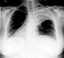
Пневмония – острое воспаление нижних дыхательных путей, вызванное инфекцией. В процессе болезни зачастую поражается и легочная ткань. В нашей стране, согласно официальной статистике, ежегодно пневмонией заболевают более миллиона человек. И как бы ни прогрессировала сегодня медицина, смертность от пневмонии по-прежнему находится в пределах пяти процентов.
Видовые особенности пневмонии
Для того чтобы однозначно ответить на вопрос о том, как можно заболеть пневмонией, нужно понимать, что это заболевание, в зависимости от различных факторов, подразделяется на виды.
Первый вид — так называемая застойная пневмония. Она возникает вследствие кровяного застоя в легких, верхней их части, или бронхах. Считается заболеванием, сопровождающим осложнения, поэтому этот вид пневмонии незаразен.
Второй вид – очаговая. Это остро проходящая болезнь, зона очагов которой расположена в одном, реже нескольких местах легких. Врачи разделяют двустороннюю, лево- или правостороннюю очаговую пневмонию. Этот вид особо опасен. Во-первых, он однозначно заразен. Во-вторых, болезнь протекает, не проявляя себя ни внешне, ни внутренне.
Третий вид – пневмония внебольничная (атипичная). Иногда ее называют вирусной. Возникает из-за поражения тканей легких инфекционно-бактериальным путем. Возбудителями являются множественные вирусы, хламидии, сальмонеллы, легионеллы, микоплазмы и прочие атипические виды возбудителей.
Опасен ли этот вид пневмонии? Да. Но у зараженного начинается совершенно другое воспалительное заболевание, вызванное оказавшимся в дыхательных путях возбудителем.
Четвертый вид – пневмония прикорневая. Острая инфекционно-воспалительная болезнь, которая сложно диагностируется. Как заболевают пневмонией этого вида? Воздушно-капельным способом. Подхватить прикорневой вид достаточно легко, особенно деткам.
Пятый вид — пневмония хроническая. Совершенно естественная форма запущенной болезни. Обычая острая форма без воздействия на нее лекарственных средств переходит в хроническую. Крайне заразна.
Шестой вид – бронхиальная пневмония. Болезнь начинается с попадания в дыхательные пути бактерий и специфических вирусов. Отличается от атипичного вида пневмонии локализацией очагов воспалительного процесса. Поражаются только альвеолы бронхов. Как заболевают пневмонией этого типа? Проще простого: воздушно-капельным путем. Просто вдохнув воздух, зараженный специфическими вирусами или бактериями. Но заболевание развивается не всегда.
Седьмой вид – казеозная пневмония. Заслуженно считается самым опасным и серьезным видом туберкулеза. Начальная стадия заболевания очень скоротечная. Затем начинаются осложнения. Этот вид очень опасен для окружающих.
Восьмой вид – пневмония больничная. Не менее опасна, чем предыдущий вид. Немалая часть возбудителей этого заболевания выработала устойчивость к большинству медикаментозных средств. Поэтому процесс излечения сложный и затяжной. Этот вид тоже очень опасен. Легче всего «подцепить» его в пульмонологическом или терапевтическом отделениях клинических больниц или в поликлиниках. Вот как можно заболеть тяжелой пневмонией.
Как долго длится заразный период
До сих пор этот вопрос медики считают спорным. Однозначного ответа на вопрос о том, за какое время можно заболеть пневмонией, нет. Есть некая зависимость от подвида заболевания, возраста больного и других причин.
Если усредненно, то у взрослого человека инкубационный период может длиться от нескольких дней до недели. У детей до месяца и грудничков этот период может протекать несколько недель.
Обязательно нужно учесть, что отсутствие симптомов болезни не означает, что пациент незаразен. Пока возбудители продолжают свое развитие в организме человека, он считается потенциально опасным.
Как заболевают пневмонией
Такие симптомы заболевания, как кашель и чихание, несут в себе большое количество микробов и вирусов, потенциально опасных для окружающих. Здоровому человеку достаточно одного вдоха, чтобы получить необходимую для заболевания дозу. В течение следующих 4-6 дней уже больной человек не ощущает никаких изменений. Иногда фиксируется незначительное увеличение температуры тела. Этот путь, называемый воздушно-капельным, самый распространенный.
Существует бытовой способ распространения данной патологии. Как заболевают пневмонией в этом случае? Больной человек, чихая и кашляя, распространяет в воздушную смесь вирусы и бактерии, которые «ложатся» на предметы одежды, мебели и пр. В таких условиях бактерии будут жизненно активны около четырех часов. Поэтому стоит взяться за что-либо «зараженное» и прикоснуться к слизистой глаза, носа — и можно считать, что болезнь начала свое развитие.
Предполагаемая группа риска
Любой заразный вид пневмонии будет вероятно опасен для:
— людей с заниженным уровнем иммунитета;
— женщин в положении;
— детей;
— людей, имеющих зависимость наркотическую или алкогольную;
— пациентов, которые проходят гормональную терапию;
— людей, находящихся в депрессии или физическом истощении;
— только переболевших простудными заболеваниями, в том числе ОРВИ или ОРЗ;
— пациентов, имеющих хронические болезни: различные виды недостаточностей, диабет и пр.
Переносимость заболевания
Вирусы и бактерии, вызывающие пневмонию, настолько сильны, что даже здоровому человеку с ними справиться трудно. Современные дети подвержены постоянному риску. При неблагополучной экологической обстановке дети, особенно детсадовского возраста, имеют ослабленный иммунитет, что, несомненно, дает пневмонии фору.
Дам в положении врачи предупреждают об этой угрозе с первых дней беременности. И настоятельно рекомендуют не пренебрегать даже малейшими подозрениями на пневмонию. Тут же нужно обращаться к врачу. Пневмония для беременных опасна не только рождением больного малыша и осложнениями родового процесса.
Признаки, дающие повод пойти к врачу
Как узнать, если заболел пневмонией? Достаточно прислушаться к себе. Сначала появляется беспричинная слабость и значительно снижается работоспособность. Затем может начаться лихорадка, с температурой близкой к 400С. Спустя сутки может возникнуть кашель с обилием мокроты. Он спровоцирует одышку (даже в покое), жжение или боль в груди.
Читайте также:
Першит в горле после пневмонии
Практически у всех отмечается бессонница, снижение аппетита, и утомляемость.
При физическом методе диагностики у больного хорошо слышны хрипы (чаще всего мелкопузырчатые) и в районе воспаления притупляется звук. Хотя, по статистике, каждый пятый не имеет локальных симптомов.
Летняя пневмония: миф или реальность
Всегда считалось, что пневмония — это заболевание межсезонное. Ее возникновение провоцируют перепады температуры, заставляющие организм перестраиваться. И пока проходит адаптация, иммунитет снижен и человек готов к принятию и развитию вируса.
Сегодня медики с ужасом констатируют, что заболеть пневмонией летом тоже можно, причем с большой долей вероятности. Благоприятствуют этому высокая атмосферная температура и человеческая беспечность. Большая часть семей нашей страны пользуются кондиционерами, которые, охлаждая воздух в помещении, сильно пересушивают его. Такой воздух — прекрасная среда для развития патогенных микробов, и в частности легионеллы. И дальше как по накатанной. Интоксикация организма, нарушение сна, апатия, потеря аппетита, одышка, мучительный отхаркивающий кашель с гнойными выделениями…
Post scriptum
Поцелуй при пневмонии не так страшен, как рукопожатие!
Пневмонией называют воспалительный процесс, поражающий легочные ткани. Это заболевание носит инфекционный характер, его вызывают различные типы возбудителей. Заразность пневмонии зависит от вида микроорганизма, от степени близости контакта с больным. Кроме того, играет роль и состояние здоровья человека, степень его иммунной защиты: чей-то организм легко справляется с инфекцией, а у кого-то и небольшое количество патогенной флоры приводит к развитию тяжелого воспалительного процесса.
Можно ли заразиться пневмонией
Непосредственно пневмонией заразиться нельзя, это следует из определения заболевания. Оно указывает лишь на локализацию очага воспаления. При определенных условиях патогенная микрофлора, проникнув в организм, может запустить патологический процесс в легких, однако происходит это далеко не всегда.
Спровоцировать воспаление легких могут бактерии, вирусы, грибки, простейшие. Причинами развития пневмонии в большинстве случаев становятся пневмококк, стрептококк и стафилококк. В таких случаях наибольшую опасность для окружающих, человек представляет на начальной стадии заболевания, когда в окружающую среду попадает большое число патогенных микроорганизмов, особенно когда человек кашляет. Однако даже при инфицировании, например, пневмококком, воспалительный процесс в легких развивается в 1-2 случаях из 10. Чаще люди не заболевают, если у них крепкий иммунитет, или воспаление поражает только верхние отделы дыхательных путей, не опускаясь в легкие.
Чаще всего пневмония заразна для окружающих, когда она спровоцирована так называемыми атипичными возбудителями. Среди них распространенными являются микоплазмы, хламидии, легионеллы. Также к атипичным возбудителям причисляют вирусы. Высокой вирулентностью обладает такая бактерия как легионелла, и поражение этим микроорганизмом очень часто приводит к развитию воспалительного процесса в легких.
Вирусы, провоцирующие пневмонию, также заразны. Не факт, что при передаче вируса от одного человека к другому последний заболеет воспалением легких. Например, заражение вирусом кори очень редко вызывает пневмонию. Если у пациента на фоне кори произошло воспаление легких, он будет опасен для окружающих именно как носитель вируса этой болезни, способный передать вирионы здоровому человеку, при этом риск развития воспаления легких очень невысок. Это же касается и тех случаев, когда пневмония развивается как вторичное заболевание, на фоне таких вирусных инфекций, как грипп или ОРВИ. Высок риск получить эти болезни при общении, очень велик – при поцелуях и других близких контактах. Однако вероятность развития пневмонии на их фоне будет зависеть от множества факторов: степени иммунной защиты, состояния здоровья человека и других.
Некоторые виды пневмонии вообще не заразны. Воспаление легких может возникнуть у лежачего больного из-за застоя жидкости в дыхательных путях. Условно-патогенная микрофлора, присутствующая в организме каждого человека, получает оптимальные условия для размножения и активации воспаления.
Группы риска
Не все категории людей подвержены заражению в равной степени. Риск заболеть пневмонией зависит не только от вирулентности микроорганизма, но и от состояния человека, функциональных возможностей его иммунной системы. Самой слабой сопротивляемостью патогенной флоре, которая способна спровоцировать пневмонию, обладают следующие группы людей:
- маленькие дети (до 1-1,5 лет);
- пожилые люди;
- пациенты, страдающие заболеваниями, вызывающими серьезные иммунодефицит;
- беременные женщины;
- пациенты, страдающие хроническими патологиями сердечно-сосудистой системы, бронхов и легких, почек;
- диабетики;
- аллергики;
- люди со сниженным иммунитетом вследствие хронического алкоголизма, наркомании, курильщики.
Пути передачи
Чаще всего бактерии и вирусы передаются от человека к человеку воздушно-капельным или контактным путем. Эти способы попадания инфекции еще называют бронхогенными, то есть инфекция попадает в организм через дыхательные пути. В период начального развития заболевания патогенные микроорганизмы распространяются по воздуху при кашле, чихании, даже просто при разговоре. Воздушно-капельным путем передаются вирусы гриппа, ОРВИ, некоторые виды бактерий.
Патогенная микрофлора передается бытовым путем: через посуду, белье, полотенца и прочие предметы обихода. Не обязательно у всех членов семьи разовьется именно пневмония, но инфицирование бактериями, респираторными вирусами очень быстро затрагивает проживающих на одной территории. Это же иногда происходит и в больницах: нозокомиальные или госпитальные пневмонии считаются наиболее тяжелыми. Микрофлора, которой заражаются в больничных условиях, устойчива ко многим видам антибиотиков. В сочетании с другими факторами (например, больной лежачий) происходит быстрое развитие воспаления легких.
Читайте также:
У ребенка пневмония третий раз
Возможен и еще один механизм распространения инфекции. Если во время беременности женщина подхватит инфекцию, которая приведет к пневмонии, она передает заболевание ребенку. Вирусы и бактерии могут преодолевать плацентарную защиту, также инфекция может быть передана в процессе родов. Новорожденный ребенок будет болеть, хотя у него не обязательно разовьется воспалительный процесс в легких. Однако бывает это довольно часто, так как респираторная и иммунная системы ребенка не так совершенны, как у взрослого. Кроме того, он большую часть времени находится в горизонтальном положении, и легкие легче воспаляются.
Инкубационный период
Каждому микроорганизму нужно время, чтобы «освоиться» в организме, утвердиться и начать размножаться. Время миграции и закрепления патогенной микрофлоры называется инкубационным периодом. На этой стадии заболевания человек уже опасен для окружающих, поэтому при первых же признаках респираторной инфекции лучше обратиться к врачу и начать лечение, оставаясь дома.
Длительность инкубационного периода индивидуальна для различных типов микроорганизмов. Как правило, она составляет несколько дней, редко – неделю и дольше. В это время симптомов практически нет, может наблюдаться снижение тонуса, незначительное повышение температуры.
Профилактика
В целях профилактики рекомендуется сделать вакцинацию от пневмококковой инфекции, ежегодно прививаться от гриппа. Вакцинация – эффективный метод предупреждения заболеваний, которые могут стать причиной пневмонии. Также следует принимать меры по укреплению иммунитета. Необходимы полноценное питание, периодические курсы витаминов, достаточные физические нагрузки.
Уберечь от пневмонии ребенка помогут правильный уход, поддержание нормальных санитарных условий в квартире. Рекомендуется с раннего возраста закаливать детей. Желательно избегать контактов с болеющими респираторными инфекциями людьми. Зимой необходимо следить, чтобы ребенок не дышал холодным воздухом, тщательнее укутывать его. Если обнаруживаются признаки инфекционного заболевания, его следует правильно лечить. Самостоятельное назначение медикаментозных средств или неоконченное лечение ОРВИ может спровоцировать развитие воспаления легких.
Риск заразиться непосредственно пневмонией при контакте с больным крайне мал. Возможна передача патогенных микроорганизмов от носителя к здоровому человеку при некоторых типах воспаления легких, но не пневмонии нозологической формы.
Ну да, болеть плохо. Да и кому же хочется лежать дома или в больнице с высокой температурой и надсадным кашлем, ознобом и ноющей болью в суставах и мышцах. Даже если за окном дождливый и холодный день. Болезнь может на несколько дней, а то и недель выбить из привычной колеи. Кроме того, болеть – это почувствовать в наше время ощутимую нагрузку на кошелёк. Ведь услуги хороших специалистов и стоимость качественных лекарств отнюдь не дешевы. Вот когда болеем, начинаем задумываться о том, почему же болезнь выбрала именно нас. Что с нами не так и что впредь нужно делать, чтобы не подхватить недуг, особенно инфекционный. Грипп, ОРВИ, пневмонию. Как заболевают воспалением лёгких и как уберечь себя от инфицирования?
Определение заболевания
Воспаление лёгких – инфекционное заболевание, при котором поражается лёгочная ткань, альвеолы, участвующие в газообмене. Пневмонию могут спровоцировать преимущественно бактерии, но часто причиной заболевания могут быть вирусы, грибки, хламидии, легионеллы, паразиты (гельминты). Воспаление лёгких диагностируется как самостоятельная болезнь, но бывает и обострением других заболеваний. Чаще всего пневмония начинается с простуды. Симптомы очень тяжело отличить от признаков гриппа или ОРВИ:
- Сильная головная боль;
- Высокая температура;
- Кашель, вначале сухой, раздражающий, а потом с мокротой. Слизистые выделения могут быть с красноватым оттенком, желтовато-зелёные. В первом случае лопаются капилляры и мокроты окрашиваются в розовый цвет, а во втором появляется гной;
- Болезненные ощущения в суставах и мышцах;
- Одышка при незначительных физических нагрузках;
- Плохой сон. Потеря аппетита.
Часто осложнением пневмонии может быть плеврит. В зависимости от тяжести заболевания и других факторов, как то: пожилой возраст, дети до года, пациенты с хроническими заболеваниями сердечно-сосудистой системы, больные помещаются на время лечения в больницу или госпиталь. Если течение болезни без осложнений и слишком высокого повышения температуры нет, то больной может лечиться амбулаторно. Во время обострения заболевания люди часто становятся источником распространения инфекции и способны заразить окружающих.
Если у пациента поставлен предварительный диагноз «пневмония», но через три дня симптомы остаются прежними и улучшения не наступает, следует вызвать на дом врача, но не ехать в поликлинику самостоятельно, рискуя получить осложнения, а также инфицировать окружающих.
Возбудители
Чтобы правильно поставить диагноз доктор направит пациента на сдачу анализов, рентген. Сделает посев мокроты с целью выявления возбудителя. Потому что если пневмония вирусной этиологии то антибиотики не помогут, а только усугубят положение. С другой стороны, вирусные препараты действенны только в первые дни обнаружения симптомов, а если ситуация ухудшается, то придётся принимать антибиотики. Поэтому определение возбудителя крайне важно для правильного и эффективного лечения заболевания.
В половине случаев инфицирования пневмонией первопричиной является пневмококк.
Треть случаев заболевания провоцируют хламидии, легионеллы, микоплазма.
Читайте также:
Пневмония у ребенка инкубационный период
Совсем небольшой процент пневмонии, вызываемой гемофильной палочкой, золотистым стафилококком. Но есть ещё и вирусы (аденовирус, вирус гриппа, парагриппа и другие).
Распространение
Вспышки заболеваний приходятся на осеннее – зимний период, когда организм ещё не успел перестроиться на другой температурный режим. Подтолкнуть к заболеванию может переохлаждение. Но гораздо легче заболеть человеку, имеющему слабый иммунитет. Потому что как только возбудитель проникает в органы верхних дыхательных путей иммунная система, работающая вполсилы, не может справиться с вредоносными микроорганизмами. Они начинают обживаться и размножаться в геометрической прогрессии.
Каким путём могут распространяться возбудители заболевания, а в данном случае пневмонии? Их несколько:
Воздушно-капельный
Наверное, в большинстве случаев заражение проходит воздушно-капельным путём. При чихании или кашле микроорганизмы вместе с частичками слюны попадают на предметы, одежду. Если собеседник стоит близко возле больного воспалением лёгких, то вредоносные микроорганизмы с микрочастицами слюны при кашле без всякого труда попадают на слизистые здорового человека. И понадобится всего несколько дней, чтобы заболевание проявило себя в полную силу.
Алиментарный
Алиментарный путь заражения – заражение через еду или воду. Инфицированный агент проникает в организм вместе с продуктами питания, через грязные руки.
Капельки инфицированной слюны остаются на деньгах, ручках дверей аптек, супермаркетов. Стоит прикоснуться к ним рукой здоровому человеку, а потом вытереть, например, кончик носа или слезу и уже с уверенностью можно сказать, что произошло инфицирование.
Орально-фекальный
Вредоносные микроорганизмы могут выводиться из организма вместе с фекалиями. Тогда, если система канализации работает плохо и дырявые трубы проходят возле таких же по качеству, обеспечивающих водоснабжение населения, то микроорганизмы через употребляемую воду могут попасть в организм человека и инфицировать его. Много есть примеров, когда инфицированный человек, пока не подозревающий о том, что у него начальная стадия пневмонии готовит пищу без термической обработки. Например, те же салаты.
Лечение ХОБЛ препаратами
ХОБЛ: продолжительность жизни и как улучшить свое самочувствие при столь тяжелом диагнозе расскажет эта статья.
Какие симптомы при туберкулезе //drlor.online/zabolevaniya/legkix/tuberkulez/simptomy-i-metodiki-lecheniya.html
Аутоинфекция
Вокруг нас живут своей жизнью бактерии, вирусы, грибки. Но стоит только ослабленному человеку получить какую-то открытую травму с повреждением кожных покровов сразу же может появиться аутоинфекция. Вредоносные микроорганизмы атакуют человека, подверженного стрессам, с низким уровнем иммунитета, онкологическим заболеваниям. Аутогенная инфекция – это заражение организма условно-патогенной микрофлорой, которая активизируется при всяких неблагоприятных для человека условиях. В основе лечения пневмонии при этой форме заражения лежит устранение причин, вызвавших активизацию микроорганизмов.
Другие факторы возникновения заболевания
Более всего предрасположены к пневмонии такие группы людей:
- Пациенты с ОРВИ, гриппом.
- Онкологические больные, прошедшие химиотерапию.
- Пациенты, которые длительно принимали антибиотики.
- Страдающие ХОБЛ, туберкулёзом.
- Перенесшее сильное переохлаждение.
- Курильщики.
- Дети младшего возраста и груднички.
- Люди старше 65 лет.
- Страдающие алкогольной и наркотической зависимостью.
- Пациенты в депрессионном состоянии, после продолжительных стрессов.
- Проживающие в условиях, которые не соответствуют санитарным нормам.
У всех перечисленных категорий населения низкий уровень иммунитета, поэтому они чаще других подвержены инфицированию.
Профилактические методы
Вирусы, бактерии и другие микроорганизмы настолько сильны, что справиться с ними бывает довольно тяжело. Чтобы уберечь себя от пневмонии желательно сделать следующее:
Посоветоваться с врачом и вакцинироваться. Среди самых востребованных препаратов:
- Пневмо 23. Одноразовая дозировка. Можно применять детям старше 2 лет;
Противопоказания к применению – беременность на ранних сроках.
- Превенар. Самый популярный препарат в России. Можно вакцинировать детей с двух месяцев.
Также хорошо бы соблюдать простейшие гигиенические правила:
- Мыть руки после улицы;
- Вытирать глаза и нос только одноразовыми носовыми платочками;
- Пить воду или кипячёную из крана или бутилированную;
- Тщательно мыть перед употреблением фрукты и овощи, купленные на рынке или магазине;
- Обрабатывать антисептиками полученные ранки;
- Не находиться в местах скопления народа во время эпидемий гриппа и других инфекционных заболеваний;
- Если возникла необходимость выйти на улицу в этот период необходимо хотя бы аккуратно смазать носовые ходы Оксолиновой мазью;
- Укреплять иммунитет.
Заболевание пневмонией можно предотвратить, укрепляя иммунную систему и выполняя простейшие гигиенические правила.
Видео
Выводы
Пневмония – инфекционное заболевание, поражающее лёгочную ткань. Воспаление лёгких хорошо лечится на ранних стадиях и намного хуже, когда, например, к вирусной инфекции через некоторое время подсоединяется бактериальная. Инфицированный человек может заразить окружающих воздушно-капельным, алиментарным и другими способами. Поэтому нужно научиться избегать инфицирования пневмонией. Потому что это заболевание грозит многими осложнениями. Профилактические меры совсем несложные и самое главное – это приложить немного усилий для укрепления иммунитета. Тогда никакие бактерии или вирусы не найдут лазейки для проникновения в организм здорового человека.
Также читайте про способы заражения туберкулезом про самые востребованные лекарства при воспалении легких и заразна пневмония или нет и как она передаётся.





