролиды, Фторхинолоны |
| Тяжелые пневмонии, сочетающиеся с факторами высоко риска летальности | Легионелла, Пневмококки, Грамотрицательная бактерия, Полимикроб | Карбапенемы, Цефалоспорины (3-4 поколение), Фторхинолоны, Макролиды |
При этом чаще всего выбираются следующие препараты:
- Макролиды – Азитромицин, Кларитромицин, Рокситромицин, Джозамицин, Спирамицин, Эритромицин;
- Фторхинолоны – Левофлоксацин, Спарфлоксацин, Моксифлоксаин.
Внебольничные пневмонии тяжелого течения изначально лечат с помощью парентерального введения (инъекции) антибактериальных препаратов.
Таблица 4: Схема выбора антибиотика при внутрибольничном типе заболевания.
| Клинический случай | Возбудитель | Антибиотик |
| Обширная аспирация, была проведена полостная операция | Грамотрицательная палочка, Стафилококки, Анаэроб | Цефалоспорины (3-4 поколение), Аминогликозиды, Метронидазол, Ципрофлоксаин, Карбапенемы |
| Пациент в коме, после травмы черепа | Стафилококк, грамотрицательная палочка | Амоксициллин, Клавулановая кислота, Цефалоспорины (3-4 поколение), Аминогликозиды, Карбапенемы |
| Пациент находится в стационаре долгое время, под аппаратом искусственного дыхания, была проведена антибиотикотерапия. Наличие прочих опасных факторов. | Стафилококки, Грамотрицательная палочка, Синегнойная палочка | Цефтазидим, Цефалоспорины (4 поколение), Ванкомицин, Аминогликозиды |
Кроме антибактериальных средств пациенты при стационарном лечении пневмонии должны принимать:
- Обезболиающие средства;
- Нестероидные противовоспалительные средства;
- Муколитические препараты;
- Антигистаминные средства;
- Отхаркивающие медикаменты.
Пациентам, в зависимости от степени тяжести пневмонии, могут быть показаны такие процедуры:
- Физиотерапевтическое лечение (УВЧ, электрофорез);
- Массаж спины и грудины;
- Дыхательная гимнастика.
Сроки стационарного лечения пневмонии
Сколько необходимо принимать антибактериальные препараты?
Длительность лечения антибиотиками зависит от тяжести пневмонии и ее возбудителя.
Пневмонии легкие лечат антибактериальными препаратами 7 дней, среднетяжелые – 10 дней, а терапия тяжелых воспалений легких с различными осложнениями может затянуться на срок в 3 недели и дольше.
В зависимости от возбудителя пневмонию лечат:
- Пневмококки – время до нормализации температуры пациента и 5 суток после;
- Легионеллы – 3 недели;
- Синегнойная палочка, Энтеробактерия – от 3 до 6 недель;
- Стафилококки – 3 недели.
Пациентов с таким тяжелым осложнением, как абсцесс легкого, лечат антибактериально в стационаре до 3 месяцев.
Лечение пневмонии в дневном стационаре
В дневном стационаре лечатся люди, которым необязательно 24 часа в сутки находиться под наблюдением врачей. Пациенты приходят утром в стационар, их осматривает врач, назначаются и проводятся нужные процедуры. После небольшого необходимого отдыха пациент свободен и может вернуться домой (или на место работы) до следующего утра.
Часто в дневной стационар из стационара круглосуточного перенаправляются пациенты, больные пневмонией для окончательного излечения (проведение физиотерапевтического лечения, наблюдение врачом).
Особенности лечения взрослых в стационаре
- Опасный период, в который наиболее высока вероятность летального исхода пациента – 4 суток с начала терапии (при условии, что больной поступил в стационар сразу после значительного ухудшения самочувствия и повышения температуры тела);
- «Нетяжелым» больным для профилактики застойной пневмонии и пролежней на спине необходимо вставать с кровати на полчаса (посидеть) и постоянно менять положение тела;
- Нужно очень много пить и соблюдать специальную диету;
- Пациентам с тяжелой пневмонией показаны ингаляции с кислородом;
- Если больному трудно дышать, снижена проходимость дыхательных путей, ему могут проводить процедуры по искусственной вентиляции легких.
Лечение беременных в условиях стационара
Беременные легкой пневмонией могут лечиться и в домашних условиях под постоянным наблюдением врача. Пациентки, у которых присутствуют хронические заболевания (астма) и женщины с тяжелым и средней тяжести воспалением легких должны быть помещены в стационар.
Тип учреждения определяется сроком беременности:
- До 22 недели – терапия;
- После 22 недели – акушерский стационар.
Кстати, вот тут можно пройти тесты по акушерству: https://pervaya-pomoshch.ru/test/akusheru
Если беременная больна тяжелой пневмонией с осложнениями, возможна ее госпитализация в реанимационное отделение.
Аборт и преждевременные роды при пневмонии не нужны – они могут вызвать значительное ухудшение состояния пациентки.
Пневмонию беременных лечат антибиотиками, которые врачи выбирают исходя из таких особенностей:
- Антибиотик подбирается с учетом возможных последствий для плода;
- Через 2 дня после дозированного приема назначенного средства производится оценка эффективности выбранного препарата. Если средство неэффективно, его меняют;
- При тяжелом типе пневмонии антибактериальный препарат вводится внутривенным путем.
Особенности лечения детей в стационаре
Пневмония занимает одну из лидирующих позиций в прииске причин ранней смертности малышей.
У детей чрезвычайно сложно отличить воспаление легких от бронхита: клинические проявления схожи. При пневмонии дыхание у ребенка учащено, мягкие места грудины втягиваются внутрь вместе с вдохом.
Антибиотикотерапия внебольничных и внутрибольничных пневмоний в целом схожа с лечением воспаления легких у взрослых и отличается лишь дозировками препаратов.
У малышей выделяют еще один вид пневмонии: внутриутробная, которая начинает проявляться в первые 3 суток после рождения младенца.
Таблица 5: Схема выбора антибиотиков при внутриутробной пневмонии.
| Форма пневмонии | Антибиотик 1 очереди | альтернатива |
| Ранняя внутриутробная пневмония | Ампициллин, Амоксициллин, Клавуланат в счетании с Аминоглкозидом | Цефотаксим и Аминогликозид |
| Поздняя внутриутробная пневмония | Цефтазидим, пенициллин антисинегнойный в сочетании с Аминогликозидом |
Карта больного дневного стационара
Для каждого пациента в индивидуальном порядке в стационаре заводится карта больного дневного стационара по пневмонии, в которой полностью в мельчайших подробностях описывается производимое лечение, указываются все препараты и их дозировки. Карта находится на руках у пациента во время лечения, а после его окончания ее изымают для ведения статистики.
Какова летальность после лечения пневмонии в стационаре?
- Вероятность летального исхода при лечении пневмонии легкого типа в домашних условиях составляет 3%;
- Летальность от пневмонии в условиях стационара – 10%;
- Смертность от пневмонии в реанимационных блоках и отделениях интенсивной терапии – около 40%.
Выписка из стационара
Выписывают пациентов из стационара после полного окончания курса антибактериальной терапии и стабилизации состояния. В отдельных случаях возможен перевод больного из круглосуточного в дневной стационар для продолжения лечения.
Образец выписки из стационара после пневмонии
Образец выписки ребенка из стационара после пневмонии
Воспаление легких после выписки
После выписки восстановительный период организма после пневмонии займет от нескольких месяцев до года, в зависимости от тяжести перенесенного заболевания. Все это время человек стоит на учете в диспансере, периодически проходит обследования и сдает анализы для предотвращения рецидивов.
Полезные рекомендации пациентам, перенесшим пневмонию:
- Соблюдение четкого режима сна и отдыха;
- Правильное и разнообразное питание;
- Регулярное совершение длительных прогулок;
- Проветривание жилых помещений;
- Отказ от курения и алкоголя;
- Вакцинация от гриппа в опасный период;
- Реабилитация в санатории;
- Регулярное выполнение гимнастики.
Больничный лист
Больничный лист выписывается человеку на все время пребывания в стационаре. Если пациент выписан из стационара, но продолжает лечиться дома под наблюдением лечащего врача – больничный после выписки из стационара могут продлить еще на 10 суток.
Пневмония представляет собой воспалительное заболевание легочной ткани, при котором происходит образование очага воспаление, появляется мокрота и в очаге размножаются патогенные микроорганизмы.
Болезнь может протекать в скрытой форме или же проявляться сразу в виде высокой температуры, сильного кашля и других симптомов. Лечение патологии у взрослых предполагает несколько схем, а также использование различных препаратов.
Виды заболевания
Специалисты классифицируют заболевание в зависимости от тяжести его течения, механизма развития, типа возбудителя. Помимо этого, существует классификация, разделяющая болезнь в зависимости от площади поражения легочной ткани.
В зависимости от степени поражения тканей легких различают 3 разновидности патологии:
| Разновидность | Особенности |
| Односторонняя | Этот вид считается наиболее легкой формой воспаления. Поражается только небольшой участок правого или левого легкого. Обычно очаг имеет небольшой размер и не провоцирует тяжелые симптомы. |
| Двусторонняя | При этом в процесс вовлекается правое и левое легкое. В них образуются очаги разного размера, которые осложняют течение патологии. Обычно болезнь протекает тяжело и может провоцировать осложнения. |
| Тотальная | Наиболее тяжелая форма пневмонии, когда в процесс вовлекается не только легочная ткань, но и прикорневые зоны легких. При этом состояние больного критичное, в большинстве случаев при несвоевременном лечении повышается риск развития осложнений. |
В зависимости от тяжести течения патологического процесса выделяют пневмонию легкой, средней и тяжелой степени. Последняя считается наиболее опасной, вторая встречается довольно часто, а первая нередко протекает в скрытой форме, что также может провоцировать неприятные последствия.
Если учесть характер течения болезни и ее начало, можно выделить острую и хроническую форму.
Острая возникает первично и сразу провоцирует выраженные симптомы.
Хроническая протекает с менее выраженными признаками, от 2 до 4 раз в год у пациента наблюдается рецидив. В некоторых случаях рецидивы протекают тяжело.
В зависимости от механизма развития патологии также выделяют несколько форм воспаления.
Первичные пневмонии становятся самостоятельным заболеванием, вторичные – следствие другого воспалительного процесса.
Посттравматические и постинфарктные – результат застоя мокроты в легких при длительном пребывании в горизонтальном положении и нарушении оттока крови в малом кругу кровообращения.
Помимо этого, встречаются постоперационные виды воспаления легочной ткани, механизм развития которых аналогичен посттравматическим. В зависимости от вида возбудителя выделяют вирусные и бактериальные пневмонии, а также грибковые, протозойные и смешанные. Второй тип считается наиболее распространенным и хорошо поддается лечению при своевременном его начале.
Эпидемиологи также делят заболевание на несколько разновидностей в зависимости от предрасполагающего фактора:
- О внегоспитальном воспалении говорят в случае, когда пациенту сразу после обращения к врачу диагностировали пневмонию.
- Внутригоспитальная форма развивается при нахождении пациента в стационаре. Обычно он проходит лечение какого-либо другого органа, а пневмония является осложнением. В большинстве случаев внутригоспитальная форма лечится очень тяжело и длительно, поскольку провоцируется микроорганизмами, устойчивыми к антибиотикам.
- Иммунодефицитная разновидность возникает на фоне ослабления иммунитета.
- Атипичная пневмония представляет опасность, поскольку протекает скрыто или сопровождается нетипичными симптомами.
В зависимости от вида заболевания отличается клиническая картина патологии. Помимо этого, выделяют обширную пневмонию, очаговую и крупозную. Каждый вид сопровождается разными проявлениями.
Стадии и степени
Пневмония (лечение у взрослых предполагает использование средств из разных групп) независимо от формы и разновидности протекает в несколько стадий. Отличием считается симптоматика, которая при различных типах болезни может присутствовать или отсутствовать, проявляться с разной степенью интенсивности.
Начальная или легкая стадия сопровождается отсутствием симптомов или невыраженным их проявлением. Пациент говорит о слабости и незначительном повышении температуры тела, но считает, что это проявления простуды.
На средней или прогрессирующей стадии появляются более выраженные признаки. Температура тела повышается значительно, появляется кашель и другие выраженные признаки пневмонии. Тяжелая или запущенная стадия характеризуется острыми проявлениями, лихорадкой, болью во всем теле. Появляются и другие симптомы, характерные для воспаления.
Важно помнить, что при тяжелой форме патологического процесса одна стадия переходит в другую гораздо быстрее, чем при скрытом течении.
Именно поэтому врачи почти не могут различить этот переход при остром начале заболевания. Однако при каждой форме эти стадии присутствуют в клинической картине.
Симптомы
Заболевание характеризуется множеством выраженных симптомов. Внешне болезнь проявляется только на прогрессирующей и запущенной стадии. Кожа пациента становится бледной и прохладной на ощупь, черты лица немного заостряются. При длительном течении патологии больной теряет вес, кожа становится влажной или же сухой.
Другие проявления пневмонии:
- Слабость и боль в мышцах, суставах.
- Сонливость и снижение работоспособности.
- Нарушение сна, проявляющееся в беспокойстве, ночных кошмарах, потливости в ночное время.
- Лихорадка или незначительное повышение температуры тела. Второе наблюдается при хроническом течении воспалительного процесса.
- Одышка при физических нагрузках. В запущенных случаях симптом проявляется даже в покое, особенно при нервном напряжении.
- Кашель разной интенсивности, что зависит от степени поражения легочной ткани. При этом выделяется небольшое количество мокроты на начальной стадии. По мере прогрессирования состояния количество мокроты увеличивается, а интенсивность кашля усиливается. Мокрота имеет желтоватый или зеленоватый оттенок. Однако при крупозной пневмонии характерным симптомом считается мокрота «ржавого» цвета.
- Ухудшение аппетита, вплоть до полного его отсутствия.
- Сильная жажда и сухость слизистых оболочек полости рта.
- Боль в груди, усиливающаяся при глубоком вдохе и выдохе.
- Тахикардия, аритмия. Подобные симптомы появляются у пациентов зрелого возраста, в анамнезе которых сердечно-сосудистые патологии.
- Головная боль и головокружение, усиливающееся при физических нагрузках или волнении.
У некоторых пациентов появляются признаки респираторного заболевания в виде насморка, боли в горле, слезотечения.
Причины появления
Пневмония (лечение у взрослых предполагает предварительное обследование) может быть спровоцирована различными факторами.
К общим причинам относят следующие:
- Частые респираторные и вирусные патологии, которые осложняются пневмонией.
- Отрицательное воздействие факторов внешней среды на ткани легких.
- Ослабление защитных сил организма.
- Регулярное переохлаждение.
- Отсутствие своевременного лечения простудных болезней.
- Аллергическая реакция на пыльцу, шерсть животных и другие вещества.
Первичная пневмония вызывается проникновением бактерий в легкие человека, вторичная – в результате хронического бронхита и других патологий дыхательной системы. Иммунодефицитная разновидность становится результатом ослабления иммунитета в результате проникновения в организм вируса СПИДа.
Streptococcus pneumoniae
Госпитальная пневмония развивается во время пребывания пациента в стационаре. Бактериальная форма – следствие проникновения в легкие микроорганизмов. В 30% всех случаев воспаление провоцируют стрептококки. Помимо этого, болезнь может быть спровоцирована стафилококками, гонококками, хламидиями. В 40% случаев возбудитель заболевания не удается установить.
Посттравматическая и постинфарктная пневмония – результат застоя мокроты в легких и крови в малом кругу кровообращения. Это происходит, когда больной длительное время находится в горизонтальном положении и не способен полноценно откашливать мокроту.
Атипичная форма заболевания считается наиболее сложной в диагностировании, поскольку провоцируется различными бактериями, а также другими факторами.
Диагностика
Для диагностирования заболевания пациенту необходимо пройти обследование, которое включает несколько эффективных методов.
Клиническое и биохимическое исследование крови в государственных клиниках проводят бесплатно, в частной цена составляет примерно 300-400 руб. Метод относится к стандартным, помогает оценить общее состояние больного, а также обнаружить признаки воспаления на ранней стадии. Например, эозинофильная пневмония выявляется путем развернутого клинического анализа крови.
Общий осмотр и опрос больного позволяет выявить предположительную причину патологии. Специалист не только выслушивает жалобы пациента, но и проводит аускультацию, то есть прослушивает легкие для выявления хрипов или других нарушений.
Обычно дыхание человека затруднено, возможно отсутствие хрипов или же выраженное их проявление, что зависит от формы и стадии болезни. Метод эффективен, обычно не требует оплаты и проводится в любом учреждении.
Анализ мокроты – один из наиболее эффективных методов, который проводится в государственных клиниках и не требует оплаты.
Пациент собирает мокроту в стерильный контейнер, правила сбора объясняет врач. После этого материал направляется в лабораторию для диагностики. Результат помогает выявить возбудитель заболевания.
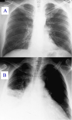
Рентгенография легких – наиболее эффективный метод диагностики, стоимость которого не превышает 300 руб.
Проводится в любом учреждении и помогает выявить локализацию очага поражения. Благодаря снимкам специалист может оценить степень поражения тканей.
Благодаря комплексной диагностике врач выявляет стадию и форму болезни, что помогает назначить наиболее адекватную терапию.
Когда необходимо обратиться к врачу
Пневмония является довольно опасным заболеванием. При появлении первых ее признаков требуется обратиться к специалисту. Лечение заболевания у взрослых проводит пульмонолог. Однако в небольших городах узкий специалист не всегда имеется, поэтому терапией занимается терапевт.
Даже если обследование показывает начальную стадию болезни не стоит откладывать визит к врачу.
Профилактика
Для предупреждения патологии рекомендовано укреплять иммунную систему с помощью правильного питания и соблюдения принципов здорового образа жизни. Необходимо заниматься спортом, следить за массой тела и отказаться от вредных привычек, особенно сигарет.
Помимо этого, следует своевременно лечить респираторные заболевания, а также бронхит. На это стоит обратить особое внимание пациентам, которые страдают хронической формой бронхита. Дополнительно рекомендуется при появлении сильного кашля, сохраняющегося более 7 дней, посетить врача, который проведет аускультацию легких.
Пациентам, которые вынуждены длительно находиться в горизонтальном положении после операции или травмы, необходим особый уход. Его следует регулярно и осторожно приподнимать, позволяя полноценно кашлять, чтобы мокрота отходила. При соблюдении рекомендаций вероятность развития воспаления значительно снижается.
Методы лечения
Специалисты используют для терапии пневмонии несколько методов. Лекарства, народные средства и другие процедуры помогают быстро устранить симптомы болезни.
Схема лечения
Независимо от формы заболевания специалисты используют 3 схемы антибиотикотерапии. Выбор зависит от возраста пациента. Отличается только дозировка препаратов и длительность их использования.
Наиболее распространенные схемы:
- Пациентам от 20 до 40 лет назначают Амоксиклав в сочетании с Доксициклином.
- Больным старше 40 лет – Кларитромицин и Цефтриаксон, а также Сумамед.
- Пациенты старше 60 лет получают только Цефтриаксон, поскольку другие антибиотики являются сильнодействующими.
Помимо этого, каждая схема включает жаропонижающие медикаменты, муколитические, противовоспалительные. Дополнительно в лечение включают пробиотики, а также медикаменты для очищения крови и восстановления водного баланса в организме.
Лекарственные препараты
Пневмония (лечение у взрослых включает сильнодействующие антибиотики) лечится с помощью применения нескольких средств из разных групп. При тяжелом течении используют средства для парентерального введения, при легком и среднем –пероральные средства.
Наиболее часто назначают следующие лекарства:
- Азитрал – антибиотик из группы макролидов, отличающийся высокой эффективностью и относительной безопасностью. При легком течении пациенту назначают по 1 таблетке (500 мг) 2 раза в сутки на протяжении 5-7 дней. При тяжелом – внутривенно вводится физиологический раствор в количестве 200 мл, в который добавляют 1 флакон (1 г) лекарства. Процедуру проводят 2 раза в сутки на протяжении 7-10 дней. Препарат быстро уничтожает бактерии разного вида и снимает воспаление. Цена лекарства – от 100 до 200 руб. в зависимости от формы и дозировки.
- Цефтриаксон – эффективный антибиотик, позволяющий быстро уничтожить бактерии в легочной ткани. Используется в форме порошка, из которого готовят раствор для внутримышечного и внутривенного введения. В сутки больной получает от 2 до 4 г средства, длительность курса – 10 дней. Стоимость 1 флакона – от 20 руб.
- Лазолван – муколитическое средство, которое стимулирует выработку и отхождение мокроты. Назначается в форме таблеток и раствора для внутривенного введения. Таблетки стоит принимать по 2 штуки 3 раза в сутки на протяжении 10 дней. Раствор вводят 1 раз в сутки внутривенно от 2 до 4 мл. Длительность курса – 10 дней. Средство считается очень эффективным. Цена лекарства – от 60 до 350 руб.
- Нимесил – порошок для приготовления раствора для приема внутрь. На 1 прием берется 1 пакетик, который растворяют в 100 мл теплой воды. Принимать разрешается от 2 до 4 раз в сутки при сильном жаре, боли и воспалении. Курс длится 5 дней. Средство очень эффективное, помогает быстро снизить температуру тела, устранить боль и улучшить общее состояние. Цена средства – от 40 руб. за 1 пакетик.
- Реосорбилакт – раствор для очищения крови от токсинов, который в избытке присутствуют в системном кровотоке больного. Отличается эффективностью и мягким воздействием на организм. В сутки пациенту вводят 200-400 мл раствора внутривенно с помощью капельницы. Курс длится от 5 до 10 дней. Цена лекарства – от 120 руб. за флакон.
- Раствор Рингера – средство на основе солей, которое восполняет дефицит жидкости и помогает предотвратить обезвоживание. Вводится пациенту внутривенно по 200-400 мл в сутки на протяжении 5 дней. Препарат эффективен и безопасен, уменьшает проявления интоксикации в виде головной боли, тошноты и других симптомов. Цена лекарства – от 80 руб. за флакон.
- Алоэ – препарат в форме раствора для внутримышечного введения, отличается высокой эффективностью, стимулирует рассасывание очагов поражения в легочной ткани. Пациенту вводят от 1 до 2 мл раствора внутримышечно ежедневно, курс длится 10 дней. Цена лекарства – от 100 руб. за упаковку.
- Линекс – препарат для нормализации микрофлоры кишечника. Капсулы помогают предотвратить дисбактериоз, спровоцированный лечением антибиотиками, считаются очень эффективными и безопасными. В сутки больной принимает по 1 капсуле. Длительность курса – 7 дней. Цена лекарства – 300 руб. за упаковку.
В период восстановления пациенту назначают витаминные комплексы, которые подбираются индивидуально. Обычно терапия длится не более 2 недель, но в запущенных случаях понадобится до 4 недель для полного выздоровления.
Народные методы
Пневмония (лечение у взрослых может включать рецепты народной медицины) иногда лечится с помощью нетрадиционных методов. Домашние рецепты не могут стать единственным способом терапии, но выступает в качестве вспомогательного.
- Отвар чабреца и мать-и-мачехи помогает стимулировать выработку и отхождение мокроты из легких. На 1 л воды понадобится по 5 г каждого ингредиента в сухом виде. Варить состав следует 3 мин, настаивать – 30 мин. После этого профильтрованное средство принимать по 200 мл 3 раза в сутки. Длительность курса – 5-7 дней.
- Отвар липы – природное жаропонижающее и потогонное средство. Получить его можно путем кипячения 5 г сухой травы в 500 мл воды на протяжении 2 мин. Готовое и профильтрованное средство следует принимать перед сном по 300 мл. Курс длится 5 дней.
- Сок алоэ стоит принимать на протяжении 7 дней по 10 мл в сутки. Приготовить его можно путем измельчения свежих мясистых листьев. После этого следует отжать их через марлю, полученный сок хранить в холодильнике не более 3 дней.
Прочие методы
Для ускорения периода восстановления легких используют массаж, иглоукалывание и специальную технику дыхания.
Массаж должен проводиться специалистом. Врач использует методику, которая позволяет ускорить отхождение остаточной мокроты из легких. Сеанс длится 20 мин, периодичность проведения – 1 раз в 2 дня, количество процедур – от 10 до 15.
Иглоукалывание – эффективный альтернативный метод лечения, при котором в определенные точки на коже пациента вводятся иглы и оставляются там на некоторое время. Сеанс длится от 30 до 40 мин, проводится 1 раз в 3 дня на протяжении месяца.
Специальную технику дыхания пациент может применять самостоятельно в домашних условиях. Она заключается в полном освобождении легких от воздуха с последующим резким их заполнением. После этого необходимо снова резко выдохнуть и на 3-5 сек задержать дыхание
Предыдущая статья
Ожог у ребенка куда обращаться
Следующая статья
Острый экссудативный средний отит у детей лечение …
Связанные материалы
- Пневмония Правосторонняя пневмония у ребенка 2 By Кудяев Яков 4 года ago
- Пневмония Клебсиелла пневмония в зеве у взрослого лечение By Дорогова Зинаида 4 года ago










