Выявление гидроцефалии плода на УЗИ
Гидроцефалия – это накопление жидкости, подходящей из спинного мозга в головной, в том числе в его желудочки. Этот фактор сопровождается внутричерепным давлением.
Данное заболевание может быть вызвано наличием инфекции либо иной причиной.
Картина этого проявления следующая: из спинного мозга отходит большое количество жидкости, которое в дальнейшем задерживается в головном мозге. Всего имеется 2 класса этого заболевания:
- первичный, полученный в результате врожденных аномалий;
- вторичный, приобретенный еще в утробе при инфицировании плода.
Болезнь классифицируется по следующим направлениям:
- приобретенная патология;
- врожденное заболевание;
- открытая, или сообщающаяся, гидроцефалия;
- закрытая, или окклюзионная, гидроцефалия;
- возникшая вследствие атрофии клеток головного мозга;
- нормотензивная, или нормального давления.
Причины появления гидроцефалии
Гидроцефалия головного мозга у плода возникает вследствие множества факторов, но все же в основном это инфекции, попадающие в организм мамы. И чем ранее это происходит, тем хуже для будущего малыша.
Перечень вероятных причин, сопутствующих развитию гидроцефалии:
- Инфекционные заболевания, передающиеся половым путем. Сифилис приводит к нарушению функции нервной системы, а также способствует развитию водянки.
- Уреаплазмоз. Возможно ли возникновение заболевания вследствие этой инфекции, до сих пор вопрос спорный, но были случаи, зафиксированные на УЗИ плода при беременности.
- Наличие инфекции хламидии в утробе матери тоже вызывает эту патологию и, наряду с ней, влияет на зрительные функции и нервную систему.
- Токсоплазмозы – эти вредные возбудители возникают вследствие контакта с животными, а также при приеме в пищу плохо обработанного мяса. Особенно опасно, когда это ранние сроки беременности.
- Возбудитель инфекции краснухи при проникновении может вызвать выкидыш на ранних сроках беременности. Но если инфицирование плода произошло на поздних сроках, то не исключено, что это будет причиной возникновения водянки в головном мозге у плода.
- Если у матери во время беременности имеется герпес, то риск возникновения гидроцефалии существует в половине случаев. У детей также отмечаются поражения кожного покрова и нервной системы.
- Цитомегаловирус – эта инфекция поражает клеточный уровень нервной системы, способствует развитию аномалий, в том числе и гидроцефалии.
- Синдром Киари, или врожденная патология, при которой происходит опускание ствола мозжечка в область затылка. Отсюда и возникает нарушение циркуляции жидкости спинного мозга. Мозг увеличивается в размерах, а череп остается небольшим.
- При хромосомных нарушениях или синдроме Эдвардса происходит поражение практически всех органов, поэтому такие новорожденные погибают на первых месяцах жизни.
- При сужении мозгового водопровода, принадлежащем к врожденным факторам заболевания, отток жидкости из головного мозга нарушен. Чаще это проявляется при наступлении определенного возраста.
- Способствуют развитию гидроцефалии также и вредные привычки, которыми женщина увлекалась во время беременности. Например, употребление спиртных напитков и курение, прием медикаментозных препаратов, не назначенных специалистом, воздействие вредных факторов во время формирования плода.
Перед тем, как стать мамой, рекомендуется пройти полное обследование: сдать все необходимые анализы, а при обнаружении наличии возбудителей инфекций пройти курс терапевтических процедур.
Симптомы гидроцефалии
Как уже оговаривалось ранее, водянка при развитии плода возникает при нарушении оттока жидкости из мозга, что обеспечивает ее накопление. Этот фактор способствует повышению внутричерепного давления и приводит к частым мигреням.
Некоторые симптомы гидроцефалии:
- постоянное чувство тошноты;
- рвота;
- головные боли продолжительного характера и интенсивности;
- плохое самочувствие;
- вялость и сонливость;
- повышение артериального давления.
При этом рвоту и тошноту можно легко перепутать с признаками токсикоза либо с изменением гормонального фона во время беременности. При позднем токсикозе также возможны и частые головные боли, вызванные повышением внутричерепного давления.
В этих случаях необходимо проведение стационарного лечения под наблюдением специалиста. И чтобы вовремя контролировать состояние здоровья при беременности, нужно по малейшему поводу обращаться в женскую консультацию.
Диагностика патологии
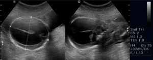
Чтобы выявить заболевание на ранних стадиях, самым эффективным методом является ультразвуковое исследование.
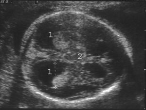
Сканированием измеряют головку будущего ребенка, и основным параметром при этом является ширина желудочков, расположенных сбоку, их размер не должен превышать 10 мм.
УЗИ проводят на 17 неделе и делают повторное исследование на 22 неделе, но средним сроком является 26 неделя беременности. Гидроцефалия на УЗИ плода говорит о наличии сопутствующей инфекции, с которой необходимо начинать бороться немедленно.
Чтобы провести диагностику заболевания у беременной женщины, специалисты применяют:
- исследование глазного дна;
- УЗИ мозга;
- компьютерную томографию плода;
- обследование с помощью магнитно-резонансного томографа;
- консультации по генетическим направлениям;
- нейросонографию.
Обследования назначаются на основании собранных анализов.
Последствия патологии
Все те факторы, которые грозят возникновению негативных последствий, зависят от дефектов развития и причин нарушения. К примеру, если размер боковых желудочков не достиг 15 мм, и при этом никаких иных патологий не выявлено, то это легко поддается лечению во время прохождения беременности. Тогда малыш родится здоровым.
Если же размеры желудочков превышают 15 мм, то интенсивно начинает развиваться гидроцефалия плода, которая неблагоприятно отразится на будущем ребенке. Последствием при наличии водянки может быть и летальный исход, а также возможны заболевания центральной нервной системы.
Только подготовка к будущей беременности и родам не даст патологии возможности возникнуть.
Лечение
Если имеются признаки появления заболевания, то необходимо обратиться к врачу. В свою очередь специалист назначит ряд обследований и примет решение о проведении лечения. Если патология вызвана инфекционными заболеваниями то, как правило, назначают терапию, направленную на выведение лишней жидкости из организма и уменьшение выработки спинномозговой жидкости.
Также могут быть прописаны витамины, препараты для улучшения мозгового кровообращения. Беременным женщинам с диагнозом гидроцефалия нельзя пребывать в помещениях с повышенным температурным режимом, пить много жидкости.
На ранних стадиях заболевания применяют терапевтическое лечение, то есть лечащий врач прописывает щадящие для женщины и ее будущего малыша лекарственные средства.
Современная медицина располагает еще двумя уникальными методами лечения:
- С применением пункции производится откачка лишней жидкости внутри утробы. Выполнение такой процедуры проводится один раз.
- В мозг плода вставляется специальный шунт, необходимый для отвода ликвора или спинномозговой жидкости из мозга будущего ребенка. Такое состояние сохраняется на протяжении всей беременности.
Если мероприятия по защите здоровья будущего малыша не провести своевременно, то последствия могут быть разными и необратимыми.
Профилактические меры
В случае, если гидроцефалия не имеет наследственных признаков, то женщине в период ожидания малыша необходимо тщательно следить за состоянием своего здоровья. Важно посещать поликлинику, своевременно сдавать анализы, правильно питаться, больше времени пребывать на свежем воздухе, принимать препараты фолиевой кислоты для нормального развития плода.
Если имеются инфекционные заболевания, то лучше всего проводить лечение до начала планирования беременности, так как во время вынашивания плода многие препараты противопоказаны. Процедура шунтирования для женщины тоже должна проводиться до зачатия малыша. К профилактическим мерам также относится плановое ультразвуковое обследование.
Источник: https://glmozg.ru/bolezni/nevrologiya/vyyavlenie-gidrotsefalii-ploda-na-uzi.html
Водянка плода: причины, симптомы, лечение
Водянка плода при беременности — редкое заболевание. Из 14000 деток только у одного выявляется данная патология. Во время беременности будущая мать не испытывает никаких симптомов, болезнь можно диагностировать только с помощью УЗИ после 12 недели беремености или раньше.
Водянка представляет собой скопление жидкости в тканях организма из-за нарушения проницаемости сосудов. Это значит, что осложнение у болезни может быть еще в утробе матери. При рождении обнаруживается неестественно большой размер головы, гематомы, опухолевые процессы.
Классификация
Гидроцефалия у плода во время беременности делится на 2 подкатегории:
- Имунная водянка в современной медицине — явление крайне редкое. Первостепенной причиной развития является резус-конфликт матери и ребенка. При таком заболевании малыш долго не живет.
- Неимунная водянка встречается чаще, причины развития могут быть до конца не опознаны, потому что слишком много провоцирующих факторов.
Большинство медиков склоняются к мнению, что неблагоприятный исход бывает в основном при резус-конфликте и инфекциях сифилиса и герпеса, токсоплазмоза.
Если раньше считалось, что водянка бывает только из-за резус конфликта, то сейчас, благодаря прогрессирующей медицине, доказано, что существенными факторами являются:
- Сердечно-сосудистая система, сердечная недостаточность, различные пороки сердца, опухоли, нарушения сосудов, венозные шунты. Примерно в 20% случаев болезнь развивается на фоне патологии сердца.
- Мочевыделительная система, нефроз, воспаления уретры. Из-за болезни почек водянка встречается в 10% случаев.
- Анемия возникает при мутации ген гемоглобина, при хронических потерях крови, при кровотечениях внутриутробных, при закупорке вен, встречается тоже в 10% случаев.
- Заболевания легких, грыжа диафрагмальная, порок развития лимфо-узлов, различные опухоли грудной клетки, на долю этих заболеваний приходится 5% случаев протекания водянки.
Кроме основных перечисленных факторов, есть и множество других патологий, в следствие которых, может возникнуть неимунная водянка. Одной из причин могут быть различные болезни и вирусы у матери во время вынашивания ребенка, сифилис, токсоплазмоз, сахарный диабет. Осложнения при беременности – тяжелая форма токсикоза на последних неделях, сильно пониженный белок в крови матери.
Также водянка наблюдается у деток, рожденных с хромосомными мутациями: синдром Дауна, синдром Тернера и тд. Это касается детей с опухолями, в частности, головного мозга, желудка, печени. При церозе тоже имеются все условия для протеканя неимунной водянки с неблагоприятным исходом.
При многоплодной беременности водянка встречается у одного из плодов, если другой негативно влияет на развитие первого. То есть один из деток представляет собой нечто без сердца и мозга, паразитирует, не дает нормально развиваться своему близнецу. Раньше такую беременность прерывали, сейчас есть возможность родить здорового ребенка.
Еще в медицине редко, но все же встречается опухоль плаценты. Кислород плод получает через плаценту, если плацента больная, ребенок не сможет нормально развиваться. Патологии генные тоже провоцирует водянку, синдром Нуннан, недоразвитость конечностей и костей. При генных заболеваниях летальный исход неизбежен, больные дети долго не живут.
Все вышеперечисленные болезни и патологии давно изучены врачами, но в жизни бывает и множество других причин заболевания водянкой.
Особенности заболевания
Гидроцефалия – это водянка головного мозга у ребенка. Для заболевания характерно накопление плода спинномозговой жидкости в мозгу.
Собравшийся в одном месте в большом количестве ликвор может оказывать физическое давление на мозг.
Из-за этого нарушится функциональность центральной нервной системы и проявится умственная отсталость или задержка в физическом развитии у ребенка.
Чрезмерно большая голова у младенца может свидетельствовать о наличии данного заболевания. Чаще этот признак замечается после родов и в последующих девяти месяцах развития ребенка. Сделав УЗИ, МРТ и КТ можно будет с уверенностью подтвердить диагноз.
Обращаться в больницу следует, как только вы заподозрили некий дефект у малыша. Быстрее пройдете обследование и начнете лечение – больше шанс дальнейшего выздоровления у ребенка.
Диагностика заболевания
Диагностирование нацелено на установление провоцирующего фактора, из-за которого была вызвана водянка плода. Вначале врач определяет группу крови и резус-фактор. Это необходимо для изъятия или подтверждения иммунной водянки и резус-конфликта.
Врач анализирует прошлые инфекционные заболевания, патологии и операции, анализ анамнеза жизни, наличие патологий связанных с гинекологией, течение и исходы прошлой беременности, акушерско-гинекологического анамнеза, проводится полная характеристика текущей беременности, какие-либо осложнения, прибавка в весе и так далее.
УЗИ плода – основной диагностический метод. Основные признаки УЗИ:
- излишек амниотической жидкости;
- нарушение нормы габаритов ребенка из-за отечности, увеличение размера живота по сравнению с размером головки;
- увеличенные габариты сердца, кардиомегалия;
- увеличенные размеры печени и селезенки;
- отведенные в разные стороны конечности с вспухшим животом «Поза Будды»;
- последствия заболевания.
После установления диагноза, чаще прогнозы врачей неутешительны. По статистике, процент оставшихся в живых детей не доходит и до 30%. Чаще ребенок погибает еще в утробе. Но все же при своевременном выявлении заболевания и оказания лечения есть шанс спасти плод. Но при этом, в дальнейшем могут быть следующие последствия:
- Сердечная недостаточность.
- Порок сердца или головного мозга.
- Патология дыхательных путей.
Пороки формируются индивидуально у каждого ребенка в связи с гендерной принадлежностью, несмотря на причины заболевания. Нынешняя медицина позволяет распознавать неиммунную водянку и оказать своевременную помощь.
У плода наблюдаются отеки головы, туловища и рук возможны проблемы с интубацией. Чтобы быть готовыми к разного рода непредвиденным ситуациям и оказать своевременную помощь, нужно приобрести трубочки разного размера. Следует купить проводник, нужный для оральной интубации.
Не менее значительный фактор – дыхательная недостаточность. Чаще всего вызывается она асцитом, гипоплазией легких, болезнью гиалиновых мембран.
Сердечная недостаточность имеет большое значение.
Стоит помнить, что первая помощь, которая будет оказана малышу с неимунной водянкой, будет намного эффективнее, если действия выполняются организованно и правильно и к этому будут заранее готовы.
Беременность и роды могут проходить тяжело, и есть шанс, что у ребенка иммунная и неиммунная водянка. Водянка – это своего рода отек, распространившийся по всему телу ребенка. Эта патология выявляется с помощью УЗИ.
Источник: https://nevrology.net/sindromy-i-zabolevaniya/patologii-golovnogo-mozga/vodyanka-ploda.html
Гидроцефалия плода во время беременности, диагностика
Гидроцефалия плода не распространенная патология, однако, встречается у некоторых рожениц и представляет собой огромную опасность для развития маленького организма внутри утробы. В медицине подобное состояние характеризуют как крайне тяжелое. Вследствие водянки головного мозга окружность головы плода увеличивается, что спровоцировано чрезмерным скоплением жидкости.
Водянка может развиваться внутриутробно, а также у новорожденных детей, подростков и даже взрослых.
Классификация
Есть два различных случая проявления патологии. Первый характеризуется невозможностью выхода спинномозговой жидкости из желудочков. Такое проявление имеет название – несообщающаяся гидроцефалия. Второй же вид – это все остальные проявления, которые имеют названием сообщающейся болезни.
Современная медицина использует единую классификацию патологии, в которой выделяют первичную и вторичную. Первичная гидроцефалия у плода – основное врожденное заболевание, вторичная же вызвана каким-либо другим нарушением в организме (опухолями, сердечными пороками, деформацией сосудов и т.д.).
Причины
Существует множество факторов, провоцирующих болезнь, но основными и самыми опасными являются инфекции, проникающие в утробу от матери к малышу. Можно выделить наиболее распространенные причины:
- Инфекции, передающиеся половым путем. Чем раньше произойдет заражение плода, тем серьезнее последствия такого развития. Страшной из инфекций является сифилис, который проникая в плод, вызывает дефекты нервной системы, провоцирует нарушение развития головного мозга у плода, так же водянку. Частыми провокаторами патологии выступают хламидиоз и уреаплазмоз. Хотя последняя инфекция и не подтверждена медициной, но статистика прерывания беременности с этим недугом увеличивается из года в год.
- TORCH-инфекции. Токсоплазмоз, краснуха, герпес, цитомегаловирус очень опасны и чреваты серьезными осложнениями особенно на ранних сроках беременности, когда головной мозг только формируется. Эти вирусы не только поражают внутренние системы и органы плода, но и могут стать причиной потери беременности независимо от срока.
- Врожденные патологические процессы. Это может быть синдром Эдвардса, при котором появляются хромосомные сбои в организме ребенка, характеризующиеся поражением различных органов, в том числе и спинного мозга. Существует риск проявлений синдрома Киари – нарушений развития мозга, в процессе которого мозжечок и ствол мозга опускаются в затылочное пространство, что приводит к плохой циркуляции жидкости.
- Злоупотребление вредными привычками в период беременности. Если в период вынашивания ребенка женщина пренебрегала элементарными правилами сохранения здоровья, курение и алкоголь могут наложить негативный след на плод и привести к нарушениям в работе ЦНС. Так и зарождается гидроцефалия.
Симптоматика
При беременности женщина может распознать такую патологию, исходя из некоторых симптомов:
- регулярная тошнота и рвота;
- слабость, плохое самочувствие;
- интенсивные головные боли, мигрени;
- скачки АД, частое его повышение;
- сонливость.
Однако без диагностики нельзя воспринимать эти признаки, как наличие проблем с плодом, ведь подобная симптоматика может сопровождать женщину из-за смены гормонального фона во время беременности. В это время нельзя поддаваться безосновательной панике, только врач сможет поставить диагноз.
Диагностические методы исследования
Основной метод диагностики – УЗИ. По средствам сканирования измеряют объем и размеры головки малыша, оценивают величину боковых желудочков.
Норма ширины этого показателя составляет 10 мм, превышение этих показателей считается патологическим.
Еще одним эффективным методом диагностики называют эхографию, однако ее выполняют лишь в больших специализированных диагностических центрах.
Возможные осложнения и последствия
Если гидроцефалией страдает беременная женщина, то есть велика вероятность, что данная патология может передаться плоду, так как носит наследственный характер. Однако, последствий можно избежать, если вовремя диагностировать проблему и начать ее своевременное медикаментозное лечение.
Если водянка появилась вследствие неправильного образа жизни или инфекционного заболевания, то необходимо экстренно принимать меры по спасению плода, потому как существует вероятность его гибели из-за быстро развивающихся патологических процессов. В таких случаях врачи рекомендуют прерывать беременность, независимо от срока вынашивания.
Помимо нарушений центральной нервной системы, гидроцефалия вызывает сердечные пороки, задержку в умственном и физическом развитие, нехватку роста, дефекты внутренних систем и органов.
Лечение
Ранняя диагностика и обнаружение возможных рисков могут позволить обойти патологические осложнения и гибель плода за счет своевременно поставленного диагноза и начатого лечения. При быстром прогрессе недуга прибегают к оперативному вмешательству.
Обычно в подобных случаях применялось вентрикуло-перитонеальное создание дополнительного пути, с помощью которого жидкость выводилась из мозга и перенаправлялась в брюшную полость по специальным трубкам, располагающимся в клапанах.
Это позволяло вывести жидкость, не допуская ее обратного течения, а также стабилизировать внутричерепное давление в мозге плода. Однако, вскоре этот метод был исключен из-за недолговечности приспособлений.
На смену ему пришел новый метод операций – нейроэндоскопия. У него немного другой принцип, но отличается этот метод своей надежностью и минимальными рисками травмы плода во время вмешательства.
Специальным катетером создают отверстие для выхода жидкости через дно желудочка. Далее жидкость поступает в специальные внемозговые цистерны, где беспрепятственно выходит, не скапливаясь в мозге.
Главное преимущество этого метода – это вечность системы, повторные операции в данном случае не требуются.
Источник: http://NashiNervy.ru/tsentralnaya-nervnaya-sistema/kak-raspoznat-gidrotsefaliyu-golovnogo-mozga-u-ploda.html
Водянка плода
Водянка плода – это патологическое состояние, которое возникает во внутриутробном периоде, характеризуется анасаркой и скоплением транссудата в полостях организма.
Основные клинические проявления: генерализованный отек, увеличение размеров головы за счет мозгового черепа, гидроторакс, гидроперикард, асцит, сердечно-сосудистая и дыхательная недостаточность.
Антенатальная диагностика включает в себя УЗИ и определение групп крови, постнатальная – визуальное выявление всех симптомов, характерных для водянки плода, лабораторные анализы, УЗИ, КТ, МРТ. Лечение симптоматическое – реанимационные мероприятия, дренирование транссудата. При иммунной форме показано внутриутробное переливание крови.
Водянка плода – это полиэтиологическое патологическое состояние в неонатологии и педиатрии, которое характеризуется внутриутробным развитием генерализованного отека, накоплением жидкости в грудной и брюшной полостях, а также в перикардиальной сумке.
Общая распространенность – 1:1-14 тысяч новорожденных, при этом иммунная форма встречается 1 раз на 3 000 родов. Несмотря на относительно большую распространенность АВ0 и резус-конфликтов матери и плода в популяции, развитие иммунной формы водянки плода на этом фоне возникает редко.
Это связано с возможностями современной диагностики, внутриутробного лечения и профилактики гемолитической болезни новорожденных. Более чем в половине случаев (55-60%) этиология остается неизвестной. Прогноз при данной патологии всегда серьезный.
Летальность для неиммунной формы очень высока и составляет порядка 70-80%, в то время как для иммунной – около 20%.
Причины водянки плода
Водянка плода – это гетерогенное заболевание. Зачастую точную этиологию установить не удается, однако известны наиболее вероятные причины ее развития.
Неиммунная форма может быть вызвана мутациями (синдром Дауна, Шерешевского-Тернера, триплоидия и тетраплоидия), генетическими заболеваниями (дефицит Г-6-ФДГ, α-таласемия, синдром Нунан и Пена-Шокея и др.
), нарушением проводимости и врожденными пороками сердца (ДМПП, ДМЖП, наджелудочковые и желудочковые тахикардии), патологиями магистральных сосудов (тромбоз верхней и нижней полых вен, артериовенозное шунтирование), аномалией структуры грудной клетки (грыжа диафрагмы и асфиктическая дисплазия), TORCH-инфекциями (токсоплазмоз, ЦМВ, сифилис и др.
), дисплазией мочеполовой системы (врожденный стеноз или аплазия мочеточника, гидронефроз), патологиями беременности (синдром плацентарной трансфузии, хориоангиома, эклампсия). Патогенез неиммунной водянки плода основывается на сердечной недостаточности ребенка, гипопротеинемии и анемии, которые уменьшают онкотическое давление крови.
Помимо всех вышеперечисленных причин развития водянки плода, можно выделить факторы риска, которые повышают риск возникновения неиммунной формы. К ним относятся беременность до 16 или после 40 лет, многоплодная и переношенная беременность, макросомия. Мужской пол считается более склонным к водянке плода.
На данный момент этот вариант встречается крайне редко в связи с общепринятыми диагностическими мерами в акушерстве.
Классификация и симптомы водянки плода
Водянка плода имеет две этиологические формы:
- Иммунная водянка плода. Как правило, развивается на фоне гемолитической болезни новорожденного. В настоящее время на фоне ранней диагностики и лечения данная форма водянки плода практически не встречается, несмотря на относительно большую распространенность резус- и АВ0-конфликтов. Прогноз относительно благоприятный.
- Неиммунная форма. Полиэтиологическая группа. Данный вариант водянки плода может быть вызван врожденными пороками сердца и нарушением работы его проводящей системы, геномными и хромосомными мутациями, TORCH-инфекциями, разнообразными дисплазиями, патологиями беременности и др. В большинстве случаев имеет летальный исход.
Клинические проявления водянки плода определяются уже с момента рождения. Общее состояние ребенка, как правило, тяжелое или очень тяжелое (чаще). У таких детей выявляется несоразмерно большая голова за счет значительного увеличения мозговой части черепа. Из-за общей мышечной слабости ребенок занимает позу лягушки.
Швы черепа разомкнуты, роднички выпирают, кости имеют податливую консистенцию. На теле определяется большой объем сыровидной смазки и множество пушковых волос, обнаруживается общая отечность и бледность. Подкожная жировая клетчатка выражена слабо, из-за чего температура тела очень лабильна и сильно зависит от окружающей среды.
При водянке плода у мальчиков может наблюдаться крипторхизм, а у девочек – недоразвитость половых губ. Физиологические рефлексы (в т. ч. сосательный и поисковый, Моро) угнетены. ЧЧС лабильное (120-160 уд/мин), АД ниже нормы (50-65 мм. рт. ст.). Наблюдается тахипноэ, чередующееся с периодами апноэ.
Часто отмечается выраженная гепатоспленомегалия, гидроторакс, асцит, гидроперикард. В некоторых случаях может формироваться транзиторный гипотиреоз и поллакиурия.
Диагностика водянки плода включает в себя сбор анамнестических данных, объективный осмотр ребенка, лабораторные и инструментальные методы исследования.
При опросе матери обращают внимание на перенесенные инфекционные и гинекологические заболевания, хронические патологии, особенности течения беременности и ее осложнения.
При объективном осмотре неонатологом или педиатром устанавливаются характерные симптомы водянки плода, присутствующие осложнения, оценивается общее состояние ребенка и необходимость реанимационных мероприятий.
Ведущую роль в инструментальной диагностике водянки плода играет УЗИ. Ультразвуковое сканирование позволяет поставить предварительный диагноз еще в антенатальном периоде.
К УЗ-признакам, которые могут указывать на водянку плода, относятся отечность плаценты, многоводие, наличие жидкости в полостях организма ребенка, гепатоспленомегалия, отек подкожной жировой клетчатки, «поза Будды».
Постнатальное УЗИ выполняется для подтверждения опасных патологических состояний (гидроперикард, гидроторакс, асцит) и определения терапевтической тактики. Также могут применяться ЭКГ, компьютерная и магнитно-резонансная томография с целью дифференциальной диагностики и оценки структуры внутренних органов.
Специфического лечения неиммунной водянки плода нет. Роды проводятся в условиях полной готовности реанимационного оборудования.
Непосредственно после рождения ребенку оказывается полный объем интенсивной терапии: интубация трахеи с подачей 100% кислорода, при необходимости – сердечно-легочная реанимация, переливание крови или эритроцитарной массы и т. д.
При неэффективности всех проводимых мероприятий показано выполнение плевральной, перикардиальной пункций и лапароцентеза под контролем УЗИ и жизненно-важных показателей ребенка. В зависимости от ситуации может назначаться антигеморрагическая, антибактериальная, иммунокорригирующая, метаболическая, противосудорожная терапия и пр.
При иммунной форме водянки плода лечение начинается еще в антенатальном периоде. Оно заключается во внутриутробном переливании Rh- крови плоду при помощи кордоцентеза. Показана данная процедура при выраженной анемии и падении гематокрита ниже 30 г/л. При необходимости может проводиться повторное переливание через 14-21 дней.
Прогноз и профилактика водянки плода
Прогноз при неиммунной водянке плода в большинстве случаев неблагоприятный. Выживаемость составляет не более 20-30% от общего числа новорожденных с данной патологией.
При возникновении неиммунной водянки в первой половине гестации имеется высокий риск спонтанного прерывания беременности, во второй – внутриутробной гибели ребенка. При иммунной водянке плода исход более благоприятный – на фоне лечения выживают порядка 85% детей.
Специфическая профилактика может проводиться только по отношению к иммунной форме водянки плода. Она показана при подтвержденной несовместимости крови матери и ребенка. Ее суть заключается во введении матери иммуноглобулинов, которые будут препятствовать гемолизу эритроцитов плода.
Источник: https://www.krasotaimedicina.ru/diseases/children/hydrops-fetalis
Водянка плода
Автор статьи — Созинова А.В., практикующий акушер-гинеколог. Стаж по специальности с 2001г.
Водянкой плода называется его патологическое состояние, при котором во всех полостях организма скапливается жидкость и присутствует генерализованный отек (отеки всего тела — анасарка).
В большинстве случаев водянка плода наблюдается при резус-конфликтной беременности и гемолитической болезни новорожденного. Распространенность данного состояния составляет 1 случай на 1000-14000 родов. Различают иммунную и неиммунную водянку плода.
Причины
Основной причиной развития иммунной водянки плода служит его гемолитическая болезнь.
Причина, которая привела к развитию неиммунной водянки плода зачастую остается нераспознанной, но выделяют следующие факторы:
- хромосомная патология плода (синдром Дауна, мозаицизм, трисомии, синдром Шерешевского-Тернера и прочие);
- генные заболевания: недостаток глюкозо-6-фосфатдегидрогеназы, А-талассемия, синдром Нунан, ахондрогенез, танатофорная карликовость, синдром Пена-Шокея, синдром множественных птеригиумов, ахондроплазия;
- пороки развития грудной полости (дисплазия грудной клетки, диафрагмальная грыжа, порок легкого кистозный аденоматозный);
- пороки развития мочевыделительной системы (врожденный нефротический синдром, пороки уретры и почек);
- сердечно-сосудистая патология (кардиомиопатия, врожденные пороки сердца, анатомические дефекты, артериально-венозные шунты)
- хориоангиома плаценты;
- при многоплодной беременности (фето-фетальная трансфузия, акардиальная двойня);
- инфекционные заболевания матери во время беременности (цитомегаловирусная инфекция, сифилис, парвовирусная инфекция, токсоплазмоз, вирусный панкардит Коксаки);
- осложнения беременности (преэклампсия, тяжелая анемия, нескоррегированный сахарный диабет, гипопротеинемия);
- врожденные обменные нарушения (мукополисахаридоз 4 типа, болезнь Гоше, дефицит нейраминидазы, болезнь Моркио);
- врожденные опухоли головного и спинного мозга, мочевыделительной системы и пищеварительного тракта, печени, крестцово-копчиковая тератома, нейробластома.
Диагностика
Диагностика водянки плода направлена на установление причины, его вызвавшей. В первую очередь определяется группа крови и резус-фактор для подтверждения/исключения резус-конфликта и иммунной водянки плода.
Проводится анализ анамнеза жизни (инфекционные болезни в прошлом, операции, хроническая патология), акушерско-гинекологического анамнеза (наличие гинекологических патологий, течение и исходы предшествующих беременностей), анализируется течение настоящей беременности, ее осложнения, общая прибавка веса и прочее.
Главным диагностическим методом служит УЗИ плода. К УЗИ-признакам относятся:
- отечность плаценты («толстая плацента»);
- избыток амниотической жидкости (многоводие);
- размеры плода больше нормы из-за отека (в частности увеличенные размеры живота вследствие асцита по сравнению с размерами головки);
- скопление жидкости во всех полостях плодового организма (гидроперикард, асцит, гидроторакс)
- отек подкожно-жирового слоя в виде двойного контура;
- отек кожи головы, рук и ног;
- кардиомегалия (увеличение размеров сердца);
- утолщение кишечника (отек стенок);
- увеличение печени и селезенки (гепатоспленомегалия)
- «поза Будды» — раздутый живот с отведенными от него конечностями и позвоночником;
- низкая двигательная активность в сочетании с другими признаками.
После проведения УЗИ назначается амнио- или кордоцентез для определения кариотипа плода, получения крови плода (оценка гемоглобина, белка) и возможного внутриутробного лечения. С целью исключения внутриутробной инфекции назначается ПЦР на предполагаемые инфекции.
Лечение водянки плода
При выявлении врожденных пороков развития плода, несовместимых с жизнью (1-2 триместр беременности) женщине предлагают прерывание беременности. В случае отказа от прерывания продолжают наблюдать за течением беременности и развитием болезни до сроков, позволяющих проводить пренатальную (дородовую) терапию.
Лечение водянки плода заключается в проведении кордоцентеза и переливания крови в пуповину (в случае выраженной анемии и снижения гематокрита до 30 и ниже). При необходимости заменное переливание крови повторяют через 2-3 недели.
В случае выявления фето-фетальной трансфузии близнецов проводится лазерная коагуляция сосудов, соединяющих плоды.
Если нет возможности провести пренатальное лечение, оценивается степень риска преждевременных родов по отношению к антенатальной гибели плода и родоразрешение проводят досрочно с предварительным назначением препаратов для ускорения созревания легких плода. В некоторых случаях показано введение матери сердечных гликозидов для нормализации сердечной деятельности плода.
Перед родоразрешением (оно, как правило, происходит планово) готовятся к рождению ребенка с водянкой. Родильный зал должен быть оснащен аппаратурой для сердечно-легочной реанимации, формируется реанимационная бригада из 2-3 реаниматологов и 2-3 неонатологов (после рождения ребенка сразу интубируют и осуществляют искусственную вентиляцию легких 100% кислородом).
Сразу после рождения и проведения реанимационных мероприятий выполняется перикардиоцентез (удаление путем пункции околосердечной сумки накопившейся жидкости), плевральную пункцию (удаление жидкости из плевральной полости) и лапароцентез (высасывание жидкости из брюшной полости). В пупочную артерию устанавливается катетер для последующих инфузий эритроцитарной массы или крови.
Прогнозы
Прогноз при неиммунной водянке плода неблагоприятный и процент выживших детей составляет 20-33%. При развитии водянки в первом триместре беременность, как правило, заканчивается спонтанным абортом, во втором и третьем триместрах высок риск антенатальной гибели плода.
При иммунной водянке прогноз более утешительный, эффект от пренатального и постнатального лечения достигает 80-90%.
Некоторые исследования при беременности
Источник: https://www.diagnos.ru/diseases/beremennost/vodjanka-ploda-prichiny-lechenie-prognozy-posledstvija
Поделиться:



